
患者,女性,61岁,前牙折断2周,要求修复治疗。
21残根状,断面见龋坏,位于龈下约1.0 mm,叩诊(-),牙周探诊深度≤3 mm,牙无松动,牙龈无红肿,龈沟内未见异常分泌物。11牙龈缘退缩约2 mm,21牙龈缘高度同11牙,牙龈生物型为厚龈型。22缺失,牙槽嵴顶黏膜凹陷,牙龈未见红肿、破溃等不适。
依据口腔临床检查及影像学检查。临床诊断:21牙体缺损(残根);上颌牙列缺损。
21不翻瓣即刻种植延期修复,同期行腭侧结缔组织转瓣覆盖种植体,22常规植入种植体,6个月后21、22行种植联冠修复。
种植修复术后2年、6年复查,种植修复体稳定,咀嚼功能良好,龈缘未见明显退缩,龈乳头充盈于牙间隙,美学效果尚可。X线检查显示21、22种植体周围骨结合良好。
口腔种植科;口腔修复科
版权归中华医学会所有。本文为遵循CC-BY-NC-ND协议的开放获取文章。
1976年Schulte等[1]报道了首例即刻种植体,并于1978年首次提出即刻种植的概念。"即刻种植"是指牙齿(残根、冠)拔除后即刻植入种植体,其具有减少手术次数、缩短治疗周期、费用低、创伤小、可获得理想的美学效果等优点。然而,即刻种植同样存在缺点,其中较为常见的是术区创口关闭困难。种植体周围软组织移植是软组织增量的重要手段,带蒂结缔组织移植能恢复种植区正常的原有软组织形态,并有良好骨诱导、成骨作用,成为目前研究热点[2]。本文报道1例上颌中切牙冠折病例,微创拔牙后不翻瓣即刻种植,并利用邻近硬腭带蒂结缔组织瓣覆盖术区创面,随访6年临床效果良好。
患者,61岁,女性,前牙折断2周,要求修复治疗,于2016年6月来院就诊。口腔卫生一般,每天刷牙2次,无夜磨牙、张口呼吸,无吸烟史及酗酒史。
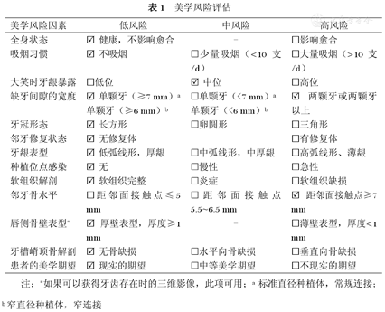
临床检查:21残根状,断面见龋坏,位于龈下约1.0 mm,叩诊(-),牙周探诊深度≤3 mm,牙无松动,牙龈无红肿,龈沟内未见异常分泌物。11牙龈缘退缩约2 mm,11牙龈缘高度同11,采用探针透照法,即牙周探针探入龈沟内时探针外形不可见,判断牙龈生物型为厚龈型[3,4,5]。恒牙列,22缺失,牙槽嵴顶黏膜凹陷,牙龈未见红肿、破溃等不适;15、16、17、36、37缺失,缺牙区牙槽嵴顶黏膜平坦。11、12、13、14、23、24、25、33、34、35、44、45唇侧颈部见"V"形缺损,牙本质暴露,探诊、冷诊敏感。双侧下颌后牙舌面见牙石覆盖牙面颈部约1/3,牙龈红肿,探诊出血,31、41松动Ⅱ度,口内余留牙牙周探诊深度1~3 mm,下前牙附着丧失3~4 mm。开口度、开口型正常,颞下颌关节、黏膜、颌面部均未见异常(图1)。


X线影像学检查:锥形束CT显示21牙根长度约10 mm,唇侧皮质骨板完整、连续,厚度约1.0 mm,根尖区未见异常,可用牙槽骨宽度8.2 mm、高度23.8 mm;22可用牙槽骨宽度5.9 mm、高度18.1 mm,21、22缺牙间隙距离15.4 mm(图2)。


美学风险评估:对患者的美学风险评估显示,中位笑线,低弧线形表型(表1)。

美学风险评估
美学风险评估
| 美学风险因素 | 低风险 | 中风险 | 高风险 |
|---|---|---|---|
| 全身状态 | ☑健康,不影响愈合 | - | □影响愈合 |
| 吸烟习惯 | ☑不吸烟 | □少量吸烟(<10支/d) | □大量吸烟(>10支/d) |
| 大笑时牙龈暴露 | □低位 | ☑中位 | □高位 |
| 缺牙间隙的宽度 | ☑单颗牙(≥7 mm)a单颗牙(≥6 mm)b | □单颗牙(<7 mm)a单颗牙(<6 mm)b | ☑两颗牙或两颗牙以上 |
| 牙冠形态 | ☑长方形 | □卵圆形 | □三角形 |
| 邻牙修复状态 | ☑无修复体 | □有修复体 | |
| 牙龈表型 | ☑低弧线形,厚龈 | □中弧线形,中厚龈 | □高弧线形、薄龈 |
| 种植位点感染 | ☑无 | □慢性 | □急性 |
| 软组织解剖 | ☑软组织完整 | □炎症 | □软组织缺损 |
| 邻牙骨水平 | □距邻面接触点≤5 mm | □距邻面接触点5.5~6.5 mm | ☑距邻面接触点≥7 mm |
| 唇侧骨壁表型* | ☑厚壁表型,厚度≥1 mm | - | □薄壁表型,厚度<1 mm |
| 牙槽嵴顶骨解剖 | ☑无骨缺损 | □水平向骨缺损 | □垂直向骨缺损 |
| 患者的美学期望 | ☑现实的期望 | □中等美学期望 | □不现实的期望 |
注:*如果可以获得牙齿存在时的三维影像,此项可用;a标准直径种植体,常规连接;b窄直径种植体,窄连接
21牙体缺损(残根);上、下颌牙列缺损;11、12、13、14、23、24、25、33、34、35、44、45楔状缺损;慢性牙周炎。
方案一:①口腔卫生宣教,牙周洁治;②21拔除3个月后,上颌行15、16、17、21、22可摘局部义齿修复;下颌行36、37可摘局部义齿修复;③11、12、13、14、23、24、25、33、34、35、44、45充填修复。方案二:①口腔卫生宣教,牙周洁治;②21即刻种植延期修复;③15、16、17、22、36、37种植修复;④11、12、13、14、23、24、25、33、34、35、44、45充填修复。
行可摘局部义齿修复,周期短、创伤小、费用低、便于口腔卫生维护,但咀嚼效率低,影响发音,有异物感等。行不翻瓣即刻种植联合腭侧结缔组织转瓣修复周期相对较长,创伤较大,但术后美观、发音效果好,咀嚼效率高,相比延期种植可以缩短治疗周期,不采用唇侧翻瓣可以减少损伤、肿胀及疼痛等术后反应[6]。与患者充分沟通后,患者选择方案二。
(1)牙周基础治疗:口腔卫生宣教,菌斑控制,牙周洁治。
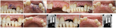
(2)即刻种植一期手术过程:①术前采集患者静脉血9 ml制备1 U浓缩生长因子(concentrate growth factors,CGF),压制成膜,备用。②笑气/氧气吸入镇静下局部浸润麻醉,微创拔除21,探查牙槽窝骨壁完整。③沿22牙槽嵴顶黏膜偏腭侧切口,翻瓣,球钻偏腭侧定位,逐级备洞,21植入DIO 3.8 mm×12.0 mm种植体,植入扭矩为15 N·cm,旋入愈合帽,22植入DIO 3.8 mm×10.0 mm种植体,植入扭矩为35 N·cm,旋入愈合帽。④21种植体颈部跳跃间隙及22唇侧颈部植入Bio-oss骨粉,覆盖1 U CGF膜。⑤21拔牙窝腭侧近中作三角弧形切口,贴骨膜锐性分离半厚黏膜,形成带蒂结缔组织瓣,蒂在拔牙窝腭侧远中。⑥21、22之间唇侧龈缘做斜行切口,旋转腭侧与唇侧结缔组织瓣吻合,无张力对位良好,5-0可吸收缝线严密缝合创口(图3)。


(3)术后复查:术后2周、1个月、2个月、5个月复查,21、22术区黏膜愈合良好,X线片显示种植体周围骨结合良好(图4)。


(4)种植二期手术过程:种植一期手术6个月后,0.5%碘伏消毒21、22术区,局部浸润麻醉下,沿21、22牙槽嵴顶偏腭侧黏膜作近远中向切口,全层翻瓣,见愈合帽上方部分骨质覆盖,去除愈合帽表面多余硬组织,取下愈合帽,安装N 4.1 mm×5.0 mm愈合基台,牙龈修整、黏膜瓣复位,5-0可吸收缝线缝合创口(图5)。


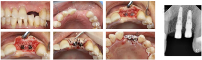
(5)终义齿修复:种植二期手术1个月后,取下21、22愈合基台,见牙龈袖口质地坚韧,高度约2 mm,局部清理消毒,旋入印模柱,X线片检查确认印模柱就位,制取开口式硅橡胶印模,比色,制作21、22钴铬合金烤瓷联冠,2周后完成终义齿修复(图6)。


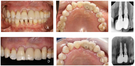
因患者常年旅居外地,种植修复后定期进行电话回访,反馈功能及美观性良好。种植修复后2、6年来院复查,21、22种植修复体完整、稳固,咬合检查未见高点及牙合干扰,近、远中邻接关系良好,龈缘未见明显退缩,牙龈颜色、形态、质地正常,未探及牙周袋。X线片显示21、22种植体周围无透射影、垂直方向未见明显骨吸收。行全口牙周洁治,植体周维护,口腔卫生宣教(图7)。


临床上因龋病、楔状缺损、外伤、不良修复体等导致的残冠、残根,直接影响患者的口腔健康和功能,这类病例的治疗和设计是临床处置的难点。针对各种类型的残根、残冠,其保留和拔除的决策,需要基于患牙综合条件、患者因素(年龄、身体状况、主观要求、经济状况等)和牙周维护能力等进行考量[7]。本例患牙位于前牙美学区,去净龋坏组织后唇侧近中残根位于龈下约2 mm,由于缺乏足够的牙体组织,在临床中往往需要通过牙冠延长术、牙龈切除术、正畸牵引术等获得牙本质肩领,但21牙龈缘与邻牙协调,且无牙周袋,非牙冠延长术及牙龈切除术适应证。本例21牙根长度约10 mm,如采用正畸牵引术获得牙本质肩领,不仅治疗周期长,费用高,最终修复后的冠根比例也会大于1∶1,无法获得满意的远期疗效。因此患者最终选择即刻种植修复治疗。
根据ITI共识和推荐的临床程序,即刻种植适应证包括:①牙拔除后唇侧骨壁完整,厚度≥1 mm;②牙龈为厚龈生物型;③拔牙位点无急性感染;④拔牙位点根方和腭侧有足够的骨量以利于种植体获得良好的初期稳定性[8]。本例牙龈为厚龈生物型,唇侧骨壁厚度为1 mm、无缺损,拔牙位点无严重感染,骨量充足,符合即刻种植适应证。在上前牙区,唇侧骨壁主要由束状骨构成,内部无骨髓质,所以血供仅来源于牙周膜和外侧的黏骨膜,拔牙后首先失去牙周膜来源的血供,而此时若采取唇侧翻瓣,也会失去仅剩的黏骨膜血供,进而促进唇侧骨壁的吸收[6]。翻瓣手术不仅会破坏唇侧骨壁的血液供应,对黏膜边缘退缩也是一个促进因素[9]。因此对于上前牙区,许多学者推荐最小翻瓣或者不翻瓣的情况下行即刻种植,其优势是可以最大限度地保留软组织的结构,使其最接近拔牙前的状态[10]。综合评估后,本例采用唇侧不翻瓣微创拔牙后即刻种植修复。
由于种植体的大小、形态往往与拔牙窝不符,使得拔牙后即刻种植的种植体与牙槽窝壁之间存在着不同程度的跳跃间隙,从而影响种植体获得良好的骨结合。本病例在跳跃间隙内植入Bio-oss骨粉并覆盖CGF生物膜,Bio-oss骨粉不含任何有机成分,植入后不会引起免疫反应,CGF生物膜富含生长因子和纤维蛋白,可促进骨细胞的生长,加速骨组织的愈合,有一定的抗炎作用[11]。研究表明Bio-oss联合CGF膜对种植体周围骨缺损进行修复,可增加骨密度和新生骨量,改善牙周状况,使种植体的稳定性和骨结合达到理想的效果[12,13]。
美学区即刻种植,ITI共识建议采用潜入式的愈合方式,潜入式愈合可考虑以下方式关闭创口:(1)取腭侧结缔组织行游离软组织移植。(2)在冠向推进瓣的基础上使用屏障膜;或使用软组织替代材料,如胶原基质、人纤维蛋白衍生真皮替代物等。(3)旋转腭侧结缔组织瓣的方式来覆盖种植体,即刻修复是另一种可供选择的创口封闭方式[8]。研究发现,与常规负载相比,即刻负载可能会增加种植体失败的风险[14]。2018年ITI研讨会对植入和负载时机进行了讨论,建议谨慎选择即刻种植同期即刻修复或负载[15]。结合此建议,本例21种植体植入时扭矩为15 N·cm,未行即刻修复。取腭侧结缔组织行游离软组织移植存在腭大神经血管束损伤、移植物坏死、供区感染等风险,且又增加了一个创面,唇侧未行翻瓣,亦不能行冠向推进瓣关闭创口,因此本病例采用旋转腭侧带蒂结缔组织瓣的方式来覆盖种植体,转瓣术后2周、1个月、2个月、5个月随访,软组织愈合良好,术后7个月21、22牙行种植联冠修复。联冠修复能有效减少"黑三角"的形成,保证前牙美观性。Fanuscu等[16]通过有限元分析认为,联冠修复方式应力分布最合理,有利于对抗垂直及侧向力。种植修复随访6年,牙龈色粉红、质地坚韧、形态良好,种植体周围骨结合良好,美学效果良好。
本例不足之处因鼻腭神经管的生理解剖位置,迫使21种植体植入近中位置达到极限;且修复时未使用个性化基台,21修复体近中出现悬瓷,但目前尚未对种植体骨结合及美学稳定性产生不利影响。嘱患者保持口腔卫生,定期随访复查与维护,并采取必要的菌斑控制措施,预防种植体周病的发生。
何宝杰,郑彩云,邹桂克,等.上中切牙即刻种植腭侧结缔组织转瓣1例[DB/OL].中国临床案例成果数据库,2023(2023-01-13).http://journal.yiigle.com/LinkIn.do?linkin_type=cma&DOI=10.3760/cma.j.cmcr.2023.e00289.
所有作者均声明本研究不存在利益冲突





















