
患者,男性,50岁,因"胸闷4 h"至某医院门诊就诊。
患者胸闷不适。
血常规白细胞和中性粒细胞绝对值升高,肌钙蛋白I、凝血功能、常规心电图、胸部平扫(CT)等未见异常,诊断为胸闷、胃溃疡。
予希洛施40 mg,30片,嘱不适随诊。同日下午因"上腹部痛半天"至某诊所就诊,以"胃炎"予654-2等药物静脉滴注。当天傍晚,被路人发现在距离诊所200 m左右倒地不起,因"意识不清20 min"由120急救车送入某医院,经心肺复苏、ECMO等抢救。
治疗无效于第二日凌晨死亡。经尸体解剖,病理诊断患者系重度冠状动脉粥样硬化性心脏病、陈旧性心肌梗死并发急性心肌梗死合并重度心肌脂肪侵润导致急性心源性猝死。
病理科;心内科;急诊科
版权归中华医学会所有。本文为遵循CC-BY-NC-ND协议的开放获取文章。
猝死是一种严重危害人类生命健康的综合征,以心源性猝死最为常见,而冠心病则是成年人发生心源性猝死的主要病因[1]。此外,心肌脂肪浸润形成的脂肪心作为心源性猝死的原因,也逐渐被人们所认识[2]。我们报道1例以"胸闷、上腹部痛"为首要表现,临床初诊为"胃溃疡、胃炎",最终病理诊断为重度冠状动脉粥样硬化性心脏病伴急性心肌梗死合并重度心肌脂肪侵润的猝死病例,旨在通过对急性心肌梗死早期临床表现和诊断的再认识,及复习脂肪心的病理诊断标准,加强对心源性猝死的警惕和预防,减少误诊和漏诊。
患者,男性,50岁,因"胸闷4 h"至某医院门诊就诊,体格检查:心界无扩大,心率77次/min,律齐,各瓣膜听诊区未闻及病理性杂音;腹软,全腹无压痛、反跳痛;双下肢无浮肿。诊断:胸闷,胃溃疡。处理:血常规五分类+SCRP(白细胞11.43×109/L↑、中性粒细胞绝对值7.79×109/L↑、平均血红蛋白浓度363 g/L),急诊生化(丙氨酸氨基转移酶93 U/L↑、天门冬氨酸氨基转移酶41 U/L↑、钠134.5 mmol/L↓、钙94.5 mmol/L↓、血糖20.85 mmol/L↑)。肌钙蛋白I 0.03 ng/ml(参考范围≤0.06 ng/ml),凝血功能6项、常规心电图、胸部平扫(CT)等未见异常,建议心血管内科专科诊治。予希洛施40 mg,30片,嘱不适随诊。
同日下午因"上腹部痛半天"至某诊所就诊,无呕吐,无发热,无腹泻,因上午到某院就诊,经心电图、CT等检查无殊,服药后无好转而来诊所要求输液。体格检查:T 36.0℃,神清,面色稍苍白,呼吸平稳,心、肺听诊(-),腹软,肝、脾未及,上腹部轻压痛,无反跳痛。诊断:胃炎?予654-2等药物500 ml静脉滴注。
当日傍晚被路人发现在距离诊所200 m左右倒地,因"意识不清20 min"由120急救车送入某医院。急诊体格检查:体温35.9℃,血压0/0 mmHg(1 mmHg=0.133 kPa),脉搏0次/min,血氧饱和度:0%。深昏迷,无自主呼吸,双瞳孔散大,光反射消失,神经系统检查:肌力无法判断,肌张力减退,双巴氏征未引出。辅助检查:当日20:09(急诊)BNP B型脑尿钠肽(荧光磁微粒法):16.31 pg/ml,肌钙蛋白Ⅰ(荧光磁微粒法):0.16 ng/ml↑。初步诊断:呼吸心跳骤停,急性冠脉综合征?立即予心肺复苏,气管插管接呼吸机辅助通气,开通静脉通路,肾上腺素及去肾上腺素强心升压等抢救措施,患者持续室颤心率,反复药物及电除颤治疗效果欠佳。后行ECMO支持治疗。入科体格检查:T 35.7℃,BP 144/24 mmHg(肾上腺素及去甲肾上腺素维持),P131次/min,R15次/min,昏迷状态,GCS评分3分,左锁骨下静脉深静脉导管1根(深度15 cm),经口气管插管1根(深度23 cm),颈部及右下肢ECMO导管各一根(颈部20 cm,右下肢45 cm)。瞳孔等大等圆,直径约0.6 cm,对光反射消失,伸舌不配合。听诊两肺呼吸音粗,未闻及明显干湿性啰音,心率131次/min,律齐,各瓣膜听诊区未闻及病理性杂音。腹软,压痛反跳痛不配合,肝脾肋下未及。四肢肌力检查不配合,双侧巴氏征未引出,脑膜刺激征阴性。入院后予特级护理,告病危,心电监护等;予ECMO支持治疗,大剂量血管活性药物维持血压及心率;血压进行性下降,至第二日凌晨心电图呈一直线,临床宣布死亡。
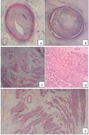
解剖检查发现:心脏重330 g。形态略呈圆锥状,心尖略圆,质地较软,心脏表面见脂肪组织增多,以心尖部为著。原位切开肺动脉,肺动脉内未见血栓形成。按血流方向依次剪开各心房、心室,各处心内膜光滑、腱索、乳头肌未见粘连、出血;右心室近心尖部心外膜脂肪层增厚达0.9 cm,心肌层厚0.1 cm,心内膜及肉柱表面呈淡黄色改变(图1);左心室及室间隔靠近心尖部切面见不规则灰白色质韧疤痕(图2),面积2.5 cm×1.0 cm。各瓣膜周径测量:二尖瓣10.0 cm,三尖瓣11.0 cm,主动脉瓣7.5 cm,肺动脉瓣8.6 cm。左心室壁厚1.4 cm,右心室壁厚0.4 cm。冠状动脉开口大小及位置未见异常,入口通畅,未见粥样斑块形成,肉眼检查冠状动脉主干以及各分支管腔:左冠状动脉主干管腔轻度狭窄,前降支局部管壁增厚,管腔明显狭窄,左旋支局部管壁明显增厚,管腔亦显示狭窄,右冠状动脉管壁增厚,管腔明显狭窄。




经左、右心室、冠状动脉主干及分支等多处取材,镜检见各冠状动脉三层结构可见,右冠状动脉斑块主要为增生、玻璃样变的纤维组织,内膜增厚,中膜萎缩变薄,整个管壁增厚,管腔狭窄达80%以上(图3A),局部见新生毛细血管形成;左冠状动脉前降支可见右冠状动脉类似病变:内膜纤维增生,管壁增厚,管腔狭窄达90%(图3B),可见多个再通血管。左心室及室间隔多处片状心肌纤维化、尤其以室间隔明显,玻璃样变的纤维组织几乎贯穿整个室间隔(图3C)。周围可见灶性心肌细胞肥大。左、右心室均可见片状心肌收缩带坏死(图3D)。左、右心室心外膜脂肪组织明显增多,并向心肌内浸润,心肌被分隔成岛状、条片状,部分心肌细胞受压、萎缩,部分区域脂肪组织达心内膜,尤以右心室室壁明显,右心尖处脂肪组织占室壁的4/5,心肌肌层菲薄,心内膜内皮下可见大量脂肪组织(图3E)。右心房心肌间质灶片状出血。


肺:双肺表面光滑,局部质实,左肺门后侧见6.0 cm×2.5 cm灶性出血区,右肺中叶见5.5 cm×3.5 cm灶性出血区,双肺切面暗红色。经左、右肺各叶多处取材,镜检见双侧肺内间质血管明显扩张充血,双侧肺泡腔内见均质红染的水肿液,部分肺泡腔内弥漫性红细胞影,灶性肺泡间隔断裂,肺组织自溶。
脑:大小脑双侧对称,表面沟、回结构清晰,脑膜血管扩张充血,眼观未见明显脑组织挫伤、血肿,脑干未见压迹,脑底动脉节段性粥样硬化改变。切开检查见大、小脑及脑干切面灰白质分界清,各处检查均未见挫伤、出血,双侧脑室无积血,双侧基底节区未见出血。分别于额叶、颞叶、顶叶、枕叶、小脑及脑干等多处取材,镜检见各部脑实质内神经细胞及小血管周隙增宽,未见出血、挫伤、坏死等病变。
主要病理诊断
1.动脉粥样硬化症:重度冠状动脉粥样硬化性心脏病(左冠状动脉前降支及右冠状动脉粥样硬化伴管腔狭窄Ⅳ级);左心室及室间隔陈旧性心肌梗死并发急性心肌梗死;主动脉粥样硬化伴溃疡和钙化;脑底基底动脉以及脑动脉环动脉粥样硬化。
2.中-重度心肌脂肪组织浸润(以左心室,右心室及右心尖为著,脂肪组织浸润至心内膜)。
3.双侧急性肺淤血肺水肿,片状肺出血;脑水肿。
猝死常指患者短期内(6 h内)死亡或从开始发病到死亡24 h以内死亡[3]。研究表明,心肌梗死后患者发生心源性猝死的风险增高4~10倍。本例患者从上午"胸闷"入院,到傍晚被发现"意识不清",至第二日凌晨宣布死亡,整个经过短暂、突发,从发病到死亡不足10个小时,诊断为猝死。
临床诊断急性心肌梗死,主要通过患者的临床症状、心电图的特异性改变、血清心肌坏死标志物:超敏肌钙蛋白(c Tn)、BNP B型脑尿钠肽、肌酸磷酸激酶、乳酸脱氢酶同工酶等指标有无升高来进行初步筛查[4],但实际上有1/4左右的患者缺乏典型胸痛症状和心电图特异改变者。本例患者第一次入院,检查心电图及肌钙蛋白I均为正常,诊断为胸闷,胃溃疡,予希洛施40mg,30片。第二次在诊所因"上腹部疼痛"诊断为胃炎?予654-2等药物500 ml静脉滴注。第三次被路人发现"意识不清20 min"由120急救车送入某医院,当时血压:0/0 mmHg脉搏:0次/min,血氧饱和度:0%。深昏迷,无自主呼吸,双瞳孔散大,光反射消失。急诊肌钙蛋白Ⅰ增高。该例早期急性心肌梗死症状和血液学指标不明显,临床上易误诊漏诊,需要与上腹部疼痛-上消化道病变等鉴别。
心肌梗死的病理形态变化亦为动态过程:冠脉闭塞30 min后,显微镜下其供血的心肌仅有少数发生变性,2 h后,病变处发生心肌纤维的波浪样变和嗜酸性变,3 h后出现肌浆凝集,心肌横纹模糊不清或出现收缩带坏死,4 h后细胞核消失,6 h左右可见少量中性粒细胞浸润,12 h后中性粒细胞明显增多,继而吞噬细胞增多,坏死心肌被溶解吸收,7 d到2周以后,肉芽组织逐渐长入梗死灶。而心肌梗死病灶的肉眼改变一般需要6 h后方可辨认。初期梗死灶为灰白色,与周围分界不清,8~9 h后呈土黄色,干燥,缺乏光泽。约4 d以后,梗死灶边缘可出现明显的充血出血带。到第10天左右,梗死灶发黄变软,常伴有病灶内出血,随后出现灰红色的肉芽组织增生。较大的瘢痕需要5周左右[5]。本例显微镜检查已证实患者存在严重的冠状动脉粥样硬化伴左、右冠状动脉管腔狭窄Ⅳ级,大体及显微镜下均可见左心室及室间隔纤维疤痕,说明患者已发生过陈旧性心肌梗死,同时发现左、右心室多发片状心肌收缩带坏死,表明患者本次在原先陈旧性心肌梗死的基础上心肌梗死再次急性发作,病理形态证据确凿,诊断明确。
同时,本例患者存在严重的心肌脂肪浸润,眼观左、右心室心外膜脂肪组织明显增多,心内膜下也可见黄色脂肪组织,尤以右心室室壁,右心尖处明显。显微镜下可见心肌被浸润的脂肪组织分隔成岛状、条片状,部分心肌细胞受压、萎缩。脂肪心多见于肥胖者,系指心外膜下有过多脂肪,并向心肌内伸入,心肌细胞萎缩变薄,以右心室肌,特别是心间区最为严重,严重者可因心衰死亡。临床病理已有多例脂肪心猝死病例的个案报道[2],但脂肪心的研究不多,具体的致死机制尚未明确。本例同时存在冠心病急性心肌梗死和重度脂肪心,考虑猝死为两者共同作用的结果,目前尚未有文献报告。同时脂肪心在临床上尚缺乏特征性变化的诊断依据,需要临床与病理的通力合作,以期通过心电图、超声、血液学等检查方法发现一些脂肪心相关的特征变化,进行临床诊断或提示。基因和分子诊断也许有利于发现脂肪心的致死机制[6]。
毛峥嵘,李耀,刘尊忠,等.冠心病急性心肌梗死伴重度脂肪心猝死1例[DB/OL].中国临床案例成果数据库,2023(2023-01-18).http://journal.yiigle.com/LinkIn.do?linkin_type=cma&DOI=10.3760/cma.j.cmcr.2023.e00328.
所有作者均声明本研究不存在利益冲突





















