
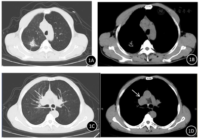
患者,男性,58岁,吸烟史20包年,半年前出现咳嗽,咳白痰,痰量多,未予重视。4 d前出现咯血,为鲜血,5~6口/d,戒烟后咳嗽、咳痰较前好转,咯血量较前减少,无发热、盗汗、胸痛、呼吸困难等不适,1 d前就诊于我院门诊,行胸部CT示"右肺上叶不规则团块影,大小约32 mm×20 mm,边缘分叶、见多发毛刺,右肺门软组织影,直径大小约42 mm×42 mm,纵隔、右侧肺门见多发肿大淋巴结,大者约34 mm"。
主要表现为咳嗽、咳痰、咯血,查体右锁骨上可触及多个肿大淋巴结,质硬,无压痛。
气管镜黏膜活检、CT引导下肺穿刺活检、超声引导下锁骨上淋巴结活检病理明确诊断为3种病理类型的多原发肺癌。
外地患者,返回当地,保守治疗。
确诊5个月后,在家中去世。
呼吸与危重医学科;肿瘤科
版权归中华医学会所有。本文为遵循CC-BY-NC-ND协议的开放获取文章。
多原发肺癌(multiple primary lung cancer,MPLC)是指同一患者肺部同时或异时发生≧2个原发肺癌,且各个癌灶并非肺内转移瘤,组织学类型可以相同或呈多样性。MPLC的诊断标准最早由Martini和Melamed于1975年提出[1],根据肿瘤发生的时间先后顺序,以6个月为界分同时性MPLC(sMPLC)及异时性MPLC(mMPLC)。随着近年胸部薄层CT的应用和筛查肺癌的意识增强,MPLC患者数量快速增加,病理类型多见于肺腺癌。我们报道1例小细胞肺癌、肺腺癌、鳞状细胞癌同时性多原发肺癌,旨在提高对本病的认识,减少误诊和漏诊。
患者,男性,58岁,2022年2月自门诊入院。主诉:咳嗽、咳痰半年,咯血4 d入院。
现病史:患者半年前劳累后出现咳嗽,咳白痰,痰量多,吸烟后加重,伴咽痛、乏力、纳差、肌肉酸痛,伴胸闷、气短,活动后加重,就诊于当地医院考虑"上呼吸道感染",予止咳、感冒药等对症治疗,肌肉酸痛、咽痛好转,仍有咳嗽、咳痰、活动后气短,未进一步诊疗。4 d前出现咯血,为鲜血,5~6口/d,戒烟后咳嗽、咳痰较前好转,咯血量较前减少,为痰中带血,无发热、盗汗,无胸痛、心悸等不适,1 d前就诊于我院门诊,行胸部CT示"右肺上叶不规则团块影,大小约32 mm×20 mm,边缘分叶、见多发毛刺",以"肺部占位肺癌可能性大"收入院。患者自起病以来,神志清楚,食欲欠佳,睡眠可,大小便正常,体重无改变。
既往史:左肘外伤术后2年,脑梗死1年,平素服用复方羊角颗粒及脑心通胶囊,无遗留肢体、言语不利等。否认肝炎、结核、疟疾病史,否认高血压病史、糖尿病史、新冠疫苗第二针接种完成。
个人史和家族史:吸烟史,吸烟40年,10支/d,未戒烟;饮酒40年,250 g白酒/d。适龄结婚,育有3女,均体健。否认家族遗传病史。
入院时查体:神志清楚,右锁骨上可触及多个肿大淋巴结,大小约3 cm×2 cm,质硬,边界清晰,固定,与周围组织粘连,无压痛。双肺呼吸音清,未闻及明显干湿性啰音。余体格检查无明显阳性体征。
入院后完善血气分析(未吸氧):pH 7.41,PaCO2 37.8 mmHg,PaO2 93 mmHg,HCO3- 23.5 mmol/L,Lac 1.1 mmol/L。降钙素原0.556 ng/ml(正常参考范围<0.1 ng/ml)。血常规:白细胞4.32×109/L,中性粒细胞0.634,嗜酸粒细胞0.028。甲状腺功能、糖化血红蛋白、肝功能、肾功能、血脂、心肌酶、尿常规、粪便常规均正常。鳞状上皮细胞癌抗原SCC 0.8 ng/ml(≤1.5 ng/ml),胃泌素释放肽前体proGRP 1101.4 pg/ml(≤70 pg/ml),骨胶素CYFRA 21-1 3.82 ng/ml(0~3.3 ng/ml),神经元特异性烯醇化酶NSE 25.70 ng/ml(0~17 ng/ml),癌胚抗原CEA 124 ng/ml(0~5 ng/ml)
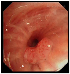
胸部CT、PET-CT、气管镜检查及病理结果(图1,图2,图3,图4,图5,图6)。












病理免疫组化结果:左肺下叶背段支气管黏膜活检:P40(+),CK5/6(+),TTF-1,NapsinA(-),Ki-67(增生活跃区域约50%),结合免疫组化,符合非角化型鳞状细胞癌。
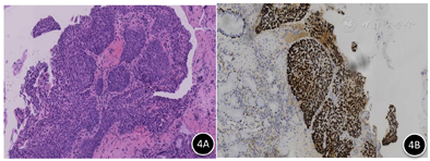
右肺上叶肺活检:肺组织中可见多灶状坏死,伴多量淋巴单核细胞及中性粒细胞浸润,局灶脓肿形成。肺泡间隔增宽、纤维化,多量Masson小体形成,仅局灶见少量具有一定异型性的不规则腺体,考虑原发性肺腺癌,免疫组化示:TTF-1(+),NapsinA(+),Ki-67(-)。
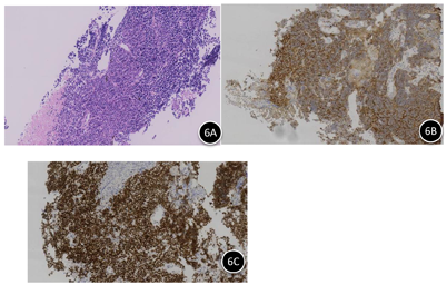
右侧颈部Ⅳ区淋巴结穿刺活检:可见低分化癌伴大片坏死,结合免疫组化考虑小细胞肺癌,不除外小细胞-非小细胞混合分化的癌,目前该穿刺组织中仅见小细胞癌成分。免疫组化示:TTF-1(弥漫强+),NapsinA(-),CK7(+),P40(-),CK5/6(-),CgA(弱+),CD56(+),Syn(+),Ki-67(90%)。
进一步取肺穿刺组织行基因检测结果显示:KRAS基因(-),TP53基因exon 5-6未检出突变,TP53基因exon 7检出错义突变,TP53基因exon 8检出错义突变。
头颅MRI:轻度脑白质脱髓鞘,左侧上颌窦黏膜下囊肿。
患者中年男性,慢性病程,主要表现为咳嗽、咳痰、咯血,查体右锁骨上可触及多个肿大淋巴结,质硬,固定,长期大量吸烟史,proGRP、NSE、CEA明显升高,胸部CT示右肺上叶不规则团块影,边缘分叶,多发毛刺,纵隔及右侧肺门可见多发肿大淋巴结。根据左肺下叶背段支气管黏膜活检为鳞状细胞癌,右肺上叶肺活检为肺腺癌,颈部淋巴结活检为小细胞肺癌。故本例患者肺癌诊断明确,为同时性多原发肺癌。鳞癌是在气管镜下发现,为早期阶段。腺癌的体积比较大,小细胞肺癌原发灶考虑为右侧肺门附近,如图1C、图1D、图2B中白色箭头所示,锁骨上淋巴结穿刺病理证实为小细胞肺癌转移,故在肿瘤标志物上proGRP、CEA明显升高,SCC正常,也符合其临床情况,最终分期:cT2N3M1c,Ⅳb期。
因为外地患者,明确诊断后返回当地,保守治疗。
患者于确诊5个月后在家中去世。
多原发肺癌(MPLC)是肺癌中的少见特殊类型。近年来随着胸部薄层CT的应用和肺癌筛查的日益增多,MPLC亦呈现增多趋势。1975年,Martini和Melamed分析了50例MPLC患者,首次提出肺实质内的多个恶性肿瘤视为与转移不同的多个原发肿瘤的标准,sMPLC:①肿瘤孤立且分离;②组织病理类型性不一致,若组织病理类型相同,但肿瘤病灶在不同肺段、肺叶、或不同侧,原位起源肿瘤,肿瘤之间无相同淋巴引流和全身转移。mMPLC:①各个癌灶组织类型不同,或均由不同的原位癌起源;②2个或2个以上癌灶组织学类型相同,但癌灶之间发病时间不同,无瘤间隔时间至少达到2年,原位起源肿瘤,或位于不同肺叶且没有相同淋巴结引流和全身转移。2003年美国胸科医师协会(ACCP)在原有基础上,对MPLC诊断标准进行进一步修订[2],将mMPLC时间间隔延长至4年以上,同时增加了分子基因诊断。然而,迄今为止,虽然诊断标准有所改进,MPLC的分类尚未达成共识。
MPLC较为少见,国内外报道MPLC的发病率有较大的差异,国外报道为6%,国内报道为0.5%[3,4],目前MPLC以多发原位腺癌为主,影像学可表现为多发磨玻璃结节,是MPLC中的特殊类型。Chen等[5]分析96例诊断MPLC患者,研究结果显示多发毛玻璃影患者5年无复发生存率为100%,多进展缓慢,分期多为Ⅰ期,推荐手术治疗,各个击破,预后良好。随着临床大夫对MPLC的认识增加,其他病理类型有所增加,但小细胞肺癌比较罕见,在目前报道的MPLC中,小细胞肺癌与鳞状细胞癌共存的仅占8.3%[6],主要以个案报道为主。曹婧等人报道1例小细胞肺癌与鳞状细胞癌同时性MPLC的诊治[7],国内国外暂无三种病理类型多原发肺癌报道。本文报告了1例罕见的同时性MPLC的病例,同一患者身上,同时发生三种不同病理类型的肺恶性肿瘤,即鳞状细胞癌、腺癌和小细胞肺癌。
MPLC的病因和发病机制尚未明确,目前多数专家学者认为是"区域性癌化"的结果[8]。其中p53抑癌基因在MPLC的"区域性癌化"理论中具有重要的作用。由于吸烟等致癌因素的持续作用,引起肺脏的气道上皮中基因发生突变,上皮中p53等位基因中一个位点先发生突变,使肺多个中心同时具有肿瘤发生的区域性癌素质,当等位基因均发生突变后导致上皮细胞增殖异常及细胞凋亡障碍[8]。Izumi等[9]使用NGS分析MPLC突变谱的研究表明,MPLC中伴随EGFR或KRAS突变的发生率明显增加,而其他大多数突变是随机发生的。非内在因素如吸烟状况、性别和年龄被认为是导致MPLC中伴随EGFR或KRAS突变的因素。本例患者基因检测结果TP53基因外显子7和8发生错义突变。TP53为抑癌基因,在正常细胞中低表达,在恶性肿瘤中高表达。有文献研究显示,约90%的SCLC和50%的NSCLC中发生改变,大部分(70%~80%)突变是错义突变,其中外显子4-8是最常见的突变类型,TP53突变是晚期肺癌OS的不良预后因素,其中不同的外显子突变预后有明显差异,其中外显子5、7、8、9这4种突变类型有良好的预后,多个外显子突变,提示预后不良。
目前对于MPLC的治疗暂无权威指南共识推荐,根据最新的ACCP指南推荐,MPLC的患者治疗前,应对每一处原发肿瘤进行TNM分期,若没有远处转移,有手术机会的病灶,手术治疗仍然是最佳选择,预后较好。对于MPLC为小细胞和非小细胞肺癌共存的患者,因小细胞肺癌恶性程度高,转移早,预后差,治疗仍具有挑战性。本例患者为外地患者,返回当地后,保守治疗,电话随访,确诊5个月后于家中去世。
本例对医生的提示,对于多发肺结节需警惕MPLC,尽可能多部位取材病理明确,警惕漏诊。尤其是对于肿瘤标志物异常升高,跟病理不匹配时,需重复取材。
郭晨霞,孙丽娜,闫崴,等.小细胞肺癌、肺腺癌、鳞状细胞癌同时性多原发肺癌诊疗1例[DB/OL].中国临床案例成果数据库,2023(2023-02-09).http://journal.yiigle.com/LinkIn.do?linkin_type=cma&DOI=10.3760/cma.j.cmcr.2023.e00465.
所有作者均声明本研究不存在利益冲突





















