
患者,男性,63岁,既往有"高血压病"病史二十余年,近期有口服中药史近3个月,因"小便发黄10 d伴皮肤黏膜黄染3 d"就诊。
全身皮肤黏膜黄染,有抓痕,巩膜黄染,余无阳性体征。
生化全套:谷丙转氨酶169.8 U/L,碱性磷酸酶442.6 U/L,总胆红素271.50 μmol/L;自身免疫性肝病抗体:抗Histones阳性;腹部磁共振:脾大,副脾。肝脏病理学:淤胆性肝炎、中度淤胆、轻度活动性炎症,符合药物性肝损伤。临床分型:胆汁淤积型;严重程度:3级(重度肝损伤)。
初予停服中药,并予谷胱甘肽及思美泰保肝退黄治疗1周,效果不佳;遂予甲泼尼龙60 mg/d静脉滴注,25 d后胆红素下降,激素逐步减量至停用。
肝功能完全恢复正常,随访2个月未再复发。
消化内科;感染科;肝病科
版权归中华医学会所有。本文为遵循CC-BY-NC-ND协议的开放获取文章。
药物性肝损伤(drug induced liver injury,DILI)是指由各类化学药物、传统中药、天然药、生物制剂、保健品、膳食补充剂及其代谢产物乃至辅料等所诱发的肝损伤,重者可导致肝衰竭甚至死亡[1]。目前已知可引起肝损伤的药物种类繁多,但仍缺乏简便客观的诊断方法及特效治疗手段[1,2]。中草药相关肝损伤具有联合用药复杂、组成成分多样等特点,使其诊疗更加困难[3,4]。本文报道了1例使用激素治疗的重症中草药肝损伤,为其临床诊断及治疗提供借鉴意义。
患者,男性,63岁,既往有"高血压病"病史二十余年,口服盐酸贝那普利10 mg每日1次降压治疗,近期有口服中药史近3个月,停服1 d。否认饮酒史。因"小便发黄10 d伴皮肤黏膜黄染3 d"入院。患者10 d前无明显诱因下出现小便颜色加深变黄,伴有皮肤瘙痒、反酸嗳气、全身乏力,无腹胀腹痛、发热寒战,未予重视。3 d前出现全身皮肤黏膜黄染。1 d前至外院就诊,查腹部超声提示:轻度脂肪肝,胆囊炎,胆囊结石(泥沙样)。生化全套提示:ALT 292 U/L,AST 169 U/L,GGT 429 U/L,ALP 522 U/L,T-BIL 218.1 μmol/L,D-BIL 161.7 μmol/L,I-BIL 56.4 μmol/L,胆汁酸352.9 μmol/L。患者食欲可,睡眠欠佳,二便如上所述,近期体重未见明显下降。
入院体格检查见全身皮肤黏膜黄染,有抓痕,巩膜黄染,余无阳性体征。血常规、便常规、肝炎全套、免疫全套、IgG抗体、铜蓝蛋白未见明显异常;尿常规:尿胆红素2+;自身免疫性肝病抗体:抗Histones阳性,ANA:弱阳性;甲功全套:TG-Ab(+),TPO-Ab(+);肿瘤全套:CA199 4.22 U/ml,CA125 11.40 U/ml;生化全套:ALT 169.8 U/L,AST 73.7 U/L,GGT 197.2 U/L,ALP 442.6 U/L,T-BIL 271.50 μmol/L,D-BIL 193.50 μmol/L,I-BIL 78.00 μmol/L;腹部MRI:脾大,副脾;增强后脾脏内多发异常信号,考虑脉管瘤可能;MRCP未见明显异常。
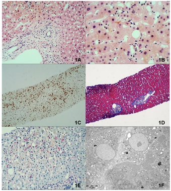
诊断:患者中老年男性,有服用中药史,此次因黄疸就诊,肝功能示ALT、AST、GGT、ALP、T-BIL升高;肝脏病理学检查结果提示:淤胆性肝炎、中度淤胆、轻度活动性炎症,符合药物性肝损伤,Scheuer评分:G2S2(图1)。临床分型:胆汁淤积型;RUCAM量表:7分;严重程度分级:3级(重度肝损伤)。故诊断为:重度药物性肝损伤,胆汁淤积型。


鉴别诊断:1.病毒性肝炎。根据肝炎组套检查结果阴性可排除病毒性肝炎;2.肿瘤所致梗阻性黄疸。虽然该患者以D-BIL升高为主,但腹部MRI未见肿瘤及胆管梗阻证据,可排除梗阻性黄疸;3.原发性胆汁性肝硬化。根据腹部MRI结果及AMA-M2阴性,该病可能性不大,根据肝脏病理结果可排除该病;4.原发性硬化性胆管炎。腹部MRI可见胆管轻度弥漫性强化,肝内胆管稍扩张,MRCP示小胆管粗细不均,汇管区轻度水肿,不符合典型原发性硬化性胆管炎表现,根据肝脏病理结果进一步排除;5.自身免疫性肝病。患者有桥本氏甲状腺炎、抗核抗体滴度阳性、抗Histones阳性、IgG4阴性,不能完全排除该病,根据肝脏病理结果可进一步排除。
患者初予停服中药,并予谷胱甘肽及思美泰保肝退黄治疗1周,复查肝功能提示:ALT 109.0 U/L,AST 39.9 U/L,GGT 104.8 U/L,ALP 307.5 U/L,T-BIL 274.60 μmol/L,D-BIL 196.50 μmol/L,I-BIL 78.10 μmol/L。患者肝酶较前下降,但胆红素无明显改变。后明确诊断为重度药物性肝损伤,胆汁淤积型。2022年4月5日开始使用甲泼尼龙60 mg/d进行治疗,10 d后复查肝功能提示:T-BIL 411.70 μmol/L,ALT 66.1 U/L,ALP 171.6 U/L,GGT 40.3 U/L;20 d后复查肝功能提示:T-BIL 456.60 μmol/L,ALT 46.2 U/L,ALP 203.8 U/L,GGT 31.2 U/L。患者虽肝酶较前下降,但胆红素进行性升高,出现胆酶分离现象。因患者中药服用时间久,肝脏损伤时间长,短期使用激素疗效不明确,不排除进一步加重至肝衰竭的可能,故考虑可行人工肝治疗。在准备拟行人工肝期间,2022年4月29日再次复查肝功能提示胆红素较前降低,因患者长期使用激素导致血糖明显升高且存在感染风险,遂予激素逐渐减量,每3天减量5 mg,期间复测肝功能可见胆红素较前明显下降;后激素逐渐减量直至2022年5月15日停用激素,3 d后复查肝功能示:T-BIL 176.8 μmol/L,ALT 60.5 U/L,ALP 203.3 U/L,GGT 41.1 U/L。2022年6月6日复查肝功能提示转氨酶及总胆红素均降至正常范围。血清肝酶及总胆红素水平变化见图2。


患者于2022年6月10日好转出院,截至目前共随访2个月,患者未再服用中药,复查肝功能正常。
在亚太地区,结核病的高发病率以及传统中草药和膳食补充剂的普遍使用导致DILI发病率明显升高,目前中国的DILI患病率约为24/100 000[5]。传统中药是指在我国中医等传统民族医药学理论指导下生产和使用的各种草药和非草药类的中药材、饮片和复方中成药。目前报道较多的可导致肝损伤的草药包括何首乌、补骨脂、雷公藤、黄药子、小柴胡汤等[6,7]。本例患者中草药方中含有的土茯苓、葛根、泽泻等成分也有导致肝功能损伤的报道。
研究证实,重型DILI,尤其胆汁淤积型患者,经停用损肝药物和常规应用保肝、降酶治疗病情常难以缓解[7]。本例DILI患者即属此类,结合病理及临床指标诊断为胆汁淤积型,重度肝损伤,初予停服肝损药物及保肝退黄治疗,效果不佳。我国2015年药物性肝损伤指南建议糖皮质激素用于自身免疫征象明显、且停用肝损伤药物后生物化学指标改善不明显甚或继续恶化的患者,并应充分权衡治疗收益和可能的不良反应[2,8]。药物性肝损伤与全身免疫激活状态及全身炎性反应相关,早期使用糖皮质激素可以使患者获益。该例患者有桥本氏甲状腺炎、抗核抗体滴度阳性、抗Histones阳性,具有自身免疫征象[8],且停用肝损药物后胆红素改善不明显,故考虑使用糖皮质激素治疗。
糖皮质激素用于治疗重症DILI的作用机制可能包括以下几方面:抑制免疫及炎症反应,在早期阶段阻止过强的免疫反应导致的肝损伤,抑制体内多种炎症介质释放;稳定细胞溶酶体膜,缓解汇管区及毛细胆管的非特异性炎性反应,利于胆汁的分泌;抵抗内毒素,阻止抗原抗体复合物的产生,减轻肝脏的继发免疫损伤,阻止肝功能进一步恶化,为后续肝细胞再生修复和保肝药物发挥作用取得时间[9,10]。然而,由于糖皮质激素本身存在诱发感染、消化道出血、高血糖、骨质疏松等不良反应,因此,如何避免其不良反应而又能充分发挥其正向作用显得至关重要。该例患者使用糖皮质激素治疗后初步效果不甚明显,激素起效时间较慢,但后期起效后效果良好,胆红素出现明显下降,直至最终肝功能完全恢复正常。故糖皮质激素对重症DILI患者的治疗时机和策略,包括激素的具体给药方法、剂型、剂量、给药时间和疗程需要进一步明确和探讨。
综上所述,本文报道了1例经肝脏组织学病理证实的中草药相关性肝损伤,该例患者经停用肝损伤药物及保肝退黄对症治疗后效果不佳,后续的长程糖皮质激素治疗获得了临床缓解。后续未再服用导致肝损伤的中草药,随访至今症状无复发。
刘晓琳,唐陈月,栾富娟,等.激素治疗重症药物性肝损伤1例[DB/OL].中国临床案例成果数据库,2023(2023-01-09).http://journal.yiigle.com/LinkIn.do?linkin_type=cma&DOI=10.3760/cma.j.cmcr.2023.e00187.
所有作者均声明本研究不存在利益冲突





















