
患者,男性,38岁,劳力性胸闷、气促2个月,当地医院行冠状动脉造影提示:三支病变(右冠状动脉中段完全闭塞;回旋支狭窄70%~80%;前降支狭窄50%),尝试开通右冠状动脉闭塞病变未成功。既往有高血压病病史,有吸烟史。
体温:36.6℃,脉搏:95次/min,呼吸:19次/min,血压:96/75 mmHg(1 mmHg=0.133 kPa),神志清楚,颈软,颈静脉无充盈,双肺呼吸音清,未闻及干湿性啰音,心前区无隆起,无震颤,心率95次/min,律齐,各瓣膜听诊区未闻及杂音,腹平软,上腹部按压有胀痛感,无反跳痛,肝脾肋下未触及,双下肢轻度水肿。
患者外院已行冠状动脉造影检查提示三支病变,其中右冠状动脉为慢性闭塞病变,外院介入治疗未成功。入院检查心脏超声提示左心扩大,右房饱满,室间隔、左室下壁运动幅度减低,二尖瓣轻度反流,室间隔增厚,左心收缩功能减低,LV 61 mm,LVEF值40%。心电图:1.窦性心律;2.左房异常;3.室内传导延迟;4.左心室肥厚;5.T波改变;高敏肌钙蛋白I 0.010 ng/ml;血脂:血清总胆固醇3.69 mmol/L,低密度脂蛋白胆固醇2.25 mmol/L,高密度脂蛋白胆固醇0.68 mmol/L,脂蛋白(a):411 mg/L;血液分析提示:血红蛋白152 g/L,血小板计数411×109/L;糖化血红蛋白7.2%;N末端B型利钠肽原149 pg/ml;空腹血糖8.4 mmol/L;餐后2 h血糖14.8 mmol/L。入院诊断:1.冠状动脉粥样硬化性心脏病;缺血性心肌病;心脏扩大;心功能Ⅱ级;2.高血压2级;3.2型糖尿病待诊;4.高脂血症;5.血小板增多症。
本次入院后行回旋支介入治疗后再考虑尝试开通右冠状动脉慢性闭塞病变,尝试前向介入治疗未成功,遂尝试逆向介入治疗,从近段粗大间隔支尝试未通过,选择远段的间隔支顺利导丝逆向进入右冠状动脉远段,应用拖拽的方法完成Rendezvous技术,应用双腔微导管成功操控导丝至PL真腔内,应用IVUS指导支架植入,成功植入支架。手术耗时近4 h,应用优维显470 ml,术中每30分钟监测ACT 1次,维持ACT在300~350 s之间,术中累计应用肝素16000 IU。
术后病情稳定,复查心脏超声无心包积液,术后3 d康复出院。
心血管内科
版权归中华医学会所有。本文为遵循CC-BY-NC-ND协议的开放获取文章。
冠状动脉慢性闭塞病变的介入治疗(percutaneous coronary intervention,PCI)被称为"待以攻克的堡垒",近十几年来,随着逆向介入治疗技术的日趋成熟、器械基础上的正向夹层再进入技术(antegrade dissection re-entry,ADR)技术的广泛使用,以及对慢性完全闭塞病变(chronic total occlusion,CTO)理念的更新和器械的发展,CTO-PCI的成功率不断提高[1,2,3,4]。目前各个版本的CTO-PCI流程图给予临床介入医师一定的指导,但正如同任何技术都有它的优点和局限性一样,流程图也不可能穷尽一切CTO-PCI过程,CTO-PCI治疗策略的选择具有非常鲜明的个性化。临床实践中也不存在两个完全相同的CTO病变,不同的术者可能会选择迥然不同的治疗策略。术前术者应当认真仔细阅读冠状动脉造影等影像学资料,尤其是对侧冠状动脉造影资料在制定合理全面的治疗策略上至关重要。因此CTO-PCI策略制定、器械的选择应该强调规范化、个体化。在手术过程中应强调及时转换治疗策略、及时更换相应的手术器械,这是获得成功的关键。
患者,男性,38岁,身高172 cm,体重83.0 kg,BMI 28.1 kg/m2,长途司机。主诉:胸闷、气促2个月。患者2个月前开始出现活动时(搬东西、剧烈运动)时感胸闷、气促,伴心慌,休息10~15 min症状可缓解,无头昏、黑朦、胸痛,无静息性胸闷、气促发作,无夜间阵发性呼吸困难。2022年6月4日~2022年6月12日至安徽省当地县人民医院就诊,诊断为"冠心病、缺血性心肌病、心功能不全",行冠状动脉造影提示:三支病变(右冠状动脉中段完全闭塞;回旋支狭窄70%~80%;前降支狭窄50%),当地医院尝试开通右冠状动脉闭塞病变未成功。为进一步诊治来我院,以"冠心病、缺血性心肌病、心脏扩大、心功能不全、高血压2级"收住院。起病以来,患者精神、睡眠、饮食较差,大小便正常,体力下降,体重无明显改变。既往史:发现高血压4年,最高160/100 mmHg,未坚持规律服药;否认高脂血症、糖尿病、脑卒中等病史;有吸烟史10年,约20支/d,已戒烟2个月;无饮酒史;婚育史:已婚;家族史:否认家族遗传性及传染性疾病史。
体格检查:体温:36.6℃,脉搏:95次/min,呼吸:19次/min,血压:96/75 mmHg(1 mmHg=0.133 kPa),神志清楚,伸舌居中,颈软,甲状腺无肿大,颈静脉无充盈,肝颈回流征(-),未闻及血管杂音,双肺呼吸音清,未闻及干湿性啰音,心前区无隆起,无震颤,心率95次/min,律齐,各瓣膜听诊区未闻及杂音,腹平软,上腹部按压有胀痛感,无反跳痛,肝脾肋下未触及,双下肢轻度水肿,双侧足背动脉搏动可。
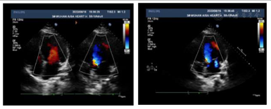
高敏肌钙蛋白I 0.010 ng/ml(参考范围:0~0.0198 ng/ml);血脂:血清总胆固醇3.69 mmol/L,低密度脂蛋白胆固醇2.25 mmol/L,高密度脂蛋白胆固醇0.68 mmol/L,脂蛋白(a):411 mg/L;血液分析提示:血红蛋白152 g/L,血小板计数411×109/L;糖化血红蛋白7.2%;N末端B型利钠肽原149 pg/ml;空腹血糖8.4 mmol/L;餐后2 h血糖14.8 mmol/L;尿常规、便常规+隐血、肝功能、肾功能、电解质、D-二聚体、凝血功能均正常。入院心电图(图1):1.窦性心律;2.左房异常;3.室内传导延迟;4.左心室肥厚;5.T波改变;心脏彩超(图2):左心扩大,右房饱满,室间隔、左室下壁运动幅度减低,二尖瓣轻度反流,室间隔增厚,左心收缩功能减低,LV 61 mm,LVEF值40%。




入院诊断:1.冠状动脉粥样硬化性心脏病,缺血性心肌病,心脏扩大,心功能Ⅱ级;2.高血压2级;3.2型糖尿病待诊;4.高脂血症;5.血小板增多症。
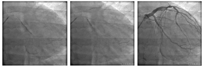
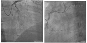
患者无法提供外院冠状动脉造影影像,于2022年6月17日我院行冠状动脉造影提示右冠状动脉中远段完全闭塞,回旋支重度狭窄,前降支轻度狭窄(图3)。


患者存在劳力性胸闷、气促症状,心脏超声未提示下壁节段性室壁运动分析异常,左心室明显扩大,LVEF减低,无室壁瘤,右冠状动脉中远段CTO,J-CTO评分4(钝头,造影未见钙化,>20 mm,成角>45°,有既往LAD-PCI失败史)。考虑右冠状动脉PCI难度大,需要考虑逆向介入可能,决定择期行RCA-CTO介入治疗,造影同期处理回旋支病变(图4)。


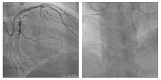
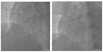
2022年6月21日行RCA-CTO介入治疗,双桡动脉穿刺,左侧桡动脉植入6F动脉鞘管,右侧桡动脉植入7F动脉薄壁鞘管,经左侧桡动脉鞘送入6F EBU 4.0至左冠状动脉开口,经右侧桡动脉鞘送入7 F SAL 1.5至右冠状动脉开口,双侧造影显示RCA-CTO近段及远端血管床及侧支循环(图5)。


经前向指引导管(7 F SAL1.5)操控Finecross130微导管及XT-R导丝不能前向进入RCA远段,更换指引导丝XT-A、Gaia Second、Pilot 150仍不能前向进入RCA远段,对侧造影显示与远段血管床偏离(图6)。


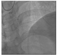
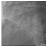
拟启动逆向介入治疗,变换体位找寻合适侧支循环,侧支循环(Collateral connection)0级(供体血管和受体血管之间侧支血管细小,不连续),侧支进入PD为细小分支(图7)。


继续尝试前向导丝技术。经微导管操控Pilot 200尝试前向通过病变至PL远端,但导丝操控困难,推送微导管至PL回抽无血液回流,考虑内膜下可能性大(图8)。


启动逆向介入治疗,逆向经1.8 F-Finecross150微导管操控SION导丝至前降支近段粗大第一间隔支各二级分支下行均不能成功进入PD(图9)。操控SION导丝经前降支中远段细小间隔支至右冠状动脉远段(图10)。但1.8 F-Finecross150微导管不能完全通过侧支循环至右冠状动脉远端,更换1.7 F-埃普特170微导管尝试仍不能通过侧支循环至右冠状动脉远端,再次更换1.8 F业聚成功通过侧支循环至右冠状动脉远端(图11)。应用反向CART技术扩张RCA中段,应用AGT技术前向送延长导管至RCA中远段,操控逆向导丝进入延长导管及指引导管,但微导管不能进入延长导管,应用拖拽技术使逆向微导管进入前向指引导管内(图12)。








前向Sion blue导丝进入逆向微导管内,回退逆向微导管至间隔支内,沿前向导丝送入SprinterLegend 2.0 mm×20.0 mm球囊扩张右冠状动脉远端(图13),因逆向微导管经过的PD血管细小,应用双腔微导管操控Fielder XT-R导丝不能至PL远端,更换Pilot 200至PL远段,退出双腔微导管,送微导管Finecross130至PL造影证实位于真腔内,更换Sion blue至PL远段,沿导丝送入Emerge 1.5 mm×20.0 mm、SprinterLegend 2.0 mm×20.0 mm球囊扩张病变(图14)。




送入IVUS导管至PL,回撤检查:IVUS导管均位于血管腔内(图15A~E),PL可见约200°钙化(图15A),PL近段至右冠状动脉远段可见内膜下血肿(图15B~D),右冠状动脉中段可见斑块浸润,无血肿(图15E)。应用Quantum 2.5 mm×15 mm再次自PL近段扩张病变(图16)。




右冠状动脉置入4枚支架:RSINT 2.25 mm×30.00 mm、Firebird 2.75 mm×33.00 mm、Firebird 3.5 mm×33.0 mm、Firebird 4.0 mm×29.0 mm(图17),应用非顺应性球囊扩张支架(图18)。




造影评价右冠状动脉支架置入后效果及评价左冠状动脉血管情况(图19)。


手术耗时238 min,应用优维显470 ml,术中每30分钟监测ACT 1次,维持ACT在300~350 s之间,术中累计应用肝素16 000 IU。术后病情稳定,心脏超声未提示心包积液。术后第3天康复出院。
日本多中心CTO注册研究(the Japanese Multicenter CTO Registry,J-CTO)评分最初由Morino等[5]提出的,用于预测前向导丝30分钟内成功通过CTO的可能性。根据评分结果将CTO病变分为容易(0分)、中等难度(1分)、困难(2分)和非常困难(≥3分)。此后,J-CTO评分被用作预测CTO病变PCI成功的可能性。目前研究认为J-CTO评分越高,正向内膜下重回真腔技术和逆向技术使用率越高,在尝试逆向开通CTO的患者中,J-CTO评分≥3分不仅与PCI失败相关,而且还是心血管长期预后更差的独立预测因素之一[6]。对于J-CTO评分为困难和非常困难的CTO病变,推荐及早转换闭塞病变的开通策略以避免不必要的时间耽搁,并减少手术失败和并发症发生。
正向入口不明的CTO病变是CTO病变中的一大难点[7]。血管在发出分支后闭塞(造影上无残端)将会大大增加开通闭塞血管的难度。这往往意味着闭塞段近端纤维帽较硬,难以穿透。更重要的是很难判断闭塞的具体位置(进入点)和闭塞血管走形的方向。在操控导引导丝扎进闭塞段时,导丝很容易滑入闭塞段近端的分支血管中。当闭塞段成角时,明显增加前向介入的困难。
正向入口不明的CTO病变应当优先尝试正向途径,将逆向途径作为正向失败后的补救策略[8]。如果术者精通逆向操作技术,且存在较好的逆向条件,也首先尝试逆向技术。在正向反复尝试、逐级更换导引钢丝仍然失败,如果存在较好的侧支提供逆向条件,可以果断尝试逆向途径开通血管。侧支血管的选择在逆向导引钢丝技术中至关重要。
侧支血管的Werner分级根据不同侧支血管的解剖特征将侧支血管分为CC(collateral connection)0~2级。为提高手术成功率,首选可视、连续、迂曲度较小的CC1级和CC2级的间隔支侧支血管,直径较大、迂曲度较小的心外膜侧支也可作为选择。在逆向途径开通CTO病变的过程中,利用冲浪技术通过间隔支侧支达到闭塞段远端,可以不考虑Werner分级,也是一种安全、高成功率的技术[9]。逆向导丝技术是操控逆向导丝通过闭塞病变进入前向指引导管内,使用长导引钢丝(330 cm RG3导丝)完成指引导丝体外化,如无长指引导丝,也可通过微导管对吻技术完成手术。
IVUS在CTO的PCI治疗中扮演着重要作用。IVUS可以指导CTO的前向介入治疗,同时IVUS可以在导丝进入远段血管腔后,判断导丝的位置,指导支架选择及术后的并发症判断等。
本例间隔支侧支血管CCS分级0级,在首先选择前向导丝技术反复尝试没有成功的情况下,尝试逆向介入治疗,经近段粗大间隔支导丝无法进入右冠状动脉远端,选择考前降支中远段相对纤细的间隔支,逆向导丝可进入右冠状动脉远段,存在的问题是侧支血管细,微导管逆向通过侧支循环存在困难,连续尝试更换了3根微导管后微导管通过侧支循环到有冠状动脉远端,逆向导丝可顺利进入前向延长导管及指引导管内,逆向微导管前行困难,应用拖拽技术成功实现逆向微导管进入前向指引导管内,完成了本例PCI成功的关键环节[10]。前向导丝经过微导管対吻技术进入右冠状动脉远端,因PD细小,右冠状动脉扩张后应用双腔微导管操控导丝进入PL远段,微导管造影证实位于PL真腔内,在IVUS指导下依次球囊扩张、支架置入及应用非顺应性球囊扩张支架,取得良好的手术效果。
处理正向入口不明的CTO病变,找到入口、准确穿刺,避免导丝滑入分支血管,尽量扎进闭塞段血管真腔,即便进入假腔,利用各种技术重回真腔到达闭塞段远端血管真腔完成PCI。正向途径不行果断启动逆向途径,切不可盲目地一条路走到底。随着新的导丝技术和新的器械的发展,CTO的开通成功率较之前大大提高。无论是新器械还是新技术,都有各自适合的病变也有各自的弊端,以上任何策略都不是孤立存在的,单单通过使用一种策略就想完成一个CTO的开通是不灵活的,高手心中无定式,各种策略的融会贯通,各种技术及器械的协作使用,博采众长、扬长避短,以最小的风险换取最大的获益。
所有作者均声明本研究不存在利益冲突





















