
病例1:患者,女性,50岁,主诉为"B超发现右肾占位5 d"。患者9 d前出现四肢乏力,查血压160/100 mmHg(1 mmHg=0.133 kPa),予口服倍他乐克及针灸治疗后,症状缓解。5 d前查B超于右肾下极皮质见一囊实性混合回声。查超声造影考虑囊性癌可能。随后查CT示右肾中下极偏腹侧软组织肿块。患者于2020年6月28日收住入院。病例2:患者,女性,64岁,主诉为体检发现右肾占位1周。患者1周前体检,B超提示右肾下极见大小约29 mm×27 mm低回声团,边界尚清晰,其余未见明显异常。遂行CT检查,CT提示右肾见直径约27 mm软组织影,边界较清晰,密度不均匀,边缘可见钙化,增强扫描动脉期实性成分不均匀强化,静脉期及延迟期强化程度减弱。考虑右肾占位,恶性肿瘤可能。患者为求进一步诊治,门诊以"肾占位性病变"于2021年5月8日将患者收住入院。
病例1:患者9 d前出现四肢乏力,查血压160/100 mmHg,予口服倍他乐克及针灸治疗后,症状缓解。5 d前体检时查B超于右肾下极皮质见一囊实性混合回声。病程中无尿频、尿急、尿痛、排尿困难,无咳嗽咳痰,无胸痛,无黄疸,无腹泻、腹胀,无进行性消瘦,饮食、睡眠良好,大小便正常。病例2:患者1周前体检,B超提示右肾下极见大小约29 mm×27 mm低回声团,边界尚清晰,其余未见明显异常。患者无发热咳嗽,无心慌胸闷,无头晕乏力,无腰部酸痛。病程中患者食欲可,睡眠可,大小便如常,体质量无明显变化。
结合临床病史、影像学检查,综合病理学检查结果,2例均诊断为MiT家族易位性肾癌。
病例1患者于2020年7月3日行"腹腔镜下右肾部分切除术";病例2患者于2021年5月16日行"机器人辅助腹腔镜下肾部分切除术"。随访时期内,患者健在,肿物未见复发。
泌尿外科;病理科;肿瘤科;放射诊断科
版权归中华医学会所有。本文为遵循CC-BY-NC-ND协议的开放获取文章。
MiT家族易位性肾癌(MiT family translocation renal cell carcinomas)含2个MiT转录因子家族成员(TFE3和TFEB)的基因融合,Xp11易位相关肾细胞癌具有涉及TFE3的基因融合,t(6;11)易位肾细胞癌具有涉及MALAT1-TFEB的基因融合。MiT家族易位性肾癌临床少见,本文报道2例MiT家族易位性肾癌,探讨其影像学特征、临床病理学特征、诊断和鉴别诊断,并进行文献复习,旨在提高对该病的认识水平,为临床科室和平台科室医师认识该病提供帮助。
病例1,患者女性,50岁,主诉为"B超发现右肾占位5 d"。患者9 d前出现四肢乏力,于当地医院就诊,查血压160/100 mmHg(1 mmHg=0.133 kPa),予口服倍他乐克及针灸治疗后,症状缓解。5 d前至南京医科大学第一附属医院心内科门诊就诊,查B超:右肾下极皮质见一囊实性混合回声。查超声造影考虑囊性癌可能。随后至南京医科大学第一附属医院泌尿外科门诊就诊,查CT:右肾中下极偏腹侧软组织肿块,建议增强CT/MRI检查。现为求进一步治疗,患者于2020年6月28日收住入院。病程中无尿频、尿急、尿痛、排尿困难,无咳嗽咳痰,无胸痛,无黄疸,无腹泻、腹胀,无进行性消瘦,饮食、睡眠良好,大小便正常。
病例2,患者,女性,64岁,主诉为体检发现右肾占位1周。患者1周前体检,B超提示右肾下极见大小约29 mm×27 mm低回声团,边界尚清晰,其余未见明显异常。遂行CT检查,CT提示右肾见直径约27 mm软组织影,边界较清晰,密度不均匀,边缘可见钙化,增强扫描动脉期实性成分不均匀强化,静脉期及延迟期强化程度减弱。考虑右肾占位,恶性肿瘤可能。无发热咳嗽,无心慌胸闷,无头晕乏力,无腰部酸痛。现患者为求进一步诊治,门诊以"肾占位性病变"于2021年5月8日将患者收住入院。病程中患者食欲可,睡眠可,大小便如常,体质量无明显变化。
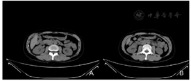
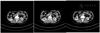
病例1专科检查:双肾区无隆起,双肾及输尿管移行区无叩压痛,膀胱区不充盈、无压痛,外生殖器无异常,尿道外口无脓性分泌物。2020年6月23日超声检查,超声所见:双侧肾上腺部位多断面超声扫查,未见明显异常回声。肾脏:右肾长108 mm;左肾长108 mm。双肾形态正常,肾实质与肾窦比例正常,肾盂、肾盏未见明显扩张。右肾下极皮质见一囊实混合性回声,大小约34 mm×31 mm×30 mm。形态规则,边界清晰,内见多发点状强回声,内未见明显血流。输尿管:双侧输尿管不扩张。超声提示:右肾囊实混合性回声,复杂囊肿?2020年6月26日,多排CT腹部平扫(中,下腹)组合,CT所见:右肾下段腹侧见结节状稍低密度影,直径约2.5 cm,其内见斑点状钙化灶。左肾大小、形态正常,两肾实质内未见异常密度灶,双侧肾盂、肾盏及输尿管无明显扩张积水征象,内无异常密度影。肾周脂肪间隙清晰。双侧肾上腺形态、大小未见明显异常(图1)。


2020年6月29日多排CT肾肿瘤CTA(优维显)。CT所见:右肾中下极前部可见一约2.8 cm×2.1 cm×2.7 cm大小的低密度灶(T),内见少许分隔,病灶边界尚清,局部膨出于肾脏表面。右肾动脉提前发出一支分支至右肾上极;远端发出上、下两分支:上支继而发出前、后两支"上-前支远段至右肾中上极前部;上-后支远段至右肾中上极后部"。下支在肾门处发出前上、后下两分支:下-前支(A)先发出一小分支进入病灶(T),继而发出前、后两支:下-前上-前支远段进入病灶(T);下-前上-后支远段至右肾下极前部。下-后下支远段至右肾下极。考虑:右肾中下极占位,肾癌可能(图2)。


2020年6月30日肾核素显像ECT组套(肾动态+肾小球滤过率)。检查所见:患者床边弹丸式静脉注射药物后即行肾小球滤过率测定,经计算机处理,结果如下:左肾肾小球滤过率=54.6 ml/min,右肾肾小球滤过率=53.8 ml/min,双肾总肾小球滤过率=108.4 ml/min。双肾总肾小球滤过率本院正常参考值:105±25 ml/min(图3)。


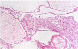
患者于2020年7月3日行手术治疗,2020年7月8日术后病理:肉眼所见:(右肾右肾肿物)灰褐色组织大小4.0 cm×3.0 cm×1.5 cm,剖开见一囊腔,囊腔内容物流失,囊腔大小2.7 cm×2.5 cm×1.5 cm,囊腔周围附少许肾组织。病理诊断:部分肾脏切除标本,肾细胞癌伴显著囊性变,待免疫组化检查补充报告(图4)。


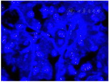
基因检测(FISH检测):采用TFE3断裂探针:镜下见肿瘤细胞内为一黄一红一绿信号,提示TFE3基因断裂重组(图5)。


病例1患者免疫组化:(右肾)肿瘤细胞CA9(-),Pax-8(+),Pax-2(-),CD10(-),Vimentin(灶+),TFE-3(+),CK7(-),结合HE切片及基因检测结果(TFE3基因断裂重组),本例诊断为MIT家族易位肾细胞癌(Xp11.2易位/TFE3基因融合相关性肾癌),肿瘤显著囊性变。
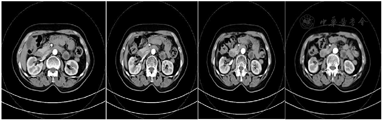
病例2专科检查:双肾区无隆起,双肾及输尿管移行区无叩压痛,膀胱区不充盈,无压痛。2021年5月11日多排CT肾肿瘤CTA(优维显)。CT所见:右肾下极内部见一约3.4 cm×3.0 cm×3.0 cm大小的异常强化灶,病灶边界尚清晰,局部膨出于肾脏表面,边缘见钙化灶,动脉期明显不均匀强化,CT值约160 HU,静脉期CT值约137 HU。腹主动脉前壁分出一支副肾动脉(A)走行至右肾下极前部,远段供应肿瘤。右主肾动脉远段近肾门处分成前、后两分支:前支:先分出一细小分支,供应右肾上极内侧,后分为上、下两分支:前-上支:供应右肾上极前部。前-下分支:供应右肾上极中部。后支:分为上、下两支。后-上支:供应右肾中上极后部。后-下支:供应右肾下极后部。印象及建议:右肾下极内侧部占位,考虑肾细胞癌(透明细胞癌),右侧副肾动脉供应肿瘤(图6)。


病例2患者于2021年5月16日行手术治疗,术后病理:常规病理:(右肾肿物)送检部分肾脏切除标本,大小:3.5 cm×2.8 cm×2.2 cm,切面见一多彩状肿块,肿块大小3.2 cm×2.5 cm×2.0 cm,紧邻被膜及切缘,肿块部分可见钙化。镜下病理诊断:(右肾肿物)考虑肾细胞癌,伴显著出血、囊性变及钙化,待免疫组化进一步分型,肿块大小3.2 cm×2.5 cm×2.0 cm,肿瘤组织侵犯肾被膜,紧邻断端切缘(图7)。


基因检测:采用TFE3断裂探针:镜下见肿瘤细胞内为一黄一红一绿信号,提示TFE3基因断裂重组(图8)。


病例2患者免疫组化:(右肾肿物)肿瘤细胞Vimentin(+),CK7(-),CD117(-),Pax-8(+),CD10(+),EMA(-),E-cadherin(+),TFE-3(+),结合HE切片及基因检测结果(TFE3基因断裂重组),本例诊断为MiT家族易位肾细胞癌(Xp11.2易位/TFE3基因融合相关性肾癌)。
结合临床病史、影像学检查,综合病理学检查结果,2例均诊断为MiT家族易位肾细胞癌。
该疾病通过临床表现、影像学表现、镜下组织学形态、免疫组织化学染色、基因检测等主要需要与如下病变鉴别:(1)透明细胞型肾细胞癌,为肾癌亚型中最常见的类型,临床表现为:血尿、肾区疼痛和肿块。影像学上该病灶为富血供肿瘤,增强扫描呈现"快进快出"方式(即皮质期病灶明显强化,强化程度与周围皮质一致,实质期病灶强化程度明显下降)。病理检查镜下多可见肿瘤界限尚清,周围有假包膜,可见实性腺泡状+薄壁血管网结构,细胞较大,多边形或柱状,胞质丰富,通常透亮,胞界较清晰。免疫表型上CK、EMA阳性。(2)乳头状肾细胞癌:为乏血供肿瘤,增强扫描病灶呈现轻度强化I型密度/信号均匀,Ⅱ型常见囊性变、坏死,但淋巴结及远处转移少见。镜下肿瘤通常界限清,有纤维包膜,常可见乳头状结构,乳头表面被覆单层或假复层肿瘤细胞,乳头轴心可见泡沫细胞和砂粒体沉积。(3)嫌色细胞型肾癌,为乏血供肿瘤,病灶内较少出现囊性变、坏死及出血,增强扫描呈轻-中度强化,部分病灶可见典型的星芒状或轮辐状瘢痕。镜下观察,常见结构为:实性片状或小巢状,也可见管状、梁状结构。肿瘤由大多角形苍白细胞+小圆形嗜酸细胞混合组成;大多角形细胞包膜厚而清晰,似植物细胞,胞质半透明,呈细网状;大多角形细胞核皱缩,可见核沟,核仁不明显;小圆形细胞胞质嗜酸性颗粒状,细胞核卵圆形,可见核周空晕。免疫表型上CD117、Parvalbumin、Ksp-Cadherin阳性,CK7弥漫阳性,CAIX和Vim阴性。(4)乏脂型血管平滑肌脂肪瘤,坏死、囊性变及出血少见,无假包膜,增强扫描呈明显延迟型强化。(5)低度恶性潜能多房囊性肾肿瘤,完全由多房囊性组成,其纤维间隔内含有单个或筛状透明细胞,无扩张性生长。大体标本可见肿瘤为单侧、孤立肿块,直径多小于5 cm,切面呈现多房囊性,囊壁较薄,内容清亮液体,缺乏实性区域。低倍镜下,肿瘤完全由多房囊性组成,囊壁表面衬覆单层肿瘤细胞,囊壁内含有单个或簇状肿瘤细胞,局限性生长。免疫表型上PAX8、CAIX阳性。(6)透明细胞乳头状肾细胞癌,是一种惰性的肾脏上皮性肿瘤,肿瘤排列成管状或乳头状,部分区域呈小管状,腔内可见嗜酸性分泌物,间质内可见多少不等的纤维和平滑肌组织,细胞淡染或透明,核卵圆形,部分肿瘤细胞核远离基底膜呈线性排列。免疫表型上PAX2、PAX8、Vim阳性,CAIX:杯口状阳性,CK7:弥漫强阳性,CD10、P504s 、CD117、TFE3阴性。(7)琥珀酸脱氢酶缺陷型肾细胞癌,恶性上皮性肿瘤,肿瘤呈实性或巢状分布,细胞胞质呈空泡状或泡沫状,弱嗜酸性,核级别较低,免疫表型上:PAX8阳性,SDHB阴性(SDHB阴性是诊断的必要条件)。SDHB染色,肿瘤细胞阴性,散在肥大细胞和炎症细胞阳性。
诊断和鉴别诊断该病的"金标准"仍是术后组织病理学检查,根据病理学镜下表现,该病还需要和遗传性平滑肌瘤病和肾细胞癌相关性肾细胞癌、集合管癌、肾髓质癌、琥珀酸脱氢酶缺陷性肾细胞癌、黏液性管状和梭形细胞癌、管囊状肾细胞癌、乳头状腺瘤、嗜酸细胞瘤、转录延长因子B1号亚单位(TCEB1)突变肾细胞癌/伴有血管平滑肌瘤样间质的肾细胞癌、伴有ALK基因重排的肾细胞癌、RCC甲状腺样滤泡性肾细胞癌、神经母细胞瘤患者的肾细胞癌等鉴别。
病例1患者于2020年7月3日行"腹腔镜下右肾部分切除术"。
病例2患者于2021年5月16日行"机器人辅助腹腔镜下肾部分切除术"。
术后密切随访患者,2例患者术后影像学检查:
病例1: 2020年10月14日肾核素显像ECT组套(肾动态+肾小球滤过率),(图9)。


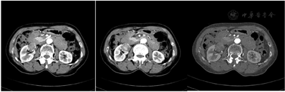
2020年10月15日泌尿科门诊多排CT中腹部直接增强(欧乃派克),CT所见:右肾恶性肿瘤术后:右肾形态不整,右肾术区结构紊乱并示缝合线及短棒状密度影,临近结构强化不均,右侧外侧示条索影;左肾形态及强化未见异常。双侧肾上腺未见明显异常(图10)。


2021年4月22日,泌尿科门诊多排CT中腹部直接增强(欧乃派克),CT示:右肾恶性肿瘤术后,临近结构强化不均匀,较前2020年10月15日大致相仿,建议随诊复查。
病例2:2021年8月23日泌尿外科门诊多排CT胸部平扫,CT所见:右肾部分切除术后,术区见金属影及片状低强化影。左肾形态未见异常,肾实质内未见明显异常密度影。双侧肾上腺形态、密度未见异常。印象及建议:右肾部分切除术后,术区片状低强化灶,考虑术后改变可能,建议随诊复查(图11)。


2021年12月7日泌尿外科门诊多排CT中腹部直接增强(欧乃派克),CT所见:右肾部分切除术后,术区片状低强化灶,较前2021年8月23日范围稍缩小,考虑术后改变可能,建议随诊复查。
密切随访2病例,患者无死亡,肿块无复发,仍在密切随访中。
MiT家族易位肾细胞癌包括Xp11易位肾细胞癌和t(6;11)易位肾细胞癌[1,2,3,4]。Xp11.2易位肾细胞癌好发于儿童及年轻人,分别占儿童期肾细胞癌的20%~75%和成人期肾细胞癌的1%~4%。Xp11.2易位肾细胞癌发生于女性者更多见,可能与女性的X染色体量更多相关。本文报道2例成人MiT家族易位肾细胞癌,患者均为女性,年龄分别为50岁和64岁,该病例临床上较少见。临床症状该病相比于其他肾细胞癌无特异性,但患者血尿出现的概率更大,但值得注意的是本文报道的2例患者均无血尿、腰痛等特征性临床表现,且均是因在体检时发现肿块而就诊。
MiT家族易位性肾癌含2个MiT转录因子家族成员(TFE3和TFEB)的基因融合,Xp11.2易位相关肾细胞癌具有涉及TFE3的基因融合,t(6;11)易位肾细胞癌具有涉及MALAT1-TFEB的基因融合[5]。本为报道的2例患者都进行了基因检测。采用TFE3断裂探针:镜下见肿瘤细胞内为一黄一红一绿信号,提示TFE3基因断裂重组。因此本文2例患者均诊断为Xp11.2易位相关肾细胞癌。
影像学检查可发现肿瘤主体病灶位于肾髓质内,以实性或囊实性为主,囊性成分的形成可能与坏死、出血等相关。Xp11.2易位肾细胞癌的实性成分在平扫上多呈现稍高密度,可能与病灶内出血、蛋白质含量丰富和细胞密度高相关。钙化的存在可能对Xp11.2易位肾细胞癌的诊断有提示作用,其形成可能与镜下砂粒体的存在相关。T2W1上不均匀低信号是Xp11.2易位肾细胞癌较有特征性的影像学特点,而乳头状结构、囊变坏死、钙化、出血和韩铁血黄素沉积是此征象出现的原因。T1W1上病灶多呈高信号,这是由于病灶内出血、蛋白含量丰富及细胞密度高所致。假包膜是Xp11.2易位肾细胞癌另一较有特征的影像学征象,是指T2W1上病灶周边环形低信号,大部分病灶假包膜不完整。在DW1上呈高信号,ADC图为低信号,这与病例上肿瘤组织呈乳头状及巢状排列,细胞间隙小,造成水分子扩散受限有关。增强扫描上,Xp11.2易位肾细胞癌被认为是一种相对乏血供的肿瘤,病灶以轻、中度延迟型或渐进性强化为主,强化程度始终低于肾皮质。相对于其他肾癌,Xp11.2易位肾细胞癌的淋巴结转移和远处转移更常见。t(6;11)易位肾细胞癌相对于Xp11.2易位肾细胞癌更加罕见,国内外对其影像学报道极少;影像学表现与Xp11易位肾细胞癌相似,即病灶主体以囊实性为主,在CT上为稍高密度肿块,T1W1上为稍高/高信号,T2W1上低/稍低信号,亦可见出血、钙化;增强扫描呈轻、中度延迟型或渐进性强化,但相比于Xp11.2易位肾细胞癌,t(6;11)易位肾细胞癌的最大径更大,这可能与t(6;11)易位肾细胞癌的恶性程度相对较低而更易形成巨块有关。本文2例患者均为Xp11.2易位相关肾细胞癌,病例1超声检查提示囊实性混合回声,形态规则,界限清晰,内见多发点状强回声,内未见明显血流。CT检查肿块亦可见斑点状钙化灶。病例2患者CT检查肿块为异常强化灶,边缘可见钙化灶,动脉期不均匀强化。本文2例患者Xp11.2易位相关肾细胞癌影像学表现均与文献报道一致。确诊MiT家族易位肾细胞癌仍需依赖病理检查,其共同的组织学特点是肿瘤细胞呈乳头状、巢状及腺泡状排列,肿瘤细胞胞质呈完全透明或嗜酸性染色,但不同融合基因亚型之间的形态学特点又有所不同。
Xp11.2易位肾细胞癌的独特结构是:乳头状+上皮样透明细胞+丰富砂粒体,另可见腺泡状或类似其他肾细胞癌的结构,肿瘤细胞呈假复层,胞质可嗜酸性,核级较高,少数含有黑色素。t(6;11)易位肾细胞癌的独特结构为:大的上皮样细胞+小细胞(包绕基底膜样物质,类似于Call Exner小体)。免疫表型上,该肿瘤PAX8、CD10、AMACR、Vim阳性;TFE3核强阳性(TFE3免疫组化染色对Xp11易位相关肾细胞癌敏感);TEEB核强阳性(TEEB免疫组化染色对t(6;11)易位肾细胞癌敏感)。Melan A 、HMB45阳性(对t(6;11)易位肾细胞癌阳性,Xp11.2易位相关肾细胞癌部分阳性)。CK、EMA相对于其他肾细胞癌低表达,CAIX阴性[6,7]。值得注意的是该病需要与常见的肾细胞肿瘤,如透明细胞肾细胞癌、乳头状肾细胞癌和嫌色性肾细胞癌相鉴别。还需要与其他具有乳头状结构的肿瘤,如乳头状肾细胞癌、遗传性平滑肌瘤病和肾细胞癌相关性肾细胞癌、肾集合管癌、管状囊性肾细胞癌、获得性囊性肾病相关肾细胞癌、透明细胞乳头状肾细胞癌等相鉴别。
具有乳头状结构的肿瘤往往都具有一些特异性的临床表现或组织学表现、遗传学表现,可帮助诊断和鉴别诊断。如遗传性平滑肌瘤病和肾细胞癌相关性肾细胞癌免疫表型上2SC(2-琥珀酸半胱氨酸)过表达,分子上其具有1q42.3-q43染色体上FH基因胚系突变[8,9,10];肾集合管癌中间质促纤维反应明显,肿瘤细胞在囊腔内可呈鞋钉样排列,细胞核核级高[11];管状囊性肾细胞癌临床上几乎只发生于获得性囊性疾病患者,尤其是长期血液透析的患者,镜下肿瘤形态多样,胞质嗜酸性,间质含有草酸钙结晶[12];透明细胞乳头状肾细胞癌好发于中老年人,大多数为散发,少数可出现在终末性肾病和VHL综合症患者,免疫表型上CAIX染色可显示肿瘤细胞呈杯口状阳性(细胞膜两侧阳性);乳头状肾细胞癌的诊断需要排除其他具有乳头状结构的肿瘤[13]。
手术切除仍是当前该病首选的治疗方式。预后方面,Xp11.2易位肾细胞癌属于高度侵袭性肿瘤,患者总生存率与透明细胞肾细胞癌相似,儿童期Xp11.2易位肾细胞癌患者的病程相对较缓慢,经过治疗后预后较好。而成年人Xp11.2易位肾细胞癌疾病的侵袭性往往较高,疾病具有进展快及预后差的特点。通常认为t(6;11)易位肾细胞癌是惰性生物学行为,因此其总体预后优于Xp11.2易位肾细胞癌[14]。本文报道的2例Xp11.2易位肾细胞癌患者均行手术切除肿瘤,病例1患者于2020年7月3日行"腹腔镜下右肾部分切除术";病例2患者于2021年5月16日行"机器人辅助腹腔镜下肾部分切除术"。目前,病例1患者已密切随访2年余,病例2患者也已随访1.5年余,随访时期内,患者健在,肿物未见复发。
所有作者均声明本研究不存在利益冲突
张凯健.Xp11.2易位肾细胞癌2例临床病理分析[DB/OL].中国临床案例成果数据库,2023(2023-01-07).http://journal.yiigle.com/LinkIn.do?linkin_type=cma&DOI=10.3760/cma.j.cmcr.2023.e00152.





















