
患者,女性,21岁,起病隐匿,因"多食、乏力、多汗半年"就诊。实验室检查提示肾功能异常,特别是小管间质功能异常,表现为低比重尿、肾小管性蛋白尿,合并贫血、甲状腺功能亢进、多囊卵巢综合征。既往外院基因诊断"α型地中海贫血"。父母均有地中海贫血。足月剖宫产,约12岁后身高不增长,第二性征发育与同龄相仿。
贫血貌,甲状腺Ⅱ度肿大,浅表淋巴结无肿大,肝脾肋下未触及,肾区无叩击痛,双下肢无水肿。
采用基因二代测序技术发现NPHP1基因上1个杂合缺失和1个半合子突变。肾活检提示慢性肾小管间质性肾病。诊断为青年型肾单位肾痨1型。
作为一种遗传性疾病,肾单位肾痨(NPHP)尚无有效治疗方法,以对症、支持治疗为主。
终末期肾衰竭患者需肾脏替代治疗,总体预后差。
肾内科;儿科
版权归中华医学会所有。本文为遵循CC-BY-NC-ND协议的开放获取文章。
肾单位肾痨(nephronophthisis,NPHP)是一种罕见的常染色体隐性遗传的囊性肾脏病,1951年由Hildebrandt等[1]首次报道,是儿童和青少年遗传因素所致的终末期肾病最常见的原因之一[2]。该病主要在儿童期发病,临床症状多无特异性,常常表现为多饮、多尿、贫血、血肌酐升高等,尿检基本正常或者轻微异常,多数发展到终末期肾病。现通过南方医院肾内科收治的1例NPHP1基因突变所致的NPHP病例,探讨成人非特异性间质性肾炎的鉴别诊断思路。
患者,女性,21岁,因"多食、乏力、多汗半年,发现血肌酐升高6 d"于我院肾内科入院。患者半年前无明显诱因出现多食、乏力、多汗,无水肿、肉眼血尿、泡沫尿,无夜尿增多,无咽痛、咳嗽,无心悸、胸闷、胸痛、呼吸困难,无皮疹、脱发、关节疼痛,无头痛、视物模糊;未诊治。6 d前就诊于外院,测血压126/80 mmHg(1 mmHg=0.133 kPa),查尿常规:尿蛋白(±)、潜血(-);肾功能:血肌酐203 μmol/L;肝功能ALB 40 mmol/L,血常规:WBC 14.16×109/L、HGB 58 g/L、PLT 321×1012/L;甲状腺功能七项:T3 3.30 nmol/L↑、T4 260.33 nmol/L↑、FT3 13.88 pmol/L↑、FT4 57.85 pmol/L↑、TSH 0.013 μIU/ml↓、Anti-TPO 10.61 IU/ml↑、Anti-TG<0.9 IU/ml;B超:双肾大小正常,双肾实质内见多个囊肿(约23 mm×16 mm、11 mm×10 mm等)。外院诊断为"甲状腺功能亢进症(Graves病);α地中海贫血;肾功能不全";外院予输同型红细胞4 U、甲巯咪唑15 mg、1次/d抗甲亢、普奈洛尔10 mg、4次/d控制心率、中药(具体不详)后症状好转出院。现拟"肾功能不全"收入我院。
既往史:外院地贫基因检查:α地中海贫血1基因(SEA)检测到基因缺失,α-地贫基因1杂合子(--/αα);α地中海贫血2基因(3.7/4.2)检测到基因缺失,α-地贫基因2杂合子(-α/αα);α地中海贫血点突变基因(CS、QS、WS)未检测到突变,β地中海贫血基因(17种突变)未检测到突变;诊断为"α型地中海贫血"。
个人史:足月剖宫产,出生时体重5.8 kg,约12岁后身高不增长,自述第二性征发育与同龄相仿。
月经史:初潮年龄11岁,5~7/60~90 d,末次月经2022年5月11日。
家族史:父母均有地中海贫血病史(具体不详)。否认家族性肾病及肿瘤病史。
入院体格检查:BP 146/90 mmHg,贫血面容,左侧扁桃体Ⅲ度肿大,甲状腺Ⅱ度肿大,全身无皮疹及出血点,浅表淋巴结无肿大,双肺呼吸音清,未闻及干湿性啰音,腹平软,肝脾肋下未触及,肾区无叩击痛,双下肢无水肿。
尿常规:PRO(-),潜血(-);24 h尿蛋白定量0.93 g/24h;尿红细胞位相:无镜下血尿;尿蛋白成分分析:尿微量白蛋白20.5 mg/L,尿免疫球蛋白(IgG)6.9 mg/L,尿α2-巨球蛋白2.25 mg/L,尿转铁蛋白2.1 mg/L,尿α1微球蛋白74.5 mg/L↑,尿β2微球蛋白29.5 mg/L↑,尿轻链Kappa 34.1 mg/L↑,尿轻链Lamda 30.8 mg/L↑;肾小管四项:pH 6.58,尿碳酸氢盐(HCO3-)测定0.7 mEq/L↑,尿可滴定酸测定21.60 mEq/L↓,尿氨(NH4+)测定33.00 mEq/L↓;24 h尿钾/钠/氯定量:UK 33.49 mmol/24h↓,UNa 206.1 mmol/24h,UCl 153.9 mmol/24h↓;尿渗量194 mOsm/kg;HGB 92 g/L;肾功能:BUN 11.9 mmol/L,CR 197 μmol/L,TCO2 16.5 mmol/L,UA 428 μmol/L;肝功能:ALB 44.6 g/L;离子:P 2.18 mmol/L,Ca 2.40 mmol/L,K 3.64 mmol/L;动脉血气分析:pH 7.360,实际碳酸氢根18.50 mmol/L;铁代谢:Fe 12.8 μmol/L,铁蛋白Ferr 428.66 ng/ml,TS 28.4%;乙型肝炎表面抗体15.967 mIU/ml;全段甲状旁腺激素定量iPTH 123.0 pg/ml;SLE自身抗体定量四项、体液免疫六项、血清免疫固定电泳、ANCA、抗GBM抗体、PLA2R抗体、术前四项、凝血四项、血脂、D二聚体、便常规均未见异常。
甲状腺功能五项:FT3 5.10 pg/ml↑,FT4 2.09 ng/dl↑,T3 1.59 ng/ml↑,T4 18.47 μg/dl↑,TSH<0.001 mIU/L↓;促甲状腺受体自身抗体(TRAb)9.39 IU/L↑;抗甲状腺球蛋白抗体(抗TG)223 IU/ml↑;抗甲状腺髓过氧化物酶(Anti-TPO)30.87 IU/ml。性激素六项:催乳素33.68 ng/ml↑,睾酮0.610 ng/ml↑,雌二醇150.20 pg/ml,卵泡刺激素2.22 mIU/ml,黄体生成素8.41 mIU/ml,孕酮9.730 ng/ml。促肾上腺皮质激素(8:00)ACTH 15.97 pg/ml;皮质醇(0:00)1.04 μg/dl↓,皮质醇(8:00)、皮质醇(16:00)正常。
高血压四项(卧位):血管紧张素Ⅰ测定37℃ 9.52 ng/ml,血管紧张素Ⅰ测定4℃ 2.47 ng/ml,血管紧张素Ⅱ测定71.30 pg/ml↑,醛固酮测定94.00 ng/dl↑,血浆肾素活性测定7.05 ng/ml/hr↑,醛固酮/肾素活性13.33;高血压四项(立位):血管紧张素Ⅰ测定37℃ 23.70 ng/ml,血管紧张素Ⅰ测定4℃ 4.46 ng/ml,血管紧张素Ⅱ测定53.20 pg/ml,醛固酮测定>200.00 ng/dl↑,血浆肾素活性测定19.24 ng/ml/hr↑。24 h尿17-羟皮质类固醇、24 h尿17-酮皮质类固醇、24 h尿香草扁桃酸未见明显异常。
双肾、输尿管、膀胱彩超检查:双肾实质回声增强,皮髓质分界不清,符合慢性肾功能不全声像图改变;双肾多发囊肿;双肾集合系统点线状强回声(考虑:管壁钙化或可疑小结石)。肝、胆、胰、脾彩超检查:1.脾长径增大;2.肝、胆、胰未见明显异常。经腹部妇科彩超:1.子宫大小正常,2.左卵巢多囊样改变,3.右卵巢大小正常。肾上腺彩色多普勒超声检查:双侧肾上腺区未见明显占位性病变。
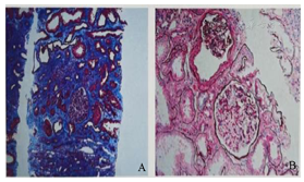
肾脏穿刺病理结论:1.慢性肾小管间质性肾病;2.患者肾脏皮质肾小球数量少、体积增大,不排除先天性因素导致的肾功能异常。免疫荧光:IgG-,IgA-,IgM-,C3 1+,C1q-。光镜下(图1)2条肾组织,均为皮质,可见6个肾小球,其中3个小球有明显的囊外纤维化,未见球性硬化及节段硬化。肾小球部分体积增大,系膜区地段轻度增宽,内皮细胞无明显增生,GBM无断裂,无钉突双轨改变,两侧均无嗜复红物质沉积,上皮细胞无增生,无新月体;肾小管多灶大片状轻中度萎缩,上皮细胞小灶状坏死、脱落;肾间质大片纤维化伴多灶状炎症细胞浸润;小动脉无坏死,管壁轻度增厚。


基因检测(表1):检出1个杂合缺失和1个半合子突变,存在于基因上,为高度可疑变异。母亲基因检测结果:基因c.728+1G>A位点以及PKHD1基因c.5225C>T位点均未发现变异,PKHD1基因c.2795G>A位点存在杂合变异。父亲未行基因检测。

基因检测结果
基因检测结果
| 基因 | 变异位点 | 转录本外显子编号 | 合子状态 | 正常人群携带率 | ACMG变异评级 | 相关疾病(遗传模式) |
|---|---|---|---|---|---|---|
| NPHP1 | Chr2:110881367-110962580 deletion exon1-20 | NM_000272 | 杂合 | - | 致病 | 1.Joubert综合征4型(AR);2.Senior-Loken综合征1型(AR);3.肾单位肾痨1型(AR) |
| NPHP1 | Chr2:110922628c.728+1G>Asplicing | NM_000272;exon7 | 纯合 | 0.000 054 4 | 可能致病 | 1.Joubert综合征4型(AR);2.Senior-Loken综合征1型(AR);3.肾单位肾痨1型(AR) |
| PKHD1 | Chr6:51889383c.5225C>Tp.T1742M | NM_138694;exon32 | 杂合 | 0.000 077 | 临床意义未明 | 多囊肾4伴或不伴肝病(AR) |
| PKHD1 | Chr6:51908449c.2795G>Ap.C932Y | NM_138694;exon26 | 杂合 | - | 可能致病 | 多囊肾4伴或不伴肝病(AR) |
病例特点总结:1.青年女性,起病隐匿;2.临床表现为肾功能异常,特别是小管间质功能异常,表现为低比重尿、肾小管性蛋白尿,合并贫血、甲状腺功能亢进、多囊卵巢综合征;3.肾活检提示慢性肾小管间质性肾病;4.基因检测提示NPHP1基因上1个杂合缺失和1个半合子突变。
诊断:1.肾单位肾痨1型(AR);2.慢性肾小管-间质肾病;3.慢性肾脏病4期;4.甲状腺功能亢进症(Graves病);5.多囊卵巢综合征;6.α地中海贫血(轻度贫血);7.高尿酸血症;8.代谢性酸中毒;9.继发性甲状旁腺功能亢进。
鉴别诊断:遗传性肾囊性病变主要包括多囊肾、NPHP。多囊肾包括常染色体显性遗传性多囊肾(ADPKD)和常染色体隐性遗传性多囊肾(ARPKD)。ADPKD因PKD1或PKD2基因突变所致,以双肾多发性进行性囊泡为主要特征,导致终末期肾衰竭,多伴有肝、脾等器官囊性病变及心脑血管病变,一般在30~50岁才会出现症状和体征。
以纠正贫血、降尿酸、纠正酸中毒、甲巯咪唑治疗甲亢等对症、支持治疗为主。
出院后1个月外院复查尿蛋白定量0.18 g/24 h,尿常规:尿蛋白(-),尿潜血(-),血肌酐215.7 μmol/L,血白蛋白45.9 g/L,血红蛋白76 g/L。
肾囊性疾病是肾皮质或髓质囊性疾病的总称,包括先天性、遗传性和获得性三类。先天性包括肾囊肿性发育不全、肾发育不全和多囊性异常、髓质海绵肾;遗传性包括多囊肾、NPHP和综合征性的肾脏囊性疾病;获得性包括单纯性肾囊肿、长期透析相关性肾囊肿和低钾血症诱导的肾囊肿。
肾单位肾痨(nephronophthisis,NPHP)约占儿童慢性肾衰竭的10%,是导致儿童期慢性肾衰竭最常见的遗传性疾病[2]。根据NPHP患者出现肾衰竭的年龄,NPHP可以分为婴儿型(2型),ESRD发生于4岁之前;青少年型(1型)最为常见,进展至ESRD平均年龄为13岁;成人型(3型),ESRD平均年龄为19岁[3,4,5]。
该病起病隐匿,早期有多饮多尿、烦渴、生长发育迟缓等非特异性表现,随着疾病进展出现贫血、肾功能减退,最终进展为ESRD。在NPHP早期,肾脏超声检查显示肾正常或非特异性改变如回声增强,进展至ESRD时超声显示肾萎缩,肾实质回声增强,伴随皮-髓质囊性改变和皮髓质分界不清。NPHP的肾脏病理表现为肾小管、间质受累,如肾小管基底膜不规则增厚或变薄、肾小管囊性变和萎缩、肾脏间质炎性细胞浸润和纤维化、远曲小管和集合管囊状扩张或囊肿形成[6]。
近年来国际上在NPHP的分子遗传学研究上取得很多重要进展,已经明确20多种导致NPHP的致病基因[7,8,9],包括-18、L和NPHP2L,与纤毛结构和功能有关。NPHP1位于2q13,有20个外显子,是青少年型NPHP最常见的致病基因,占所有NPHP患者的20%~30%。NPHP1基因的大片段纯合缺失是最常见的突变类型,小部分为纯合点突变或杂合缺失伴点突变[10]。NPHP1基因编码的蛋白肾囊素-1分布于肾小管上皮细胞的纤毛上,其功能与肾囊肿形成有关,故NPHP也被认为是一种纤毛病[1]。有研究表明,肾囊素蛋白-1可调控Par3/Par6/atypical PKC复合体的Par6磷酸化状态,促进紧密连接形成。减少NPHP1基因表达,不仅会影响肾小管上皮细胞纤毛的发育和功能,还会抑制紧密连接相关蛋白ZO-1的表达,从而抑制细胞间紧密连接的形成[11]。除NPHP基因家族外,目前已知还有其他约30个致病基因和肾纤毛病相关[12]。
10%~20%的NPHP患者存在肾外器官受累,主要是眼、肝、脑、骨骼等,其中眼为最常受累的肾外器官[13]。常见的肾外表现包括先天性黑朦症、视网膜色素变性、神经性动眼不能、肝纤维化、智力发育落后、小脑蚓发育不良、多指畸形等,这些肾外表现多见于一系列综合征,包括Senior-Loken综合征、Joubert综合征、Bardet-Baiedl综合征和Jeune综合征等。
目前尚没有针对NPHP的有效治疗手段,治疗原则与慢性肾脏病相同[14],尽量延缓ESRD出现的时间,纠正贫血及补充维生素D等。肾衰竭者需行肾替代治疗,因其临床多同时累及肝、肾,最终多需肝、肾联合移植,总体预后较差。如果进入CKD阶段,需要定期专科随诊。有肾外受累的患儿,需要在相关专科进行治疗。专科医师应该重点关注肾替代治疗的最佳时机,以便抓住机会尽早肾移植。
张望,胡基文,艾军,等.青年型肾单位肾痨1型1例[DB/OL].中国临床案例成果数据库,2023(2023-01-20).http://journal.yiigle.com/LinkIn.do?linkin_type=cma&DOI=10.3760/cma.j.cmcr.2023.e00330.
所有作者均声明本研究不存在利益冲突





















