
患者,女性,56岁。肉眼血尿5个月,腰痛1周。既往患多囊肾、类风湿性关节炎病史。入院检查发现肾功能异常及贫血。
生命体征平稳,BP 140/85 mmHg(1 mmHg=0.133 kPa),心肺腹未见明显异常,双下肢无明显水肿。
全腹部CT提示多囊肾合并多发错构瘤;胸部CT提示双肺多发囊腔,肺淋巴管肌瘤;头颅MRI提示双侧额叶、左侧顶叶、右侧颞叶皮质及皮质下结节状异常信号。根据2012 TSC会议共识诊断结节性硬化症。
予以纠正贫血护肾对症治疗。
随访至今病情无进展。
肾内科;泌尿外科;肿瘤科
版权归中华医学会所有。本文为遵循CC-BY-NC-ND协议的开放获取文章。
结节性硬化症(tuberous sclerosis complex,TSC)是一种罕见的多系统、常染色体显性遗传病,可发生于大脑、肾、皮肤、肺、肝、眼、心脏等多种器官。据统计全球现有TSC患者100万~200万例,新生儿的发病率为1/10 000~1/6000[1]。结节性硬化症与抑癌基金TSC1、TSC2发生突变相关。TSC1、TSC2分别编码hamatin、tuberin蛋白,正常情况下hamatin和tuberin蛋白可形成复合物激活GTP酶抑制哺乳动物雷帕霉素靶蛋白(mTOR)信号通路。当TSC1、TSC2发生突变失活导致mTOR过度活化,组织异常分化和增殖进而导致多个器官的异常及错构瘤的产生[2,3]。TSC为临床罕见病,以肾脏错构瘤为主要表现时往往因为缺少肾外表现诊断上止步于肾错构瘤。其特异性影响学特点有助我们提高诊断率。
患者,女性,56岁,因发现肉眼血尿5月,腰痛1周于2022年3月12日入院。患者2021年10月因肉眼血尿就诊于外院查尿常规:尿红细胞3+,尿白细胞3+,尿蛋白3+。沉渣定量提示:尿红细胞40 495.6个/μl,尿白细胞24521个/μl。肾功能:肌酐144.6 μmol/L,尿素氮7.5 mmol/L。肾脏彩超提示多囊肾声像图改变。遂诊断为"多囊肾",给予头孢类抗生素抗感染治疗后血尿好转。2022年3月再次因腰痛来我院就诊。患者既往史有类风湿性关节炎病史,服用甲氨蝶呤,来氟米特等药物。否认高血压病、糖尿病、冠心病病史;否认肝炎,结核等病史,否认外伤及手术史。否认食物、药物过敏史。已婚已育,生于原籍,自然顺产,父母非近亲结婚。儿子也患有多囊肾。体格检查:BP 140/85 mmHg(1 mmHg=0.133 kPa),P 80次/min,SpO2 99%,R 20次/min。神志清楚,发育正常,贫血貌,四肢躯干无明显皮疹及色斑。浅表淋巴结未及肿大,咽红,扁桃体未及肿大,气管居中,双肺呼吸音清楚,双肺未闻及明显干湿性啰音,心音正常,心律齐,心脏各瓣膜区未闻及杂音,腹平软,无压痛反跳痛,肝脾肋下未及,双肾区无叩击痛,双下肢无明显水肿。
入院后完善相关检查,血常规:红细胞计数1.97×1012/L,血红蛋白60.0 g/L,红细胞压积20.0%。尿常规(干化学法):红细胞(隐血)2+,白细胞(粒)3+,尿蛋白2+。尿沉渣定量:白细胞计数1333.30/μl。肾功能:尿素8.30 mmol/L,肌酐131 μmol/L,尿酸369.0 μmol/L,碳酸氢根17.8 mmol/L。估算肾小球滤过率39.2 ml/(min·1.73m2)。纤维蛋白原4.29 g/L。超敏C反应蛋白7.6 mg/L。抗角蛋白抗体:弱阳性,抗环瓜氨酸肽抗体501.3 U/ml。类风湿因子IgA型72.37 RU/ml,类风湿因子IgM型58.94 RU/ml。肝功能,血脂,电解质,血糖等血生化检查未见明显异常。溶血性贫血检测阴性。肿瘤标志物,风湿免疫及血管炎相关抗体值在正常范围内。血清免疫固定电泳未发现M蛋白。
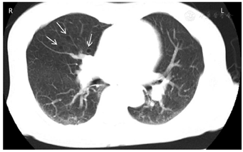
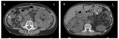
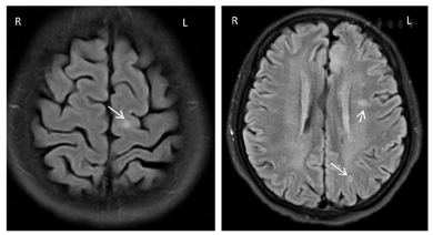
腹部彩超:多囊肾声像图改变;双肾结石;双侧输尿管无扩张;肝内实性病灶;肝多发囊肿;胆胰脾未见明显异常。心电图及心脏彩超未见明显异常。全腹部CT平扫(图1):双肾改变,考虑多囊肾、部分为复杂囊肿,合并多发错构瘤,以左肾为显著;肝内多发低密度灶,囊肿。胸部CT平扫(图2):双肺多发囊腔,考虑肺淋巴管肌瘤。胸椎及肋骨多发结节状高密度灶。头颅MRI平扫(图3):双侧额叶、左侧顶叶、右侧颞叶皮质及皮质下结节状异常信号。






1.结节性硬化症;2.慢性肾功能不全;3.中度贫血;4.类风湿性关节炎。
予以纠正贫血护肾对症治疗。
随访至今病情无进展。
TSC患者中肾错构瘤(即肾血管平滑肌脂肪瘤)的发生并不罕见,约80%病例可合并[4]。TSC合并肾错构瘤多为良性肿瘤,但在儿童及成人中也有合并恶性肿瘤的报道,但发病率低为1%~2%。即使如此也需要进行鉴别诊断,影像学表现不能排除恶性肿瘤时需要进一步行活检明确诊断。并TSC的肾错构瘤具有多发性、双侧性、增长速度快等特点,其肿瘤每年增大约20%,与单纯错构瘤相比肿瘤破裂出血风险性更大,尤其当肿瘤直径>30 mm时[4,5]。
由于TSC1、TSC2基因突变导致TSC合并多囊肾的发病率也明显高于普通人群。2012年国际结节性硬化症共识会议对TSC诊断标准进行了修订[1],将基因检测列为独立的诊断标准,通过基因检测可鉴定出TSC1或TSC2致病突变即可确诊TSC。15%~25%的TSC患者通过常规基因检测未能检出突变,故基因检测阴性不能排除TSC,亦不作为TSC诊断金标准。当临床诊断疑似时可行基因诊断。临床诊断标准包括:主要特征:(1)色素脱失斑(≥3个,直径≥5 mm);(2)面部血管纤维瘤(≥3个)或头部纤维性斑块;(3)甲周纤维瘤(≥2个);(4)鲨革斑;(5)多发性视网膜错构瘤;(6)脑皮质发育不良(包括结节和脑白质辐射状迁移线);(7)室管膜下结节;(8)室管膜下巨细胞星形细胞瘤;(9)心脏横纹肌瘤;(10)肺淋巴管肌瘤病;(11)肾脏血管平滑肌脂肪瘤(肾错构瘤)。次要特征:(1)"斑驳状"皮肤改变;(2)牙釉质点状凹陷(≥3个);(3)口腔内纤维瘤(≥2);(4)视网膜色素缺失斑;(5)多发肾囊肿;(6)非肾脏错构瘤。具有2个主要特征,或1个主要特征加2个次要特征可确诊;具有1个主要特征,或1个主要特征加1个次要特征,或≥2个次要特征为疑似。
TSC目前尚无法根治,在治疗上需要多学科团队的协同管理。主要针对错构瘤引起症状的处理及避免受累器官功能进一步受损。2012年TSC专家共识会议中对于直径>30 mm、无症状、进展性错构瘤推荐mTOR抑制剂作为短期一线治疗方案,但其长期使用获益及安全性需进一步待研究验证。合并肿瘤急性破裂出血时则考虑介入或手术方法进行干预[1]。
TSC可累及多脏器多系统,根据发病年龄受累器官不同,其临床表现也不尽相同。有学者将其主要临床表现归纳为血管纤维瘤、癫痫发作及智力减退三联征。本例患者无上述临床表现,诊断上易出现误诊、漏诊。本例患者TSC诊断得益于腹部、胸部及头颅影像学对各系统检查提示:同时具有多个肾错构瘤、肺淋巴管肌瘤、大脑皮质及皮质下多发结节3个主要特征及多发肾囊肿1个次要特征。患者目前规律随访中,病情无进展。根据2012年TSC专家共识院外仍需定期进行腹部及头颅影像学检查,及对肾小球滤过率及血压进行定期评估。TSC为常染色体显性遗传,疾病根据个体发育阶段的不同而有不同发展。患者儿子患多囊肾,进一步腹部、头部影像学检查有助于排查有无脏器受累。基因检测亦可用于遗传咨询或诊断不明确情况下。
所有作者均声明本研究不存在利益冲突





















