
患者,男性,57岁,左颊癌术后1年余,复发3个月,化疗术后10 d就诊。
左颊癌复发,逐渐增大,面部皮肤破溃伴脓液流出,口内左颊原手术皮瓣修复上缘可见菜花样肿物。
经过术前磁共振口腔及颈部平扫增强、CT颌面部平扫增强三维成像、CT胸腹盆腔平扫增强及术前病理活检,诊断为左颊鳞状细胞癌复发。
口腔-头颈MDT讨论后:先行术前新辅助化疗,然后全麻下行颊颌颈联合根治术+左部分眶内容物摘除术+右股前外侧游离皮瓣修复术+气管切开术,术后予以辅助化疗及放疗。
患者术后伤口一期愈合,顺利完成术后辅助化疗及放疗,术后2年复查无复发。
口腔颌面外科;头颈外科
版权归中华医学会所有。本文为遵循CC-BY-NC-ND协议的开放获取文章。
口腔癌是头颈部最常见的恶性肿瘤之一,在全身恶性肿瘤的发病率占据第9位,约占2.8%[1]。MDT诊疗模式目前在局部晚期或者复发晚期口腔癌的治疗中运用越来越多。MDT诊疗模式是指针对某种复杂性疾病,整合不同学科的卫生服务人员,以患者为中心,为患者量身定制"个性化""精准化"的诊疗方案,从而改善患者生存率、提高患者生存质量与满意度的一种整合型卫生服务模式。本文通过探讨在口腔-头颈肿瘤MDT理念治疗下巨大股前外侧皮瓣修复口腔癌复发1例。旨在体现口腔-头颈肿瘤MDT理念的治疗局部晚期或再发口腔癌患者的优势。
患者,男性,57岁,以左颊癌术后1年余,复发3个月,化疗术后10 d入院。患者1余年前左颊部口内黏膜肿物形成,原发灶大小约1.0 cm×1.5 cm,位于后颊部,边界不清,活动度差,向黏膜下及肌层侵犯。于2018年10月于常德市某医院行"左颊颌颈联合根治术+左股前外游离皮瓣修复术"。术后病理示:(左颊部)高分化鳞癌(1.5 cm×0.8 cm),浸润深度0.6 cm,癌组织侵犯横纹肌,紧邻邻近涎腺组织,前、后、上、下、底切缘未见癌累及,淋巴结有转移(1/20)。术后临床分期:Ⅲ期T2N1M0。2020年5月出现左颊肿胀疼痛不适,2020年6月24日于我院行左颊病变区活检,组织病理示:(左颊部肿物)高分化鳞癌。并完善胸腹盆腔CT未见明显远处转移征象。我院口腔-头颈肿瘤MDT讨论后建议术前行TPF+靶向(昔妥单抗)2~3周后再评估化疗效果及能否手术治疗。2020年7月13日~2020年7月18日,2020年8月3日-2020年8月6日均以昔妥单抗900 mg+紫杉醇脂质体240 mg+顺铂40 mg d1~3+氟尿嘧啶4.5 g CIV 120 h完成治疗,患者自觉化疗后肿瘤生长有所控制,遂转入我科手术治疗。
专科检查:双侧颜面部不对称,左侧面颊部明显膨隆,左面颊部可见一大小约2.0 cm×2.5 cm圆形破溃肿物,表面皮肤破溃,伴脓液流出,周围皮肤组织红肿,质地硬,边界不清(图1)。左眼闭合全,左鼻唇沟变浅,左口角向下歪斜,不能完全闭合,鼓气左口角漏气。开口度约1指半,开口型右偏。口内见:左颊部可见皮瓣存在,皮瓣上缘前庭沟处可见一菜花伴溃烂肿物,大小约3.0 cm×4.0 cm,上界累及左侧上颌骨牙龈及部分硬腭组织,下界至皮瓣上份,前界距口角1.0 cm,后界至翼下颌韧带,左侧上下颌牙列缺损,口腔卫生差(图1)。左侧颏唇沟处、颌下及颈部可见原手术瘢痕。颏下及双侧颌下、颈部未触及明显肿大淋巴结。


磁共振口腔及颈部平扫增强(图2):左颊部可见一长T1长T2信号肿块灶,增强后呈轻中度部均匀强化,较大层面大小约51 mm×52 mm,肿块向上突入左侧上颌窦,与邻近上颌骨及上牙槽分界不清,左眼眶外侧壁呈长T1长T2信号,增强后可见强化,向内与舌体分界不清,向外与左侧咬肌分界不清,左侧翼外肌T2WI信号稍增高,双侧颈部多发小淋巴结。


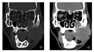
CT颌面部平扫增强三维成像(图3):左颊部巨大肿块灶,较大层面大小约54 mm×39 mm,其内部密度不均,CT值约为37HU-66HU,肿块向上突入左侧上颌窦,向内侧与舌体分界欠清晰,向外侧与左侧咬肌分界不清,邻近左侧眼眶、下侧壁、左侧上颌骨、上牙槽、左侧额突受侵犯,骨质吸收破坏征象:考虑颊癌复发可能性大。


心电图:窦心心率,正常心电图。CT胸部平扫:双肺少许炎症,支气管炎,心包少许积液。肺最大通气量测定+流速容量曲线(V-V曲线)、弥散功能检查(一口气法)+残气容积测定、支气管激发试验、支气管舒张试验:肺通气功能基本正常,弥散功能轻度下降。
血常规+白细胞分类CBC+DC:红细胞数2.94×1012/L ;血红蛋白浓度92.00 g/L ;红细胞压积28.70% ;淋巴细胞绝对值1.06×109/L ;嗜酸性粒细胞绝对值0.01×109/L;嗜酸性粒细胞百分比0.20%;血小板压积0.31%;血小板体积分布宽度9.20 fL ;
肝功能+肾功能+血脂+血糖(空腹)+电解质常规测定+镁(Mg)测定+无机磷(P)测定+血清碳酸氢盐(HCO3)测定:镁0.68 mmol/L;高密度脂蛋白0.74 mmol/L;总蛋白61.0 g/L;白蛋白33.4 g/L;谷草转氨酶12 U/L;尿素9.18 mmol/L;尿酸467 umol/L;
凝血常规:纤维蛋白原5.18 g/L。
恶性肿瘤复发(左颊癌),2.肿瘤化疗个人史,3.高血压,4.支气管炎,5.肺部感染,6.心包积液,7.轻度贫血。
术前新辅助化疗:2020年7月13日~2020年7月18日,2020年8月3日~2020年8月6日均以昔妥单抗900 mg+紫杉醇脂质体240 mg+顺铂40 mg d1~3+氟尿嘧啶4.5 g CIV 120 h完成治疗。
术前准备:入院后完善相关术前准备(检验、检查),进行口腔-头颈肿瘤MDT讨论,涉及麻醉科,呼吸内科,心血管内科,耳鼻喉头颈外科,放射影像科,重症医学科等,考虑患者恶性肿瘤再发,手术治疗效果差,预后不良,但患方手术治疗意愿强烈,术前行高风险谈话[2]。
手术情况(包括肿瘤切除、颈清及皮瓣制取):于2020年8月30日在全麻下行:颊颌颈联合根治术+左部分眶内容物摘除术+右股前外侧游离皮瓣修复术(皮瓣大小28 cm×11 cm)+气管切开术。手术切除范围包括:左眼球及其周围附丽组织,部分眶骨,上颌骨,颧骨,部分颧弓,半侧下颌骨,原手术移植的皮瓣,腮腺,部分鼻甲,部分上下唇组织。
皮瓣制取:制取右侧游离股前外皮瓣,考虑组织缺损较大,本次手术切取皮岛大小28 cm×11 cm(术前根据面部切除范围做好切除范围模板,预估手术需要量),完整切取一条股外侧肌及一条股直肌(图4)。2条皮穿支位于皮岛三等分中点,进入股外侧肌均汇入旋股外动脉降支,2条肌穿支位于股直肌中端及近端均汇入旋股外动脉降支,继续向上分离直至所有分支动静脉汇合至一支动脉干和一支静脉干,作为断蒂处,同时将周围动静脉分支予以结扎。皮瓣断蒂后,右大腿供区创面借助皮肤牵张闭合器拉拢缝合。


微血管吻合情况(图5):左侧既往颈清手术无可用血管,右颈淋巴清扫术后发现:静脉受区:颈内静脉仅一支分支可供使用,动脉受区:仅甲状腺上动脉一支分支可供使用。受、供区动静脉血管管径基本匹配(3.5 mm/4.0 mm),供区动脉血管管径过大(约4.0 mm),受区动脉血管管径过小(约2.0 mm)。静脉端端使用4.0 mm微血管吻合器进行吻合。动脉端端使用9-0滑线,剪开甲状腺上动脉管径进行缝合。吻合后静脉回血通畅,皮瓣皮缘出血,皮瓣血运恢复。


修复重建情况:血管蒂从左侧沿颏下走行至对侧颌下区,将血管蒂摆顺并将血管蒂的周围肌袖与颏部肌肉进行缝合固定,避免血管蒂发生扭转。优先缝合口内侧,1皮穿支位于中心处,直至口角,然后将皮岛进行完全离断,股直肌及股外侧肌完全填塞面部创腔,剩余皮岛(含1皮穿支)与面部皮肤严密缝合,完成口腔及颌面部缺损重建(图6)。


术后辅助化疗及放疗:2020年9月-10月给与辅助化疗:TP方案(紫杉醇脂质体240 mg +顺铂40 mg d1~3)×2周期。2020年11月-12月给予放疗:PGTVtb:59.36GY/2.12GY/28F;
PTV:50.96Gy/1.82GY/28F。疗效均为:CR。
术后皮瓣存活良好,伤口一期愈合,未出现伤口及肺部等感染,右大腿供区伤口愈合良好。
预后评估:现患者进食,语音,吞咽功能良好,患者对治疗效果十分满意。患者左眶内容物摘除,右眼观物,外出社交佩戴墨镜(图7)。


由于患者第一次手术在外院完成,根据所掌握的资料分析复发原因可能是:第一次手术原发灶临床分类为T2(肿瘤大小≤2 cm,且浸润深度为6 mm),肿瘤伴浸润性生长,并非外生性,可判断原肿瘤生长类型较差,早期向深部及周围组织生长。手术中可能存在边界切除过于保守,造成安全距离不足;患者术后病理示:同侧单个淋巴结转移,临床分期为Ⅲ期,术后有放化疗指征,但患者术后未及时行放化疗。
本例患者恶性肿瘤再发,手术治疗效果差,肿瘤较大,术前已行口腔-头颈肿瘤MDT多学科会诊讨论,建议术前行TPF+靶向(昔妥单抗)2~3周后再评估化疗效果及能否手术治疗。经过2次肿瘤科治疗,肿物生长有所控制但未见明显缩小,患者自觉未获得较好的收益。患者拒绝肿瘤科继续治疗,愿死一搏行手术治疗。我们知道目前对于比较晚期的口腔癌,公认的最佳治疗方案是优先手术治疗,术后辅以放化疗。近年来,国内多位专家提倡手术前予新辅助化疗,其优点有:减少肿瘤负荷及减轻肿瘤引起的各种临床症状;未受破坏的血管系统给药,一定程度上防止早期的微转移;最大限度保存健康器官组织;提高5年生存率;降低局部复发率等[3,4]。在2018年NCCN口腔治疗指南中,临床Ⅲ~ⅣA期口腔鳞状细胞癌不建议进行术前诱导化疗或同期化放疗,因为其治疗对于能否提高其生存率具有一定争议[5]。但是对于大多数患者来说手术造成的生理及心理的创伤极大,治疗带来的并发症,患者是否能承受较高的治疗费用和治疗的长期效果的不确定,这些都是我们医生需要综合考虑的因素。当制定最佳的治疗计划和方案时,必须充分考虑到这些社会经济因素的制约,力争给患者提供最切实可行的治疗方案。在无法接受手术治疗时,可辅助放疗或放化疗。
口腔癌中、晚期肿瘤患者,原发或复发肿瘤常常波及范围较大,侵犯多个解剖部位,对于皮瓣供区要求较高,带蒂组织瓣常因组织量供应不足而舍弃,游离皮瓣成为术后缺损修复的必然选择[6]。目前口腔癌术后缺损常用的皮瓣有:前臂皮瓣,股前外侧皮瓣,胸背动脉穿支瓣[7],腓骨肌皮瓣,腹直肌皮瓣、腓肠动脉瓣等。股前外侧皮瓣常可制备体积大,血管蒂长,同时可制作嵌合和复合组织瓣,修复大面积、复杂缺损具有较好的可控性、灵活性而备受青睐。对于缺损单一使用股前外侧皮瓣通过分叶,嵌合等形式完成修复重建为最佳,最大程度减少供区及损伤,也符合临床皮瓣制取理念[8]。然而临床患者常多有放疗和手术史,导致受区瘢痕,血管无法使用等情况,我们则需使用股前外皮瓣吻合对侧血管或选择颈外动脉终末支进行吻合,当仍然无法满足供区修复重建需求时,需联合使用带蒂组织瓣如:胸大肌皮瓣,或者考虑其他游离皮瓣如腓骨肌皮瓣,腹直肌皮瓣等作为补充。目前没有一种皮瓣或技术足以重建所有患者的颌面部缺损。选择应根据每个特定缺损的骨和软组织需求和可用的修复条件综合选择,个性化制定方案[6]。
所有作者均声明本研究不存在利益冲突
向峰,康霄,鲁立光,等.MDT协作下巨大股前外侧皮瓣修复口腔癌复发1例[DB/OL].中国临床案例成果数据库,2023(2023-01-07).http://journal.yiigle.com/LinkIn.do?linkin_type=cma&DOI=10.3760/cma.j.cmcr.2023.e00126.





















