
患者,男,77岁,因"反复活动后胸闷、气促3+年"入院。
近半年来活动后感胸闷、气促,慢性病容,颈静脉充盈,心尖搏动触诊不清,心界向左下扩大,心律绝对不齐。
临床表现为胸闷、气促,心脏彩超提示大量心包积液,心包穿刺置管引出黄色心包积液,心包积液常规提示细胞总数18 000×106/L,有核细胞计数120×106/L,心包积液涂片查见异型细胞,心包积液的二代测序提示为山羊葡萄球菌,置信度高,结合病史(长期有饮用骆驼奶的习惯)、临床表现及实验室、影像学评估,考虑山羊葡萄球菌心包炎。
抗感染予以目标病原学治疗,并行心包穿刺置管引流术。
目标抗感染治疗14 d后,患者病情较前明显好转,无胸闷、气促、发热等不适,顺利出院。
感染科;微生物科;全科医学科;心内科;药剂科
版权归中华医学会所有。本文为遵循CC-BY-NC-ND协议的开放获取文章。
山羊葡萄球菌(Staphylococcus caprae)是一种过氧化氢酶阳性、凝固酶阴性的微生物,1983年首次从山羊奶中分离出来,后来发现在健康的人类皮肤、指甲和鼻黏膜上定植[1,2]。该菌是人类罕见的致病菌,通常不被认为与凝固酶阳性金黄色葡萄球菌具有相同的致病潜力,其易感因素包括异物植入、糖尿病、恶性肿瘤、慢性肾功能衰竭、肥胖、开放性或创伤性骨折以及与绵羊或山羊接触等[3]。近年来,山羊葡萄球菌被报道为人类医院获得性病原体,主要涉及骨科手术后骨和关节感染[4,5,6,7]。据报道,它还引起腹膜炎、脑膜炎、尿路感染、心内膜炎、眼内炎、复发性败血症、菌血症和骨髓炎等[3,7,8,9,10]。本例系山羊葡萄球菌所致心包感染,临床既往鲜见相关报道。
患者,男,77岁,因"反复活动后胸闷、气促3+年"于2022年1月6日入院,3+年来反复出现活动后胸闷和气促,休息稍缓解,活动耐量逐渐下降。2+年前以"心包积液原因"入住我院,对症支持治疗好转出院;近1年来2次入院,对症支持治疗好转出院。此次再感气促,查心超提示大量心包积液,为进一步诊治收入本院。患者慢性病容,否认糖尿病、冠心病等病史,否认药物过敏史及烟酒史。32年前诊断肺结核并予抗结核治疗6个月,17年前诊断高血压。
血常规:白细胞(WBC)4.75×109/L,中性粒细胞占比(NEUT)0.667。生化:C反应蛋白(CRP)2.51 mg/L,红细胞沉降率(ESR)5 mm/h,脑利钠肽(BNP)751.9 pg/ml,高敏肌钙蛋白I(cTnI):0.0380 μg/L。
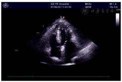
影像学检查:肺部CT示双肺散在慢性炎症和右肺上叶陈旧性结核灶,心脏彩超提示双房增大,左室壁心尖段肥厚,二尖瓣、三尖瓣轻度反流,大量心包积液(图1)。


患者入院后行肺部CT提示双肺散在慢性炎症和右肺上叶陈旧性结核灶,心脏彩超提示大量心包积液,结合陈旧性肺结核病史,慢性心包积液原因未排除结核分枝杆菌感染因素。入院诊断:1.慢性心包积液原因,结核性心包炎?肿瘤?急性心包炎?2.心尖肥厚型心肌病,心脏扩大,房颤心律,心功能Ⅲ级(NYHA分级)。3.原发性高血压1级,很高危组。4.颈部动脉粥样硬化。患者入院第5天行心包积液宏基因组二代测序(next-generation sequencing,NGS),入院第6天心包积液NGS回示山羊葡萄球菌(序列数12 668,置信度高,图2),于第9天再次复检心包积液NGS仍提示山羊葡萄球菌,出院诊断:1.慢性心包炎(山羊葡萄球菌感染);2.心尖肥厚型心肌病,心脏扩大,房颤心律,心功能Ⅲ级(NYHA分级);3.原发性高血压1级(H型),很高危组;4.多发动脉粥样硬化;5.陈旧性肺结核。


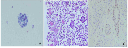
患者入院后生命体征平稳,无发热,伴胸闷、气促表现,行心包穿刺置管术,引出黄色澄清心包积液180 ml(图3)。第2天:引流出淡黄色心包积液300 ml,伤口无渗血。第3天:胸闷、气促较前好转,引流出345 ml淡血性心包积液,血培养回示阴性,抗中性粒细胞胞浆抗体(anti-neutrophil cytoplasmic antibodies,ANCA)阴性,抗核抗体谱(antinuclear ntibodies,ANAs)阴性,心包积液常规提示细胞总数18 000×106/L,有核细胞计数120×106/L,予左氧氟沙星0.5 g、静脉滴注、每日1次经验治疗。第5天:心音稍低顿,心率78次/min,引流出375 ml淡血性心包积液,心包积液腺苷脱氨酶(ADA)12.8 U/L(0~35 U/L),结核杆菌PCR检测阴性,肿瘤标志物示CA199 111.0 U/ml,CA125 995.0 U/ml,癌胚抗原1.0 ng/ml,心包积液培养回示阴性,心超示局限性中量心包腔积液。心包积液涂片查见异型细胞,心包积液送检病原微生物NGS。第6天:无胸闷、气促,颈静脉无怒张,引流出80 ml黄色澄清心包积液,心包积液NGS提示山羊葡萄球菌序列数12 688,相对丰度7.82%,该物种基因组序列被覆盖的总长度为713 330 bp,覆盖度为27.6802%,平均深度为1.3228X,肝肾功能未见异常。由于不除外标本污染可能,暂未调整治疗方案,待进一步标本复核。第7天:引流出40 ml黄色澄清心包积液,结核三项(16 kD抗体,38 kD抗体,LAM抗体)阴性,T-SPOT.TB:阳性[淋巴细胞免疫分析(抗原A)26斑点数,淋巴细胞免疫分析(抗原B)7斑点数,自身空白对照0斑点数]。心包积液涂片再次见异型细胞,病理提示:CK广(+)、CK7(+)、WT-1(+)、Calretinin(个别细胞+)、D2-40(+)、MOC- 31(+)、P53(+)、TTF-1(-)、CDX-2(-)、Ki-67(约<5%+),结合HE形态及免疫组化标记结果支持为间皮来源(图4)。第9天:未再引流出心包积液,拔掉引流管,心包积液NGS复核仍提示山羊葡萄球菌,经临床药师会诊追问病史,获悉患者2+年前有饮用骆驼奶史,调整利奈唑胺0.6 g、静脉滴注、每12小时1次行目标治疗。患者于第11天复查血常规提示WBC 4.75×109/L,NEUT 0.613,CRP 8.29 mg/L,心脏彩超提示少量心包腔积液。第14天查肿瘤标志物AFP、CEA、CA199、CA125、CA153、PSA均为阴性,病情较前明显好转,无胸闷、气促、发热等不适,于2022年1月20日出院,出院后嘱口服序贯利奈唑胺片0.6 g,口服,每日2次,7 d,定期随访。




患者出院后遵医嘱口服序贯利奈唑胺片1周,后期随访恢复良好,近1年未再有入院治疗记录。
NGS在病原微生物检测应用方面具有独特的优势,可实现对未知疾病相关微生物的快速鉴定。该技术检测种类可覆盖上千种病原微生物,不依赖于培养技术,可直接获取临床样本,包括血液、脑脊液、肺泡灌洗液、心包积液和尿液等[11]。心包积液可见于感染、自身免疫性疾病、肿瘤等疾病引起的炎症。通过临床相关检查,逐一排查病因:针对自身免疫性疾病,查ANCA、抗核抗体谱阴性,不考虑该类疾病;查心包积液肿瘤标志物CA199和CA125轻度升高,国内研究提示,CA199水平在继发性肺结核治疗前后,及与健康对照组间差异均无统计学意义,CA125水平可以作为了解继发性肺结核患者病情进展和评价治疗效果的指标[12]。另一项研究提示,CA199水平在结核性胸膜炎患者治疗前后,及与健康对照组间差异均无统计学意义,CA125水平可作为了解结核病患者病情进展和评价疗效的指标[13]。有学者研究提示CA199与心衰无明显关系,CA125是诊断和评价慢性心衰的一个良好指标,且与心衰程度相关[14]。结合该患者而言,住院期间并未抗结核治疗,病情转归后复查肿瘤标志物均为阴性,因此未予考虑CA199和CA125轻度升高的临床意义,但患者BNP水平高,不除外CA199和CA125轻度增高与心衰有一定关联。针对结核感染诊断,尽管T-SPOT.TB阳性,但斑点数并不高,且实验室提示CRP及ESR均为阴性,荧光定量PCR及结核抗体均为阴性,基于研究提示[15],既往结核病史与T-SPOT.TB假阳性独立相关,所以不考虑心包积液与结核感染相关。结合患者无发热、盗汗等临床表现,两次心包积液NGS均提示山羊葡萄球菌,且序列数及置信度高,考虑该患者心包积液由山羊葡萄球菌感染所致,细菌性心包炎临床诊断成立。
患者入院查肺部CT示双肺散在慢性炎症和右肺上叶陈旧性结核灶,心脏彩超提示大量心包积液,结合陈旧性肺结核病史,未排除结核分枝杆菌感染因素,第2天暂予左氧氟沙星(0.5 g,静脉滴注,每日1次)经验性治疗,该药属于二线抗结核药。随后第6天和第9天心包积液NGS均检出山羊葡萄球菌,该菌株所致心包感染未见相关报道,经临床药师追问病史获悉,患者无牛羊接触史及宿主免疫低下等因素,但长期有饮用骆驼奶的习惯。据笔者了解,该类产品系国内市场上散装奶制品,有些未经严格消毒处理,长期饮用可能面临着感染山羊葡萄球菌的风险,结合患者有心肌病的基础,此次发病考虑存在病原学易感因素。另外,患者血培养提示阴性,无血流感染依据,根据美国FDA批准的原研药说明书提示,利奈唑胺蛋白结合率为31%,表观分布容积为40~50 L,可分布于全身各个组织器官,综上考虑予利奈唑胺(0.6 g,静脉滴注,每日2次)行目标治疗,疗程2周,用药期间注意监测患者血小板计数及肝肾功能。D10经充分引流,复查心超回示少量心包积液。第11天未再引流出心包积液并拔掉引流管,继续药物治疗。第14天患者无胸闷、气促、发热等不适,评估治疗方案有效,查血小板计数及肝肾功能无异常,未见相关不良反应发生,准予出院带药,并序贯口服利奈唑胺片(0.6 g,口服,每日2次),嘱定期随访。此外,患者入院当天在超声引导下行心包穿刺置管引流,心包穿刺置管引流是诊断心包积液性质的重要手段,有助于临床尽快明确心包积液的病因。该患者入院心脏彩超提示大量心包积液,借助于心包穿刺置管引流,及时取得病灶靶位标本,为进一步明确病原学提供重要参考信息。与此同时,大量心包积液可出现心包压塞,甚至威胁患者生命,心包穿刺引流是缓解或解除心包压塞最直接、有效的治疗手段,在治疗策略中权重较高,具有极其重要的临床价值。该患者住院期间经过充分的引流,临床胸闷、气促表现明显转归,外科干预及时、充分、有效。
本例系1例山羊葡萄球菌所致心包炎的病例,既往鲜见报道。本例的诊断是基于NGS技术为临床及时提供病原学依据,协助精准实施目标治疗;临床药师通过病史追问,为进一步评估病原学临床意义提供重要信息。本例可为临床提供诊疗思路,值得临床借鉴与参考。
龙江华,吴玥婷,肖娟,等.山羊葡萄球菌致心包炎1例[DB/OL].中国临床案例成果数据库,2023(2023-02-08).http://journal.yiigle.com/LinkIn.do?linkin_type=cma&DOI=10.3760/cma.j.cmcr.2023.e00456.
所有作者均声明本研究不存在利益冲突





















