
患者,女,43岁,7年前无明显诱因下发现左腘窝肿物,肿物进行性增大,质硬,不可推动,无肢体麻木及疼痛感,关节活动不受限。无外伤、手术及肿瘤病史,无高血压、糖尿病及肾病史等,无家族史。
体格检查发现左腘窝肿块大小约4.0 cm×5.0 cm,坚硬、固定、无触痛,关节活动正常;左侧肌力正常,末梢血运、感觉良好,左侧膝反射及踝反射正常,Babinski等病理征未引出,Tinel征阴性。
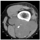
实验室检查均为阴性。影像学检查:左膝关节CT平扫显示左腘窝肌间隙内见分叶状软组织肿物,边界尚清,密度不均匀,内见结节状钙化灶,邻近股骨受侵,骨皮质变薄。左膝关节磁共振成像示左腘窝内一巨大不规则肿块,信号混杂,增强扫描肿块明显不均匀强化,邻近股骨下端可见类似强化灶。
出于诊断和治疗的目的,患者进行了左膝关节腘窝处肿瘤切除术,术中于左腘窝见大小10.2 cm×9.4 cm×5.1 cm的不规则肿块。病理诊断为左腘窝软组织肌上皮瘤,肿瘤局部侵袭性生长。
患者术后5 d出院,切口愈合良好,患肢活动良好,感觉及血运正常。出院后对患者进行规律随访,至今约24个月,未见明确肿瘤复发征象。
放射科;骨科;肿瘤科;病理科
版权归中华医学会所有。本文为遵循CC-BY-NC-ND协议的开放获取文章。
肌上皮瘤是一类常发生于涎腺区的低度恶性肿瘤,几乎完全由肌上皮细胞组成,好发于腮腺、颌下腺及腭、唇、颊、龈和涎腺区等[1]。而发生于软组织的原发性肌上皮瘤罕见,在所有软组织肿瘤中所占比例不足1%[2]。近年来随着组织病理学技术的发展,陆续出现了原发于四肢皮肤、软组织内及四肢骨的肌上皮瘤被报道[3,4,5,6],但多集中于病理学报道,影像学征象罕见报道。本文报道了1例左腘窝肌间隙内原发性软组织肌上皮瘤病例,并结合文献对其临床表现、病理学特点、影像学表现及鉴别诊断进行讨论。通过报告此病例,我们希望提供有关软组织肌上皮瘤的更多信息,并提高放射科医生对这种疾病的理解。
患者,女性,43岁,因"发现左腘窝进行性增大肿物7年"入院。患者7年前无明显诱因下发现左腘窝肿物,肿物进行性增大,质硬,不可推动,无肢体麻木及疼痛感,关节活动不受限,无外伤、手术及肿瘤病史,无家族史。患者期间至当地医院就诊,未诊断明确,未做特殊治疗。
体格检查发现左腘窝肿块大小约4.0 cm×5.0 cm,坚硬、固定、无触痛,关节活动正常;左侧肌力正常,末梢血运、感觉良好,左侧膝反射及踝反射正常,Babinski等病理征未引出,Tinel征阴性。
实验室检查均为阴性。
影像学检查:左膝关节计算机断层扫描(CT)显示左腘窝肌间隙内见分叶状软组织肿物,边界尚清,密度不均匀,内见结节状钙化灶,邻近股骨受侵,骨皮质变薄(图1)。左膝关节磁共振成像(MRI)显示左腘窝内一巨大不规则肿块,大小约9.1 cm×6.0 cm×10.0 cm,信号混杂,以T1加权像低信号、T2脂肪抑制序列高信号为主,弥散加权成像(b=800 s/mm2)呈不均匀高信号,增强扫描肿块明显不均匀强化,邻近股骨下端可见类似强化灶(图2)。




根据患者的临床症状、实验室检查与影像学表现,左腘窝占位,考虑偏恶性肿瘤,滑膜肉瘤可能性大,同时不除外肌上皮瘤、纤维肉瘤可能。
出于诊断和治疗的目的,患者随后进行了左膝关节腘窝肿瘤切除术,术中于左腘窝见大小10.2 cm×9.4 cm×5.1 cm的不规则肿块,实性,质中,切开呈多结节状,切面灰红色,肿瘤与腓总神经、胫神经交叉处及腘动静脉粘连严重,肿瘤底部与股骨粘连,且部分股骨骨皮质破坏。
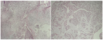
显微镜下见肿瘤细胞呈结节状排列,边界尚清,细胞呈圆形、卵圆形,胞浆嗜伊红,呈相互连接的条索状、小梁状、网格状排列,间质可见较多黏液软骨样基质(图3)。免疫组化示:肿瘤细胞CK(+)、EMA(+)、S100(-)、Calponin(-)、P63(-)、SMA(-)、CD34(-)、GFAP(-)、Ki-67热点区约3%(+)。病理诊断为左腘窝软组织肌上皮瘤,肿瘤局部侵袭性生长。


患者在全麻下行左腘窝肿瘤切除+腓总神经、胫神经探查松解+腘动静脉松解术,手术过程顺利,生命体征平稳,术后给予心电监测、补液、止痛、消炎等对症治疗。
患者术后恢复可,切口愈合良好,患肢活动良好,感觉及血运正常。出院后对患者进行规律随访,至今约24个月,未见明确肿瘤复发征象。
1997年Kilpatrick等[7]首次提出软组织肌上皮瘤的名称,软组织肌上皮瘤在所有软组织肿瘤中所占比例不到1%,由不同比例的胚胎上皮和(或)肌上皮成分组成,生长缓慢,具有一定的侵袭性[8]。软组织肌上皮瘤好发于青少年及成年人,平均发病年龄为36岁,男女比例为2∶1,肿瘤平均大小4.5 cm,最大者长径约30 cm,多发生于皮下,少见于深部的筋膜下软组织内[9]。软组织肌上皮瘤的临床表现无特异性,大多数患者表现为无痛性或痛性肿块,病史2周到20年不等。临床症状和体征与肿瘤发病部位、范围及与周围组织器官结构关系密切相关,少数病例可发生转移[10]。
本例患者为成年女性,病史较长,临床症状表现为缓慢生长的无痛性肿块,肿块位于左腘窝皮下肌间隙内,肿块体积较大,质地硬,与邻近结构粘连、分界不清,股骨下端可见肿瘤细胞浸润。由此可见,本文描述的案例与既往文献中报道的案例之间存在许多相似之处,患者临床表现不典型,诊断较为困难。
发生于涎腺区的肌上皮瘤的影像学报道诸多,而关于软组织肌上皮瘤的影像学报道极少[11]。软组织肌上皮瘤的影像学表现缺乏特异性及典型特点,针对本例病灶影像学表现,并结合相关文献报道,总结软组织肌上皮瘤影像学特点如下:(1)发生于四肢的软组织肌上皮瘤,因肌间隙空间较松弛,给肿块提供了生长空间,因此肿块体积多较大,平均直径多>5 cm,大多呈分叶状,且病灶数目可能会大于2个。(2)肿块边界比较清晰,与周围肌肉及骨骼分界明显,周围血管及神经纤维组织受压推移改变,部分患者邻近骨骼肌可见肿瘤组织浸润。(3)病灶密度/信号不均匀,CT多表现为软组织密度肿块,内可见点状或结节状钙化灶,而MRI则表现为T1WI低信号、T2WI高信号为主肿块,DWI呈稍高信号,增强检查呈明显不均匀性强化,肿块内部少见囊变坏死区。(4)软组织肌上皮瘤属于良性肿瘤,但是肿块具有一定的侵袭性及复发性,术后容易原位复发,局部复发率为15%~18%,且远期复发多见,并且复发病灶的范围及数目均较前明显进展[1]。
本例患者术后病理提示肿块邻近股骨下端可见肿瘤细胞浸润,证实了软组织肌上皮瘤具有一定的侵袭性,手术切除肿块后对患者进行连续24个月的规律随访,至今未见明确肿瘤复发征象,后期我们将继续对患者进行随访,观察并记录其动态变化。
在影像学上,软组织肌上皮瘤需与以下疾病鉴别诊断:(1)滑膜肉瘤。起源于滑膜、滑囊和腱鞘,以四肢最好发,尤其是膝关节,多发生于青壮年男性[12]。主要影像学表现为关节旁软组织肿块,边界较清,20%~40%的滑膜肉瘤可见钙化,钙化常位于肿瘤的边缘,称为边缘性钙化。由于肿瘤内常发生液化、坏死、出血,因此MRI T2WI信号不均匀,呈现为"三重信号征",即肿瘤内见高、等、低三种信号混合存在的征象,增强呈片絮状不均匀强化[13]。(2)周围神经鞘瘤。起源于神经鞘的雪旺氏细胞,可发生于任何部位,但主要发生于大神经干。Tinel征可为阳性。影像学上表现为沿神经干走行的梭形肿块,常有包膜,MRI多表现为典型的"靶征",即T1WI中央区呈中等信号,边缘呈低信号,T2WI中央区域呈不均匀信号,边缘呈高信号[14]。部分肿块内可伴坏死、出血,增强扫描呈不均匀强化。(3)未分化多形性肉瘤。未分化多形性肉瘤又称为恶性纤维组织细胞瘤,是成年人最常见的软组织肉瘤,最常发生于四肢,下肢多见[15]。中老年人好发,一般表现为大的无痛性肿块,生长较迅速。影像上典型表现为四肢长骨骨干旁软组织肿块,边界清晰,由于肿瘤内多发生囊变、坏死和出血,因此MRI上常表现为信号不均匀,T1WI中等信号,T2WI呈不均匀高信号,增强扫描呈不均匀强化。本例影像学表现结合病理结果,可与以上疾病相鉴别。
软组织肌上皮瘤属于罕见的良性肿瘤,临床症状及影像学表现特点缺乏特异性,相关影像学研究报道极少,诊断难度较大。因此,放射科医生应该熟悉本病的谱系、临床表现、影像学表现及鉴别诊断等,当在临床工作中遇到类似影像表现时,应该考虑到本病。
陶雅红,周建忠,陈智勇,等.左腘窝软组织肌上皮瘤1例[DB/OL].中国临床案例成果数据库,2023(2023-01-09).http://journal.yiigle.com/LinkIn.do?linkin_type=cma&DOI=10.3760/cma.j.cmcr.2023.e00190.
所有作者均声明本研究不存在利益冲突





















