
患者,女性,17岁,7年前出现腰背、臀区及肋外侧疼痛,4年前出现反复腹痛腹泻,2年前出现睡眠障碍、情绪低落、自杀倾向,入院前1个月躯体疼痛症状加重并伴有全身酸痛、体重减轻,既往曾在外院检查发现"骶髂关节炎",但未正规治疗,因病情加重入院。
胸背部、颈部、双肩、双下肢及臀区酸痛,情绪低落、睡眠障碍,有自杀倾向,伴有腹痛、腹泻、胸闷、气促等症状。骶髂关节压痛双侧阳性。
骶髂关节CT/MRI,血清炎症指标、HLA-B27,心理评估量表等。
非甾体抗炎药、英夫利西单抗、抗焦虑抑郁药物、普瑞巴林等。
疼痛、腹泻、情绪异常、睡眠障碍均改善。
风湿免疫科;精神科;消化内科
版权归中华医学会所有。本文为遵循CC-BY-NC-ND协议的开放获取文章。
纤维肌痛综合征(fibromyalgia syndrome,FMS)是一种慢性疼痛综合征,又名纤维肌痛症(fibromyalgia,FM),在普通人群中患病率约1%~5%,以女性为主,50岁以上患者也多见[1,2]。其特征为广泛的持续性疼痛,常见颈胸椎、肩胛、骨盆及其他多部位疼痛伴僵硬感,可伴肌痛、乏力、疲劳、睡眠及情绪障碍、肠易激综合征等[3]。本文主要对一例纤维肌痛症合并中轴型脊柱关节炎、肠易激综合征、情绪及睡眠障碍患者进行报告与分析,从而提高对此类疾病的认识。
患者,女性,17岁,因"全身疼痛7年,反复腹泻4年"于2022年8月3日入院。入院前7年患者出现腰背、臀区疼痛,伴有双肋外侧疼痛,在生气或伤心时疼痛加重,既往在外院检查发现"骶髂关节炎",未正规治疗。入院前4年出现反复腹泻,并伴有与进食无关的下腹部隐痛,便后腹痛症状不缓解,反复发作。入院前2年开始出现入睡困难、易醒、情绪低落,自我评价低,曾有自杀的想法与计划偶有凭空闻声。入院前1个月患者腰、背、臀疼痛加重,感全身酸痛,胸背部、颈部、双肩、双下肢及臀区酸痛,伴有弯腰受限,翻身困难,仍有腹痛、腹泻,伴恶心、纳差、乏力、胸闷,近1个月体重减轻4 kg。病史中无反复发热、口腔溃疡、外阴溃疡、血便、皮下出血、皮疹。
既往史及个人史、家族史:父亲在外,从小由母亲带大,加中有1个姐姐,姐姐有"抗抑郁药"用药史。患者初中开始发生多方面的负性生活事件。近半年月经不规律。10年前患"过敏性紫癜",当地医院治疗后好转,后未用药维持,至今未复发。
体格检查:身高154 cm,体重77 kg,心脏与肺部查体无特殊。腹软,无压痛及反跳痛。脊柱外形正常,腰4-骶1椎体压痛,腰椎侧弯度(双侧平均值)18 cm,耳壁距10c m,腰椎活动度(修订的Schober)4 cm,最大踝间距150 cm,颈椎活动度(双侧平均值)90°,胸廓活动度3 cm。指地距30 cm,双侧骶髂压痛:左+,右+。双侧4字体试验可引出骶髂关节疼痛。无外周关节肿胀及压痛。
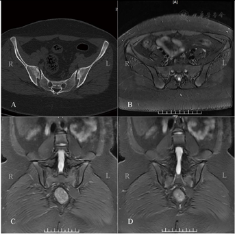
2022年7月4日脊柱全长X线片:双侧骶髂关节面部分显示欠清。2022年7月4日骶髂关节CT:双侧骶髂关节软骨下骨质稍毛糙,关节面密度稍增高(图1A)。2022年8月4日骶髂关节磁共振增强扫描:双侧骶髂关节软骨下骨质稍毛糙,关节面下可见斑片状稍长T1稍长T2信号影,增强扫描轻度强化(图1B~D)。


2022年8月4日胃十二指肠镜:1.贲门口炎,2.慢性非萎缩性胃炎伴胆汁反流。2022年8月4日结肠镜检查:未见异常。
2022年7月4日查HLA-B27阴性。2022年8月2日检验:超敏C反应蛋白12.32 mg/L↑,红细胞沉降率28.00 mm/h ↑ 。2022年8月3日检验:RF、CCP、ANA、ENA、ANCA阴性,粪便常规及隐血正常。
2022年8月11日神经精神测评:SAS焦虑自评量表:中度(64分),SDS抑郁自评量表:中度(71),MMPI明尼苏达多项人格测验:疑病、癔病、精神病态、精神衰弱,SCL-90症状自评量表:重:强迫、抑郁、焦虑、敌对、睡眠饮食,Yale-Brown强迫症量表(-),BRMS躁狂量表及MDQ双相情感障碍筛查(-),BPRS简明精神病量表:阳性(焦虑5,抑郁5,概念紊乱4,定向障碍4)。脑涨落总功率正常,功率分析GABA:146↑谷氨酸:129.92↑相对功率分析GABA:168.7↑,谷氨酸:149.5↑,5-HT:239.1↓,Ach:183.8↓,多巴胺:68.6↓,兴奋低质3及6↓,HRV心率变异性分析:植物神经功能活性较好,心理压力偏高。
诊断:1.纤维肌痛症;2.中轴型脊柱关节炎;3.抑郁焦虑状态;4.睡眠障碍;5.肠易激综合征。
鉴别诊断:
1.强直性脊柱炎:患者有反复腰背、臀区疼痛,需要与强直性脊柱炎相鉴别:
支持点:1.反复腰背部及臀区疼痛,查体发现腰椎活动度下降;2.影像学检查(X片、CT、MRI)均发现有骶髂关节改变。
不支持点:1.HLA-B27阴性;2.影像学改变未见骶髂关节骨质破坏、关节间隙狭窄、关节融合等,MRI未提示典型的炎性改变
2.炎性肠病:患者反复腹泻伴骶髂关节炎,需与炎性肠病相鉴别:
支持点:1.有反复腹痛、腹泻症状4年;2.合并骶髂关节炎;3.血沉升高
不支持点:1.无便秘、脓血便、黏液脓血便等症状。2.胃肠镜检查未见特异性改变。
入院后予依托考昔60 mg qd治疗7 d,并于2022年8月8日予英夫利西单抗300 mg静脉输注,骶髂关节部位疼痛稍改善,但全身疼痛无明显缓解,感胸闷、气促症状加重,情绪障碍与睡眠障碍加重,反复腹泻,弥漫疼痛指数(WPI)=13分,症状严重程度评分(SSS)=8分,纤维肌痛严重程度(FS)=21分。请心理科医师会诊进行心理量评估提示异常结果,SAS= 64分,SDS=71分,MMPI:疑病、癔病、精神病态、精神衰弱,SCL-90:重:强迫、抑郁、焦虑、敌对、睡眠饮食,BPRS:阳性。诊断纤维肌痛症、抑郁焦虑状态。于2022年8月11日加用普瑞巴林75 mg bid、阿普唑仑0.2 mg bid、西酞普兰10 mg qd(首日剂量5 mg qd)、喹硫平50 mg qn(首日剂量25 mg qn)治疗,治疗过程中患者情绪逐渐稳定,胸闷、气促等症状逐渐改善,治疗约9 d后再次评估患者病情,患者诉全身疼痛、胸闷、气促等症状明显改善,睡眠质量与睡眠时间改善,腹泻症状缓解,治疗后进行复评,WPI=7分,SSS=5分,FS=12分,治疗有效,病情好转,于2022年8月20日出院。
作为一种独立的疾病,过去我们对于纤维肌痛的诊断存在争议。在1990年,美国风湿病学会(American College of Rheumatology,ACR)承认了纤维肌痛是一种常见但容易被忽视的临床综合征,并首次提出了严格的诊断标准[4]。此后随着对疾病逐渐深入的认识,FM的诊断标准不断更新,目前常用的诊断标准是2016年修订的ACR纤维肌痛诊断标准[5]。
总结患者病史,该患者以腰背部、臀区及双肋外侧疼痛起病,症状随情绪波动变化,后出现腹痛、腹泻、睡眠障碍、情绪障碍,随着病情进展,症状情绪障碍及躯体症状逐渐加重,并伴有乏力、纳差、胸闷等症状。患者全身疼痛,5个区域均有受累,双肩、颈部、上下背部、腹部、双下肢(大腿+小腿)、双侧臀区疼痛,WPI=13分,重度疲劳、睡醒后萎靡不振,下腹部疼痛伴抑郁,SSS=8分,且症状持续超过3个月,根据2016年修订的ACR诊断标准[5]可诊断纤维肌痛症。
有文献总结了127例FM患者的临床特点,其中有71例患者合并有骶髂关节炎,其检出率大于50%,且其中21例患者符合欧洲脊柱关节病分类标准[6]。纤维肌痛症患者不排除其他器质性疾病[5],该患者初始腰背部及臀区疼痛合并影像学骶髂关节炎表现容易误诊为强直性脊柱炎,但患者HLA-B27阴性,且骶髂关节影像学表现不典型,CT未见关节面破坏、狭窄或融合,MRI无典型炎性改变,不符合强直性脊柱炎的骶髂关节表现,根据2009年ASAS中轴型脊柱关节炎(axial spondyloarthritis)分类标准[7]诊断为中轴型脊柱关节炎,需注意不可误诊。
因患者合并情绪及睡眠障碍,对患者进行心理评估引出焦虑综合征、抑郁综合征以及睡眠障碍。在临床上,纤维肌痛症与多种疾病有关,其中抑郁症在FM患者中最为常见。FM和抑郁症相互协同、相互促进。生活创伤在对FM发病起着重要作用,这是一种公认的病因,如性攻击/虐待、身体攻击/虐待、童年情感虐待和忽视等与疾病的发生有明显的关联[8]。有研究显示,女性纤维肌痛患者的抑郁症状比男性患者更加明显,相较男性患者,女性患者的睡眠质量更差,且存在广泛认知功能受损[9]。该患者的姐姐有"抗抑郁药"的用药史,患者本人从小的成长环境中缺乏父亲的参与,在生活中出现多方面负性生活事件,且患者目前高二在读,马上进入高三,面临高考等重大的人生课题,课业繁重,身体与精神压力大,多方面的原因共同诱发FM发病并加重其症状。
值得注意的是,所有对于精神疾病的诊断量表中大多包含FM相关的躯体症状,部分情况下,这些症状与躯体疾病的关系大于情绪,会导致患者的评分高于实际情况,这在一定程度上会增加FM合并心理疾病的诊断难度[10]。所以,在常用的心理评估量表之外,情绪谱自我报告(MOODS-SR)被推荐用于FM患者的抑郁症筛查,它可在一定程度上过滤躯体疾病对评分造成的偏差,更准确地反应患者的情绪问题[11]。
根据既往数据显示,青少年发病的纤维肌痛症发病率正在逐年递增[12],其发生腹部症状的概率明显高于成人且可作为首发症状[6]。患者反复腹泻4年,为黄色稀糊样便,伴有腹痛,便后疼痛不缓解,腹痛与腹泻症状与饮食无关,症状与全身疼痛症状平行,入院后完善胃肠镜均未见特异性改变,粪便常规及隐血未见异常,经过抗焦虑抑郁治疗后缓解,符合肠易激综合征的特点。
纤维肌痛的治疗手段可分为药物治疗与非药物干预,其主要目的是改善症状、提高生活质量为目的,其中对患者进行疾病知识的健康宣教、提高患者的依从性是治疗前的第一步。
由于FM常伴有精神及睡眠障碍,所以临床上抗抑郁药物在FM患者中使用普遍,许多研究表示抗抑郁药可改善纤维肌痛症患者的临床症状[13],以三环类抗抑郁药与5羟色胺-去甲肾上腺素再摄取抑制剂为主[14]。目前美国食品药品监督管理局(FDA)批准了三种药物用于纤维肌痛的治疗,分别是:度洛西汀、米那普仑、普瑞巴林[15],其中度洛西汀与米那普仑均属于5羟色胺-去甲肾上腺素再摄取抑制剂。有研究表示在青少年患者中使用度洛西汀期间严重精神不良事件的发生率升高[16],所以临床医师在使用抗抑郁药前应谨慎评估患者的风险与收益。除了上述常用的药物外,近年来大麻二醇在FM患者中也表现出不错的效果[17],但该药物的风险与收益的平衡需要更多的研究来佐证。此外左旋乙酰肉碱[18]和静脉注射利多卡因[19]等新型治疗手段也显示出一定的疗效,可作为常规治疗无效时的备选。
FM的非药物治疗手段多样,应结合患者的具体情况制定个体化的治疗方案。常用治疗手段有:电/磁刺激、光疗、锻炼及饮食、行为认知疗法等[20]。其中值得一提的是饮食与锻炼,众所周知,FM患者的平均体重指数(BMI)高于健康人群,肥胖不仅增加"三高症"的风险,也会加重关节痛、疲劳、焦虑、抑郁等症状,严重影响患者的生活质量[21],该患者BMI=32.47,所以适当的运动以及饮食控制、保持良好的体型是该患者的治疗中不可忽视的部分。
本例患者有中轴型脊柱关节炎的基础,患者腰痛及臀区疼痛的症状与此相关,但经过抗炎治疗甚至生物制剂治疗后患者全身症状缓解不明显,故更多的是因为患者情绪、心理变化导致症状的起伏。在初步抗炎治疗失败后,我们与心理科共同修订了治疗方案,给予了抗抑郁、抗焦虑以及改善睡眠的药物:西酞普兰、喹硫平、阿普唑仑,并予普瑞巴林止痛治疗,因患者炎症指标升高继续口服依托考昔抗炎,经过上述治疗约9日后患者疼痛、腹泻等症状改善,情绪与睡眠均较前好转,C反应蛋白也较前下降,这表示心理因素与躯体症状是密不可分的。在纤维肌痛患者中,单纯针对躯体疾病的治疗无法获得理想的效果,需结合心理及生理联合治疗,方可最大化地改善患者的症状。
在临床工作中,风湿科的医生面对许多慢性疾病患者,除了原有的器质性疾病,更应注意患者的心理健康。特别是对于该类HLA-B27阴性,且症状与影像学表现均不典型的脊柱关节炎患者,无法及时诊断并进行干预,长期躯体症状特别是慢性疼痛可以诱发抑郁、焦虑、睡眠障碍甚至认知障碍等问题,这些情绪问题可反过来加重躯体症状,形成恶性循环。若不及时终止循环,可能导致患者病情反复迁延加重,对患者的健康与经济造成不必要的损失。所以,及时发现患者的情绪问题、及时诊断并干预心理疾病,在风湿科慢性病患者的诊疗中是非常重要且不容忽视的。
郑粼琳,何光桥,余辞源,等.纤维肌痛症合并中轴型脊柱关节炎及情绪障碍1例[DB/OL].中国临床案例成果数据库,2023(2023-02-02).http://journal.yiigle.com/LinkIn.do?linkin_type=cma&DOI=10.3760/cma.j.cmcr.2023.e00365.
所有作者均声明本研究不存在利益冲突





















