
患者,女性,44岁,发热、胸闷4 d入院。
体格检查:生命体征平稳,皮肤黏膜无黄染、无皮疹、无瘀点、瘀斑。扁桃体无肿大。胸骨无压痛。端坐呼吸,心界扩大,心音低钝,剑突下压痛阳性,脾肋约1 cm,肝无肿大,双肺听诊未闻及干湿啰音,双下肢无水肿。
通过骨髓细胞学、免疫分型、骨髓病理、骨髓染色体等检查,诊断为慢性粒单核细胞白血病。
心包穿刺抽取心包积血,定期行阿扎胞苷100 mg qd d1~7去甲基化治疗。
未再发生出血,血象稳定,于2020年9月22日复查骨髓疗效评价为CR。定期行阿扎胞苷去甲基化治疗中。慢性粒单核细胞白血病肿瘤浸润引起出血为主要临床表现较罕见,易发生误诊,应早发现,延早治疗,预防出血加重及疾病进展,提高患者的生活质量和生存率。
血液内科;心血管内科;眼科;心脏外科
版权归中华医学会所有。本文为遵循CC-BY-NC-ND协议的开放获取文章。
慢性粒单核细胞白血病(chronic myelomonocytic leukemia,CMML)属于骨髓增生异常综合征/骨髓增殖性肿瘤(myelodysplastic/myeloproliferative neoplasms,MDS/MPN)中的一种亚型,该病是一种临床发生率较低,同时具有MPN及MDS共同特点的疾病,可以转化为急性髓系白血病(AML)[1],国外流行病调查其发病率约为1~4/100000/年,国内尚无此数据[2]。该病的中位发病年龄约70岁,男性居多,50岁以后发病率明显升高。该病的临床症状异质性很大,主要有头晕乏力、胸闷、心悸、发热、且往往伴随血小板减少、白细胞升高等特征,其凝血功能异常较少发生[3],而以两个部位出血为首发症状的年轻CMML患者国内外罕见报道,临床极易误诊误治,现将我科收治的1例以心包积血及眼底出血为首发表现的年轻CMML患者报道如下。
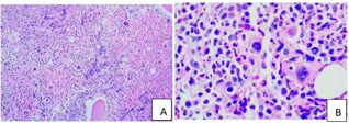
患者,女性,44岁,因"发热、胸闷4 d"于2020年1月入院。既往体健;无传染病史。体格检查:生命体征平稳,皮肤粘膜无黄染、无皮疹、无瘀点、瘀斑。扁桃体无肿大。胸骨无压痛。端坐呼吸,心界扩大,心音低顿,剑突下压痛阳性,脾肋约1 cm,肝无肿大,双肺听诊未闻及干湿啰音,双下肢无水肿。入院查血常规示WBC 21.17×109/L,MONO 12.29×109/L,RBC 3.87×109/L,HB 112 g/L,PLT 243×109/L,CRP:112.94 mg/L,PCT:0.250,心肌酶谱、凝血功能未见明显异常。超声示:大量心包积液。腹部CT:脾脏增厚,盆腔积液。为进一步治疗,收住我科。完善骨髓穿刺检查,骨髓细胞学:原始细胞约占有核细胞的8%,单核细胞比例增高,红系增生尚活跃,巨核细胞增生活跃。免疫分型:单核细胞约占有核细胞的16%,表型以成熟为主,主要表达CD14+CD16-的MO1型单核细胞,原始区域细胞约占有核细胞的1%,分布散在。粒细胞约占有核细胞的76%,比例增高,部分细胞考虑存在发育异常(图1)。骨髓病理:造血组织增生极度活跃,粒系比例增高,幼红细胞比例减低,巨核细胞明显增生,粒、巨两系可见少量病态细胞,单核细胞比例增高(图2)。染色体:正常女性核型。JAK2V617F、W515L、CALR突变均为阴性,43种AML融合基因均为阴性;胸部CT示两上肺多发感染,心包积液。按照2008年CMML WHO诊断标准[4]诊断:1.慢性粒单核细胞白血病CMML-2(G-MDPS:中危-2,CPSS评分:中危-1);2.肺部感染;3.心包积液。2020年1月21日复查心脏彩超示心包积液,量大,请心脏外科会诊后于2月6日行超声引导下心包穿刺置管引流术,2月7日抽出心包积液200 ml血性液体,2月8日抽出心包积液300 ml血性液体,心包积液涂片镜下发现大量单核细胞,考虑单核细胞浸润可能。患者于2020年2月13日行阿扎胞苷100 mg qd d1~7治疗,并联合抗感染等支持治疗,化疗后复查彩超心包积液明显减少,复查血常规示:WBC10.28×109/L,MONO 1.23×109/L,RBC 2.31×1012/L,HGB 62.0 g/L,PLT 381×109/L,患者好转出院。




患者于2020年3月10日因"发热伴双眼肿痛2 d"再次入住我科,入院2 d前无明显诱因下出现发热,体温高达39.3℃,伴双眼肿痛流泪,左眼肿痛较重,伴失明。入院查血常规示WBC 57.83×109/L,MONO 11.65×109/L,RBC 3.87×109/L,HB 64 g/L,HCT 0.334,PLT 345×109/L,CRP:85.22 mg/L。C反应蛋白凝血系列未见明显异常。心脏超声示无明显积液。阳性体征:双眼结膜充血,脾肋下可触及。眼科会诊后完善眼底镜等相关检查诊断虹膜睫状体炎,双眼眼底出血(图3)。眼底分泌物进行镜检发现有大量单核细胞,考虑CMML肿瘤细胞浸润可能,遵眼科医嘱消炎对症治疗,2020年3月15日再次行阿扎胞苷100 mg qd d1~7去甲基化治疗后复查视力明显好转后出院。


患者于我科多次行去甲基化治疗,未再发生出血,血象稳定,于2020年9月22日复查骨髓疗效评价为CR。定期行阿扎胞苷去甲基化治疗。
CMML属于造血干细胞克隆性异常增殖性疾病[5]。有研究报道其中位发病年龄为50岁,也有学者研究41例CMML患者,其中位年龄为58岁(24~80岁),年轻患者较少见[6]。该患者为一44岁年轻女性,发病年龄临床较少见。根据实验室检查及临床特征符合2018年WHO中CMML的诊断标准,由于CMML发病较为罕见,其临床表现和实验室特征方面的数据研究不多,从目前国内外报道的数据来看,在血小板及凝血均无异常的情况下,以出血为首发表现的CMML罕见,易误诊。CMML首发症状异质性较大,刘朝君等[7]对33例CMML的临床症状进行统计分析得出多数患者临床表现为头晕、乏力、心悸、发热、体检发现白细胞升高及血小板减少;吴霞等[8]通过统计20例CMML的临床特征发现其临床表现为乏力患者8例,血细胞异常6例,腹胀4例,发热2例,无出血为首发症状。
本患者先后两次均以出血为首发症状,出血的可能原因是CMML异常克隆分化的各阶段单核细胞发生髓外浸润引起。关于CMML髓外浸润国内外早有报道,如Hu,Lianbo MS等人早在2005年就报告了一例以胸腔积液为首发症状的慢性骨髓单核细胞白血病(CMML),他们认为这种情况极为罕见,胸腔积液流式细胞找到表达CD13,CD14和CD33的白血病细胞,诊断为CMML-2胸膜浸润,羟基脲治疗后胸腔积液消失[9]。国内有研究报道了在CMML病程中出现痛性皮疹,最后经皮肤活检证实其有异常中性粒细胞浸润[10]。有报道以坏疽性脓皮病为首发表现的CMML,皮肤活检后考虑白血病细胞浸润所致[11],该患者首发症状为心包积血,引流物为血性渗出液,液基薄层细胞未见异常细胞,第二次主要表现为眼底出血。患者两次出血时血小板及凝血系列均未见明显异常,后经阿扎胞苷去甲基化及对症支持治疗后均明显好转,后患者多次于我科行阿扎胞苷去甲基化治疗,未再发生出血,多次复查疗效为CR。
综上,在血小板及凝血功能均正常的情况下,以两个部位出血为主要临床表现的年轻CMML患者实属罕见,及时准确诊治,临床疗效较好。因此,对于临床以出血为主要症状就诊的患者,在血小板及凝血功能无异常的情况下需警惕类似CMML等肿瘤细胞浸润的可能,及时完善细胞学,病理及骨髓相关检查具有重要意义。
邢明泉,葛洪峰,吴维霞,等.以心包积血及眼底出血为主要表现的年轻CMML1例[DB/OL].中国临床案例成果数据库,2023(2023-02-06).http://journal.yiigle.com/LinkIn.do?linkin_type=cma&DOI=10.3760/cma.j.cmcr.2023.e00428.
所有作者均声明本研究不存在利益冲突





















