
患者,女性,51岁。右口底肿物发现4个月余,无疼痛,自行挑破后见淡黄色液体流出,有消长史。
右口底可见一大小约为1.5 cm×2.0 cm的半透明状肿物,浅蓝色,质软,界清,无压痛,不活动,有波动感。
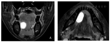
穿刺抽出蛋清样黏液,呈拉丝状。颌面部MRI平扫右口底见椭圆形异常信号,边界清楚,信号均匀,范围约为2.3 cm×1.1 cm,T1W1低信号,T2W1高信号。DWI未见弥散受限。结合病史、临床检查及影像学检查,最终诊断为右舌下腺囊肿。
抽尽囊液后,采用3%聚多卡醇泡沫硬化剂行囊腔内注射治疗。
治疗1个月后,口底肿物完全消退,随访3个月内无复发。
口腔科
版权归中华医学会所有。本文为遵循CC-BY-NC-ND协议的开放获取文章。
舌下腺囊肿是一种常见的唾液腺囊肿,临床上表现为质软、无痛性肿块,有消长史,对咀嚼和发音的影响与肿胀的部位及大小有关[1]。舌下腺摘除术是目前临床上最常用的方法[2,3,4],但由于手术创伤大、术后复发率高、易损伤舌神经及颌下腺导管等并发症迫使学者们积极寻找有效的非手术治疗手段[5,6]。本文报道1例成功采用聚多卡醇泡沫硬化剂治疗舌下腺囊肿的病例,旨在为舌下腺囊肿的非手术治疗提供一种更加安全、有效、微创的方法。
主诉:右口底起泡4个月余。现病史:患者右口底出现泡状物4个月余,无疼痛,有消长史。自行口服"头孢"等消炎药后有所减小,后又长大。自行挑破后见淡黄色液体流出,否认外伤史。
专科检查:面型对称,双侧髁突活动度一致,张口度可,双侧头颈部未扪及明显肿大的淋巴结。口腔卫生一般,右口底可见一大小约为1.5 cm×2.0 cm的半透明状肿物,浅蓝色,质软,界清,无压痛,不活动,有波动感(图1A),穿刺抽出蛋清样黏液(图1B)。


影像学检查:颌面部MRI平扫示右口底椭圆形异常信号,边界清楚,信号均匀,范围约为2.3 cm×1.1 cm,T1W1低信号,T2W1高信号。DWI未见弥散受限,舌下腺囊肿可能(图2)。


诊断:右舌下腺囊肿。
鉴别诊断:(1)口底黏液囊肿。发生在口底的小黏液腺,表面黏膜很薄,体积不大,位置较浅,也呈浅蓝色。(2)下颌下腺囊肿。发生于下颌下腺小导管阻塞,在颌下部出现囊性包块,与突向颌下部的舌下腺囊肿极为相似。(3)口底皮样囊肿。位于口底正中,呈圆形或卵圆形,边界清楚,表面黏膜及囊壁厚,颜色与口底黏膜相似而非浅紫蓝色。扪诊呈面团样柔韧感;穿刺可见半固体状皮脂性分泌物,有时可见毛发。(4)大囊型淋巴管畸形。常见于儿童,随年龄增长而缓慢增大,不能自行消失触诊时波动感明显,透光试验阳性,穿刺检查囊液稀薄、无黏液,淡黄清亮,涂片镜检可见淋巴细胞。(5)鳃裂囊肿。位置一般比延伸至颌下区的舌下腺囊肿稍靠后一些,内容物稀薄,无黏液。(6)甲状舌管囊肿。位于舌骨上时,可能与突向颊部的舌下腺囊肿相似。二者的内容物也是黏液性黏稠样,但舌下腺囊肿内容物含有淀粉酶,而甲状舌管囊肿不含此酶。
泡沫硬化剂的制备:准备10 ml注射器,三通阀、无菌纱布、头皮针等,硬化剂为3%聚多卡醇。应用2副10 ml注射器,按1∶4比例分别抽取原液及空气,通过三通阀快速推注10~15次,制备成气、液混合充分的泡沫。为了维持泡沫的稳定性和维持时间,加入0.5 ml玻璃酸钠注射液。
操作方法:治疗区消毒后,用头皮针穿刺。同一囊腔可选择2个穿刺点,一个穿刺针尽量抽出囊液,另一个穿刺针注射泡沫化制剂,尽量让泡沫硬化剂充满整个囊腔,从另一穿刺针溢出为止。
舌下腺囊肿也被称为蛤蟆肿,主要表现为一侧口底黏膜下的淡蓝色肿物,若囊肿较大则可能进入到颏下区,且还可能影响对侧口底,不仅会对患者的发声、呼吸以及进食造成严重影响,还会在一定程度上影响患者日常生活。舌下腺囊肿切除术因囊肿壁薄,与周围组织分离困难,常不能完全切除,术后复发较多。因此,舌下腺切除术或舌下腺和囊肿联合切除术常用于舌下腺囊肿的治疗[7,8]。但因其术野较小,局部解剖结构复杂,可能发生下颌下腺导管损伤或舌神经损伤等并发症。因此,有学者认为不宜将其作为舌下腺囊肿的首选治疗方法,而应先采用保留舌下腺及其功能的微创手术[9,10]。由于舌下腺囊肿的发生多源于黏液外渗,因此诱导局部纤维化或抑制舌下腺分泌黏液,以封闭黏液外渗处成为非手术治疗舌下腺囊肿的理论依据[5,11]。
硬化治疗是常见的非手术治疗手段之一,主要是往囊腔内注射药物,过去常用的硬化剂主要有:2.5%碘酊,平阳霉素,OK-432,无水乙醇等[12,13,14]。对于不能耐受手术的舌下腺囊肿患者(包括基础疾病严重的患者以及无法配合手术的患儿等)、倾向于保守治疗的患者,囊腔内进行药物注射硬化剂不失为最佳的选择。由于目前常用的药物硬化疗法的各种缺点及不良反应限制了它们的临床应用,因此开发一种新的替代疗法迫在眉睫。
聚多卡醇可制成泡沫硬化剂,但其发挥硬化作用的主要机制仍然是血管内皮细胞损伤,血管内膜剥离及内膜下胶原纤维暴露,血小板聚集、凝血系统激活,血栓形成、成纤维细胞增生以及静脉纤维化[15]。液体硬化剂与气体混合后形成的泡沫,增加了硬化剂与血管壁接触的表面积,可以更有效地发挥对血管内皮细胞的损伤作用。硬化剂泡沫化后,使用总剂量明显减少,有利于降低其对机体潜在的损害。聚多卡醇泡沫硬化疗法已广泛用于治疗静脉畸形、黏液囊肿、静脉曲张和淋巴管畸形等,其操作便捷、美观、花费低,安全性和有效性已被大量的研究证实[16,17,18,19,20,21]。关于其治疗舌下腺囊肿的临床疗效如何,尚未见临床报道。在本例中,经1次注射治疗,1个月后复诊患者口底肿物完全消退,MRI也证实囊肿消失,在随访期间无复发倾向。患者除了注射后前3 d有轻度肿胀外,并无其他不适。3%聚多卡醇泡沫硬化剂注射治疗舌下腺囊肿微创经济,不良反应小,疗效稳定,操作简便,值得在临床上推广使用。
所有作者均声明本研究不存在利益冲突
周琴,赵泽亮,郑家伟.聚多卡醇泡沫硬化剂注射治疗舌下腺囊肿1例[DB/OL].中国临床案例成果数据库,2023(2023-01-08).http://journal.yiigle.com/LinkIn.do?linkin_type=cma&DOI=10.3760/cma.j.cmcr.2023.e00165.























