
患者,男性,60岁,以"上下颌牙齿不适2年余"为主诉来诊要求治疗。患者多年前曾于外院行烤瓷固定桥修复,近2年来牙齿松动,咀嚼不适。患者身体健康状况良好,否认过敏史。
口腔检查卫生一般,部分牙齿缺失,上下颌固定桥修复体松动Ⅱ度,边缘不密合。余留天然牙松动Ⅱ度,牙龈萎缩,牙根暴露约1/3,牙龈局部红肿。
通过病史及口腔专科检查、X线影像检查,根据2018年牙周病国际新分类标准诊断为Ⅳ期C级牙周炎。
上下颌"All-on-4®"修复治疗方案,拔除余留牙后上颌植入4枚种植体行即刻种植固定义齿即刻修复,下颌因骨条件不良,可摘总义齿过渡修复4个月后,植入4枚种植体即刻固定义齿修复,6个月后上下颌完成种植固定终义齿修复。
上颌即刻种植即刻修复,下颌延期种植即刻修复,上下颌过渡义齿修复满足患者基本功能要求,终义齿修复后咬合、美观及发音功能良好,随访6年疗效稳定。
口腔修复科;口腔种植科
版权归中华医学会所有。本文为遵循CC-BY-NC-ND协议的开放获取文章。
种植修复已成为缺牙患者的主要修复方式,All-on-4®即刻种植修复通过特殊的种植体植入方式,避开了上颌窦或下牙槽神经管,避免了上颌窦提升手术和植骨,单颌4枚种植体支持12颗牙齿完成固定义齿修复,缩短了种植修复疗程,降低了手术费用,减少了患者痛苦,并可实现即刻行使功能[1]。本例口腔卫生差、牙周感染严重并修复体咬合关系不良,拆除修复体、拔除上下颌余留牙分期种植修复,随访6年临床效果满意。
患者,男性,60岁,2015年6月以"上下颌牙齿不适2年余"为主诉就诊要求治疗。患者全身健康状况良好,无系统性疾病史,否认药物过敏史,有固定义齿修复史,自述2年来上下颌牙齿松动,咀嚼不适。2015年9月就诊时27已自行脱落。
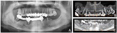
患者口腔卫生差,14、13、12、11、21、22、23、24固定(桥)修复体松动Ⅰ度,边缘不密合,16、17、26根面暴露,Ⅲ度松动,叩诊(±),27缺失。33、32、31、41、42、43、44、45、46、47固定(桥)修复体Ⅱ度松动,边缘不密合,34、35、36残根,断面平龈缘,37缺失。下前牙舌侧结石(+),牙龈红肿,上下颌余留牙牙龈退缩(图1)。


慢性牙周炎(Ⅳ期C型);34、35、36牙体缺损(残根);上下颌牙列缺损。
方案一:①口腔健康教育、口腔卫生指导,行牙周序列治疗;②拔除16、17、34、35、36,拆除上下颌修复体并拔除33、43、47,13、14、23、24基牙根据健康状况确定保留或拔除;③上下颌缺失牙行可摘局部义齿修复。方案二:①口腔健康教育、口腔卫生指导,行牙周序列治疗;②15、25、26暂保留,修复体拆除后13、14、23、24基牙根据健康状况确定保留或拔除,拔除16、17、34、35、36、33、43、47;③拔牙3个月后,上颌可摘局部义齿修复,下颌种植覆盖义齿修复。方案三:①口腔健康教育、口腔卫生指导;②拔除上下颌余留牙;③拔牙3~6个月后,行上下颌全口种植固定义齿修复,上下颌分别植入6~8颗种植体,修复方式采用一段式或分段式固定桥修复。方案四:①口腔健康教育、口腔卫生指导;②拔除上下颌余留牙;③采用All-on-4®术式单颌植入4颗种植体,行种植固定义齿修复。
方案一与方案二均保留上颌部分天然牙,区别是下颌采用可摘总义齿修复或种植覆盖义齿修复。相对于传统可摘义齿修复,种植覆盖义齿修复具有固位效果好的优点,但治疗周期长。方案三拔除上下颌余留牙后延期种植固定义齿修复,在拔牙3~6个月后,上颌植入6~8颗种植体,下颌植入4~6颗种植体,完成上下颌种植固定义齿修复。此方案上颌磨牙区需要上颌窦提升植骨手术,手术创伤大、费用高、治疗周期长。方案四采用All-on-4®术式单颌植入4颗种植体,患者痛苦小、费用低、治疗周期短、美观效果好,可实现即刻负重。
经过充分沟通,患者综合考虑后决定选择方案四,采用All-on-4®术式上下颌种植固定修复,签署拔牙及种植手术知情同意书。
(1)手术方案设计:拔除上下颌余留牙后,上颌拟在12、22区轴向植入2颗种植体,15、25区倾斜植入2颗种植体,固定义齿过渡修复。下颌拔牙1周后取模制作过渡可摘总义齿,4个月后下颌于32、42区轴向植入2颗种植体,35、45区域倾斜植入2颗种植体,固定义齿过渡修复,6个月后上下颌终义齿修复(钛支架加丙烯酸树脂材料)。
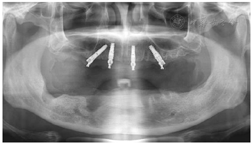
(2)2015年9月行拔牙及上颌种植手术。口腔局部阿替卡因肾上腺素注射液浸润麻醉,拔除上下颌余留牙,搔刮清理拔牙窝内肉芽组织,见43、44、47区牙槽骨缺损(图4),修整下颌牙槽嵴,黏膜瓣复位,4-0可吸收缝线缝合下颌术区。16~26区牙槽嵴顶近远中向切开牙龈黏膜、翻瓣,平整牙槽嵴顶骨嵴,分别于12、15、22、25区定点,逐级备洞,15区倾斜植入Nobel Speedy 4 mm×15 mm种植体,12、22、25区骨质量较差,为获得良好初期稳定性选用Nobel Active种植体,12区植入Nobel Active 5 mm×13 mm种植体,22区植入Nobel Active 4.3 mm×13.0 mm种植体,25区倾斜植入Nobel Active 5 mm×13 mm种植体,种植体初期稳定性均达到35 N·cm,旋入复合基台,修整牙龈,缝合。术后拍摄全颌曲面体层片(图5)。




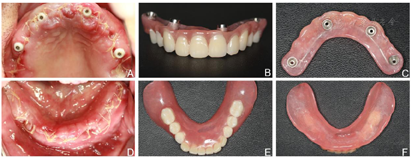
(3)术后1周,制取上颌种植基台水平印模及下颌无牙颌印模,制作蜡堤记录上下颌颌位关系,采用息止颌位法确定垂直距离,吞咽咬合法确定水平关系,转移颌位关系后,当日制作上颌种植体支持式固定义齿及下颌可摘总义齿过渡修复(图6)。上颌修复至第二前磨牙,下颌修复至第一磨牙,调整咬合接触,戴牙后2周、1个月复诊,下颌义齿组织面重衬、调牙合后义齿稳定。


(4)下颌拔牙后4个月(2016年1月)复诊,口腔CBCT检查43、44区骨组织早期愈合(图7),牙槽嵴顶黏膜愈合良好(图8A),口腔局部阿替卡因肾上腺素注射液浸润麻醉,32、42区轴向植入Nobel Speedy4 mm×13 mm种植体,35区斜行植入Nobel Speedy4 mm×15 mm种植体,43、44区骨组织愈合不良,清理肉芽组织后呈凹坑型骨缺损(图8B),45区倾斜备洞穿越44、43骨缺损区植入Nobel Speedy4 mm×18 mm种植体(图8C),4颗种植体初期稳定性均达到35 N·cm,安装复合基台。43、44骨缺损区回填自体骨屑(图8D),修整牙龈、黏膜瓣复位,4-0可吸收缝线严密缝合创口。术后即刻制取印模,制作下颌种植固定过渡义齿并戴入,义齿修复到第二前磨牙,建立上下颌固定义齿咬合关系。(图9)。






(5)术后复查:术后1个月、5个月复诊,上下颌过渡义齿咀嚼功能较戴用可摘义齿明显改善,面型及发音正常。X线全颌曲面体层片显示种植体骨结合良好(图10)。


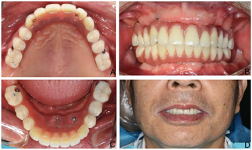
(6)制作终义齿:下颌种植术后6个月(2016年7月),取下上下颌固定过渡义齿,制取复合基台水平硅橡胶印模,利用过渡义齿记录上下颌位关系、上牙合架,排牙,试排牙,CAD/CAM技术制作钛支架,采用树脂基托及人工牙完成终义齿,上下颌修复至第一磨牙。戴入后调整咬合,上下颌中线居中、对称,露齿线、唇颊面部丰满度患者满意(图11、图12)。




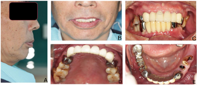
种植修复后1、2、4年随访X线全颌曲面体层片显示种植体周围骨结合良好(图13A~C),患者对修复体美观及咀嚼功能效果满意。修复后6年(2022年8月)随访X线全颌曲面体层片及根尖片显示种植体周骨结合良好,上前牙区种植体颈部骨吸收约1 mm(图13D、图14)。取下上下颌义齿,清理义齿组织面滞留菌斑,清洁复合基台并检查基台中央螺丝稳定,清洁义齿组织面,戴回上下颌义齿(图15)。患者口腔卫生宣教,指导正确刷牙,使用冲牙器冲洗义齿与牙龈间缝隙,嘱6个月复查、维护。






牙周炎是由牙菌斑生物膜引起的牙周支持组织感染性疾病,导致牙齿支持组织的破坏,造成结缔组织和牙槽骨丧失,其发生可能受到众多因素的影响,包括口腔卫生、咬合因素、不良修复体、吸烟、系统性疾病等[2,3]。第4次全国口腔健康流行病学调查报告显示,我国55~64岁年龄组的牙周健康率仅为5%,因牙周病失牙的患者高达50%以上[4]。2018年牙周病和植体周病国际新分类将"慢性牙周炎"和"侵袭性牙周炎"合并为"牙周炎",并进一步明确分期(staging)和分级(grading)[5]。本例属Ⅳ期C级牙周炎。对于本例,若先期拔除口内无法保留的患牙,待口内感染有效控制、软硬组织重建完成后进行可摘义齿或种植义齿修复,一般会有3个月以上的缺牙期。该患者对尽早恢复牙齿功能意愿迫切,因后牙区牙槽骨骨量严重不足,其他种植方法难以满足患者治疗的需求。"All-on-4®"种植修复术式仅通过4枚种植体,支持单颌12颗牙齿完成固定修复,降低了种植手术的复杂性,扩展了全牙列种植修复的适应证[1]。
由于上颌骨密度较下颌骨密度低,上颌种植体相对难以获得良好的初期稳定性和骨结合强度,有文献建议在上颌植入6~8颗种植体,下颌植入4~6颗种植体,种植体及上部修复结构可以获得较高的成功率[6,7]。Maló提出的"All-on-4®"治疗设计,斜行种植体可以避免后牙区复杂植骨手术,简化手术的复杂程度,降低治疗费用;Maló等报道18年随访下颌"All-on-4®"成功率达91.7%~100%,上颌"All-on-4®"种植修复13年跟踪随访中,成功率达93.9%~100%[8,9,10,11]。研究表明修复至第一磨牙即可恢复咀嚼效率的80%~90%[12]。为了降低修复风险、手术难度及费用,大部分无牙颌(单颌或双颌)行"All-on-4®"治疗时建议最终修复体到两侧的第一磨牙[13]。
牙周炎并非即刻种植的绝对禁忌证,系统综述表明彻底清除感染组织后,感染和健康的拔牙位点行即刻种植的种植体具有相似的种植体存活率[14]。Ⅳ期B/C级牙周炎患者行All-on-4®即刻种植即刻修复平均5年的累计存活率为98.75%,且具有高的患者满意度,是一种可靠的种植修复方式[15,16]。而且All-on-4®种植手术修整牙槽嵴顶和软组织,清除了感染组织,可以获得良好的感染控制,因此本例上颌拔除患牙后通过即刻种植实现了早期固定修复。有研究认为,重度牙周炎患者全口种植时机的选择应考量术前感染的控制难度,选择拔牙后择期种植能降低术前感染的控制难度[17]。本例下颌因牙周感染较严重,术前和术中评估同期植入种植体失败风险较大,因此选择了拔牙后延期种植修复。下颌拔牙术后的过渡总义齿基本满足了患者的要求。
本例种植体植入扭矩均达到35 N·cm,这是种植体即刻负重的关键[18]。采用钛支架加丙烯酸树脂材料修复相对于氧化锆桥体修复更加经济,同样能获得良好的美观、发音和咀嚼功能,研究表明树脂材料与氧化锆冠修复相比对种植体存活率无显著差异[19]。在All-on-4®种植修复设计中,可以选择使用0°、17°、30°复合基台(也称多功能基台),角度复合基台的使用有利于调整平行种植体轴向角度,获得良好的义齿就位道。使用角度复合基台可以减少治疗时间、费用和引导骨再生手术,研究表明复合基台临床应用效果稳定[20],在定期随访维护时,没有折裂等损坏情况下不需要更换复合基台。
针对该类重度牙周炎病例,拔除无法保留的余留牙,彻底清创,有效控制感染[20]。植入的种植体能够获得良好的初期稳定性是种植修复治疗成功的关键[18,21]。口腔健康维护、有效控制菌斑、定期随访复查是获得长期稳定治疗效果的重要因素[22]。
何宝杰,邹桂克,康娟,等.Ⅳ期牙周炎全口种植固定义齿修复1例[DB/OL].中国临床案例成果数据库,2023(2023-01-13).http://journal.yiigle.com/LinkIn.do?linkin_type=cma&DOI=10.3760/cma.j.cmcr.2023.e00286.
所有作者均声明本研究不存在利益冲突























