
患者,女性,14岁,因"发现颈部包块1+年,复发加重伴视力下降2个月"入本院,1+年前,患者出现右颈部包块,起初为鹌鹑蛋大小,与当地医院行颈部包块活检提示:结节中间见干酪样坏死,给予异烟肼、利福平、吡嗪酰胺、乙胺丁醇治疗,2个月后自行停药。入院前3个月,再次出现右侧颈部淋巴结肿大,右侧锁骨上淋巴结为新发,伴有破溃及中下腹疼痛,于当地医院完善T-sport阳性、淋巴结穿刺培养提示分枝杆菌2+、PPD皮试强阳性、红细胞沉降率84 mm/h;腹部B超提示:腹腔积液,最深处6.5 cm。再次予患者异烟肼、利福平、吡嗪酰胺、乙胺丁醇四联方案规律治疗,复治过程中出现视力下降,左眼视物模糊直至无光感,右眼视力亦逐渐下降至50 cm数指,为明确病因来到本院就诊,经多学科MDT完善腰穿、眼眶及颈胸髓MRI明确诊断为NMOSD。
以进行性加重的视力损害为主要表现。神清,扶入病房,呼吸平稳,颈部可见陈旧性瘢痕,右颈部可扪及约胡豆大小淋巴结,无破溃及压痛。双肺呼吸音清晰对称,无湿啰音及哮鸣音。心率79次/min,心律齐。腹软,呈揉面感,无压痛、反跳痛及肌紧张,双下肢无水肿。左眼全盲,右眼光感。
腰穿、眼部及胸段MRI、脑脊液及血液抗水通道蛋白-4抗体。
500 mg甲泼尼龙静脉冲击治疗,联合丙种球蛋白10 g连续5 d;第6天甲泼尼龙减量240 mg/d,第9天减量120 mg/d,第10天改为35 mg(1 mg/kg)口服泼尼松。
左眼能看到50 cm的距离,右眼能看到2米外的电视屏幕。2个月后随访视力已经恢复到左眼0.6,右眼0.9。
呼吸科;神经内科;眼科;儿科
版权归中华医学会所有。本文为遵循CC-BY-NC-ND协议的开放获取文章。
视神经脊髓谱系疾病(neuromyelitis optica spectrum disorders,NMOSD)是一组潜在的免疫病理机制和视神经脊髓炎,绝大多数具有相似的水通道蛋白4(aquaporin 4,AQP4)抗体阳性。NMOSD是中枢神经系统炎症性疾病,以免疫介导的严重髓鞘脱失及轴突损伤为特征,主要累及视神经和脊髓。女性的NMOSD发病率可高达男性的10倍。结核感染同时合并NMOSD发病罕见,通过本案例的分享,应该重视在结核治疗过程中除抗痨药物副作用以外导致视力损害的其他因素,及时干预,避免发生不可挽回的严重后果。
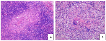
患者,女性,14岁,因"发现颈部包块1+年,复发加重伴视力下降2个月"入我院,1+年前,患者出现右颈部包块,起初为鹌鹑蛋大小,与当地医院行颈部包块活检提示:结节中间见干酪样坏死,给予异烟肼、利福平、吡嗪酰胺、乙胺丁醇治疗,2个月后颈部包块消失自行停药。入院前3个月,患者再次出现右侧颈部淋巴结肿大,右侧锁骨上淋巴结为新发,伴有破溃及中下腹疼痛,再次就诊于当地医院,完善T-sport阳性、淋巴结穿刺病理见肉芽肿及干酪性坏死(图1),穿刺培养提示结核分枝杆菌2+、PPD皮试强阳性、红细胞沉降率84 mm/h;腹部b超提示:腹腔积液,最深处6.5 cm。再次给予异烟肼、利福平、吡嗪酰胺、乙胺丁醇四联方案规律治疗,治疗1个月后颈部淋巴结缩小,腹痛缓解,腹水吸收。抗痨治疗期间患者无明显诱因出现视力下降,左眼视物模糊直至无光感,右眼视力亦逐渐下降至50 cm数指,于当地医院眼科就诊,当地眼科给予曲安奈德注射液40 mg眼部注射,患者左眼可感强光。同时当地医生停用了乙胺丁醇。患者为明确病因于我院就诊。


入院体格检查:神清,扶入病房,呼吸平稳,颈部可见陈旧性瘢痕,右颈部可扪及约胡豆大小淋巴结,无破溃及压痛。双肺呼吸音清晰对称,无湿啰音及哮鸣音。心率79次/min,心律齐。腹软,呈揉面感,无压痛、反跳痛及肌紧张,双下肢无水肿。左眼全盲,右眼光感。
当地医院眼科检查:双眼黄斑部扫描提示:左眼视神经视网膜病变,双眼视盘周围神经纤维厚度扫描:右眼视盘周围神经纤维层厚度正常,左眼视盘周围神经纤维层厚度变厚。颅脑及眼眶CT平扫未见异常;双眼视力检测:左眼视野全盲,右眼视野严重缺损;VEP:右眼VEP 1.0 deg,P100波潜伏期延长,振幅值正常;左眼VEP 1.0 Hz,P2波潜伏期正常,振幅值重度降低。
入我院后:三大常规、肝肾功、电解质、凝血象未见异常。抗核抗体、ANCA阴性。痰抗酸菌、脱落细胞阴性;PPD皮试(+)、痰结核分枝杆菌菌型鉴定(+)。眼底检查结果:双眼光感,角膜明,前房清,晶体透明,眼底双视乳头边界模糊水肿。VEP:右眼1.0 deg,P100波潜伏期延长,振幅值正常;左眼VEP 1.0 Hz,P2波潜伏期正常,振幅值重度降低。
结核药物治疗期间因异烟肼及乙胺丁醇导致视力受损的情况是在临床治疗过程中较为多见的副作用,当患者处于抗痨治疗期间,出现视力损害很容易让临床医生联想到结核药物的影响。但是为什么会在第二次规范抗痨过程中出现视力损害?为什么双侧视力损害不是同时出现?且双侧视力受损程度不一致?在当地医院停用异烟肼、乙胺丁醇后视神经的损害迟迟得不到恢复,是停药时间不够?还是已经出现永久性视神经损害?是否都可以用"药物性视神经损害"解释?或者还有其他原因?带着这样的疑问进行眼科、神经内科、药学部MDT讨论。眼科建议:复查眼底照片、vEP、ERG、FFA、OCT及裂隙灯检查。为除外合并眼结核以及评价视神经是否损害,同时预约眼眶MRI。药学部建议:患者使用的四联抗结核药物中,乙胺丁醇和异烟肼均可能引起视神经病变,其中乙胺丁醇的可能性最大,且其严重程度呈时间和剂量依赖性,早期发现和及时停药可于数周到数月消失,极少数发生永久性视觉功能丧失。同时考虑患者出现结核全身多处转移,抗结核治疗仍需坚持,建议利福平+吡嗪酰胺联合治疗。神经内科建议:完善腰穿、脑脊液及血液送抗水通道蛋白-4抗体检测;同时完善颈胸髓及眼眶MRI(图2、图3),眼眶MRI示双侧视神经鞘膜积液,右侧视神经球后段强化明显,考虑炎性改变。颈胸髓质长段异常信号影。




初步诊断:1.淋巴结结核,培阳,复治,依据:患者有明确淋巴结结核病史,初始治疗疗程不足,本次入院前再次出现颈部淋巴结肿大,淋巴结穿刺培养提示结核分枝杆菌2+,故诊断明确。2.结核性腹膜炎,依据:患者有结核感染基础,曾有不规律治疗史,本次起病存在腹痛、腹水形成,经过抗痨治疗后腹水吸收,故诊断。3.双眼视力障碍原因待查:(1)药物性损害?依据:该患者确诊结核并使用一线方案治疗,抗痨药物中异烟肼、乙胺丁醇可能导致视神经损害,故考虑诊断。但停用结核药物后该患者视力无恢复,仍呈进行性下降,此表现不支持药物性损害特点。(2)眼结核?依据:患者有结核感染基础,前期不规律治疗可能导致结核潜伏,其次结核存在全身多系统感染特征,是否因眼部结核感染导致视力受损需警惕,但眼部MRI成像不符合眼结核特征,支持依据不足。(3)视神经脊髓谱系病?依据:患者视力损害呈进行性加重,起病过程双眼视力损害程度不同,眼部及颈胸髓MRI可见视神经及脊髓异常信号影。脑脊液抗水通道蛋白-4抗体7.15 U/ml(阳性);血清抗水通道蛋白-4抗体80 U/ml(阳性),故诊断明确。
500 mg甲泼尼龙静脉冲击治疗,联合丙种球蛋白10 g连续5 d;第6天甲泼尼龙减量240 mg/d,第9天减量120 mg/d,第10天改为35 mg(1 mg/kg)口服泼尼松继续治疗。激素治疗同时口服异烟肼300 mg、利福平450 mg、吡嗪酰胺750 mg。
调整方案后,患者住院期间左眼视力恢复到5 cm的距离,右眼能看到2米的电视屏幕。2个月后,电话随访被告知视力已经恢复到左眼0.6,右眼0.9,目前她已恢复了正常生活。
NMOSD是一种中枢神经系统自身免疫性炎症,以循环抗水通道蛋白-4抗体、横贯性脊髓炎和视神经炎为特征。中枢神经系统影响视神经和脊髓,表现为反复发作的纵向广泛横贯脊髓炎(LETM)和(或)视神经炎。一般发病年龄在20~40岁之间,在不同研究中,成人NMOSD的患病率为0.37~10/100 000,存在种族、地域及性别差异[1,2]。研究报道,女性发病率可高达男性的7.6倍[3]。中位发病年龄为32~41岁而本例患者发病年龄14岁这是很罕见的。
NMO现在被认为是一种独特的临床、病理和免疫实体。NMOSD的标志性特征为:双侧同时或短时间内相继出现的视神经炎(导致视力丧失)、急性横贯性脊髓炎(常引起肢体无力和膀胱功能障碍),以及最后区综合征(表现为顽固性呃逆或恶心和呕吐)为特点的急性发作[4]。NMOSD诊断标准要求存在上述特征性表现中至少1个核心临床特征,特异性抗水通道蛋白-4(AQP4)抗体阳性,该抗体也被称为"NMO-IgG抗体",并排除其他诊断的前提下即可考虑诊断该疾病。水通道蛋白-4是一种膜水通道,在星形细胞端足最为丰富。抗aqp-4 IgG是典型NMO、孤立性视神经炎、孤立性LETM和孤立性脑干脑炎等NMO谱系疾病的高度特异性标记物[5,6],但在活动性结核患者中很少报道。
我们详细询问病史患者否认在视力丧失前有上呼吸道感染、腹泻等可能导致NMOSD的诱因。初次接触该患者时认为她的视力损害与服用乙胺丁醇有关。在使用乙胺丁醇的情况下,单侧视力丧失增加了乙胺丁醇相关视神经病变(EON)的可能性,它通过在分枝杆菌中充当金属螯合剂防止细胞壁合成,并抑制阿拉伯糖转移酶。EON在结核病中的流行率为1%~2%。这可能与剂量有关,在每日剂量低于15 mg/(kg·d)的情况下,该比例不到1%,但当每日剂量超过35 mg/(kg·d)时,该比例高达33%[7]。本例患者服药剂量显然不符合乙胺丁醇引起EON的特征。我们开始怀疑可能有其他原因造成视力障碍。第一,乙胺丁醇的剂量在较低的剂量范围。第二,一开始视力丧失是单侧的。第三,一年前服用乙胺丁醇和异烟肼该患者未发生视力损害,为什么在第二次给予相同药物及剂量的过程中出现呢?通过眼眶及颈胸髓MRI检查结果,以及血清和脑脊液中抗水通道蛋白-4(anti-Aqp-4)IgG抗体阳性,最终明确诊断为NMOSD。值得一提的是,NMOSD发生在儿童且与结核同时出现这是罕见的。
NMOSD的治疗旨在减少复发的严重程度,防止进一步损害。初始治疗包括大剂量甲泼尼龙、免疫调节和血浆交换[8,9]。本例患者给予甲泼尼龙500 mg每日1次,连续服用3 d,然后将剂量减少到80 mg每日3次,连续服用3 d,40 mg每日3次,然后40 mg甲泼尼龙口服维持。最终她视力恢复,回归了正常的生活。
在过去的50年里,NMOSD和结核病之间的联系已被报道[10,11]。Silber等描述了8例肺结核和脊髓炎或视神经病变,但没有中枢神经系统结核的证据:6例发生NMOSD,1例发生急性坏死性脊髓炎和视神经病变。1996年报告的12例NMOSD患者中,1例为活动性结核伴单相疾病[12]。最近一项对来自南非一个小组的14例NMO患者的回顾性审查发现,这些患者中有11例最近也被诊断为肺结核。少数病例报告描述了患者在被诊断为肺结核后不久出现NMO样综合征,提示这两者之间存在罕见的关联[10]。文献大多报道来自局部地区的个体病例和小病例系列,有或没有确定的对照组。2010年Feng等[12]选择确诊为NMOSD的患者分别给予抗结核治疗和标准激素治疗,结果呈阳性,结果表明ATT(抗结核治疗)有效,足以治疗NMO。效果与显著改善的神经状态和改变脊髓的MRI观察。脑脊液分枝杆菌DNA N-PCR阳性结果提示其发病与中枢神经系统直接感染有关。这项研究似乎是目前NMOSD与结核病之间关系的最直接和有力的证据。NMOSD合并结核感染仍然是罕见的病例,两者之间的发病机制仍然是一个谜。遗憾的是,在细胞和分子水平上的机制研究很少。有人认为结核分枝杆菌表面抗原可能引发针对水通道蛋白4的交叉反应性抗体的形成。也有人认为最可能的机制是结核分枝杆菌肺部感染引发的免疫介导的视神经和脊髓炎性脱髓鞘。需要进一步研究来阐明这种联系的生物学基础[12]。
戴枥湾,唐祖会,郭述良,等.继发于淋巴结结核的视神经脊髓谱系病1例[DB/OL].中国临床案例成果数据库,2023(2023-01-09).http://journal.yiigle.com/LinkIn.do?linkin_type=cma&DOI=10.3760/cma.j.cmcr.2023.e00186.
所有作者均声明本研究不存在利益冲突





















