
患儿,男性,1岁2个月,间断恶心2个月,间断发热2 d,伴抽搐2次。
体温36.5 ℃,脉搏111次/min,呼吸22次/min,血压121/70 mmHg(1 mmHg=0.133 kPa),体重10.5 kg。患儿发育正常,营养中等,神志清晰,反应一般,神经系统查体及体格检查无异常。未触及肿大浅表淋巴结。
脑电图示轻度异常脑电图。CT平扫、MR皮层+增强、MRS检查提示左侧脑室占位性病变;手术中冷冻病理检查提示胶质神经元肿瘤,免疫组织化学检测符合节细胞胶质瘤,WHO Ⅱ级。
入院完善检查,在全麻下行幕上深部病变切除术+颅骨钻孔探查术+开颅内减压术+矢状窦重建术,术后给予止血、抗感染及对症支持治疗,恢复可现患儿存在面瘫、偏瘫,需进一步康复治疗。
继续康复治疗;加强休息和营养;加强功能锻炼;定期复查(1个月、4个月、10个月、22个月复查头颅MRI平扫加增强);不适随诊。
医学影像科;神经外科;病理科
版权归中华医学会所有。本文为遵循CC-BY-NC-ND协议的开放获取文章。
节细胞胶质瘤(gangliogliomas,GG)是一种少见的、低级别的胶质神经元混合性肿瘤,约占中枢神经系统颅内肿瘤的0.33%~1.3%[1],占儿童颅内肿瘤的0.4%~7.6%[2]。是一种好发于儿童和青少年的中枢神经系统肿瘤[3]。肿瘤组织学分级相对于WHO Ⅰ~Ⅱ级,Ⅲ级的GG瘤体内胶质成分具有间变特征。本文结合其他相关文献,回顾性分析1例确诊为GG患儿的临床资料,旨在提高对本病的认识,报告如下。
患儿,男性,1岁2个月。患儿母亲G2P2,孕40周自然分娩,患儿出生时体重3.4 kg。2个月前,患儿无明显诱因出现间断恶心,无呕吐,1次/周,在当地按"肺炎"对症治疗,效差。2天前患儿无明显原因出现发热,热峰39.8 ℃,伴抽搐。表现为:双眼上翻,口微张,四肢痉挛性抖动,伴意识丧失。在当地给予退热治疗,查头部MRI示左侧侧脑室占位性病变。脑电图示:轻度异常脑电图。既往体质好,无重大疾病史,父母体健。
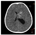
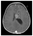
CT检查:左侧脑室体部团块状稍高密度影(图1),CT值约38 HU,大小约32.6 mm(前后径)×28.3 mm(左右径)×29.1 mm(上下径),左侧脑室后角明显扩大。MRI平扫+增强:(1)左侧脑室体部团块状混杂信号,T1WI、T2WI以等高信号为主,其内可见小片状低信号,FLAIR呈等高信号,DWI以高信号为主,增强扫描后肿块中心可见不均匀中等强化,余颅内未见明显异常强化(图2,图3,图4,图5);(2)MRS:肿块内测量NAA/Cr降低,Cho/Cr、Cho/NAA明显升高(图6);(3)头颅MRA未见明显异常;脑电图示轻度异常脑电图。影像检查提示高级别恶性肿瘤性病变,首先考虑间变性室管膜瘤,脉络丛乳头状癌及胚胎性肿瘤不除外。








(左侧)脑室肿瘤;脑积水;癫痫;中枢性面神经麻痹;(右侧)偏瘫。
患儿在全身麻醉下行"1.颅骨钻孔探查术;2.颅骨钻孔减压术;3.(左侧)脑室病损切除术;4.(矢状窦)颅静脉窦切开修补术。"。术中见肿瘤质软,大小约3.5 cm×3.5 cm×3.5 cm,内呈灰褐色样组织,血供丰富,与侧脑室边界较清,于显微镜下小心分离肿瘤与脑室潜在间隙,分块切除肿瘤。取少量肿瘤组织送术中冷冻病理检查,结果提示高级别肿瘤。余肿瘤组织送病理检查。肿瘤显微镜下全切除,术中无活动性出血,置入脑室端分流管于脑室内。手术顺利,麻醉满意,术中出血约100 ml,输O型RhD阳性悬浮红细胞0.1 u,输晶体液610 ml。患者排尿350 ml。术毕安返SICU。
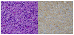
术后免疫组织化学检测:NeuN(部分细胞+),ATRX(+),NSE(+),SYN(+),GFAP(灶状+),Ki-67(灶状5%+),Olig2(部分细胞+),CK(-),EMA(-),IDH-1(-),CD34(血管+),INI(+),H3K27M(-),PHOX2B(-),CD56(+),D2-40(部分细胞+),BCOR(-),BRAF(-)(图7,图8);结果支持节细胞胶质瘤,WHO Ⅱ级。术后给予止血、抗感染及对症支持治疗,恢复可。现患儿存在面瘫、偏瘫,需进一步康复治疗。出院时症状体征:神志清,精神反应稍差,无发热,进食睡眠可,大小便正常。1个月后随访体格检查:患儿头部敷料清洁干燥,身体体征良好;右侧肢体肌力Ⅳ级;左侧肢体肌力Ⅴ级,肌张力正常。影像检查:MRI平扫+增强:提示左额叶至左侧脑室体部术区边缘线状强化,左额颞顶部硬脑膜增厚并强化,考虑术后改变。


GG是神经节细胞和胶质细胞共同参与形成的肿瘤。好发于幕上,以颞叶、额叶多见[4]。一般认为其来源于胚胎残留的神经节细胞的前体细胞[5]。因为它们大多数起源于皮质,特别是颞叶内侧,所以它们更常引起癫痫。部分患者还可出现头晕、头痛、记忆力减退、视物模糊、听力下降等临床特征。以往文献报道中发生在脑室内的GG很少见。当GG发生于脑室系统时,癫痫等临床首发症状更少见,而由于脑脊液循环通路阻塞而至颅高压症状更为明显。文献报道脑室内GG的节细胞表现为发育异常、结构紊乱、细胞成群出现、多核或巨核、含有Nissl小体。胶质细胞成分是星形细胞源性、有时毛细胞星形细胞瘤样改变及少突胶质样成分。其他组织学特征包括钙化、淋巴细胞浸润以及嗜酸性小体形成[6]。不典型性节细胞常Syn和NSE等神经元标记物阳性[7,8]。而肿瘤性胶质成分常GFAP和Olig-2阳性,对诊断该肿瘤有一定帮助。路平等[9]总结病例中提示CD34在该肿瘤诊断具有特殊价值。
GG在颅内的影像表现具有多样性,是一种少见的颅内原发性肿瘤,好发于大脑半球的浅表部位,多见于颞叶。影像上主要分为囊性、囊实性、实性3种。囊变和钙化被认为是节细胞胶质瘤的常见表现。Majores等[10]认为囊性病变并壁结节钙化是GG的特征性表现之一。本例发生于左侧脑室前角内,较为罕见,病变以软组织密度/信号为主,内见散在斑片状钙化,没有脑室外GG常见的囊变表现。病变局部与左侧脑室前角壁分界欠清,磁共振DWI呈较高信号,提示弥散受限,多考虑高级别肿瘤;结合MRS示NAA/Cr降低,Cho/Cr明显升高,术前影像首先考虑间变性室管膜瘤,其次考虑脉络丛乳头状癌。幕上室管膜瘤/间变性室管膜瘤分属WHO Ⅱ~Ⅲ级,幕上可位于侧脑室、脑实质或骑跨生长[11],肿瘤内可出现钙化、囊变和出血,密度或信号较为混杂,DWI提示弥散受限时,多考虑间变性室管膜瘤。本例未见明显囊变和出血成分,增强后未呈现室管膜瘤典型的环形强化[12],与室管膜瘤/间变性室管膜瘤不太符合。脉络丛乳头状瘤好发于脑室,尤其是侧脑室内,WHO分Ⅰ~Ⅲ级,Ⅲ级脉络丛乳头状癌具有高级别恶性肿瘤特征性表现:DWI弥散受限、合并出血、钙化、囊变,可突破侧脑室壁侵犯邻近脑实质,也可随脑脊液播散转移[13],因常起源于脉络丛,可分泌脑脊液,示侧脑室扩大,与本例较为相似。不过结合冠状位观察本例病变部分阻塞侧脑室侧孔可能是导致左侧脑室积水主要原因;因肿瘤生长挤压侧脑室壁变形扩大且分界不清,而并非直接侵犯侧脑室壁。此表现影像鉴别尤为重要,本例肿瘤DWI呈现较高信号,提示弥散受限,且MRS提示Cho/Cr明显升高,易与侧脑室好发恶性肿瘤混淆。术后回顾分析图像本例以实性为主伴少量钙化,不伴水肿及周围组织侵犯,发生于孟氏孔附近,符合节细胞胶质瘤良性表现,但考虑到弥散受限以及MRS中Cho/Cr明显升高,笔者认为不除外肿瘤向更高级别演变可能,这需结合临床长期随访,总结经验。
聂磊,郑彬,吕强,等.儿童侧脑室内节细胞胶质瘤的影像特点[DB/OL].中国临床案例成果数据库,2023(2023-02-07).http://journal.yiigle.com/LinkIn.do?linkin_type=cma&DOI=10.3760/cma.j.cmcr.2023.e00438.
所有作者均声明本研究不存在利益冲突





















