
患者,女性,53岁,因"嗜睡1年,进行性加重1个月"入院。平素体健,既往30年前行颅咽管肿瘤术,术后无不适。1年前出现嗜睡,伴有情绪低落,时间、记忆、计算和理解能力差,偶有大小便失禁,发病期间存在不规则发热。至当地医院检查,胸部CT示右肺门影增大,两肺多发结节灶,伴纵隔少许肿大淋巴结。颅脑MRI示轻度脑萎缩表现,多发脑梗死灶和脑白质病变,右侧丘脑异常信号灶,转移性病变可能。
嗜睡进行性加重1个月。入院查体示嗜睡,对答反应差,甲状腺肿大(Ⅰ级),左上肢和下肢肌张力和肌力下降(Ⅱ级)、左侧Babinski征(+)、小脑共济失调。
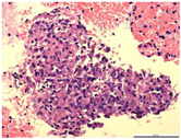
影像学难以明确诊断,需与细菌性脑脓肿、真菌性脑脓肿、胶质瘤、丘脑静脉性梗死及脑转移瘤等鉴别。确诊依靠支气管超声引导下经支气管针抽吸(ndobronchial ultrasound-guided transbronchial needle aspiration ,EBUS-TBNA)纵隔淋巴结,发现慢性肉芽肿性炎症,同时排除其他特异性感染后考虑结节病。
排除其他疾病后予强的松治疗,同时予以左旋甲状腺素纠正甲状腺功能减退症,经验应用盐酸纳洛酮、盐酸甲氯芬酯和甲钴胺促进脑细胞代谢,刺激中枢神经系统和滋养神经。
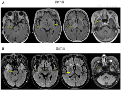
经过2个月的强的松治疗,嗜睡症状明显缓解,认知功能改善。复查头颅MRI示丘脑病变较前明显好转,复查胸部CT示双肺门、纵隔内多发肿大淋巴结及双肺结节均较前缩小。
呼吸科;神经内科;病理科;放射科
版权归中华医学会所有。本文为遵循CC-BY-NC-ND协议的开放获取文章。
结节病是一种病因不明的多系统肉芽肿性炎症性疾病,多发生于20~40岁的成年人[1,2]。结节病几乎涉及所有组织,包括肺、淋巴结、皮肤、眼睛和神经系统。据报道,神经系统结节病的发生率为5%~26%,由于其症状非特异性,且神经系统组织活检困难,在临床实践中患者常被误诊[3,4]。以嗜睡为主要表现的结节病很少见,文献报道也很少。本文报告一例神经系统结节病累及丘脑的患者,在过去一年出现进行性嗜睡,并复习相关文献。
患者,女性,53岁,因"嗜睡1年,进行性加重1个月",于2020年7月17日入院。患者于1年前无明显诱因出现情绪低落,疲乏,并逐渐出现嗜睡,程度进行性加重,近1个月嗜睡加重,每天基本属于睡觉状态,半月前出现偶有大小便失禁。患者家属诉患者现动作不灵活,情绪低落,无明显咳嗽咳痰,恶心呕吐,意识障碍,抽搐等症状。追问病史,本次发病前,患者可正常生活、工作,无嗜睡。1年多前曾因头痛自行服用"西比灵",头痛改善后停药。因上述症状就诊当地医院,查胸部CT示:"1.右肺门影增大,两肺多发结节灶,2.纵隔少许肿大淋巴结"。颅脑MRI:"1.轻度脑萎缩表现;2.右侧丘脑异常信号灶,转移性病变?3.多发脑梗死灶;4.脑白质病变"。考虑诊断为:1.器质性情感障碍;2.右侧丘脑转移灶?3.肺结节;4.纵隔淋巴结肿大;5.电解质紊乱;6.脑梗塞;7.脑瘤术后,予补液支持等治疗后无明显改善,今为进一步诊治,转诊我院,门诊拟"认知性嗜睡"收入院。患者自发病来精神萎,胃纳差,偶有大小便失禁,体重无明显改变。既往体健,30年前颅烟管肿瘤手术史,术后与常人无异,不影响生活,无嗜睡。无疫水疫区及家禽密切接触史。家族中无传染病及遗传病病史。
体格检查:T 36.8℃,P 87次/min,R 18次/min,BP 123/85 mmHg(1 mmHg=0.133 kPa),嗜睡,对答反应差,甲状腺肿大(I级),全身浅表淋巴结未触及肿大;双肺呼吸音清晰,未闻及干、湿性啰音;心率87次/min,律齐,未闻及杂音;腹壁软,全腹无压痛、反跳痛,左侧上下肢肌张力和肌力下降(Ⅱ级)、左侧Babinski征(+),小脑共济失调。
入院后完善实验室检查示:c反应蛋白(13.8 mg/L)、d -二聚体(0.83 mg/L)、血浆纤维蛋白原(4.040 g/L)轻度升高。初步甲状腺功能检查(TFTs)显示甲状腺功能减退的特点,总T3低0.78 nmol/L,游离T4 (FT4)低9.53 pmol/L,促甲状腺激素(TSH)高9.66 uIU/ml,抗甲状腺过氧化物酶抗体(TPO-Ab)高59.53 IU/ml。血清学检查过敏原、常规生化指标、心肌酶、心房利尿利钠肽、肿瘤生物标志物、梅毒、人体免疫缺陷病毒和肝炎病毒抗体均为阴性。
脑磁共振成像(MRI)显示双侧大脑半球、右丘脑、右颞下叶多发病变(图1A)。胸部CT图像显示纵隔和双肺门淋巴结肿大并伴有多个肺结节(图2A)。18f -氟脱氧葡萄糖(FDG)正电子发射断层扫描(PET/CT)显示右上颈部深淋巴结、门部、纵隔、多发肺结节、双侧髋关节肌间隙、左髋关节皮下软组织明显摄取FDG(图3)。超声(US)引导下左髋关节皮下软组织活检显示大量嗜酸性粒细胞及纤维血管增生,无法提供诊断线索。然后我们在局部麻醉下对纵膈淋巴结进行WANG™经支气管抽吸针。然而,标本中仅发现少量纤毛柱状上皮细胞,诊断仍不明确。最后在全身麻醉下行支气管超声引导下经支气管针抽吸(EBUS-TBNA)纵隔淋巴结,发现慢性肉芽肿性炎症,提示结节病诊断(图4)。








患者在使用糖皮质激素治疗后,嗜睡、认知功能明显改善,复查胸部CT及头颅MRI示病灶较前明显减小,淋巴结较前明显缩小,故神经系统结节病诊断明确,结合其头颅MRI表现及受累部位,考虑为累及丘脑的神经系统结节病。本病例需与下列相关疾病进行鉴别:(1)细菌性和真菌性脑脓肿;(2)胶质瘤;(3)丘脑静脉性梗死;(4)脑转移瘤;(5)原发性CNS淋巴瘤(primary central nervous system lymphoma, PCNSL)。
住院期间,为缓解患者嗜睡,予左旋甲状腺素纠正甲状腺功能减退症,经验应用盐酸纳洛酮、盐酸甲氯芬酯、甲钴胺促进脑细胞代谢,刺激中枢神经系统,滋养神经。经上述治疗,患者症状未见好转。综合临床表现、实验室检查结果、病灶影像学及病理表现,临床诊断为神经系统结节病,每日口服泼尼松40 mg。
结节病可累及全身各个脏器,其中约90%的患者会累及肺部,其他受累的部位包括胸内淋巴结、皮肤和眼部、神经系统等。结节病诊断的主要依据[5]:(1)具有相应的临床和(或)影像学特征;(2)组织学显示非干酪样坏死性上皮样细胞肉芽肿;(3)除外有相似的组织学或临床表现的其他疾病。符合上述诊断标准者,可以诊断为结节病。
文献报道,约5%至26%的结节病患者会出现神经系统并发症,在尸检研究中,患病率高达27%[6],这种累及神经系统的结节病,被称为神经系统结节病(Neurosarcoidosis, NS)。临床上,神经系统结节病的诊断往往依靠结节病多系统改变伴随神经系统表现,但必须先排除特殊病原菌感染及恶性肿瘤。由于神经系统结节病的组织学证据不易获得,因而当临床上怀疑神经系统结节病时,应先寻找神经系统以外疾病受累的证据。本病例以神经系统症状嗜睡起病,发病期间存在不规则发热,头颅MRI表现为右侧额叶、两侧颞叶、桥脑右侧、双侧基底节及侧室旁异常信号影,右侧丘脑病变伴周围水肿,胸部CT纵隔窗表现为双肺门、对称性淋巴结肿大,纵隔淋巴结肿大,胸部CT肺窗示表现为双肺散在多发结节,超声内镜引导下的经支气管针吸淋巴结活检提示慢性肉芽肿性病变,排除特异性感染后考虑结节病。该患者糖皮质激素治疗后未再出现发热,嗜睡及认知功能均较前明显改善,复查胸部CT示双肺门、纵隔内多发肿大淋巴结及双肺结节均较前缩小,复查头颅MRI示丘脑病变较前明显好转。故本病诊断肺结节病、神经系统结节病明确[7]。
本例患者存在嗜睡、认知功能障碍神经系统表现,MRI存在颅内多发病变,综合病情考虑结节病累及中枢神经系统可能。但是多种疾病都可以累及丘脑或下丘脑引起嗜睡及认知功能改变,故诊断需要结合临床表现、影像改变、组织病理学结果及治疗效果。本病例需与下列相关疾病进行鉴别:(1)细菌性和真菌性脑脓肿:在MRI上常表现为环形强化病灶,因此与胶质母细胞瘤或脑转移瘤相似,但弥散加权序列上存在明显的弥散受限以及有临床危险因素或感染征象[8];(2)胶质瘤:多发于儿童及青少年,发病无明显性别倾向,从发病到确诊,平均4~5个月,儿童及青少年往往以低级别胶质瘤为主,症状演变相对较快,预后相对较好,成人多为高级别胶质瘤;(3)丘脑静脉性梗死( thalamic venous infarction,TVI)是一种少见血栓栓塞性疾病,临床上比较少见,约占全部脑梗死0. 3% [9,10] ,以累及双侧病变多见,单侧病变非常罕见,多数见于左侧[2] ,最常见的原因是深静脉或静脉窦血栓形成导致丘脑静脉引流障碍[11];(4)脑转移瘤:脑转移瘤通常呈圆形且边界清楚,使用造影剂后可见强化,20%~ 30%的患者为单个脑转移瘤,其余患者为多发性脑转移瘤,肿瘤本身可能是实性、囊性或中央坏死性,在T1和T2加权像上可以呈低信号、等信号或高信号。几乎普遍呈造影增强;如果原本就存在已知有脑转移倾向的原发癌,则多发脑转移瘤患者无需进行活检,然而如果患者的原发肿瘤通常不会转移到脑部(例如,前列腺癌)、没有已知的原发病灶或神经影像学上不是典型的转移表现,可能需要活检或切除来确定脑部病灶的病因。(5)原发性CNS淋巴瘤(primary central nervous system lymphoma, PCNSL):是一种罕见的非霍奇金淋巴瘤,免疫功能正常和免疫功能低下的成人均可发生。免疫功能正常的患者中,PCNSL可以是孤立性或多灶性的。病变在T2加权像上呈等信号或低信号,使用造影剂后往往均匀增强,典型部位包括脑室周围白质、基底节和胼胝体。本病例无特异性感染、高热病史,暂不考虑细菌或真菌性脑脓肿,年龄不符合胶质瘤流行病学史,检查、检验结果及临床表现无明显栓塞征象,故不考虑丘脑静脉性梗死,其肿瘤指标未升高,肺部活检未见恶性细胞,颅内病变非肿瘤表现,故不考虑脑转移瘤,其颅内病变不符合原发性中枢神经系统淋巴瘤发病部位,综上所述,初步排除上述疾病。患者在使用糖皮质激素治疗后,嗜睡、认知功能明显改善,复查胸部CT及头颅MRI示病灶较前明显减小,淋巴结较前明显缩小,故神经系统结节病诊断明确,结合其头颅MRI表现及受累部位,考虑为累及丘脑的神经系统结节病。此患者颅内多发病变,丘脑较前吸收,但其他部位吸收不明显,考虑此现象为影像改变滞后,需再后续进一步随访,必要时可考虑行颅内病灶穿刺以协助诊断。
早发现、早诊断、早治疗可以改善结节病预后,糖皮质激素仍然是目前首选的治疗手段。当糖皮质激素治疗不能有效控制疾病、或者减量后再次复发,或者无法耐受糖皮质激素治疗的患者,可考虑使用免疫抑制剂。对于激素联合免疫抑制剂治疗后仍无效、反复发作或合并神经系统受累的患者可以使用生物制剂[5]。对于中枢神经系统结节病患者存在颅内占位性病变,在大剂量静脉注射糖皮质激素没有效果,进而可能危及生命的情况下,需考虑手术切除。在糖皮质激素和免疫抑制剂效果不佳的情况下,也可以考虑使用放射治疗[12,13]。
约2/3神经系统结节病患者呈单相病程,另1/3呈复发-缓解病程或伴间歇性加重的进行病程[14]。与普通结节病患者相似,神经结节病患者预后较好,10年生存率为89%[15]。多数患者通过上述的治疗方法都可以控制病情、改善预后。但是长期接受糖皮质激素或免疫抑制药物等治疗可能诱发多种严重不良反应,如免疫功能严重受损或增加患癌的风险,故治疗过程中应定期随访、评估疗效、观察是否出现不良反应及并发症。本例患者诊断明确后依据共识使用激素治疗几天后其嗜睡、认知功能明显改善,2个月后嗜睡完全缓解,甲状腺功能趋向正常,胸部CT及头颅MRI提示病变较前好转,淋巴结较前缩小,故未进一步使用免疫抑制剂等治疗措施,患者转归及预后仍需进一步随访。
所有作者均声明本研究不存在利益冲突
范欣欣,丁凤鸣,吴文生,等.以进行性嗜睡为首发表现累及丘脑的神经系统结节病1例[DB/OL].中国临床案例成果数据库,2023(2023-01-07).http://journal.yiigle.com/LinkIn.do?linkin_type=cma&DOI=10.3760/cma.j.cmcr.2023.e00146.





















