
患者,男性,50岁,以"上下颌牙齿松动不适10年余"为主诉来诊要求治疗。患者20年前曾因牙齿松动于外地行"松牙固定",治疗效果不佳,现不适感加重来诊要求治疗。
口腔检查卫生较差,部分牙齿缺失,口内可见金属结扎丝连接固定的树脂修复体,连接体部分折裂,边缘可见悬突。余留牙松动Ⅲ度,龈缘明显牙石,牙龈萎缩,牙根暴露。
通过病史及口腔专科检查、X线影像检查,根据2018年牙周病国际新分类标准诊断为Ⅳ期C级牙周炎。
采用上下颌即刻种植即刻修复治疗方案,拆除不良修复体,拔除上下颌松动牙齿,上颌植入4枚种植体行"All-on-4®"即刻种植固定义齿修复,下颌因骨条件不良,先期植入2枚种植体行球帽覆盖义齿即刻修复,延期另植入2枚种植体,完成4颗种植体支持的种植固定义齿修复。
一期手术清除口内感染病灶,上颌种植固定和下颌种植覆盖义齿即刻修复解决了患者的临床需求,二期种植修复完成后咬合功能及美观恢复良好,随访3年疗效稳定。
口腔种植科;口腔修复科
版权归中华医学会所有。本文为遵循CC-BY-NC-ND协议的开放获取文章。
牙周炎是一种微生物相关、宿主介导并导致牙周附着丧失的炎症[1],我国因牙周病失牙的患者高达50%以上[2]。目前种植修复已成为缺牙患者的重要修复方式,All-on-4®是全口种植固定的一种修复方式,通过4颗种植体可实现12颗牙的固定修复,避免了植骨手术并可以实现即刻负重[3]。该病例口腔卫生差、佩戴不良修复体、咬合不良并牙周感染严重,拆除修复体,拔除上下颌余留牙分期种植修复,随访3年获得良好临床效果。
患者,男性,50岁,2017年2月以"上下颌牙齿松动不适10年余"为主诉来诊,要求固定修复。询问病史患者全身健康状况良好,否认系统性疾病史,否认有药物等过敏史。患者自述20年前出现上下颌牙齿松动,曾于当地就诊行松动牙固定,近2年牙齿松动加重,影响进食,来我院就诊要求固定修复。
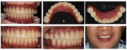
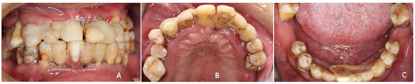
患者口腔卫生差,恒牙列,11、17、26、27、36、41、46、47缺失,11、41见树脂牙修复,牙冠形态不规则,11与21、22、23、12、13间,41与42、43、31、32间可见树脂与金属结扎丝连接固定,树脂连接体部分折裂,边缘见明显悬突。上下颌余留牙齿舌侧见大量牙石,全口牙龈萎缩,牙根暴露约1/3,牙龈局部红肿明显,探诊出血。全口余留牙齿松动Ⅲ度。口腔黏膜检查未见明显异常(图1)。


牙周炎(Ⅳ期C级);上下颌牙列缺损;上下颌不良修复体。
治疗方案:根据患者口腔检查情况,进行口腔卫生指导及健康宣教。建议拔除上下颌余留牙,拔牙后的修复方案:
方案1:拔牙3个月后上下颌可摘总义齿修复。方案2:拔牙3个月后上下颌种植覆盖总义齿修复。方案3:拔牙3个月后上下颌种植固定义齿修复。方案4:拔除患牙后,采用"All-on-4®"术式上颌植入4颗种植体,行即刻种植即刻修复,下颌延期种植。
治疗方案分析:
患者不接受拔牙后缺牙过渡,不同意佩戴可摘义齿,不接受上颌窦提升手术。综合考虑患者选择方案4,采用"All-on-4®"术式单颌植入4颗种植体,治疗周期短、费用低、患者痛苦小、美观性高,可实现即刻种植即刻负重。考虑到上下颌牙周严重感染骨量不足,设计先行上颌即刻种植即刻修复,下颌植入2颗种植体辅助可摘总义齿固位延期种植。患者理解并签署种植手术知情同意书。
治疗过程:
(1)种植外科一期手术
①阿替卡因肾上腺素注射液局部浸润麻醉,剪断固定结扎丝,拔除上下颌松动牙齿(图4)。暂保留了双侧下颌第三磨牙,主要考虑若下颌不能种植即刻修复情况下,利用38、48作为基牙辅助过渡可摘义齿固位。


②上颌牙槽嵴黏膜翻瓣,清创炎性软硬组织,平整牙槽嵴顶骨嵴,在自由手操作下分别于12、15、22、25区植入4枚Nobel种植体,旋入复合基台,其中12、15、22区选择植入Nobel Speedy4.0x13mm种植体,25区选择Nobel Active4.3X11.5mm种植体,四颗种植体均利用鼻底皮质骨加强固位,初期稳定性均达到35N.cm(图5)。


③同上颌方法,平整牙槽嵴后于右下颌42、45区分别植入Nobel Speedy4x13mm种植体,均获得35N.cm的初期稳定性,左下颌区牙槽骨骨缺损明显(图6A),延期种植。45区为倾斜植入,放置30度复合基台,42放置球基台(图6B)。下颌种植术后拔除了原预留用作可摘义齿基牙的38、48。下颌过渡义齿利用植入的2枚种植体辅助支持固位,制作种植覆盖义齿过渡修复体(图7)。




(2)复诊
术后1个月(2017年3月22日)复诊上下颌术区牙龈黏膜愈合良好,下颌复合基台及球基台周围可见软垢滞留,进行口腔卫生健康教育指导(图8A)。术后3个月(2017年5月17日)复诊X线检查示上下颌种植体骨结合良好(图8B、C)


(3)种植二期修复
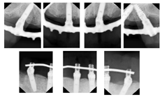
①上颌取模一期种植术后5个月后(2017年6月29日)复诊,检查上下颌临时义齿完成,X线示种植体周围骨结合良好,取下过渡义齿,取模拟制作上颌钛支架支持的树脂人工牙种植修复(图9)。拍摄下颌CT检查评估左下颌区牙槽骨愈合良好(图10)。




②左下颌种植一期手术:2017年7月15日局麻下于32、35区植入2枚Nobel speedy4x13mm种植体,旋入复合基台;取下42原放置的球基台更换为复合基台,制取下颌开窗式种植修复印模(图11)。


③种植临床戴牙:利用上颌加工完成的钛支架支持的义齿蜡型,螺丝固定,下颌利用原覆盖义齿修复体局部修理后口内稳固就位作为下颌托,制取咬合记录转移颌位关系。在模型上加工制作树脂修复体,上颌钛支架支持的终义齿修复体恢复至第一磨牙,下颌临时固定修复体暂恢复至第二前磨牙(图12)。戴牙完成后拍摄X线根尖片检查种植体及修复体连接密合(图13)。




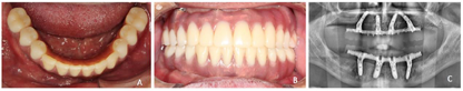
(4)种植终义齿修复:下颌种植即刻固定修复后患者原因未能按时复诊,2019年2月(一期手术后24个月,下颌二次种植术后17个月)来诊,X线检查示种植体周围骨结合良好(图14)。制取下颌种植修复印模,制作钛支架支持的树脂修复体,恢复第一磨牙的咬合接触关系,行种植固定终义齿修复(图15)。




医嘱要求戴牙后1、3、6个月、1年、每半年定期复诊维护,口腔卫生指导,检查修复体、修复配件完整性和稳固性,清洁义齿和基台周围,修理修复体出现的裂纹或折裂部分,检查并局部调整咬合。种植修复后3年X线检查示种植体周围骨结合良好,种植体周围未见明显边缘骨吸收(图16,图17)。




种植修复后义齿使用状况良好,经过治疗周期内多次的健康教育,患者掌握了口腔卫生理念和健康行为,口腔卫生状况改善。植体周健康状况保持良好。通过治疗恢复了相对健康的口腔环境和牙列的完整性,美学效果及咬合功能患者满意(图18)。


牙周炎是牙菌斑生物膜引起的牙周支持组织感染性疾病,导致牙齿支持组织的破坏,结缔组织和牙槽骨的丧失[1],其发生受到众多因素的影响,包括口腔卫生、咬合因素、不良修复体、吸烟、系统性疾病等。第四次口腔健康流行病学调查报告显示我国55~64岁年龄组的牙周健康率仅为5%[2]。很多民众缺乏对牙周炎的认识以及日常口腔保健意识和措施,部分患者口腔内不良修复体的使用[4],进一步加重了牙周病情。
2018年牙周病和植体周病国际新分类中将"慢性牙周炎"和"侵袭性牙周炎"合并为"牙周炎",进一步明确分期和分级,根据诊断标准[1]本病例属Ⅳ期C级牙周炎。对于此类病例,常规诊疗程序是需要先期拔除口内无法保留的患牙,待感染完全消除、软硬组织重建完成后进行可摘义齿或种植义齿修复,此类患者一般会有3个月以上的缺牙期。本病例患者要求不能缺牙,这对临床诊疗工作提出了较高的挑战。
牙周炎并非即刻种植的绝对禁忌证,系统综述表明彻底清除感染组织后,感染和健康的拔牙位点行即刻种植的种植体具有相似的种植体存活率[5]。有研究[6]认为重度牙周炎患者全口种植时机的选择应考量术前感染的控制难度,选择拔牙后择期种植能降低术前感染的控制难度,本例下颌因牙周感染较严重,术前和术中评估同期植入种植体失败风险较大,因此选择了拔牙后延期种植修复。
"All-on-4®"种植技术,通过倾斜植入种植体避免了上颌窦提升术等复杂的植骨手术,并可即刻修复负重,大大缩短了患者的缺牙时间,该种植技术的远期成功率已经得到了大量临床病例的证实[3]。因此针对该病例最终治疗方案选择了上下颌"All-on-4®"种植修复。
本例下颌左侧后牙区拔牙清创后,余留牙槽骨不足以支持种植体植入且获得良好的初期稳定性。因牙周病造成的骨吸收,下颌牙槽嵴严重萎缩,传统的可摘总义齿作为过渡义齿无法获得临床有效固位,利用右侧植入的种植体支持复合基台和球帽附着体制作过渡覆盖义齿[7],满足了患者下颌临时义齿应用的要求。上颌拔牙后通过即刻种植实现了早期固定修复。下颌拔牙术后的种植体支持可摘过渡总义齿修复,一方面满足了患者基本咀嚼功能,同时对上颌即刻种植固定义齿减小了咬合力。
本例术中拔除余留牙并修整了牙槽骨,常规的术前导板设计及临床应用存在一定困难,本种植外科手术均采用了自由手操作,存在上颌后牙区种植体植入偏颊侧、种植体颊侧颈部角化龈不足的瑕疵,种植修复后有少量的牙龈退缩,种植体颈部周围局部骨吸收的问题。近年来数字化技术快速发展和推广应用,此类病例若辅以数字化导板/导航技术能够增加种植体植入的精准性,对于种植修复体的远期成功率会更有保障。
针对该例重度牙周病患者,拔除无法保留的余留牙,彻底清创、有效控制感染,植入的种植体能够获得良好的初期稳定性是治疗成功的关键[8,9]。患者的日常口腔健康维护同样至关重要,包括口腔卫生维护和咬合保护。牙周病史的种植修复患者术后应增加复诊频次,及时指导菌斑控制,以保障种植修复体的长期稳定治疗效果[10]。
何宝杰,邹桂克,康娟,等.重度牙周炎全口即刻种植即刻修复1例[DB/OL].中国临床案例成果数据库,2023(2023-01-14).http://journal.yiigle.com/LinkIn.do?linkin_type=cma&DOI=10.3760/cma.j.cmcr.2023.e00324.
所有作者均声明本研究不存在利益冲突























