
患者,男性,22岁,因"反复头痛、发热4个月"入院。主要表现为反复颈枕部疼痛、发热,临床呈缓解-复发-加重过程。既往健康。
体温37.2℃,一般状况良好,无皮下结节,枕部轻压痛,皮下组织饱满,质地中等,未扪及明显包块,未扪及肿大的浅表淋巴结,眼底双眼视乳头边界不清晰,颈部轻度抵抗,无其他神经系统阳性体征。
完善脑脊液细胞学、脑活检结果,结合免疫组化,确诊B淋巴母细胞淋巴瘤。
患者确诊后转入血液科予CHOP方案化疗与放疗治疗,辅以保肝止吐药。
患者症状完全缓解。随诊中患者出现颈部淋巴结肿大和肾脏受累,规律化疗后症状缓解。
神经科;血液科;感染科;神经外科
版权归中华医学会所有。本文为遵循CC-BY-NC-ND协议的开放获取文章。
B淋巴母细胞淋巴瘤(B Lymphoblastic lymphoma,B-LBL)为骨髓前B细胞来源的恶性肿瘤,WHO2016版白血病与淋巴瘤分类将其命名为:前B淋巴母细胞白血病/淋巴瘤。该病临床上多表现为白血病,仅少数表现为淋巴瘤。B-LBL多见于儿童和青年男性,为高度恶性肿瘤,可进展为白血病。在原发性中枢神经系统恶性淋巴瘤(PCNSL)中,淋巴母细胞淋巴瘤占2.9%~25%,几乎全部为B细胞型[1],主要累及脑和脊髓实质。脑脊液细胞学对中枢神经系统淋巴瘤的诊断具有重要意义[2,3],结合免疫组化可显著提高CNS淋巴瘤诊断的敏感性和特异性。我们报道1例表现为硬脑膜炎的B淋巴母细胞淋巴瘤,病变累及硬脑膜、枕骨和枕部肌肉组织,经脑脊液细胞学检查首先提示淋巴瘤,并经活检病理确诊,报道如下。
患者,男性,22岁,学生,以"反复头痛、发热4个月"收入院。患者于入院前4个月无明显诱因出现后颈部、枕部疼痛,呈阵发性胀痛,夜间明显,无恶心、呕吐。5 d后出现发热,体温波动于37.0~38.0℃,午后为著,伴乏力,无盗汗。外院予"头孢唑林"静点1个余月,头痛、发热好转。2个月前后颈部、枕部疼痛再次出现,程度较前加重,影响睡眠。于外院头颅CT检查见枕骨骨质破坏,枕部皮下软组织饱满,增强CT显示枕部硬脑膜与小脑幕片状强化,考虑"颅内感染",予头孢曲松、甲硝唑、万古霉素抗感染治疗10 d,未行腰穿,头痛、发热逐渐缓解。1个月前第3次出现头痛伴发热,头痛呈持续性,阵发加重,间断恶心、未吐,伴双眼发胀,偶有视物模糊,无明显复视。体温最高39.4℃,下午及晚间出现,5~6 h后自行退热,为进一步诊治收入院。起病以来乏力明显,精神差,食欲可,夜间睡眠差,大小便正常,体重无明显减轻,偶有右膝疼痛。既往体健,家族史无特殊。
查体:体温37.2℃,皮肤黏膜无黄染,无皮疹及出血点,枕部轻压痛,局部皮下组织饱满,质地中等,未扪及明显包块,全身浅表淋巴结未触及肿大,肝脾肋下未触及。神经系统查体:神清、语利,高级智能活动正常,眼底检查:双眼视乳头颞侧边界不清晰,其余颅神经检查正常;四肢肌力、肌张力正常,腱反射对称正常引出,双侧病理征阴性;双侧肢体深、浅感觉正常。双手指鼻、轮替试验、跟膝胫试验稳准,Rombeger征、步态检查未见异常。颈抵抗阳性,颏胸距2横指,布氏征、克氏征阴性。
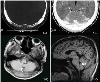
血、尿常规、肝、肾功能正常,便潜血(+);HbsAg(+),HbcAb(+),HIV抗体(-),血沉、自身抗体、肿瘤标志物未见异常,血清免疫固定电泳、血、尿轻链定量正常,尿本-周氏蛋白(-),血β2微球蛋白4.8μg/ml(正常值1.5~2.7 μg/ml)。胸X线及腹部超声未见异常。血涂片、骨髓涂片及活检正常。头CT示枕骨骨质破坏,增强后枕部硬脑膜与小脑幕强化,MRI可见枕部硬脑膜增厚(图1)。头和全身骨显像示枕骨左侧异常放射性浓聚区。


腰椎穿刺:压力235 mmH2O,脑脊液细胞总数2×106/L,蛋白0.4 g/L,糖和氯化物正常,墨汁染色、抗酸染色、细菌、结核菌涂片及培养等阴性。脑脊液细胞学检查:可见大量大幼稚淋巴样细胞,呈类圆形,直径15~20μm,胞浆嗜碱、稀少,围绕细胞核呈花变样分布,部分可见核旁胞质空晕,核大而饱满,类圆形、畸形,可见双核,染色质丰富,细颗粒状,分布均匀,(相对正常淋巴细胞)较疏松,嗜碱性核仁明显;偶可见正常淋巴细胞;免疫细胞学染色:CD34(+),CD20(-);脑脊液细胞学提示恶性淋巴瘤(图2)。随即转入神经外科行枕部探查活检及寰枕减压术。


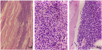
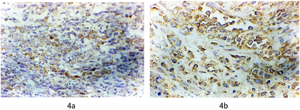
神经外科脑活检:术中可见枕骨表面灰粉色鱼肉状肿瘤组织,实性,质韧,枕骨骨质被侵蚀破坏,颅内硬膜表面可见肿瘤组织;病理检查:镜下见硬脑膜、骨及横纹肌组织中瘤细胞呈弥漫性和条索状浸润,瘤细胞胞浆少,细胞核大小欠一致,核形各异,圆形、卵圆形或畸形核,核膜明显,核中性染色较浅,染色质颗粒状,可见核仁;免疫组化:末端脱氧核糖核酸转移酶TDT(+),CD34(+),CD79α(+),CD99(+),CD20(±),CD3(-),CD5(-),UCHL-1(-),LCA(-);综合病理诊断:B淋巴母细胞淋巴瘤(图3)。




B淋巴母细胞淋巴瘤,累及硬脑膜、枕骨与枕部肌肉。
患者确诊后转血液科进行化疗与放疗。患者症状完全缓解,但随诊中出现陆续出现颈部淋巴结肿大和肾脏受累,规律化疗后症状缓解。
本例特点为青年男性,既往健康。急性起病,亚急性病程,主要表现为反复后颈、枕部疼痛、发热,抗生素治疗后有缓解-复发-加重的过程;体格检查:神清,枕部轻压痛,皮下组织饱满,眼底双眼视乳头边界欠清晰,其余颅神经阴性。感觉、运动、反射检查及共济运动正常,颈部轻度抵抗。定位诊断:患者头痛、颈痛,颈轻度抵抗提示脑膜受累;头痛、恶心、眼底视乳头水肿表现,提示颅内压升高;定位于脑脊液循环系统,也可以用脑膜受累解释。头增强CT及MRI示枕部硬脑膜增厚强化,可解释上述症状体征。患者青年男性,急性起病,亚急性病程,以发热、头痛、颅高压为主要表现,影像学表现有硬脑膜增厚强化,并累及枕骨,抗生素治疗有效,但间隔一定时间症状复发,在腰穿细胞学结果回报之前,定性诊断主要考虑两个方向,炎症和增殖性疾病:(一)炎症:1.感染相关疾病-细菌感染导致的骨髓炎和硬脑膜炎:影像学局部增厚强化,符合感染特征,抗生素治疗有效但间隔一定时间复发,考虑疗程不够或剂量不规范的可能性。不支持点是如细菌感染,停用抗生素后应该较短时间内复发,且ESR、WBC等全身炎症指标应该有一定提示。而结、真菌等其他感染病原体对抗生素治疗无效。此例患者早期临床曾怀疑颅内感染,在脑脊液白细胞计数正常的情况下,脑脊液细胞学检查首先发现大量淋巴瘤细胞,从而逆转之前的临床诊断方向。2.非感染性炎症:临床表现及影像支持肥厚性硬脑膜炎,需考虑免疫相关疾病如肥厚性硬脑膜炎、甚至IgG4相关疾病。需筛查全身免疫指标、IgG4等证实,也需要腰穿结果排除其他。(二)增殖性疾病:如组织细胞增生症、骨髓瘤、淋巴瘤等,组织细胞增生症可累及后颅窝骨质,表现为局部增厚强化,甚至累及临近结构,诊断依赖于活检,骨髓瘤一般多见于老年人,中位数年龄60岁左右,年轻患者少见,80%~90%的骨髓瘤可检测到M蛋白。淋巴瘤可以累及任何系统,mimic任何炎症和感染性疾病,本例患者腰穿细胞学提示淋巴瘤,最后经活检病理确诊。
淋巴母细胞淋巴瘤分为T细胞性和B细胞性。B淋巴母细胞淋巴瘤主要为骨髓前B细胞来源,WHO白血病与淋巴瘤分类将其归类命名为前B淋巴母细胞白血病/淋巴瘤。该病临床上多数表现为白血病,但少数病例(5%~10%)表现为淋巴瘤。淋巴母细胞淋巴瘤主要表现为多发淋巴结肿大,部分患者可有淋巴结以外的器官受累。B淋巴母细胞淋巴瘤的结外病变较常见,可累及皮肤、骨、肾、肝、卵巢、心包、神经系统(CNS)等脏器。其中淋巴瘤累及CNS较为常见。根据Roy Mackintosh提供的105例累及CNS的淋巴瘤患者尸检资料提示,淋巴母细胞淋巴瘤累及CNS最常见,占18.7%;CNS受累的部位包括:软脑膜和血管间隙(76%),神经根(36%),CNS实质(31%),硬膜(14%)[4]。系统性淋巴瘤可累及硬脑膜静脉窦,并引起硬脑膜静脉窦血栓形成[5]。
B细胞成熟至不同阶段发生恶性增殖,引起性质不同的肿瘤,并对应不同的抗原表达。如干细胞→前-前B细胞→前B细胞阶段的恶性增殖引起前B淋巴母细胞白血病/淋巴瘤,这一阶段的B细胞陆续表达TDT,CD34,CD79α等抗原,而CD20,LCA等抗原出现在稍晚的阶段,如未成熟B细胞→成熟B细胞,该阶段对应B细胞淋巴瘤/慢性淋巴细胞白血病。B细胞最终成熟为浆细胞,对应多发性骨髓瘤,免疫组化显示单克隆免疫球蛋白轻链。CD99对Ewing肉瘤诊断有一定特异性,但淋巴瘤可以表现为CD99阳性,尤其在B淋巴母细胞淋巴瘤中CD99检测阳性者并不少见[6]。在原发性中枢神经系统恶性淋巴瘤(PCNSL)中,淋巴母细胞淋巴瘤占2.9%~25%,几乎全部为B细胞型。淋巴母细胞淋巴瘤占全部PCNSL的17.6%[1],主要累及脑和脊髓实质。关于硬膜原发性淋巴瘤报告很罕见,诊断硬膜原发性淋巴瘤应慎重。CSF细胞学对CNS原发淋巴瘤阳性率可达50%,对继发性为70%~95%[5]。Pernot[7]曾报道1例40岁男性的"原发性硬脑膜B-细胞淋巴瘤",其肿瘤位于上矢状窦前部硬脑膜,并穿过颅骨至皮下,其生长特点类似本例。本例发热、乏力等系统表现明显,确诊后随访,陆续出现累及淋巴结、肾脏的相关症状,因此临床符合系统性淋巴瘤,以枕骨和硬脑膜受累作为系统性淋巴瘤的首发症状是本例的特殊之处。
综上,本例的诊断过程提示,淋巴瘤临床表现多样,可累及中枢神经系统多个部位,脑脊液细胞学对中枢神经系统淋巴瘤的诊断具有重要意义[2,3,8]。脑脊液细胞计数正常的情况下,仍有可能通过脑脊液细胞学检查发现淋巴瘤细胞。CSF细胞学结合免疫细胞化学可提高对CNS淋巴瘤的敏感性和特异性。对头痛、发热、疑诊中枢神经系统受累的患者,应早期行腰穿检查,即使抗生素治疗有效,也应进一步通过腰穿检查尤其是脑脊液细胞学等检查明确诊断或排除诊断。关于硬膜原发性淋巴瘤报告相对罕见,诊断硬膜原发性淋巴瘤应慎重,多数硬脑膜脑淋巴瘤是由系统性淋巴瘤继发的,例如本例。同时,淋巴瘤也应被列入肥厚性硬脑膜炎的鉴别诊断之一。
田彬,关鸿志,王长华,等.貌似肥厚性硬脑膜炎的B淋巴母细胞淋巴瘤1例[DB/OL].中国临床案例成果数据库,2023(2023-01-13).http://journal.yiigle.com/LinkIn.do?linkin_type=cma&DOI=10.3760/cma.j.cmcr.2023.e00301.
所有作者均声明本研究不存在利益冲突





















