
患者,女性,66岁,因"左侧肢体功能障碍3+月"入院,2019年8月3日无明显诱因突然出现头痛,渐出现左侧肢体活动部分障碍伴有呕吐、意识障碍,头颅CT提示脑出血,行"全身麻醉下开颅右侧基底节区及额颞顶叶血肿清除、硬膜下颅内压监测传感器传入、硬膜扩大修补、去骨瓣减压术",住院期间因病情行气管切开、留置导尿、留置胃管。出院后患者饮食经留置胃管摄入,带气切管、尿管生存,左侧肢体活动障碍,日常生活活动能力重度依赖。
神志清楚,体格检查配合,可通过说话瓣膜发单音节,发音不清。主动张口幅度小,伸舌不能。气管导管、尿管、胃管在位,通畅。改良Ashworth评定:左上肢屈肘肌群1级。Brunstrom分期(左上肢—左手—左下肢):Ⅱ-Ⅰ-Ⅱ。左侧肢体肌力2级。左侧肢体浅感觉减退,左侧病理征阳性,站立平衡及坐位平衡未建立。
完善颅脑CT,诊断为脑出血。
监测生命体征,完善实验室指标,予以间歇经口至食管饲营养支持,预防并发症,行心肺康复、吞咽康复、肢体功能康复训练。
成功拔除气管导管,经口鼻呼吸;拔除胃管,经口进食;拔除尿管后自主排尿,日常生活中度依赖,出院后回归家庭。
康复科;神经外科;神经内科
版权归中华医学会所有。本文为遵循CC-BY-NC-ND协议的开放获取文章。
脑卒中是局部或弥漫性脑功能缺损的脑血管病变,分为缺血性和出血性脑卒中。我国总体卒中终生发病风险为39.9%,位居全球首位,卒中也是我国疾病所致寿命损失年的第一位病因[1]。卒中后常造成多种功能障碍,如语言障碍、运动障碍、认知障碍、意识障碍、吞咽障碍等,特别重症脑卒中患者由于意识障碍、呼吸衰竭等,往往接受气管切开术,因吞咽障碍留置胃管,但长期留置气管导管和胃管,易增加痰量,并发肺部感染、气管食管瘘、气管壁狭窄塌陷等,减弱患者的吞咽功能、有效咳嗽反射以及呼吸功能,严重影响着脑卒中患者的康复及生存质量[2,3]。此报道是1例吞咽障碍合并气管切开脑卒中案例,通过康复治疗成功拔除三管,分享该病例旨在提供更多卒中重症康复临床经验。
患者,女性,66岁,因"左侧肢体功能障碍3+月"于2019年11月入院,2019年8月3日患者无明显诱因突然出现头痛,逐渐出现左侧肢体乏力伴有呕吐、意识障碍,急诊入院完善头颅CT提示脑出血,急诊神经外科进行"全身麻醉下开颅右侧基底节区及额颞顶叶血肿清除、硬膜下颅内压监测传感器传入、硬膜扩大修补、去骨瓣减压术",术后因"肺部感染、急性呼吸衰竭"行气管切开术,住院期间予以止血、控制血压、抗感染、早期床旁康复。2019年11月7日行"右侧颅骨修补术",病情稳定后出院。出院后患者饮食经留置胃管摄入,留置尿管、气管导管,仍有咳嗽,咯痰,痰量不多,左侧肢体运动部分障碍,不能独自洗漱、修饰、进食等,ADL:Barthel 25分,日常生活活动能力重度依赖。既往病史:既往有"高血压病",其他既往史无特殊。
体格检查:神志清楚,体格检查合作,注意力及执行力可。言语情况:可通过说话瓣膜发单音节,发音不清,听理解可,复述不能,记忆无法测及。右侧头顶可见一长约30 cm"U"型手术瘢痕,愈合可。胃管固定稳妥。颈部活动各方向均明显受限,主动张口幅度0.5 cm,被动张口幅度1.0 cm,口颜面肌力下降,活动范围均差,自主咳嗽、自主清嗓均不能,咽反射不能查及,吞咽启动困难,喉上抬范围0.5 cm,染色实验异常,简易吞咽诱发试验异常。气切管固定稳妥,未见异常分泌物。经气切口通气,呼吸浅快;膈肌移动度下降,呼吸肌肌力和耐力下降。改良Ashworth评定:左上肢屈肘肌群1级。Brunnstrom运动功能评定:左上肢2期、左手1期、左下肢2期。左侧肢体浅感觉较对侧减退,左肘及左膝关节平面以下感觉缺失。颈部僵硬,颈部被动活动部分受限。左足下垂,左踝活动部分受限。站立平衡及坐位平衡未建立。
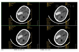
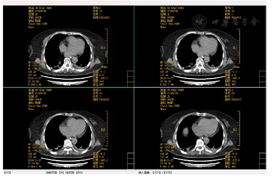
2019年8月3日急诊头颅CT提示:右侧脑出血,伴蛛血(图1)。2019年11月27胸日部CT提示:肺部感染,部分实变(图2、图3)。呼吸功能评估:胸廓活动度明显下降,呼吸肌肌力和耐力下降,无自主咳嗽。绿染实验提示患者有误吸,无食道反流情况。吞咽功能评估:存在误吸,咳嗽力量欠佳,口腔运送能力差,吞咽启动明显延迟,咽缩肌无力,下颌运动受限。






脑出血恢复期定位:右侧基底节区、右侧颞顶叶。定性:出血性脑卒中。诊断依据:入院完善颅脑CT明确诊断。
功能诊断:(1)左侧肢体运动功能障碍;(2)左侧肢体感觉障碍;(3)吞咽功能障碍;(4)呼吸功能障碍;(5)平衡功能障碍;(6)日常生活活动能力重度依赖。
鉴别诊断:颅内动脉瘤破裂出血。患者目前脑出血需警惕动脉瘤破裂出血,但发病后住院诊疗完善头颈部血管CT暂未提示,暂不考虑。
医、护、治共同协作,详细评估患者病情后制定如下治疗方案:
1.全程监测生命体征,随访相关检查,给予药物胞磷胆碱营养神经,盐酸氨溴索口服液助排痰,艾司唑仑助眠,预防并发症。指导患者良肢位摆放,拔除尿管胃管,监测膀胱残余尿量,间歇经口置食管管饲进行营养补给,每日7~8次,其中营养液400 ml×4次,水300 ml×3次(碳水化合物172 g+蛋白质62 g+脂肪35 g,合计能量1250 kcal,动态调整)。
2.同时处理吞咽及呼吸功能障碍,针对肺部感染较重时给予:(1)RT。体位管理:鼓励侧卧位,辅助膈肌上下活动,增加潮气量;增加直立位,促进胸廓扩张和肺复张;气道廓清能力:体位引流+叩拍、震动;放松训练:辅助呼吸肌放松训练;呼吸训练:缩唇呼吸、腹式呼吸。(2)ST。口腔感觉治疗:触觉刺激、冰刺激及口腔振动刺激;口腔及颈部运动训练:开口度训练、唇运动训练、舌部被动运动训练、颈部松解训练、下颌松解训练;电疗:言语吞咽诊治仪。(3)其他。配合电动起立床、针灸、关节活动度训练、平衡训练、翻身转移能力训练等改善左侧肢体运动功能,提高日常生活能力。
3.于2周后复查肺部CT提示肺部感染较前明显好转,调整治疗方案:(1)ST。口部运动训练:鼓腮、嘟嘴、示齿、微笑、舌部抗阻训练、Masako训练、Shaker训练;口腔感觉训练:气脉冲训练;言语吞咽诊治仪;制定课后训练记录表。(2)RT。肺康复纠正异常呼吸模式、改善呼吸肌力量、心肺功能。说话瓣膜训练(视频1):重建呼气末正压、恢复声门下压力、改善动脉氧代谢、增强咳嗽反射、改善声带运动协调性、改善吞咽、减少误吸促进拔管。堵管训练:由间歇堵管训练逐渐过渡到24小时堵管,堵管期间检测血氧饱和度及血气分析。
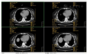
4.治疗中期及拔管前功能评估:未吸氧,血氧饱和度正常范围,生命体征平稳。主动张口幅度1.5 cm,被动张口幅度2.5 cm,自主咳嗽能力正常、自主清嗓较稍减弱,咽反射正常,吞咽启动减慢,喉上抬范围1.0 cm,简易吞咽诱发试验正常。气切管固定稳妥,未见异常分泌物。经气切口通气,呼吸平稳;膈肌移动度及呼吸肌肌力和耐力正常。Brunnstrom运动功能评定:左上肢3期、左手3期、左下肢4期。左侧肢体浅感觉较对侧减退,左肘及左膝关节平面以下感觉减弱。颈部被动活动无明显受限。站立平衡1级及坐位平衡2级。完善吞咽造影检查:可进食1、2、3号食物,吞咽造影提示患者吞咽启动减慢,吞咽耐力部分下降(视频2)。拔管前辅助检查评估:(1)完善颈部CT未见颈部无软组织肿胀及呼吸道受压;(2)电子鼻咽喉镜未见气道狭窄,声门开放可(视频3);(3)未吸氧情况下血气分析未见明显异常,肺功能大致正常;(4)肺部CT(图4、图5)提示感染基本控制,炎症明显吸收,血感染指标正常;(5)连续堵管训练24 h,患者血氧饱和度及血气分析正常。




5.拔除气管导管,成功堵管。
经住院治疗49 d患者成功行气管切管导管拔除,未吸氧情况下可维持正常血氧饱和度;可经口进食;成功拔出尿管,小便、大便可自主控制;日常生活能力中度依赖;坐位平衡2级,站立平衡1级。
随访:出院1个月后随访,患者病情稳定,体质量轻度增加。未发生发肺部感染、尿路感染。可自主缓慢进食,可自主控制大小便,可室内平地扶拐缓慢行走,顺利回归家庭。
脑卒中患者常因中枢神经系统受损造成多种功能障碍,吞咽和呼吸功能障碍是常见的功能障碍,两者常同时存在[4]。呼吸功能障碍和吞咽功能障碍是引起肺部感染、呼吸衰竭的常见诱因,患者多因此而需行气管插管辅助呼吸[5]。
此病例报道的是1例气管切开合并吞咽功能障碍的重症脑卒中病例,患者存在吞咽功能障碍、呼吸功能障碍、留置气管套管。因气管导管导致上呼吸道的完整性破坏,气道阻力下降,呼气末正压难以维持,声门下压力降低,舌喉复合体上抬能力降低,会厌翻转不全,口腔感知能力降低,咽腔压力下降,分泌物增加,吞咽—呼吸协调性紊乱等情况反而加重呼吸及吞咽功能障碍。吞咽障碍引起咽喉部分泌物清除能力下降、反复误吸、营养状况差,呼吸功能障碍引起气道廓清能力差、反复肺部感染。吞咽功能障碍及呼吸功能障碍使得反复肺部感染难以控制,增加拔管难度,而长期留置气管导管导致吞咽及呼吸功能障碍难以恢复[6]。吞咽障碍、呼吸功能障碍、气管切开相互恶性循环,使得康复难度增加。如何有效改善协调三者关系时是当务之急。
针对患者上诉情况,此病例我们主要基于ICF框架问题分析,通过抓住主要矛盾,进行分阶段精准康复的方法进行管理。入科时主要目标在药物治疗基础上,通过ST、RT、OT、PT等多部门合作减少口咽及肺部分泌物、促进分泌物引流、提升心肺功能等治疗积极控制肺部感染;肺部感染控制后主要康复目标为提升呼吸及吞咽能力;当患者具备一定咳嗽能力及呼吸模式纠正后,完善电子鼻咽喉镜、颈部CT、血气分析、肺功能等评估,为顺利拔管提供保障。最终目标为拔除气管导管,提升患者日常生活能力,促进患者回归社会。此病例在常规肺康复和吞咽康复基础上,同时使用说话瓣膜可更有效改善吞咽功能和呼吸功能,大大地提高康复效果[7,8,9]。
总之,脑卒中重症患者多数有气管切管、胃管、尿管,长期留置管道可造成病情反复或加重,影响预后,降低生存质量。此类患者通过早期康复介入、医护治一体化的协作、精准化的评估、针对患者每个阶段不同的矛盾制定对应的康复治疗,尽早拔除管道可有效改善病情,缩短住院时间,减少医疗费用,减轻家庭和社会负担。
廖婷婷,周蜜娟,刘佳,等.脑卒中气管切开合并吞咽障碍患者的康复1例[DB/OL].中国临床案例成果数据库,2023(2023-01-12).http://journal.yiigle.com/LinkIn.do?linkin_type=cma&DOI=10.3760/cma.j.cmcr.2023.e00273.
所有作者均声明本研究不存在利益冲突





















