
患者,女性,23岁。8年前无明显诱因出现面部不对称,影响美观进食;3年前曾于外院行下颌假体植入及颏成形手术,术后无明显改善,近2年来自觉偏斜不断加重。
患者面部明显不对称,口角左低右高,微笑时露齿不足。颏部明显右偏,双侧下颌角及下颌下缘明显不对称。开口度Ⅲ指,开口型明显左偏。
口外检查:鼻部、颊部、口角不对称,颏部右偏6 mm,侧貌直面型,开口型左偏。口内检查:前牙深覆
,左侧后牙开
。曲面体层片检查:左侧髁突膨大,下颌可见钛板及假体。头颅正、侧位片检查:骨性Ⅰ类伴面部不对称畸形。CBCT检查:左侧髁突膨大,表层骨皮质连续。放射性核素检查:双侧髁突骨盐代谢比右:左=1:1.76。
正畸正颌联合治疗"手术优先"模式,固定矫治技术;口内粘接矫治器后先行双颌手术、口内入路左侧髁突切除、关节重建。术后早期颌间牵引并排齐牙列建立稳定咬合关系,在肌肉重新附着前维持关节稳定。
总疗程17个月。术后给予患者采用压膜保持器至今。嘱患者继续进行修复治疗。
正畸科;正颌外科
版权归中华医学会所有。本文为遵循CC-BY-NC-ND协议的开放获取文章。
髁突良性肥大可导致患者面部不对称、口内咬合关系紊乱和关节运动障碍,病因尚不清楚,其主要治疗手段为髁突切除,关节重建、纠正面部不对称。该类患者"手术优先"治疗模式的报道较少,对术后正畸的难点、要点,以及牙齿移动与稳定下颌位置之间的关系尚不明确。本文报道一例单侧髁突良性肥大的患者,采用"手术优先"模式的正畸正颌联合治疗,通过术后正畸稳定咬合,能够诱导残余髁突形态改建,形成正常突窝关系,为对本疾病的治疗提供新的思路与证据支持。
患者,女性,23岁。主诉:面部不对称伴进行性加重2年。
病史:8年前无明显诱因出现面部不对称,影响美观进食;3年前曾于外院行"左侧MEDPOR假体植入+颏成形术",术后面部改善不明显,近2年来自觉偏斜不断加重。14年前车祸头面部外伤,自诉当时无髁突骨折发生。既往体健,无正畸史,无不良习惯,否认传染病史,否认家族遗传史,否认系统性疾病史。
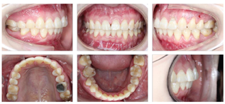
口外检查(图1):


正面观:下颌不对称,颏部右偏6 mm,微笑时露齿不足,咬合平面左低右高。
侧面观:直面型,双侧下颌升支形态不一致。
开口型左偏,开口度正常。
口内检查(图2):


恒牙列,磨牙关系左侧近中,右侧中性,前牙Ⅲ度深覆合,覆盖正常,下颌中线右偏1 mm,左侧前磨牙区开
。
26大面积银汞充填体,46牙色充填体。
32-43对应前庭沟处黏膜可见瘢痕。
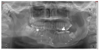
曲面体层片检查(图3):左侧髁突膨大,下颌体部及颏部可见钛板钛钉影像。


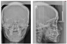
头颅正、侧位片检查(图4):治疗前头正片显示下颌右偏,治疗前头侧片显示骨性Ⅰ类均角。


治疗前头影测量结果及头颅正、侧位片描记图(图5):ANB 0.6°,两侧磨牙位置垂直向相差11 mm


治疗前CBCT检查(图6):左侧髁突膨大,突出关节窝内,骨质密度降低


治疗前Tm99核素检查(图7):右:左=1:1.76,提示左髁突异常增生


1.安氏Ⅲ类亚类;2.毛氏Ⅳ1+I1;3.骨性I类均角;4.左髁突良性肥大;5.下颌偏斜。
正畸正颌联合治疗。
口内入路左髁突切除术+上颌Le fort Ⅰ型截骨术+BSSRO+颏成形术;摆正上、下颌骨相对位置关系,建立新的咬合;改善对称性,纠正上下颌骨相对于颅底的位置关系,改善对称性;切除增生活跃的髁突,保留关节片,重建颞下颌关节;
左侧颌间支抗钉短Ⅱ类牵引,稳定关节位置;排齐牙列,精细调整咬合关系
1.转诊行牙周洁治后正畸粘接托槽,准备入院手术。
2.术前设计(图8):利用计算机辅助手术设计左侧髁突切除范围并模拟手术摆正后上下颌骨理想位置。


3.正颌外科完成左侧髁突切除及双颌手术:Le fort Ⅰ型截骨后摆正上颌平面(图9A),经导航完成左侧髁突切除(图9B),术中可见翼外肌纤维占据关节窝,髁突难以按照数字设计复位至关节窝内(图9C)。术后即刻CBCT显示咬合平面摆正,左侧髁突切除后升支骨段未能实现数字化设计的复位(图10)。




术后正畸:术后1个月开始进行正畸加力,0.014-0.019×0.025镍钛丝进行排齐整平,排齐早期开始34、45与上颌种植钉进行局部垂直牵引,尽早纠正左侧前磨牙区开
的同时起到稳定颌位的作用(图11)。


5.密切关注左侧关节复位情况,在正畸治疗的引导下左侧关节逐渐恢复髁突形态,并复位至关节窝内,在术后12个月时改建形成类髁突样形态(图12)。术后12个月时进行下颌运动轨迹记录,开口型轻度左偏,开口度正常,双侧颞肌肌力基本一致,左侧咬肌肌力较右侧弱(图13)。




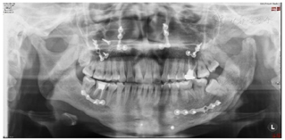
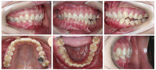
6.治疗完成(图14、图15):主动矫治17个月,治疗结束时牙齿排列整齐,磨牙关系中性,前牙覆
覆盖正常,上下中线正,咬合平面基本水平,颏部无明显偏斜,右侧颊部软组织较左侧稍丰满。











治疗前后头影测量值对比
治疗前后头影测量值对比
| 测量值 | 治疗前 | 治疗后 | 正常值 | 标准差 |
|---|---|---|---|---|
| SNA (°) | 80.5 | 82.1 | 82.8 | 4.0 |
| SNB (°) | 79.9 | 79.5 | 80.1 | 3.9 |
| ANB (°) | 0.6 | 2.6 | 2.7 | 2.0 |
| Facial Angle (FH-NPo) (°) | 92.5 | 90.7 | 85.4 | 3.7 |
| Convexity (NA-APo) (°) | -3.7 | 3.4 | 6.0 | 4.4 |
| U1 - NA (mm) | 2.1 | 4.9 | 5.1 | 2.4 |
| U1 - NA (°) | 11.4 | 22.2 | 22.8 | 5.7 |
| L1 - NB (mm) | -0.4 | 5.4 | 6.7 | 2.1 |
| L1 - NB (°) | 10.7 | 29.2 | 30.3 | 5.8 |
| Interincisal Angle (U1-L1) (°) | 157.3 | 126 | 125.4 | 7.9 |
| U1 - SN (°) | 91.9 | 104.3 | 105.7 | 6.3 |
| MP - SN (°) | 36.7 | 40.2 | 32.5 | 5.2 |
| FMA (MP-FH) (°) | 26.3 | 29.9 | 31.1 | 5.6 |
| IMPA (L1-MP) (°) | 74.2 | 89.6 | 92.6 | 7.0 |
| Y-Axis (°) | 57.3 | 58.9 | 66.3 | 7.1 |
| Pog - NB (mm) | 3.9 | 1.8 | 1.0 | 1.5 |
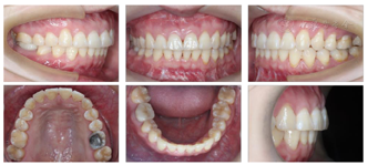
7.正畸治疗完成后采用压膜式保持器进行保持,保持35个月复查显示面部基本对称,口内咬合关系稳定(图19、图20)。




髁突良性肥大可导致明显面部不对称及咬合障碍,通常表现为下颌髁突的增大和/或患侧下颌骨体部及升支发育过度、下颌中线向对侧移位,面部进行性不对称加重、咬合紊乱和关节功能障碍[1]。髁突良性肥大多见于青壮年,发病率及严重程度无明显性别差异。目前髁突良性肥大的治疗文献报道主要为病例报告[2,3],治疗手段为髁突切除配合正畸正颌联合治疗,通过手术切除病变的髁突,利用残余髁颈重建关节,纠正面部不对称畸形,并通过正畸治疗建立稳定的咬合关系。文献报道发现髁突切除术配合同期正颌外科手术,术后半年髁突相对位置及髁突形态趋于稳定[4]。然而对于正畸治疗时机、目标、方法尚不明确,对该疾病的"手术优先"治疗模式鲜有报道;目前对于关节重建术后正畸治疗对稳定颌位的作用认识不深入。
本病例采用"手术优先"的治疗模式,通过数字化的手术方案设计,首先摆正上颌咬合平面,之后在术中导航的引导下切除左侧髁突病变组织,最后利用数字化的终末颌板完成BSSRO手术,实现良好的咬合拼对。在术中我们发现,病变髁突切除后,翼外肌失附着;下颌平衡的肌链结构被打破,患侧升支下移,关节间隙明显增大,进而出现后牙区开
系等继发改变。因此在正颌术后肌肉附着恢复前的阶段,正畸治疗对稳定颌位至关重要。本病例在治疗前下颌左侧的Spee曲线较深,前磨牙均为低位,并伴有局部的开
,因此设计在术中于24、25之间植入种植支抗,并在术后早期配合34、35与上颌种植支抗的垂直牵引,有效伸长34、35的同时避免牙-牙牵引可能引起的上颌前磨牙伸长,从而降低咬合平面复发的风险,建立前磨牙区的尖窝交错的咬合关系,从而稳定左侧颌骨位置。同时,术后正畸这一方向的牵引,可以促进升支骨段向上移位,在牵引的诱导下回到关节窝内,逐渐形成新的髁突形态,恢复关节功能。
本病例患者在此次求治3年前曾于外院行"左侧MEDPOR假体植入+颏成形术",以期通过改变下颌体部形态并摆正颏部获得美观改善。此种方法创伤虽小,但并未针对病因治疗,因而无法阻止髁突增生活跃期带来的疾病进行性加重。临床工作中双侧髁突骨盐代谢比作是评价髁突增生程度的客观指标,以患侧代谢超过对侧的17%作为判断是否切除患侧髁突的标准。本病例中该指标为1:1.76,远远大于17%的标准,代表患侧髁突增生活跃。从CBCT来看,髁头及髁颈部可见囊性变区域,为增生代谢活跃导致。
通过本病例的治疗,我们认为在正颌术中髁突切除后利用升支骨段直接建立"假关节"的方案是难以实现的,但对于此类患者的术后下颌功能仍可以抱有积极的态度。成人患者在髁突切除后升支部分的骨改建在术后3个月内十分活跃,残余髁颈在应力作用下逐步进行改建,最终形成形态、功能接近正常的关节,并在下颌运动中行使功能。口内入路髁突切除过程中需要剥离翼外肌、颞肌、咬肌的附着,术后双侧的咀嚼肌力常常差异较大[5],术后肌肉重新附着需要10-12周时间。重新建立肌肉平衡前,患侧下颌升至在降颌肌群作用下出现向下移位,关节间隙增加,残余髁突外下移位,患侧开
。因此正颌术后需要进行骨支抗的颌间牵引,并配合牙齿移动尽快关闭开
,建立稳定的咬合关系。此间,患侧咀嚼效率低,容易产生利用对侧进行偏侧咀嚼的不良习惯,需要在治疗过程中对患者进行宣教,保证双侧的咀嚼力量,从而恢复患侧肌肉形态与功能,避免患侧治疗后出现肌肉萎缩。
通过"手术优先"模式在治疗初始迅速解决患者的面部不对称畸形,利用术后3个月的牙齿快速移动期进行排齐,目前成为解决髁突良性肥大患者美观诉求的新方向[6]。本病例在"手术优先"模式下通过正畸治疗建立的咬合关系和颌间牵引诱导患侧关节复位,恢复患者的关节功能,最终实现"美观、平衡、稳定"的治疗结果,可以加深我们对髁突良性肥大患者治疗的认识与理解,增强对治疗的信心。
崔圣洁,周彦恒,谷岩,等.正畸正颌联合治疗髁突良性肥大伴颜面不对称1例[DB/OL].中国临床案例成果数据库,2023(2023-01-12).http://journal.yiigle.com/LinkIn.do?linkin_type=cma&DOI=10.3760/cma.j.cmcr.2023.e00263.
所有作者均声明本研究不存在利益冲突





















