
患者,女性,65岁,主因"发热、咳嗽6 d"就诊于我院发热门诊。
查血常规白细胞正常,流感快速抗原检测阳性,胸部CT示左肺下叶实变。1 d后患者出现言语不清、共济失调步态、谵妄和尿潴留,查血肌酸激酶明显升高。
初步诊断为"流感,社区获得性肺炎,中枢神经系统感染,横纹肌溶解"。
住院后行腰穿,颅压正常,脑脊液常规和生化检测均正常。血、痰、脑脊液各种病原学检测均阴性。给予帕拉米韦和莫西沙星抗感染治疗,发热和神经系统症状无明显改善。此时,和患者共同居住的儿媳也出现发热,伴明显头痛,血象正常,胸部CT也表现为左肺下叶实变。通过调查获悉患者家中饲养2只鹦鹉,近1个月内相继死亡。2例患者的支气管肺泡灌洗液经宏基因组高通量测序(mNGS)均检测出鹦鹉热衣原体。给予患者莫西沙星联合米诺环素治疗,给予哺乳期的儿媳阿奇霉素治疗,2 d后热退,随后病情逐步好转。
1个月后复查胸部显示左肺实变完全吸收痊愈。
感染疾病科;急诊科;呼吸与危重症医学科
版权归中华医学会所有。本文为遵循CC-BY-NC-ND协议的开放获取文章。
鹦鹉热(psittacosis),又称鸟疫,是一种人畜共患传染病,主要是由鹦鹉热衣原体引起,多数患者有鸟类接触史,以发热、干咳、头痛、肌痛为主要临床表现,约占社区获得性肺炎的1%[1]。伴有明显的神经系统症状是鹦鹉热衣原体肺炎的临床特征之一。文献报道约三分之一的患者常由于明显的头痛、畏光、意识障碍等神经系统症状,从而疑诊脑膜炎而行腰穿检查[2]。该病缺乏常规实验室检查手段,确诊困难,临床医生以往对该病缺乏认识。近年来鹦鹉热病例在国内报道明显增多,推测一方面得益于宏基因组高通量测序(mNGS)技术的进展[3],一方面也与我们的生活环境改变和生活水平改善带来的鸟类暴露增多有关。本文报道一家四口,饲养2只鹦鹉半年,3人发热,2人确诊鹦鹉热,旨在提高临床医生对本病的认识。
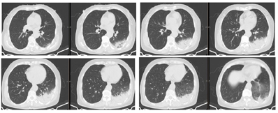
例1,女性,65岁,主因"发热、咳嗽7 d,言语不清、步态不稳、意识障碍1 d"于2021年12月27日入院。患者7 d前无明显诱因出现发热,未测体温,伴畏寒、乏力、头痛、全身肌肉酸痛、干咳,左侧胸痛。自行口服"感冒药"症状未见好转,每日体温波动于36.5~38.0℃,未予诊治。2 d前体温升高达40℃,就诊于发热门诊,鼻咽拭子乙型流感快速抗原检测阳性,血常规示白细胞4.91×109/L,中性粒细胞占比0.86。胸部CT示左下肺大片实变影(图1)。诊断为乙型流感,社区获得性肺炎。予莫西沙星400 mg每日1次、帕拉米韦300 mg每日1次抗感染治疗。1 d前患者出现言语不清、共济失调步态、烦躁、谵妄、尿潴留,为求进一步诊治收入我科。患者既往体健,个人史、婚育史、家族史无特殊。入院体格检查:T 39.0℃,P 103次/min,R 20次/min,BP 115/80 mmHg(1 mmHg=0.133 kPa)。左下肺可闻及湿啰音。心腹体格检查未见异常。双下肢无水肿。神经系统体格检查:定向力障碍,双侧瞳孔等大正圆,对光反射灵敏,颈软无抵抗,言语不利,共济失调步态,指鼻试验阳性。四肢肌力V级,肌张力正常。病理征阴性。


血常规及生化结果见表1。

患者血常规及生化结果
患者血常规及生化结果
| 时间 | WBC(×109/L) | HGB(g/L) | PLT(×109/L) | Neu% | ALT(U/L) | AST(U/L) |
|---|---|---|---|---|---|---|
| 2021年12月25日 | 4.91 | 122 | 98 | 85.9 | 27.1 | 63.3 |
| 2021年12月26日 | 5.29 | 125 | 80 | 88.0 | 44.0 | 99.0 |
| 2021年12月27日 | 3.71 | 105 | 69 | 83.3 | 50.0 | 88.9 |
| 2021年12月28日 | 3.03 | 100 | 68 | 86.5 | 49.0 | 77.0 |
| 时间 | Cr(μmol/L) | cTnT(ng/ml) | CK (U/L) | CK-MB(U/L) | K(mmol/L) | Na(mmol/L) |
|---|---|---|---|---|---|---|
| 2021年12月25日 | 65 | 0.012 | 2623 | 31.5 | 3.49 | 127.9 |
| 2021年12月26日 | 57 | 0.013 | 2775 | 36.5 | 3.67 | 125.8 |
| 2021年12月27日 | 47 | 0.005 | 1161 | 22.0 | 3.49 | 131.8 |
| 2021年12月28日 | 41 | 0.005 | 933 | 16.0 | 3.60 | 137.0 |
病原学方面:痰涂片找细菌、结核、真菌均阴性。痰培养和血培养均阴性。血清肺炎支原体抗体、肺炎衣原体抗体和嗜肺军团菌抗体均阴性。尿肺炎链球菌和嗜肺军团菌抗原均阴性。复测鼻咽拭子甲型流感快速抗原检测阳性,呼吸道病原体核酸检测(包括甲型流感及乙型流感)均为阴性。结核菌T细胞斑点试验阴性。血新型隐球菌、1,3-β-D-葡聚糖和曲霉半乳甘露聚糖抗原均阴性。
腰穿:测压125 mmH2O。脑脊液无色透明,细胞总数4个/μl,白细胞数0个/μl,总蛋白49.9 mg/dl(正常值12~60 mg/dl),葡萄糖2.9 mmol/L(正常值2.2~3.9 mmol/L),氯121.8 mmol/L(正常值120~130 mmol/L)。脑脊液新型隐球菌抗原阴性。脑脊液涂片未见细菌和抗酸杆菌。
患者老年女性,急性起病,流感季节出现发热、咳嗽,流感快速抗原检测结果为乙流阳性,临床可初步诊断为流感。但患者胸部影像表现为左下肺叶段分布的实变影,与典型流感病毒肺炎不符。可进一步行下呼吸道标本如支气管肺泡灌洗液行流感病毒检测以协助诊断。
患者老年患者,急性起病,发热咳嗽,伴明显神经系统症状,胸部影像表现为左肺实变,肝酶升高,肌酶明显升高,低钠血症,需考虑军团菌肺炎,但患者血象不高,PCT不高,尿嗜肺军团菌抗原阴性则不支持军团菌肺炎的诊断。
患者急性起病,有发热和脑炎表现,言语不清、共济失调步态、烦躁、谵妄、尿潴留,需考虑中枢神经系统感染,但患者无明显脑膜刺激征,脑脊液检测未见异常,与中枢神经系统感染不符。
患者同时存在肺部实变及神经系统症状,临床需考虑隐球菌感染同时导致的肺炎和脑膜炎。但该患者颅压不高,脑脊液常规生化检测与隐球菌脑膜炎不符,血和脑脊液隐球菌抗原均阴性,也不支持隐球菌感染。故考虑该诊断可能性小。
患者同时有肺实变和中枢神经系统症状,需考虑该诊断可能。但患者起病急,进展迅速,与肿瘤病程不符,且影像不典型,考虑该诊断可能性小,可行肿瘤标记物化验,必要时行肺穿刺活检协助诊断和鉴别。
患者住院后继续给予莫西沙星400 mg每日1次、帕拉米韦300 mg每日1次抗感染治疗,3 d后仍发热,神经系统症状无明显好转。
此时,与其共同居住的例2(儿媳)和例3(孙女)也出现发热,体温最高38.6℃,例2还伴有明显头痛,血象不高,流感检测阴性,胸部CT也显示左肺下叶外后基底段胸膜下片状实变影(图2)。


经详细病史询问,得知患者家中半年前开始饲养鹦鹉,此次家庭群聚发病前1个月前死亡一只,4 d前又死亡一只。两只鹦鹉莫名死亡,一家三口相继发热,临床高度怀疑鹦鹉热。治疗上,对患者(例1)在莫西沙星基础上联合米诺环素抗感染,而儿媳(例2)尚处于哺乳期,我们给予了阿奇霉素治疗。同时,例1和例2分别进行了支气管镜检查和支气管肺泡灌洗,经mNGS确诊病原体为鹦鹉热衣原体。
例1(患者)在莫西沙星联合米诺环素治疗3 d后体温降至正常,4 d后神经系统症状改善,言语和步态改善,1周后神清语利,基本可下地正常行走。例2(患者儿媳)在阿奇霉素治疗2 d后体温降至正常,头痛明显减轻。
例1的孙女就诊于儿科,查血常规白细胞正常,快速流感抗原检测阴性,胸片未见明显异常。在获悉家中鹦鹉饲养史后,经验性给予口服阿奇霉素治疗,2 d后体温正常。
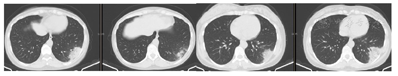
综上,一家四口人,三人发热,两人确诊鹦鹉热,一人临床疑诊鹦鹉热。确诊二人出院1个月后门诊随诊,复查CT肺部实变完全吸收(图3、图4)。




本文中患者在流感季急性起病,发热、咳嗽,流感抗原快速检测结果为乙型流感病毒阳性,初步诊断为流感。但患者胸部影像表现为左下肺叶段分布的实变影,与典型流感病毒肺炎的双肺弥漫或多发斑片状磨玻璃影完全不符。之后复查快速流感抗原为甲流阳性,呼吸道流感病毒核酸检测阴性,三次流感检测结果完全不一致,给病例的诊断增加了干扰因素。但考虑到流感季,以及流感肺炎的多样性和复杂性,临床给予了抗流感病毒的药物治疗。
如果仅用流感病毒性肺炎无法解释该患者胸部影像的左下肺实变影,那么流感共感染则容易解释。众所周知,肺炎链球菌是流感最常见的共感染病原体,也是中枢神经系统感染的常见病原体,而且肺炎链球菌肺炎典型胸部CT表现为大叶实变,临床可表现为多器官受累的重症病例[4]。但该患者随后的意识障碍表现为言语不利、共济失调步态、谵妄、尿潴留、失语,并非典型细菌性脑膜炎的常见表现,而且颈抵抗和脑膜刺激征阴性,以及脑脊液化验的结果也不支持细菌性脑膜炎,因此该思路虽然合理,但走不通。
临床上对于表现为神经系统明显受累的肺炎,结合多器官受累,肌酶升高,低钠血症,很容易想到军团菌肺炎可能,军团菌肺炎时的神经系统受累多为细菌毒素或免疫机制介导,其脑脊液也与细菌性脑膜炎不同,通常无明显异常发现[5]。该患者确实如此,但并无病原学证据支持,包括血清抗体和尿抗原检测结果均阴性。尿嗜肺军团菌抗原虽然具有很好的敏感性和特异性,但只对嗜肺军团菌1型具有诊断意义,对其他血清型无诊断价值[6]。如此看来,临床上初始经验性抗菌药物选择莫西沙星覆盖军团菌,也是合理的。
当诊断陷入困境,一筹莫展之时,患者共同居住的儿媳和孙女同时发热,为诊断带来转机。"有趣"的是,例2(儿媳)的症状与例1(患者)的病情很是相似,都表现为发热和明显的神经系统症状,化验血象不高,连胸部CT也表现为同样的部位和形态。这也引发了我们极大的关注。千头万绪,还是要从患者身上找答案。出于感染科医生的职业敏感性,通过详细的流行病学询问,获悉患者家中饲养两只鹦鹉半年,近一月内相继死亡,因此联想到和鹦鹉相关的人畜共患病——鹦鹉热,并在第一时间给婆媳二人选择了合适的药物治疗,为改善预后赢得了时间。更为难得而且重要的是,后续的支气管肺泡灌洗液mNGS检测结果也印证了我们的临床判断,原来鹦鹉才是此次家庭聚集性肺炎发病的元凶。
鹦鹉热是一种人畜共患的传染病,主要是由鹦鹉热衣原体引起。鸟类发病后引起嗜睡、厌食、羽毛皱褶、眼鼻分泌物增加,或腹泻,消瘦、脱水、甚至死亡。病原体通过鸟类粪便、尿液和呼吸道分泌物排出。人在接触鸟类时可通过吸入含有鹦鹉热衣原体的气溶胶而感染[1]。近期我国学者的研究提供了人传人的证据,证实鹦鹉热衣原体也存在人际传播[7]。通常多为散发,家庭聚集性发病临床罕见[8]。在一项荟萃分析中,鹦鹉热衣原体肺炎约占社区获得性肺炎的1%,潜伏期为5~14 d,其典型症状表现为发热、干咳[1]。脑膜脑炎是鹦鹉热的一种严重并发症,神经系统的症状可以从严重头痛、意识模糊到癫痫、小脑共济失调、颅神经受累,甚至出现横贯性脊髓炎或格林巴利综合征。累及神经系统症状会增加疾病的复杂程度,未能及时诊断可影响预后。一项纳入129例鹦鹉热衣原体肺炎的研究中,87%患者出现头痛,12%表现出精神状态改变,33%患者进行了腰穿,15%病例中发现脑脊液蛋白升高,仅1例淋巴细胞增多,其余均正常[2,9]。因此合并明显的神经系统症状不只是军团菌肺炎的临床特征,也是鹦鹉热衣原体肺炎的重要临床特征。其发病机制尚不清楚,可能与毒素和免疫机制有关,与直接感染无关,因此脑脊液检测通常无明显异常。
鹦鹉热的实验室检查缺乏特异性,血常规白细胞通常正常,但分类可有核左移。C反应蛋白、血沉通常明显升高。肝酶轻度升高和低钠血症常见。微量免疫荧光法检测血清鹦鹉热衣原体抗体是常用的诊断手段,血清抗体滴度四倍以上变化,或抗体滴度>16,具有诊断意义,但我国各医院的实验室并不常规开展该检测。鹦鹉热衣原体的培养技术难度高,并且培养时有高度传染性,只能在生物安全级别3级以上的特殊实验室进行。传统病原学诊断技术存在诸多缺陷,基于宏基因组测序的病原检测技术显示出了巨大的应用价值,近年来国内外关于鹦鹉热文献报道几乎都来自于mNGS测序结果[3]。鹦鹉热胸部影像学可以表现为不同程度的实变和渗出,多表现为胸膜下实变影,下肺多见。实变累及范围与病情严重程度相关。胸腔积液少见[1,3,10,11,12]。
由于鹦鹉热衣原体无细胞壁结构,因此β内酰胺类抗菌药物治疗无效。首选四环素类抗生素,多西环素临床经验最多,也可选择口服米诺环素。在轻中度患者,大多数在治疗48 h后明显改善,一般疗程为7~10 d。二线治疗方案可选择大环内酯类,尤其适于孕妇和儿童。在体外试验,氟喹诺酮类抗菌药物也有很好的抗菌活性。但目前尚缺乏喹诺酮类药物相关临床试验[1,9,10,11]。
总之,鹦鹉热这样一个原本古老的疾病,只不过在mNGS诊断技术映衬下再次呈现在我们面前。也许与国人生活环境的改变有关,让蓝天白云鸟类距离我们又近了一步。也许与我们的生活条件的改善有关,让鹦鹉成为新宠。
本例给我们的体会是:1.临床遇到血象不高,单侧肺胸膜下实变影的肺炎患者,应仔细询问鸟类禽类接触史。2.虽然检验检查技术飞速发展,但详细询问病史在感染性疾病诊断中的重要性仍然不言而喻,也成为我们成功救治一家三口的重要突破口。事实证明,目我院发热门诊电子病历模板中在流行病学史中加入"鸟类接触史",让很多患者少走了弯路,有助于我们化繁为简,有的放矢,更好的优化社区获得性肺炎的抗菌药物治疗。
所有作者均声明本研究不存在利益冲突
陈静,路明,沈宁.鹦鹉热引起的家庭聚集性肺炎2例[DB/OL].中国临床案例成果数据库,2023(2023-01-11).http://journal.yiigle.com/LinkIn.do?linkin_type=cma&DOI=10.3760/cma.j.cmcr.2023.e00225.





















