
患者,女性,67岁,因"发现盆腔包块1个月"入院。患者绝经20年,1个月前体检发现CEA 155.4 ng/ml,CA199>1000 U/ml,CA125 168.4 U/ml,妇科B超提示:左侧附件区混合结构,大小4.2 cm×1.8 cm×1.5 cm);下腹部及盆腔核磁共振提示左侧附件区肿块,大小3.7 cm×2.2 cm×2.0 cm,考虑左附件恶性肿瘤,输卵管恶性肿瘤可能。
无异常阴道出血、流液等不适,偶有间歇性腹痛。左侧盆腔扪及约4 cm肿块。
切除左侧附件术中冰冻诊断左侧输卵管腺癌,常规病理检查及免疫组织化学检查。
全子宫+双侧输卵管卵巢切除+盆腔淋巴结清扫+腹主动脉旁淋巴结清扫。
术后半个月余,准备化疗。
妇产科;病理科
版权归中华医学会所有。本文为遵循CC-BY-NC-ND协议的开放获取文章。
宫颈胃型腺体病变是一组非HPV相关性腺体病变,因此,难以通过HPV筛查的方法早发现早治疗。宫颈胃型腺癌常常呈内生性,具有隐匿性,比HPV相关性腺癌更具侵袭性,因此预后差。女性生殖道其他部位表现出胃(胃肠)型分化绝大多数情况下与子宫颈病变密切相关,随着对胃(胃肠)型黏液腺体病变的进一步认识,子宫内膜、阴道、输卵管原发性胃(胃肠)型黏液腺体病变个案逐渐被报道[1,2,3,4,5]。本文报道1例同时发生于宫腔及输卵管的胃肠型黏液腺癌,通过全面的大体检查、充分取材、组织学检查及免疫组化检查,并仔细询问病史确诊。
患者,女性,67岁,因"发现盆腔包块1个月"入院。患者绝经20年,1个月前体检发现CEA 155.4 ng/ml,CA199>1000 U/ml,CA125 168.4 U/ml,妇科B超提示:妇科B超提示:左侧附件区混合结构(4.2 cm×1.8 cm×1.5 cm);下腹部及盆腔核磁共振提示左侧附件区肿块(3.7 cm×2.2 cm×2.0 cm),考虑左附件恶性肿瘤,输卵管恶性肿瘤可能。患者自然绝经后无激素替代史,生育情况:[1]-[0]-[1]-[1]。入院后全麻下切除全子宫+双侧附件,快速冰冻病理检查,诊断为"左侧输卵管腺癌"后再行大网膜切除术、盆腔淋巴结清扫术、腹主动脉旁淋巴结清扫术。术前胃、肠镜检查未见异常。患者无黑斑息肉综合征(即P-J综合征)或P-J综合征家族史。
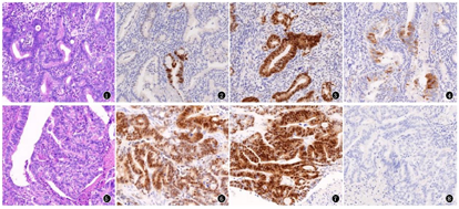
大体检查:左侧输卵管壶腹部呈腊肠样增粗,大小3.5 cm×1.5 cm,外表面光滑,未见肿块累及,切面管腔内见灰白色、质脆、实性肿物。左侧输卵管近端无明显增粗,呈闭塞状。宫腔内膜薄,局灶见灰黄色针尖样病灶。对侧输卵管及删除卵巢未见异常。
镜下检查:子宫内膜见黏液性腺体取代了子宫内膜腺体形成原位胃型腺癌形态,不规则腺体或细胞团浸润子宫浅肌层。细胞透亮、嗜酸性或泡沫状,边界清楚,细胞核具有明显异型性(图1)。输卵管腔内肿瘤呈腺管状、实性片状及乳头状结构,肿瘤细胞核浆比增大,核染色质粗,核分裂像多见,少量细胞质呈黏液性。癌周输卵管黏膜被覆单层黏液性上皮,与肿瘤成分存在移行过程(图5)。左侧输卵管近端经全部取材,未见子宫内膜病灶和左侧输卵管病灶有移行过程。


免疫组织化学检查:左侧输卵管病灶及宫腔病灶均表达CK7,P16均呈斑驳阳性。CDX2在子宫内膜病灶中灶性表达(图2),而在输卵管病灶中呈弥漫阳性(图6)。CK20、SATB2、PAX8、雌激素受体(ER)、孕激素受体(PR)均阴性,P53在两病灶中均呈弥漫强阳性突变表型(图3,图7)。MUC-6在子宫内膜病灶呈灶性阳性(图4),在左侧输卵管病灶中为阴性(图8)。
诊断:左侧输卵管浸润性胃肠型腺癌,子宫内膜局灶浸润性胃肠型腺癌。符合"女性生殖道同期发生的黏液性上皮化生或肿瘤"。
诊断思路:子宫内膜和输卵管黏膜局灶均见黏液性腺上皮取代了原来的上皮,黏液上皮胞质透亮、苍白或泡沫状、边界清楚,具有胃型分化的特征,两病灶免疫组化CDX2不同程度阳性,ER、PR均阴性,P53均呈突变表达,子宫内膜MUC-6灶性阳性,提示非苗勒氏管型肿瘤。结合大体检查,左侧输卵管病灶位于输卵管管腔中,胃肠镜结果阴性等可排除胃肠道转移,考虑为女性生殖系统原发性胃肠型腺癌。胃型腺癌最常见于子宫颈,本例宫颈经全部取材未见病变。左侧输卵管肿块位于壶腹部,近端与子宫角相连段无扩张,呈闭塞状,经全部取材,未发现子宫腔病灶与输卵管病灶有移行过程,且两浸润灶均有对应的原位癌病灶,两者免疫组化绝大部分相同,但MUC-6和CDX2的表达存在差异,故认为是两者为各自原发。符合"女性生殖道同期发生的黏液性上皮化生或肿瘤"。
患者行全子宫+双侧输卵管卵巢切除术+大网膜切除术+盆腔淋巴结清扫术+腹主动脉旁淋巴结清扫术,术后备化疗。
术后半个月余,准备化疗。
绝大多数情况下,子宫内膜腺体表现出胃肠型分化多为子宫颈胃型腺体病变的蔓延或累及。2020年,Wong等[6]对9例原发性子宫内膜黏液性病变进行了组织学、免疫组织化学及分子检测,提出了"子宫内膜胃肠型黏液性病变"的概念,此类病变可以看到胃和肠分化谱系,因此,他们建议采用"胃(胃肠)型"可能更准确。2020年《WHO女性生殖器官肿瘤分类》在修正时,采纳了他们的建议,将"子宫内膜黏液腺癌,肠型"修正为"子宫内膜黏液腺癌,胃(胃肠)型"。Wong等建议应根据细胞是否存在不典型可诊断为"胃(胃肠)型黏液化生"和"胃(胃肠)型不典型黏液增生",存在浸润则应诊断为"胃(胃肠)型黏液腺癌"。
Wong等提出了胃肠型黏液腺体病变的诊断标准[6]:(1)具有胃(胃肠)型分化的细胞形态,细胞胞质丰富、嗜酸性、泡沫状或透亮,边界清楚和/或可见杯状细胞;(2)排除其他原发部位;(3)无典型的子宫内膜样成分;(4)宫颈完整取材,未发现胃型腺体病变;(5)表达一种或多种胃肠道标记物,可以为局灶性表达;(6)如为浸润性腺癌,ER表达缺失或极少(<5%);(7)可能存在神经内分泌细胞,表达CgA。我们的病例子宫内膜病灶均符合上述标准。
众所周知,宫颈原发性胃型腺癌中,低级别腺癌(微偏腺癌)与高级别腺癌具有相同的生物学行为及预后[7]。因此本例子宫内膜浸润性胃(胃肠)型黏液腺癌不建议使用子宫体子宫内膜样癌的FIGO分级系统,如果应用该分级系统,本例FIGO分级为1级,其侵袭性行为会被低估。子宫内膜浸润性胃(胃肠)型黏液腺癌应与子宫内膜样癌区分开来,作为高级别腺癌进行治疗。
与宫颈良性胃型腺体病变一样,子宫内膜胃(胃肠)型黏液化生也应予以重视,可能存在潜在恶性。然而,对于形态温和、缺乏肠化细胞或不伴有类似宫颈叶状增生形态的病例,诊断胃(胃肠)型黏液性化生很困难。胃型分化腺体最常用的免疫组化标记物是MUC6和HIK1083。一系列研究发现MUC6在子宫内膜非肿瘤性病变中和其他类型的肿瘤中都存在不同程度的表达[8,9,10],因此MUC-6特异性较差。HIK1083抗体虽然有一定的特异性,但是还未普遍用于临床。在这种情况下,将形态学和免疫组织化学相结合有助于子宫内膜胃(胃肠)型化生的诊断。
输卵管原发性胃型腺癌更为罕见,多为个案报道,Bronte Anaut等[11]报道了1例与P-J综合征有关的输卵管原发性胃型腺癌,我们的病例与P-J综合征无关。输卵管原发性胃肠型腺癌诊断还未有统一标准,这里作者认为可以借鉴子宫内膜原发性胃肠型腺体病变的标准,(1)存在胃(胃肠)型形态;(2)未发现其他原发部位或证实与其他部位无关(充分取样);(3)至少一种或多种胃肠道标记物(如MUC6、CK20和CDX2)的局灶性表达;(4)胃(胃肠)型黏液腺癌的ER表达缺失或极少(<5%)。本例输卵管病变也符合上述标准。同时还要注意到一些累及输卵管的宫颈转移性胃型腺癌呈上皮内扩散的现象,类似于原发性输卵管肿瘤,充分取材及免疫组化有助于鉴别。Rajendran等[12]的研究将输卵管病灶与宫颈病灶进行免疫组化比较,两者免疫组化表达一致则认为为转移,转移性癌表现为输卵管黏膜受累,并在该部位形成类似原位癌的形态。
女性生殖道同期发生的黏液上皮化生和肿瘤(synchronous mucinous metaplasia and neoplasia of the female genital tract,SMMN-FGT)[13,14,15]一组同时累及宫颈、子宫体、输卵管和/或卵巢的多灶性黏液性病变,诊断SMMN-FGT需进行宫颈、内膜、输卵管、卵巢的充分取材,认真分析各病灶之间的关系,还要除外转移性病变。本例两病灶无移行过程,未见癌栓,免疫组化标记MUC-6和CDX2也存在不一样的表达方式,可认为两病灶为各自原发。
STK11和KRAS基因突变仍是女性生殖道胃型黏液上皮分化研究的热点。Garg等[16]通过NGS评估宫颈胃型腺癌中的161个癌症驱动基因,认为宫颈胃型腺癌具有遗传异质性。
总之,同时发生于宫腔和输卵管的胃肠型腺癌罕见,诊断是要除外宫颈来源或消化系统转移可能。充分的取材、形态学特点、完善的病史及免疫组化有助于诊断。
张浩,季淑婷,顾伟勇.同时发生于宫腔及输卵管的胃肠型黏液腺癌1例[DB/OL].中国临床案例成果数据库,2023(2023-02-08).http://journal.yiigle.com/LinkIn.do?linkin_type=cma&DOI=10.3760/cma.j.cmcr.2023.e00455.
所有作者均声明本研究不存在利益冲突





















