
患者,男性,66岁,主因"反复发热、皮疹伴淋巴结肿大3年"于2021年3月16日入院。
该病例患者以周期性发热、皮疹、嗜酸性粒细胞增多为主要表现,伴淋巴结肿大、炎症指标升高,合并病理性骨折,心脑血管及视网膜动脉血栓/栓塞事件。临床表现复杂,病程迁延反复,受累系统多,给疾病的诊断造成了一定的困难。
鉴别诊断从感染、肿瘤、免疫及自身炎症性疾病多方面入手进行筛查,但常规化验及无创性检查均无明确阳性发现,遂进一步完善多部位活检,通过病理及组织病原检测、培养,最终确认患者存在播散性非结核分枝杆菌(non-tuberculous mycobacteria,NTM)感染并继发嗜中性皮肤病变、慢性骨髓炎及小血管炎症反应。
经规范抗NTM治疗及中小剂量激素控制炎症及免疫反应。
治疗后,患者未再出现发热、皮疹及血栓/栓塞事件,肿大淋巴结较前缩小/消失。
感染疾病科;风湿免疫科;皮肤科
版权归中华医学会所有。本文为遵循CC-BY-NC-ND协议的开放获取文章。
非结核分枝杆菌(non-tuberculous mycobacteria,NTM)是除结核分枝杆菌复合群及麻风分枝杆菌之外的其他分枝杆菌菌种。近些年来,随着我们对NTM认识的提高、菌种鉴定技术的进步、人口老龄化、免疫抑制人群增多、环境暴露的增加等因素,NTM感染呈逐渐增多趋势。如NTM感染不能被及时发现、确诊,可造成向淋巴结、皮肤、骨骼、胃肠道、心脏及颅内等多部位播散,并可能继发一系列炎症及免疫反应。本文报道1例播散性NTM感染,继发嗜中性皮病,并由于持续的炎症状态继发血管炎性改变、嗜酸性粒细胞增多及血栓栓塞事件。旨在提高对NTM相关疾病的认识,减少误诊、漏诊,避免延误治疗时机。
患者,男性,66岁,主因"反复发热、皮疹伴淋巴结肿大3年"于2021年3月16日入院。2018年患者无诱因出现低热,并逐渐出现全身皮疹(双手→头面→四肢→躯干),高于皮面,表面脓疱伴破溃、结痂。同时伴发左颈部、双侧腋下、腹股沟区多发淋巴结肿大。曾行皮肤活检病理提示表皮基底层下方水疱形成,真皮大量中性粒细胞及核尘,部分血管管壁纤维素样变性。考虑Sweet综合征或坏疽性脓皮病可能,曾予激素、雷公藤治疗效果不佳,后自行停药。行左颈部淋巴结活检病理提示小型上皮样肉芽肿形成,可见闭塞性血管炎;抗酸、PAS、GMS(-);未见淋巴瘤及IgG4相关性疾病证据。此后患者每1~2个月左右再发全身散在小脓疱疹,伴发热及浅表淋巴结多发肿大,期间监测血嗜酸性粒细胞逐渐升高(0.3×109/L→1.2×109/L);行骨穿及骨活检未见明显异常。患者2年前在无明显应力外伤情况下出现右股骨干病理性骨折,术后病理:增生成熟度不一的小梁骨,小梁骨间为疏松纤维血管肉芽样组织增生,散在炎细胞浸润,间质纤维性肉芽组织增生,炎性增生或修复性改变为非特异性。2020年11月患者突发左眼视网膜动脉阻塞,虽经药物治疗后仍存在视力障碍。患者于2021年1月2日、2021年2月20日突发急性脑梗死2次,2021年3月16日在双联抗板基础上再发急性脑梗死;2021年3月22日发生急性非ST段抬高型心肌梗死。患者无慢性基础疾病。个人史方面,患者2017年中旬至发病前有间断泡温泉,曾患肺炎1次;养龟10年余,末次接触为3年前(皮疹发生后仍有短暂接触)。
本次入院查体:生命体征平稳;左颈部、双侧腋窝、左肘及腹股沟区可触及肿大淋巴结,其中左肘部淋巴结边界清晰、活动度良好,无红肿,触痛(-),直径约2 cm;左肘内侧及肩部可见淡红色皮疹伴小脓疱形成(图1A),双下肢斑块基础上多发小脓疱;心肺腹查体无殊;双下肢无水肿。神经科专科查体:双侧额纹对称,右侧鼻唇沟浅,示齿口角左偏,伸舌居中;右上肢近端肌力Ⅳ级,右下肢近端肌力V—级,远端肌力Ⅲ级,左侧肢体肌力V级,双侧肌张力适中;右侧Babinski’s征(+);颈软,无抵抗。


化验方面:血常规:WBC 18.4×109/L(3.5~9.5×109/L),EO# 2.0×109/L(0.02~0.52×109/L),HGB 99 g/L(130~175 g/L),PLT 402×109/L(125~350×109/L);淋巴细胞亚群:CD4+T细胞515.4个/ul(404.0~1612.0个/ul),B细胞87.18个/ul(80.0~616.0个/ul);肝肾功能、血脂(-);凝血:D-dimer 0.38mg/L(<0.24mg/L),FIB 4.92g/L(2~4 g/L),PT及APTT正常;ESR 115mm/h(0~15 mm/1h),CRP 127.69mg/L(0~3 mg/L),IL-6 91.74 pg/ml(<6.4pg/ml),铁蛋白352.3ng/ml(23.9~336.2 ng/ml),PCT 0.12ng/ml(<0.05ng/ml正常,<0.5ng/ml预示低风险细菌感染)。免疫球蛋白、补体、IgG4(-);总IgE 970kU/L(<100kU/L),过敏原筛查(-);ANA谱:ANA(+)S1:100,抗dsDNA及抗ENA抗体谱(-),ANCA(-),LA、ACL、抗β2-GPI抗体、抗凝血酶、蛋白C、蛋白S、HCY(-);冷球蛋白定性(+),多克隆成分:血尿免疫固定电泳、肿瘤标志物(-);HLA-B27(-)。PPD试验强阳性,T.SPOT-TB及痰TB/NTM-PCR(-);血培养(需氧+厌氧)、CMV/EBV-DNA、呼吸道九联检、G/GM试验、莱姆病IgM/IgG(-)。
检查方面:浅表及腹腔淋巴结超声:左侧颈根部、双侧腋窝、双侧腹股沟区、腹主动脉旁多发肿大淋巴结,左侧滑车可见多发肿大淋巴结,较大者1.8 cm×1.4 cm,结构不清,Doppler于其内可探及血流信号。PET-CT:右侧腋窝、腹主动脉周围、右侧髂血管旁、双侧腹股沟多发淋巴结,部分淋巴结葡萄糖代谢增高,其中摄取最高者位于腹主动脉旁,SUV max 7.4。超声心动图:未见瓣膜赘生物,声学造影(-)。冠脉CTA:冠脉轻微狭窄,前降支中段肌桥。头MRI:左侧放射冠、基底节、脑干、左颞极多发新近梗死,桥脑、双侧放射冠多发缺血灶及腔梗。头MRA:颅内动脉轻度粥样硬化,未见明确大血管狭窄及闭塞。经颅多普勒栓子监测(-)。双下肢MRI:右侧股骨术后;右侧股骨干中上段骨皮质不规则增厚,髓腔及周围软组织可见fsT2WI高信号;左侧股骨干骨皮质不规则增厚,骨皮质及髓腔内可见多发小片状T1WI低信号、T2WI高信号、DWI呈稍高信号。考虑双侧股骨干异常信号,慢性骨髓炎不除外。骨扫描:右侧股骨血运丰富、代谢旺盛灶,考虑骨折改变可能大;左侧股骨中上段血运丰富、代谢旺盛灶。骨髓涂片、骨活检、血液及骨髓流式未见血液系统肿瘤证据。
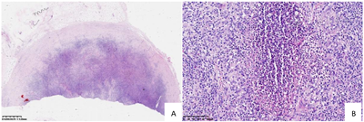
患者临床表现复杂,常规相关化验检查未有明确阳性提示。遂拟针对患者淋巴结、皮肤及骨骼病变进一步行组织活检。1.左滑车上淋巴结切除活检病理:淋巴结结构破坏,被膜纤维增厚、胶原化;结内多个上皮样肉芽肿结节,中央脓肿及坏死,周边多核巨细胞反应,伴小淋巴细胞及浆细胞、嗜酸性粒细胞浸润,小血管增生;IHC:CD3++,CD20+,CD138,IgG+,IgG4散在+,CD68(KP1)++;EBER-;抗酸-,GMS-,PAS-;综上,符合淋巴结化脓性肉芽肿性炎(图2)。淋巴结组织TB/NTM-PCR:偶发分枝杆菌(ct值36-38);淋巴结组织NGS:偶发分枝杆菌,序列数1;淋巴结组织培养:在培养至第11天,检验科回报偶发分枝杆菌阳性。2.右上臂皮疹皮肤活检病理:表皮上层嗜中性细胞脓疡,真皮全层弥漫嗜中细胞浸润,伴少许嗜酸性粒细胞,未见血管炎改变;病理符合嗜中性皮病;抗酸染色(-)。皮肤组织TB/NTM-PCR及皮肤组织NGS亦均提示偶发分枝杆菌阳性。3.左股骨穿刺活检病理:急性炎性纤维素性渗出物及少许破碎死骨组织;骨髓培养(-)。此外,因患者发病具有周期特点,亦完善全外显子测序以评估是否存在自身炎症性疾病。全外显子基因测序结果提示患者存在PSTPIP1杂合变异,患者儿子及患者姐姐均存在此杂合变异(图3)。




患者播散性偶发分枝杆菌感染(皮肤、淋巴结)诊断明确,根据药敏结果及非结核分枝杆菌病诊断与治疗指南(2020年版)推荐[1],予亚胺培南、米诺环素、环丙沙星三联抗感染治疗。因患者长期感染炎症持续状态,继发嗜中性皮病及小血管炎等免疫反应,进而出现嗜酸性粒细胞增多及血栓栓塞事件。住院期间监测患者皮疹仍有反复、伴嗜酸性粒细胞及炎症指标升高,再发腔隙性脑梗死事件,推测全身免疫炎症反应仍未完全控制,遂加用泼尼松15 mg/d口服,并逐步规律减量。出院后患者规律抗NTM治疗×8个月,密切随访患者10月余,患者泼尼松减量至2.5 mg/d,未再出现发热及新发血栓/栓塞事件,皮疹已转为陈旧(图1B),复查浅表淋巴结超声提示原颈部、锁骨上、腋窝、腹股沟肿大淋巴结较前消失,滑车上淋巴结较前明显缩小(具体),炎症指标及嗜酸性粒细胞计数正常(患者病情演变及诊治过程见图4)。


近些年来,随着人们对NTM的认识及检验技术的提升,NTM病发病率呈上升趋势[2]。NTM对不良环境有很强的抵抗力,其在土壤(酸性松林、海岸沼泽土)、室内游泳池、热水浴缸、海岸沼泽排水系统、室内加湿器和淋浴器的气溶胶以及农村、花园、盆栽土壤、扬起的灰尘中均可存活[3]。播散性NTM病可表现为播散性淋巴结炎、皮肤病变、骨病、肝病、胃肠道感染、心内膜及心包膜炎、及脑膜炎等。
嗜中性皮肤病,其突出特点表现为组织病理学可见大量中性粒细胞浸润,可累及表皮、真皮或皮下组织,但没有明确的感染证据和血管炎症表现。嗜中性皮肤病的皮肤表现多种多样,可包括水疱脓疱、斑块、结节或溃疡。嗜中性皮肤病是一组皮肤病变,主要包括急性发热性嗜中性皮病(Sweet综合征)、坏疽性脓皮病等,常继发于感染、肿瘤及免疫性疾病[4]。嗜中性皮肤病的发病机制尚未完全明确,鉴于嗜中性皮肤病发生在自身炎症性疾病的背景下,一些研究人员提出,嗜中性皮肤病应考虑为自身炎症性疾病[5]。该病例患者全外显子测序提示存在PSTPIP1杂合变异,这一基因突变通常提示化脓性无菌性关节炎、坏疽性脓皮病和痤疮综合征(pyogenic arthritis, pyoderma gangrenosum, and acne, PAPA综合征)。PAPA综合征是一种罕见的常染色体显性遗传病,现归属于自身炎症性疾病的一种。PAPA综合征患者通常在儿童期表现为少关节型破坏性关节炎;在青春期早期发生重度囊肿性痤疮,而部分患者可出现注射部位的病态反应样无菌性脓肿和坏疽性脓皮病[6]。该病例为老年男性,诊断PAPA综合征尚过于牵强,但我们推测患者在NTM感染诱因的基础上,因为存在自身炎症性疾病易感基因,相较其他人更易发生嗜中性皮病及慢性骨髓炎。
目前,国内外有病例报告及相关回顾性研究表明,NTM病和嗜中性皮肤病,尤其是Sweet综合征存在一定的联系。泰国一项回顾性研究共纳入55例Sweet综合征患者,发现其中70.59%合并NTM感染,Sweet综合征大部分与NTM感染同时存在,也可以发生在NTM确诊前或确诊后[7]。Chen等[8]曾报告1例偶发分枝杆菌引起淋巴结炎继发皮肤结节性多动脉炎、白细胞碎裂性血管炎及Sweet综合征的病例,并通过检索回顾5例NTM感染合并Sweet综合征的患者,NTM主要感染部位均为颈部淋巴结。以上均提示我们如Sweet综合征治疗效果不佳,并出现浅表淋巴结肿大,应注意筛查有无合并NTM感染可能。
该病例病程初期曾疑诊嗜中性皮病,但当时未完全明确其背后是否存在着感染、肿瘤、免疫等因素参与,虽经激素及免疫抑制剂治疗,但效果欠佳,造成病程迁延,病情反复。由于感染诱因未去除,患者又存在自身炎症性疾病基因突变基础,造成炎症状态持续,反复发作皮疹及骨髓炎症,甚至发生病理性骨折,并继发一系列免疫反应(小血管炎、嗜酸性粒细胞增多),进而导致严重血栓/栓塞事件。在患者明确NTM感染后,予积极、规范、长程抗NTM治疗,并予中小剂量激素控制患者炎症及免疫反应,患者目前感染及免疫炎症状态得以很好的控制。因此,如患者疑诊或确诊嗜中性皮病,应注意其隐藏的原发病因的筛查,如患者合并浅表淋巴结肿大,除需警惕肿瘤外,亦需警惕特殊病原体感染。
所有作者均声明本研究不存在利益冲突
张昊泽,李嘉雯,赵娟,等.偶发分枝杆菌致持续3年的反复低热、嗜中性皮病、淋巴结肿大、多发栓塞1例[DB/OL].中国临床案例成果数据库,2023(2023-01-07).http://journal.yiigle.com/LinkIn.do?linkin_type=cma&DOI=10.3760/cma.j.cmcr.2023.e00144.





















