
患者,女性,48岁,因"活动时胸痛5年,加重1周"入院。
5年前患者出现活动时胸痛,休息后可缓解。反复多次在当地医院就诊,诊断为冠心病,经药物治疗疗效不佳,胸痛仍反复发作。
经冠状动脉CT血管成像及冠状动脉造影。
行冠状动脉-肺动脉瘘缝闭术。
患者术后心电图无缺血变化。手术后患者的疼痛症状消失,出院时无重大并发症。
心血管科
版权归中华医学会所有。本文为遵循CC-BY-NC-ND协议的开放获取文章。
冠状动脉瘘(coronary artery fistula,CAF)是一种以冠状动脉与心腔或大血管连接异常为特征的罕见疾病,其中冠状动脉血液可流入心腔、冠状静脉窦、腔静脉、肺动脉或肺静脉等[1],占所有先天性心脏病的0.2%~0.4%。冠状动脉与肺动脉异常连接形成冠状动脉-肺动脉瘘(coronary-pulmonary artery fistula,CPAF)通常是先天性的,但在某些情况下是后天因素造成的,例如先天性心脏病术后或者经皮冠状动脉成形术后的并发症[2],尽管CPAF在大多数情况下无症状,但有报道某些情况下能发生严重的并发症,如动脉瘤破裂、缺血性心脏病、心脏性猝死、肺动脉高压、充血性心力衰竭等[3]。我院收治1例罕见患者,行冠状动脉造影发现冠状动脉与肺动脉之间形成瘘管,在后来的手术过程中发现冠状动脉与肺动脉之间有多支瘘管存在。现通过分析冠状动脉-肺动脉瘘的流行病学、诊断和治疗过程,以期为临床提供更多的病例参考。
患者,女性,48岁,因主诉"活动时胸痛5年,加重1周"于2021年11月21日收入院。
现病史:患者于5年前于活动时出现胸骨后疼痛,不伴有胸闷气短,症状持续时间约10 min,于休息后逐渐缓解,患者病程中反复就诊于当地医院,按照"冠心病"药物治疗,1周前患者自觉上述症状加重,疼痛程度较前剧烈,疼痛持续时间较前延长,持续时间约20 min,于当地医院就诊,自觉无明显好转遂来我院。
既往史:否认高血压病史,否认糖尿病史,无其他既往疾病。
体格检查:体温36℃,脉搏97次/分,呼吸22次/分,血压120/80 mmHg(1 mmHg=0.133 kPa)。双肺呼吸音清,未闻及干湿啰音,心率97次/分,心律齐,未闻及早搏,各瓣膜区未闻及杂音。
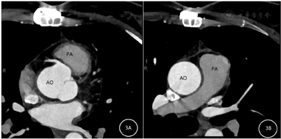
辅助检查:入院后查血常规:WBC 11.1×109/L,肌酸激酶同工酶、肌酸激酶、凝血象、肌钙蛋白Ⅰ、甲状腺功能等未见异常。心电图提示下壁、前壁导联压低(图1A)。心脏超声未见明显异常。为明确患者运动时是否存在心肌缺血,遂行心肺运动试验,结果显示运动达最大负荷及恢复时出现胸闷症状,心电图Ⅱ、Ⅲ、AVF、V4-V6导联ST段压低0.1 mV(图1B)。冠状动脉CT血管成像及冠状动脉造影显示(图2):左前降支、右肺动脉圆锥之-肺动脉瘘,右肺动脉圆锥之直接起源自右冠状动脉窦,冠状动脉管腔未见狭窄。




根据患者检查及化验,初步诊断该患者为冠状动脉-肺动脉瘘。
经心外科会诊后,患者及家属同意心外科手术治疗,遂于2021年12月2日行冠状动脉-肺动脉瘘缝闭术,取胸部正中切口,体外循环备用,可见肺动脉表面及根部3~5根冠脉分支,走形于肺动脉主干,心脏表面可见右冠状动脉分支血管走形于肺动脉表面并止于肺动脉主干,左冠状动脉分支血管走行于肺动脉左侧面并止于肺动脉主干。分别缝合肺动脉表面及侧面的左右冠状动脉分支,缝合瘘口后,可见肺动脉表面及侧面的左右冠状动脉分支内血流消失。术后诊断:先天性冠状动脉-肺动脉瘘。
患者术后心电图无缺血变化。手术后患者的疼痛症状消失,出院时无重大并发症。术后5个月,复查冠状动脉三维成像结果(图3)冠状动脉、肺动脉未见分流,冠状动脉无明显狭窄。心脏彩超提示:EF 63%,冠状动脉-肺动脉瘘术后,三尖瓣轻度反流,左心功能正常。术后定期随访未见不适症状。


Shunsuke Sakamoto等[4]报道了一例中年男性患者,造影显示长约1.5 cm冠状动脉瘤和冠状动脉-肺动脉瘘(CPAF)自发破裂,手术将该患者破裂的动脉瘤切除并安全闭合CPAF。因此,对于早期诊断和治疗有症状的CAF可以改善预后,甚至降低心源性猝死的风险。
大多数病例是在血管造影期间偶然发现的,而超声心动图也被证明可以诊断CPAF,例如经食管超声心动图可以检测到罕见的右冠状动脉瘘与右心房相连的瘘管[5]。对于解剖结构复杂的心脏病患者,术前的三维打印模型能够描绘其解剖结构,精确定位肺动脉侧支动脉的起源,更方便进行术前评估等下一步治疗[6]。在评估冠状动脉功能严重程度上,血流储备分数(fractional flow reserve,FFR)和冠状动脉血流储备(coronary flow reserve,CFR)等可以评估瘘相关的心肌缺血程度[7]。这些方法可以评估CPAF的起源、开口部位、解剖关系及严重程度等,为疾病的诊断及治疗提供依据。
尽管CPAF的规范化治疗指南尚未建立,但有人认为,瘘口的大小、超声心动图上的血流动力学变化、心肌灌注显像上的缺血、相关的心脏异常不仅可能会导致各种体征,也可能是选择保守治疗和侵入性治疗的决定因素[8,9],但目前还不能确定侵入性治疗还是保守治疗哪种更好。Hokun Kim教授[10]回顾性分析了188例CPAF患者,其中8例接受手术治疗,123例(93.9%)接受最佳药物治疗(optimal medical therapy,OMT),治疗OMT的药物有β受体阻滞剂、钙通道阻滞剂、降血脂药、抗血小板药等,其中122例未发生心血管不良事件(major adverse cardiovascular events,MACE),其症状在OMT治疗中得到了很好的控制。这些结果均表明,对于在冠状动脉造影中偶然发现的CPAF,在大多数情况下是良性的,单纯OMT可能是足够的,但较大的瘘管引起血流动力学改变时可能会造成心肌窃血综合征,病情进展导致心肌扩张,从这个方面考虑手术治疗是必要的。
目前最常用的手术治疗是瘘管结扎,如瘘管修补术、第四肋间隙微型胸廓切开术[11],也可以通过经导管液态栓塞、支架植入术闭塞瘘管或经导管弹簧圈栓塞闭合CPAF的血管内方法闭合瘘管[12,13,14,15]。基于相对较少的回顾性研究,目前对于有症状的冠状动脉瘘的最佳手术治疗方法仍存在争议。
我们的病例极为罕见,因为大多数报道的病例是冠状动脉前降支(left anterior descending,LAD)和肺动脉之间的瘘管,但在本案例中,肺动脉与左右冠状动脉形成多条瘘管,并且表现为心绞痛症状,患者经手术治疗后症状明显缓解,术后5个月复查冠状动脉CTA未见冠状动脉-肺动脉瘘。在表现为心绞痛的患者中,冠状动脉造影可提供冠状动脉狭窄程度、解剖位置、瘘管和动脉瘤等信息,还有助于进行适当的手术评估。由于CPAF在临床上罕见,在表现心绞痛和劳累后呼吸困难的患者中容易被忽略,因此在这类患者中更应该明确疾病的原因,不能忽略类似的少见或罕见的疾病,以免造成漏诊。
陈鹏莉,张曼玉,宋紫微,等.多支冠状动脉-肺动脉瘘1例[DB/OL].中国临床案例成果数据库,2023(2023-01-13).http://journal.yiigle.com/LinkIn.do?linkin_type=cma&DOI=10.3760/cma.j.cmcr.2023.e00279.
所有作者均声明本研究不存在利益冲突





















