
患者,男性,15岁。2+年前因嘴突、牙齿拥挤在当地矫牙,拔除4颗前磨牙后行正畸治疗,今间隙无法关闭,嘴突无明显改善,遂来本院寻求治疗。
患者正畸治疗过程中,侧貌凸,正貌左右不对称;4颗第一前磨牙已拔除,拔牙间隙未完全关闭,上下牙列未排齐,覆合、覆盖偏大。
口外检查:侧貌凸面型,均角;正貌不对称,露龈笑明显,张口三横指,开口型正常。口内检查:14、24、34、44已拔除,上下前牙Ⅰ~Ⅱ°松动,上下中线不协调,上下牙弓剩余间隙各5~6 mm,牙列不齐。头颅侧位片:骨性一类错合,双牙弓前凸。全景片:上下前牙根尖圆钝,牙槽骨水平吸收。CBCT:上前牙唇侧皮质骨薄,32-42牙槽骨吸收至根尖1/3(伴有骨开裂)。
正畸牙周联合治疗。拆除原有矫治器,行牙周基础治疗,待牙周条件稳定后再行二次正畸治疗,关闭拔牙间隙,改善面型及咬合关系。
固定矫治23个月。上下牙列排齐,拔牙间隙关闭,咬合关系良好,凸面型改善,牙周条件稳定。
口腔正畸科;牙周科;正畸患者
版权归中华医学会所有。本文为遵循CC-BY-NC-ND协议的开放获取文章。
正畸治疗的生物学基础是牙周组织的改建,适当的正畸力介导压力侧破骨与张力侧成骨的平衡稳定,而异常的正畸力则会导致牙根吸收和牙槽骨缺损如骨开窗和骨开裂。骨开窗和骨开裂在前牙区唇侧骨壁有着较高的发病率,影响着正畸治疗的进程和效果[1,2,3,4]。对于此类牙周条件复杂的患者,选择合适的矫治技术和力学系统至关重要[5],本文报道1例外院拔牙矫治后间隙无法关闭,且存在严重骨开窗骨开裂的青少年男性病例,对其进行二次固定矫治,通过对前牙根骨关系的精细调控、咬合干扰的及时破除和对牙周状况的密切监控,取得了满意的正畸效果,旨在对本疾病治疗时提供新的思路。
患者,男性,15岁,学生。主述:牙齿不齐,嘴突,拔牙矫治2+年,间隙无法关闭。
病史:2+年前因嘴突、牙齿拥挤在当地矫牙,拔除4颗第一前磨牙后行正畸治疗(具体方案不详),今拔牙间隙无法关闭,嘴突无明显改善,遂来我院寻求治疗。既往体健,习惯右侧咀嚼,否认传染病史及手术外伤史,否认家族遗传史,否认系统性疾病史。
口外检查(图1):


正面观:患者面部左右不对称、左侧丰满,双侧口角下垂,颏肌紧张,高位笑线,笑弧不协调,上中线右偏1.5 mm、下中线右偏2.5 mm。
侧面观:凸面型,鼻唇角偏小,上、下唇位于E线外,上中切牙FA点位于Gall线外。
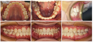
口内检查(图2):恒牙列;尖牙近中关系,磨牙中性关系。前牙深覆合、深覆盖。上颌纵合曲线呈反向,下颌Spee曲线深且不规则。11、13、21、23、43、33Ⅰ°松动,12、22、41、42、31、32Ⅱ°松动。14、24、44、34缺失,上牙列左右侧各剩余2.6 mm、3 mm间隙;下牙列左右侧各剩余2.8 mm、2.3 mm间隙。13、23、43、33远中牙龈凹陷。


功能检查:右侧偏侧咀嚼;张口型正常,张口度三横指,双侧颞下颌关节无弹响、疼痛。
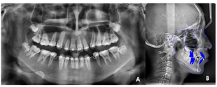
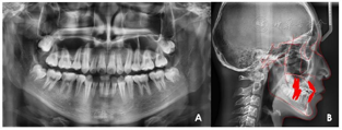
曲面断层片检查(图3A):14、24、34、44缺失,全口牙牙根平行度欠佳,散在间隙,18、28、38、48牙胚存;12根尖暗影;12、22、41、42、31、32牙根短且根尖圆钝;11、12、21、22、41、42、33、41、32、33牙槽骨有不同程度的水平吸收。


头颅侧位片检查(图3B)表1:ANB-2°,Wits值-2.5 mm,U1-SN为113.2°,U1-NA为29.4°,U1-NA值为7.7 mm。

治疗前头影测量值
治疗前头影测量值

CBCT检查(图4):上下前牙唇侧皮质骨薄,13-23、32-42唇侧牙槽骨不同程度骨开窗或骨开裂、牙根位置靠近唇侧骨皮质。


1.骨性I类错合;3.凸面型,均角;4.正畸术中,个别牙缺失;5.牙槽骨吸收;6.骨开窗、骨开裂;7.面部不对称。
1.牙周正畸联合治疗:术前牙周基础治疗,维护牙周稳定。建议行PAOO(牙周辅助加速正畸成骨手术Peirodontally accelerated osteogenic orthodontics)手术,患者及家长考虑后表示拒绝。
2.非拔牙矫治技术(18、28、38、48建议观察并视情况择期拔除)。
3.自锁直丝弓矫治技术。通过间断轻力排齐并压低上下前牙,适当内收前牙,关闭拔牙间隙,尽可能改善侧貌。内收前少量多次添加根舌向转矩控制前牙根骨关系,防止骨开裂的进一步加重,以实现部分牙移动。复诊时观察上下前牙松动度、前牙唇舌向的根形、调整前牙的咬合干扰、监控牙周附着丧失等情况,定期牙周科复诊。
4.改善覆合、覆盖、磨牙关系,尽可能协调中线,牙代偿改善面部不对称。
5.保持>2年。
1.拆除原有矫治器,行全口牙周基础治疗后不保持,使牙齿自然复发到相对稳定的位置。2月后复诊(图5),上下前牙松动度改善,患者及家长抗拒牙周手术,在沟通后开始行正畸治疗。


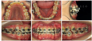
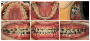
2.正畸治疗第1-6月,逐步使用0.014英寸、0.016英寸、0.018*25英寸镍钛丝排齐牙列,每4-6周复诊并适度调合并加少量双颌摇椅曲,密切观察咬合干扰、牙齿松动度、牙根形态,前牙的覆合关系等(图6)。


3.正畸治疗第7~23个月,在0.018×25英尺不锈钢方丝标准弓上分次施加上下前牙根舌向转矩,调整根骨关系,弹性牵引内收上下前牙关闭剩余间隙并改善前突侧貌,及时监控根骨关系,协调前牙覆合覆盖、后牙咬合关系等。利用3/8弹性橡皮筋(3M 3.5OZ)内收前牙关闭拔牙间隙,施前牙斜行牵引(5/16 3M 3.5OZ)调整中线(图7)。


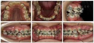
通过23个月的治疗,患者牙列整齐,尖牙及磨牙关系接近中性关系,咬合稳定,覆盖覆合正常,中线对称居中,前牙根骨关系明显改善,无明显松动(图8)。患者侧貌从凸面形变为直面型,颏部轮廓柔和(图9)。曲面断层片(图10)显示牙根平行度良好,无明显的牙根吸收。头影测量分析(图12)显示各项数据均已恢复正常值范围(表2)。CBCT(图11):上下前牙牙根位于骨松质内,有少量皮质骨覆盖。











头影测量治疗前后测量值对比
头影测量治疗前后测量值对比

正畸结束后一年半随访,牙周情况良好,疗效稳定(图13)。


骨开窗和骨开裂通常被认为是正畸治疗的风险因素,需要仔细的监控和分析[6]。不当的正畸操作会导致医源性损伤,严重影响患者的口腔健康。本例患者初诊时,其牙周状况不佳,其上下牙列在低硬度圆丝上进行前牙内收,出现了严重的支抗和转矩丢失,导致"过山车"效应,出现前牙咬合干扰,拔牙间隙无法关闭、根骨关系异常、骨开窗等难题。
牙周维护在此类案例的治疗中起着至关重要的作用[7]。健康的牙周组织为正畸治疗提供了安全性、稳定性、支持性和美观性。对于该类牙周条件较差的患者,可与牙周医生联合,必要时可配合牙周手术来改善,如PAOO手术来实现牙槽骨的增量,研究表明PAOO可为正畸治疗提供更好的牙周支持组织条件[8,9,10]。
持续轻力是伴有牙周支持组织丧失患者正畸牙移动的关键加力原则[11]。在矫治过程中施加在牙齿上的矫治力需轻柔,可适当延长每次加力的时间间隔,中途可预约患者随访,及时监控牙齿的移动情况及松动度等。
对于该类患者已存在的咬合干扰需及时调整并及早预判,避免牙移动后可能出现更严重的咬合干扰,导致更严重的附着丧失[12]。可采取:调合、托槽重定位、通过弓丝入槽的方式来实现压低、分步移动等方式来减少咬合干扰带来的损伤。
在牙移动及内收前牙过程中为避免牙根过分位于唇侧或舌侧牙槽骨边缘,致前牙牙根根形明显、附着丧失及开窗等情况的发生,可少量多次增加前牙根舌向或唇向转矩,将牙根调整在骨松质内,实现牙移动,避免引起更严重的骨开裂。特别要注意根舌向转矩施加时间及量的把控,避免牙根从舌侧骨板穿出;综上所述,在矫治过程中,我们通过轻力、转矩控制、去除咬合干扰、拍摄CBCT检查严密监控牙移动过程中的根骨位置关系等切实有效的手段,可提高骨开窗病例二次正畸的成功率,若能配合一定的牙周手术将会达到更理想的效果。当然,在正畸治疗过程中医生应把握治疗原则,严格监控根骨关系,避免不良正畸操作给患者带来健康的损害。
雷杰,黄登浩,肖遥.不良拔牙矫治致前牙骨开窗病例的二次正畸治疗[DB/OL].中国临床案例成果数据库,2023(2023-01-12).http://journal.yiigle.com/LinkIn.do?linkin_type=cma&DOI=10.3760/cma.j.cmcr.2023.e00257.
所有作者均声明本研究不存在利益冲突





















