
患者,女性,53岁。因左大腿中下段包块疼痛2个月余入院。入院后完善检查,经科室讨论,行左股骨穿刺活检术,术后病理诊断为神经内分泌癌骨转移。
患者诉2个月前不慎扭伤左大腿,随即左大腿前面出现肿物并疼痛。自发病体重下降约5 kg。
于外院多次就诊,未明确诊断。因左大腿中下段包块疼痛2个月余就诊,完善检查,行穿刺活检确诊为神经内分泌癌骨转移,经多学科讨论,建议行全身PET-CT检查后化疗,再行手术治疗。
根据患者病情及检查情况,经多学科讨论,建议行全身PET-CT检查后化疗,再行手术治疗,但患者放弃治疗并出院。
随访在出院后3 d发生病理性骨转,患者随访半年去世。
骨科;肿瘤科
版权归中华医学会所有。本文为遵循CC-BY-NC-ND协议的开放获取文章。
神经内分泌肿瘤(neuroendocrine neoplasm,NENs)是一类起源于肽能神经元和神经内分泌细胞的一组高度异质性肿瘤,合成和分泌胺及多肽激素。近年来,随着诊疗手段的提高和普及,NENs的检出率呈不断上升趋势,已经改变了既往低发病率的认识。NENs具有早期易转移的特点,主要转移部位为肝脏、淋巴结及骨骼;有研究表明NENs转移率可高达约40%。该病表现异质性大,表型复杂多样,极易误诊漏诊,本研究报道1例神经内分泌癌(NECs)骨转移病例,并对其临床特点、诊治及预后进行总结分析,为该病治疗提供临床资料。
患者,女性,53岁。因左大腿中下段包块疼痛2个月余入院。患者诉2个月前不慎扭伤左大腿,随即左大腿前面出现肿物并疼痛。自发病体重下降约5 kg。入院查体:左大腿前侧中下段可见一大小约9 cm×5 cm大小肿物,中间部位可见大小约0.3 cm×0.2 cm皮肤破损,质硬,推之不移,局部压痛(+),局部皮温不高,膝关节活动正常,患肢远端感觉、运动、血运正常。
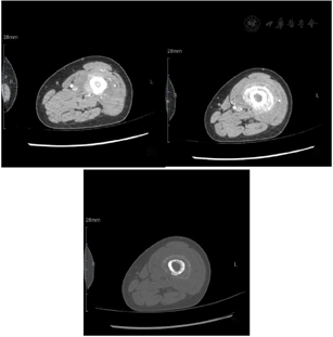
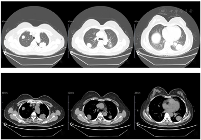
入院前查下肢彩超示:左股骨中下段骨皮质浅方实性占位。入院后查左股骨全长正侧位片示:左股骨中段骨质密度稍显减低,骨皮质毛糙、变薄,周围软组织肿胀,关节对应关系良好。查肌骨超声所见图1:左侧股骨中下段骨长轴纵切面骨皮质局部骨膜增厚,不规则隆起,可探及范围约157 mm×17 mm混合回声区,后方回声减低,交界处的骨膜回声增强、增厚、抬高呈"Codman"三角征;围绕骨干横切面见"轮辐样"放射状分布的针状强回声,回声与骨皮质表面垂直;彩超多普勒血流显像(color Doppler flow imaging,CDFI):内可探及星点状血流信号;后方骨皮质尚连续,中下段边缘毛糙。进一步查左股骨中下段增强CT所见图2:左股骨中下段髓腔内见纵形软组织密度影,邻近骨皮质稍增厚且骨质密度减低,呈筛孔样骨质破坏,周围可见放射状骨膜反应及软组织肿块,骨干未见明显膨胀,增强扫描后髓腔内见穿行血管影,周围软组织肿块中度强化。查左股骨中下段核磁见图3:左股骨干中下段髓腔内条带状长T1、压脂长T2信号影,骨皮质厚薄不均,信号欠连续,压脂信号增高,骨干周围包绕软组织块,呈略短T1、压脂长T2信号影,压脂T2其内见多发细线样低信号影垂直于骨皮质分布,病变与周围软组织区界限不清,软组织内片状长T1、压脂长T2信号影;扫描所示左股骨干远端小圆形、右股骨干中段髓腔内条带状长1、压脂长T2信号影,境界较清晰,邻近骨皮质未见明确异常。查胸部CT见图4:双肺纹理增重,双肺见多发大小不等结节样高密度影,较大者边缘欠光整,呈浅分叶状,左肺下叶见索条影,纵隔内见多发小淋巴结影;肝右叶内见类圆形低密度影,边缘可见模糊稍高密度影。腹部超声所见:肝脏实质回声致密,内可见多个低回声区,较大者大小约20 mm×14 mm的肿物;脂肪肝。查腹部ECT见肝右叶上述改变外,未见其他异常。实验室化验肿瘤标志物CEA、AFP、CA-199等都在正常范围;C反应蛋白11.43 mg/L(参考范围0.00~0.60 mg/L,以下同);碱性磷酸酶183 U/L(40~150 U/L);磷酸肌酸激酶同工酶110 U/L(1~24 U/L)。








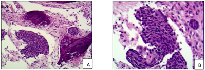
为明确诊断,行左股骨穿刺活检术,术后病理见图5:纤维组织及新生编织骨之间见异型细胞团浸润性增生,瘤细胞较小,胞浆少;免疫组化结果:瘤细胞CK7(-),CK20(-),Villin(+),SATB2(+),TTF-1(灶+),Hepar-1(-),GATA-3(-),Syn(弱+),CgA(+),CD56(+),Ki-67(+50%),CK-p(+),CDX-2(+)。结合免疫组化标记结果,病变符合神经内分泌癌骨转移。


神经内分泌肿瘤(neuroendocrine neoplasm,NENs)是一类起源于肽能神经元和神经内分泌细胞、合成和分泌胺及多肽激素的一组高度异质性肿瘤[1,2]。NENs生物学行为多样,惰性、低度恶性,再到高度恶性、高侵袭转移性等都可见[3]。近年来,NENs的检出率呈不断上升趋势。目前依据核分裂象、Ki-67阳性指数的高低及是否存在坏死,可将NENs分为神经内分泌瘤(neuroendocrine tumors,NETs)、神经内分泌癌(neuroendocrine carcinomas,NECs)以及混合性神经内分泌-非神经内分泌肿瘤(mixed neur oendocrine-non-neuroendocrine neoplasms,MiNEN)[3,4,5,6,7,8]。根据其是否产生过量肽类激素或生物胺类等特殊生物活性物质而引起激素相关综合征或副瘤综合征,按临床表现分为功能性NENs和非功能性NENs两大类。其中,NECs又可分为小细胞型(SCNEC)和大细胞型(LCNEC),皆属于高级别低分化的NENs[9,10]。
大多数神经内分泌肿瘤的病因暂不明确,但某些神经内分泌肿瘤可能与遗传因素、吸烟有关[11,12,13,14]。NENs好发于消化系统,其次为肺;其中胃肠胰腺神经内分泌肿瘤(Gastroenteropancreatic NENs,GEP-NENs)占NENs的65%-75%,肺神经内分泌肿瘤(Lung NENs,L-NENs)占NENs的20%~25%[15,16,17];且我国消化系统NENs最常见的原发部位为胰腺,其次为胃肠道[18]。本例患者以左大腿中下段疼痛入院,无腹部症状,结合检查结果及病理结果首先考虑是肺来源NECs骨转移。
NENs是否转移与肿瘤的部位、类型及分级有关。大多数NETs发生转移的风险很低,而NECs具有恶性组织学和生物学行为。NENs转移主要发生在肝脏、淋巴结、骨骼、肺及脑[19];其中,NENs骨转移较少见,发病率7%~15%[20],但有研究表明NENs骨转移率可高达约40%[19,21]。原发性肝脏神经内分泌肿瘤骨转移非常罕见[22],而肺、胃肠道及胸腺的NENs则更容易出现骨转移,且肺部NENs骨转移高于胃肠道NENs骨转移[19]。NENs骨转移最常见的部位是中轴骨,约40%在胸椎,34%在腰椎,22%在颈椎,约15% - 30%累及骨盆和股骨[19,23]。NENs骨转移可分为成骨性、溶骨性和混合性,其中以成骨性为主[20]。并且,NENs骨转移常伴肝转移[5,24]。NENs骨转移症状常无特异性,仅59%有骨痛、病理性骨折、骨髓压迫及高钙血症等骨相关事件(SREs)[5,25]。有研究显示NENs患者发生病理性骨折仅有9%[26]。
影像学是NENs骨转移的主要检查。X线、CT常用于骨皮质破坏的诊断;骨放射性核素扫描(ECT)更适用于以成骨性病变为主的转移;正电子发射计算机断层显像(PET-CT)对溶骨性骨转移的特异度较高,并已应用于NENs全身转移灶的检测[25]。MRI能显示骨转移灶周围软组织、血管及神经受累情况,并且弥漫加权及造影增强可精确区分良恶性病变,同时MRI在NENs肝、脑转移的检测中有明显的优势[27]。生长抑素受体显像(SRS)技术对诊断NENs肝转移的敏感性超过90%[28]。一部分NENs会分泌多肽类物质,如嗜铬粒蛋白A(CgA)和胰多肽(pancreatic polypeptide,PP),检测这些物质在体内的水平诊断敏感性可达94%[29]。但最终病检是确诊NENs骨转移的金标准。本例患者病理诊断明确后,经多学科讨论,建议行全身PET-CT检查后化疗,再行手术治疗。但患者放弃治疗并出院;随访在出院后3天发生病理性骨转,考虑早期就有微骨折存在。
NENs骨转移治疗的是预防和治疗SREs,最终改善患者生活质量,延长生存期。化疗联合局部放疗可明显减少SREs的发生[30],转移性高级别小细胞或大细胞NECs,无论原发部位,欧洲肿瘤内科学会(European Society for Medical Oncology,ESMO)推荐顺铂/依托泊苷或卡铂/依托泊苷方案进行一线化疗[5,31]。双磷酸盐药物、分子靶向药物、生长抑素类似物及止痛药物可显著延缓肿瘤生长和改善患者症状[32];肽受体放射性核素治疗在生长抑素受体表达阳性的NENs中可能具有重要治疗价值,免疫治疗临床试验的初步结果并未显示出非常好的疗效[33]。手术对NENs多发病灶转移意义不大[34]。进展期或转移性NECs是手术的绝对禁忌证[5]。总之,NENs起病隐匿,临床表现复杂,早期诊断困难。由于NEN的异质性较高,不同部位NEN的治疗原则又有所不同,具体治疗方案应根据肿瘤部位、功能状态、病理分级、肿瘤分期、生长抑素受体表达情况以及药物毒性谱等因素进行选择[9]。在NENs骨转移中,五年生存率介于19%-38%之间[20]。本例患者在随访半年后去世。
李彦强,李红专,李晶,等.神经内分泌癌骨转移1例[DB/OL].中国临床案例成果数据库,2023(2023-02-06).http://journal.yiigle.com/LinkIn.do?linkin_type=cma&DOI=10.3760/cma.j.cmcr.2023.e00429.
所有作者均声明本研究不存在利益冲突





















