
患者,青年男性,18岁,3年前行近视激光手术术前散瞳眼底检查发现左眼多发视网膜毛细血管瘤,此次因"右眼视物变形3 d"复诊。
右眼视物变形,右眼最佳矫正视力0.6,左眼最佳矫正视力0.9。眼底检查:双眼视盘水肿。左眼见多个视网膜毛细血管瘤及粗大滋养血管。
经眼底荧光素血管造影(FFA)、头颅MRI及基因检测确诊:Von-Hippel-Lindau综合征,左眼视网膜毛细血管瘤,双眼视乳头水肿,右侧小脑血管母细胞瘤,小脑扁桃体疝。
经脑肿瘤栓塞术治疗后视力及视物变形好转。
双眼视乳头水肿基本恢复,右眼最佳矫正视力0.8,左眼最佳矫正视力1.0。
眼科;神经外科;神经内科
版权归中华医学会所有。本文为遵循CC-BY-NC-ND协议的开放获取文章。
Von-Hippel-Lindau综合征(简称VHL综合征),又名希佩尔-林道综合征,是VHL抑癌基因突变引起的一种常染色体显性遗传病(OMIM:193300)。患者表现为多器官肿瘤综合征,包括视网膜毛细血管瘤、中枢神经系统血管母细胞瘤、肾癌或肾囊肿、胰腺肿瘤或囊肿、肾上腺嗜铬细胞瘤、内耳淋巴囊肿瘤和生殖系统囊肿等病变。我们报道1例首诊于眼科的Von-Hippel-Lindau综合征,旨在提高对本病的认识,减少误诊和漏诊。
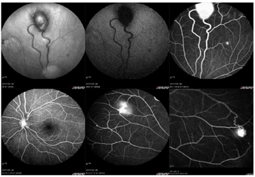
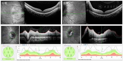
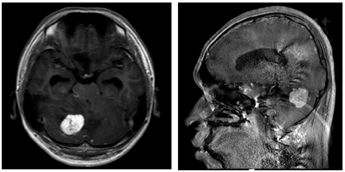
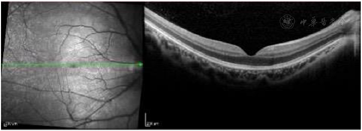
患者,男性,18岁,于2017年7月22日在温州医科大学附属眼视光医院近视激光手术专科就诊,行近视激光手术术前检查,患者无明显不适主诉。眼科检查:矫正视力:右眼:-5.50/-0.25×180=1.0,左眼:-5.25/-1.00×5=1.0。眼压:右眼:15.2 mmHg(1 mmHg=0.133 kPa),左眼:13.9 mmHg。双眼结膜无充血,角膜透明,前房深、房水清,瞳孔圆,直径约2 mm,直间接对光反射存,MG(-),晶体透明,玻璃体絮状混浊。眼底:右眼视盘界清,色淡红,C/D约0.3,A/V=2:3,黄斑中心凹反光未见,后极部视网膜平伏。左眼视盘界清,色淡红,C/D约0.3,A/V=2:3,上方视网膜见一大的视网膜毛细血管瘤及粗大滋养血管,鼻上方及颞上方见多个小的视网膜毛细血管瘤,黄斑中心凹反光未见,后极部周边视网膜平伏。广角激光眼底照相示:左眼见多个视网膜毛细血管瘤及粗大滋养血管(图1)。眼底荧光素血管造影(FFA)示:左眼周边视网膜血管可见多处团样强荧光(图2)。临床诊断:左眼Von-Hippel病。建议患者至综合医院筛查全身肿瘤,并每年于我院随访。患者未按时随访。2021年1月18日,患者因"右眼视物变形3天"复诊。眼科检查:矫正视力:右眼:-4.75=0.6,左眼:-5.00=0.9。眼压:右眼:15.3 mmHg,左眼:15.4 mmHg。双眼眼前节未见明显异常。眼底:右眼视盘水肿,A/V=2:3,黄斑中心凹反光未见,后极部视网膜平伏。左眼视盘水肿,A/V=2:3,上方视网膜见一大的视网膜毛细血管瘤及粗大滋养血管,鼻上方及颞上方见多个小的视网膜毛细血管瘤,黄斑中心凹反光未见,后极部周边视网膜平伏。眼底彩照示:双眼视盘水肿,左眼见粗大滋养血管(图3)。OCT示:双眼视盘水肿。右眼黄斑区视网膜外核层见异常高反射团块,椭圆体带连续性中断(图4)。临床诊断:Von-Hippel-Lindau综合征,左眼视网膜毛细血管瘤,双眼视盘水肿(原因待查)。建议患者至神经外科会诊,排除脑血管母细胞瘤,排除颅内高压。头颅MRI示:小脑右侧半球见约31 mm×23 mm结节样物,小脑扁桃体下缘低于枕骨大孔约11 mm,小脑扁桃体疝(图5)。基因检测示:发现与疾病表型相关的高度可疑变异(图6)。临床诊断:Von-Hippel-Lindau综合征,左眼视网膜毛细血管瘤,双眼视乳头水肿,右侧小脑血管瘤,小脑扁桃体疝。2021年2月4日在上海复旦大学附属华山医院行"脑肿瘤栓塞术+双侧多发小脑病损切除术+右侧侧脑室枕角Ommaya管置入术",病理诊断为:(右小脑)血管母细胞瘤,(左小脑)蛛网膜下腔少量小血管轻度增生。术后1月余(2021年3月22日)复查,右眼视物变形较前好转,双眼矫正视力提高(右眼0.6,左眼1.0),双眼视乳头轻度水肿(图7)。OCT示:右眼黄斑区视网膜外核层异常高反射团块消失,正常形态恢复(图8)。术后5月余(2021年7月12日)复查,双眼视乳头水肿较前好转(图9)。术后7月余(2021年9月15日)复查,右眼矫正视力0.8,左眼矫正视力1.0,双眼视乳头水肿基本恢复(图10)。建议患者行左眼视网膜激光光凝术治疗视网膜毛细血管瘤,患者因其可能风险拒绝。




















Von-Hippel-Lindau综合征是一种常染色体显性遗传病,表现为多器官肿瘤综合征。1904年德国眼科医生Von Hippel报道了一例多发视网膜血管瘤病例,在三年的时间里患者继发出现多个视网膜血管瘤。1926年瑞士病理学家Lindau报道了多例视网膜血管瘤同时伴发小脑及腹腔脏器肿瘤的病例。Davison等以这两位医学家的名字命名了这种多发的肿瘤综合征即VHL综合征。为与"血管瘤样畸形"相区别,脑外科医生Cushing等创造了hemangioblastoma("血管母细胞瘤")这一病名来命名这种中枢神经系统和视网膜的肿瘤。但视网膜血管瘤的病理结果提示:病变主要由大量毛细血管构成,在毛细血管之间有大量空泡状间质细胞,为一种良性病变[1]。因此梁晨等人建议使用"视网膜毛细血管瘤"这一名称[2]。
视网膜毛细血管瘤可分为两类,VHL综合征为病因的视网膜毛细血管瘤和散发的视网膜毛细血管瘤(即非VHL综合征引起的)。据Binderup等人报道,与非VHL综合征引起的视网膜毛细血管瘤相比,VHL综合征为病因的视网膜毛细血管瘤往往数量更多(3个/每人vs 1个/每人),发病更早(22.5岁vs 40岁),且发现时常无临床症状[3]。Kreusel等人发现在77%的VHL病人中,视网膜毛细血管瘤是最早的表现,此时患者可能并无主观临床症状[4]。早期的视网膜毛细血管瘤表现为微小的红色或灰色视网膜内点,直径小于几百微米,眼底镜下类似于微动脉瘤或点状视网膜内出血,此时散瞳眼底检查可能较难发现。但眼底荧光素血管造影(FFA),尤其是使用宽视野成像,是鉴别这些病变的敏感手段,这些病变表现出视网膜血管周围的团样强荧光。本例患者行近视激光手术术前散瞳眼底检查发现左眼多发视网膜毛细血管瘤,因此高度怀疑其为VHL综合征,建议其行全身肿瘤情况筛查。VHL综合征临床诊断要点包括:血管母细胞瘤(中枢神经系统或视网膜)、肾癌、嗜铬细胞瘤、胰腺多发囊肿或神经内分泌瘤以及内淋巴囊肿瘤。当疑似患者符合以下条件时可临床诊断为VHL综合征:(1)有明确家族史,存在以上7种肿瘤之一即可诊断;(2)无家族史,患者出现至少两个血管母细胞瘤或者一个血管母细胞瘤加上上述7种肿瘤之一即可诊断。由于临床诊断标准具有滞后性,部分患者在疾病早期并不符合临床诊断标准,因此对于疑似患者应进行基因检测。目前认为基因诊断为确诊的金标准,当患者存在VHL基因致病性突变时即可确诊[5]。
VHL病为遗传病,目前尚无治愈的方法,中枢神经系统血管母细胞瘤和肾细胞癌是患者死亡的常见原因,治疗应综合考虑患者全身肿瘤发病情况。患者复诊时眼底检查发现双眼视盘水肿,视盘水肿最常见的病因为颅内病变引起的颅内压升高。VHL患者双眼视盘水肿时需警惕是否存在中枢神经系统血管母细胞瘤引起的颅内压升高,虽患者可能暂无颅内压升高的症状(如头痛、喷射性呕吐),仍因立即行头颅MRI明确病因,并转诊神经外科,行必要的手术。
根据视网膜毛细血管瘤的位置,可将其分为视盘旁视网膜毛细血管瘤和视盘外视网膜毛细血管瘤。视盘旁视网膜毛细血管瘤的治疗比较复杂,特别是视盘黄斑束内或附近的肿瘤,因为可能会导致视力下降、视野损失、中心暗点形成[6]。与激光光凝相比,光动力疗法具有更好的安全性,但通常无法使肿瘤消融[7,8]。鉴于现有疗法的局限性,观察是一种可行的策略。对于视盘外视网膜毛细血管瘤,目前有激光光凝、冷冻治疗、抗VEGF药物治疗、手术等治疗方法。对于瘤体直径不超过1.5 mm(1PD)的视网膜毛细血管瘤,激光光凝治疗具有很好的疗效。不同类型的激光,包括氩绿、二极管、黄色染料和氪,在既往研究中都显示出有效性。激光时长通常选择0.2~0.4 s。直径在1.5~4.5 mm的视网膜毛细血管瘤较难被激光光凝破坏,通常需要多次激光,并且可能在多次激光后仍然存在。一些人主张激光光凝治疗供血动脉,使肿瘤低灌注或无灌注[9]。对于直径在1.5~4.5 mm的视网膜毛细血管瘤可采用冷冻疗法,包括单次冷冻-解冻循环和双次单次冷冻-解冻循环[10,11]。直径大于4.5 mm的视网膜毛细血管瘤治疗相对困难,随着肿瘤大小的增加,成功率降低,治疗风险增加(如急性渗出反应,渗出性视网膜脱离,出血等)。对于常规治疗无法阻止疾病进展的较大的视网膜毛细血管瘤,也可尝试放射治疗。手术治疗通常用于玻璃体视网膜增生明显或伴有视网膜脱离和玻璃体积血的患者[12]。本例患者左眼视网膜毛细血管瘤病情较稳定,因此建议其行神经外科手术后择期行左眼视网膜激光光凝术治疗视网膜毛细血管瘤。
患者复诊时诉"右眼视物变形3 d",视物变形常见于黄斑区出现病变的患者中,包括黄斑前膜、黄斑水肿、中心性浆液性脉络膜视网膜病变、脉络膜新生血管等。该患者行眼底镜检查黄斑区未见金箔样反光,眼底荧光素血管造影未见黄斑区异常荧光渗漏,OCT检查示黄斑区视网膜外核层见边界较清晰的异常高反射团块,椭圆体带连续性中断,未见低反射囊腔及黄斑区厚度增加。因此,我们排除了黄斑前膜、黄斑水肿、中心性浆液性脉络膜视网膜病变等疾病,该患者右眼视物变形考虑由其黄斑区视网膜外核层见异常高反射团块,椭圆体带连续性中断导致。异常高反射团块常提示为渗出、出血、瘢痕、血管等。软渗常出现在视网膜较浅表部位、边界不清,而该异常高反射团块出现在外核层,边界清晰;硬渗、血管、瘢痕通常不易消失,而该患者脑肿瘤栓塞术后1个月余复查OCT即提示该异常高反射团块消失,黄斑区正常结构恢复;出血、血管形成的异常高反射团块下方常有明显屏蔽效应,而在该患者OCT检查异常高反射团块下方未见明显屏蔽效应,眼底检查黄斑区也未见出血。因此我们目前无法确定该患者复诊时黄斑区视网膜外核层出现边界较清晰的异常高反射团块,椭圆体带连续性中断的原因,以及该异常高反射团块的性质,也无法确定脑肿瘤栓塞术后视物变形好转,异常高反射团块消失,黄斑区正常结构恢复的原因。
综上,Von-Hippel-Lindau综合征是一种罕见、预后较差的多器官肿瘤综合征,在眼部表现为视网膜毛细血管瘤。大部分VHL相关病变在早期是可控制的,因此尽早确诊是否为VHL综合征,并进行定期的全身肿瘤情况检查非常的重要。眼科医生发现视网膜毛细血管瘤,特别是多发的视网膜毛细血管瘤时应高度重视,明确是否为VHL综合征,减少误诊漏诊。
程孜蕴,彭天丽,周容,等.首诊于眼科的Von-Hippel-Lindau综合征1例[DB/OL].中国临床案例成果数据库,2023(2023-02-06).http://journal.yiigle.com/LinkIn.do?linkin_type=cma&DOI=10.3760/cma.j.cmcr.2023.e00427.
所有作者均声明本研究不存在利益冲突

























