
老年女性,慢性病程,主因"间断活动后胸闷、憋气3年,加重2个月余"来诊,吸入支气管扩张剂效果欠佳。既往体健,无吸烟史及粉尘接触史,无肿瘤家族史。胸部CT:左肺上叶肺门可见条片状高密度影,左侧胸腔积液,右肺中叶不张。左肺上叶支气管受压变窄。PET-CT:左肺上叶、右肺中叶肺不张,考虑支气管内膜结核可能。
颈静脉无怒张。左肺叩诊呈浊音,左肺下界上移,左肺呼吸音低,闻及散在湿性啰音。心音有力,A2<P2,心律齐,各瓣膜听诊区未及杂音。双下肢不肿。
胸腔积液常规与生化,肺功能,肺动脉增强CT,超声心动,气管镜检查。
胸腔积液置管引流;于外院置入肺动脉支架1枚,肺静脉支架5枚。
患者未再诉活动后胸闷,胸腔积液少量,肺动脉压由84 mmHg降至40 mmHg。
呼吸与危重症医学科;影像科;心血管内科;介入血管科
版权归中华医学会所有。本文为遵循CC-BY-NC-ND协议的开放获取文章。
纤维素性纵隔炎(fibrosing mediastinitis,FM)又被称为硬化性纵隔炎(sclerosing mediastinitis)或者纵隔纤维化(mediastinal fibrosis),是一种发病率极低但具潜在恶性、且治疗方式不确切良性疾病[1,2]。该病的特点是纵隔内的纤维化炎症反应旺盛,故患者通常表现出与邻近结构包括食道、心脏、气道和心脏血管受压相关的潜伏症状[3]。我们报道1例由纤维素性纵隔炎导致肺动脉及肺静脉的狭窄,从而致肺动脉高压,且胸水循环障碍致单侧漏出性胸腔积液,旨在提高对本病的认识,减少误诊和漏诊,并减少由此给患者带来的生理、心理及经济上的压力。
患者,女性,63岁,主因"间断活动后胸闷、憋气3年,加重2个月余"于2021年12月20日收住天津医科大学总医院呼吸与危重症医学科。患者入院前3年无明显诱因下出现活动后胸闷、憋气,夜间可勉强平卧,端坐位及侧卧位可缓解,伴纳差、活动耐量降低,无胸痛、咯血,无腹痛、腹泻,无低热、盗汗,偶有咳嗽、咳痰,无明显粉红色泡沫痰,无双下肢水肿,遂就诊于内蒙古自治区人民医院,查胸部增强CT提示:左肺上叶肺门旁软组织灶,恶性不除外,结合气管镜检查;左肺上叶前段、右肺中叶、下叶部分不张;双肺细支气管炎;肺门纵隔多发增大淋巴结伴钙化。完善气管镜检查报告:右肺中叶不张,左肺上叶不张,双肺支气管狭窄,予以肺泡灌洗及刷片抗酸染色涂片阴性,细胞学涂片未见恶性细胞。完善PET-CT结果:左肺上叶阻塞性肺炎、肺不张,右肺中叶肺不张,考虑感染性病变可能,双下肺炎性病变,双肺下叶多发微小结节,考虑炎性,右侧颞叶、基底节区缺血性脑梗死可能,建议MRI,额骨骨瘤,甲状腺结节,良性可能,脊柱退行性变。住院期间予抗感染、解痉平喘等治疗症状稍缓解。患者出院后规律吸入信必可都保(160 µg q12h)、噻托溴铵(18 µg qd),口服孟鲁司特降低气道高反应。患者吸入剂治疗4个月后活动后气短症状无改善,自行停药。2年前患者为复查就诊于北京朝阳医院,超声心动提示射血分数正常,估算肺动脉压正常;肺功能:轻度阻塞性通气功能障碍,弥散正常,气道激发试验阳性。完善气管镜检查:多发支气管狭窄(右肺各叶段支气管开口、左肺上叶固有段开口、左肺下叶基底段、背段)、支气管黏膜广泛病变,可见碳末沉积。病理:(左上叶固有段开口)支气管黏膜,被覆上皮未见细胞异形性,基底膜增厚,间质散在淋巴细胞、浆细胞浸润。患者入院前2个月余受凉后出现胸闷、憋气,夜间可勉强平卧,端坐位及侧卧位可缓解,伴纳差、活动耐量降低,伴咳嗽、咳痰,白色黏液痰,无胸痛、咯血,无腹痛、腹泻,无低热、盗汗,无双下肢水肿。于当地医院输抗生素(具体不详)3 d未见明显好转,遂就诊于内蒙古巴彦淖尔市医院,查胸CT示:左肺上叶见大片状高密度影,近肺门处见软组织影,周围有炎性渗出,对应支气管变窄,左侧大量胸腔积液,右肺中叶见三角形高密度影,尖段指向肺门。胸腔B超示:左侧胸腔可探及最大范围约134 mm×122 mm液性暗区,内透声清,右侧胸腔未探及液性暗区。予抗感染,解痉、祛痰等支持对症治疗,同时行左侧胸腔置管穿刺引流,胸水化验提示漏出液,胸水ADA、CEA及脱落细胞无异常。
再次行PET-CT检查:1.左肺上叶、右肺中叶肺不张,相应支气管内见糖代谢增高灶,并纵隔及上肺门多发糖代谢增高的钙化淋巴结,与2018.9.28本院PET/CT比较,病变较前略进展,考虑支气管内膜结核可能,建议结合气管镜检查:右肺下叶胸膜下糖代谢增高的结节,较前增大;双肺多发钙化灶;双肺间质性病变;左侧胸膜增厚;左侧胸腔积液,新出现。出院后予规律抗痨治疗,患者诉胸闷症状稍缓解。10 d前患者无明显诱因再次出现胸闷、憋气症状,且进行性加重,现夜间不能平卧。为进一步诊治收住我科。患者自本次发病以来,精神尚可,食欲正常,睡眠尚可,大便如常,小便如常,体重未见明显下降。
患者既往体健,2018年2月行食管平滑肌瘤切除术,否认高血压、糖尿病、心脏病等慢性病病史,否认输血史,否认药物过敏史。出生于内蒙古自治区,久居于当地。否认吸烟史、否认饮酒史。否认疫水疫区接触史。无工业毒物、粉尘、放射性物质接触史。无冶游史。适龄结婚,育有2女。否认家族性传染病、慢性病、肿瘤病史。入院体格检查:体温36.5℃,脉搏90次/分,呼吸19次/分,血压130/80 mmHg。神清语利,对答切题。全身皮肤黏膜无黄染,全身浅表淋巴结未及肿大。颈软,颈静脉无怒张。气管位置居中,左肺叩诊呈浊音,肺肝浊音界正常,左肺下界上移,左肺呼吸音低,闻及散在湿啰音,无哮鸣音。心界叩诊无扩大,心率90次/分,节律齐,A2<P2,各瓣膜听诊区未及杂音。腹平软,无压痛、反跳痛,肝脾肋下未及。双下肢无水肿。
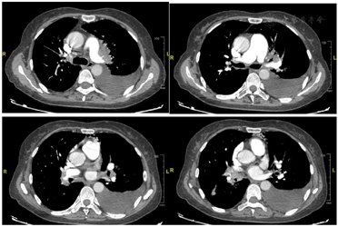
患者入院后完善血气分析、血常规、肝肾功能、电解质、凝血功能、B型钠尿肽未见明显异常。超声引导下行左侧胸腔穿刺置管引流术,胸水常规回报:淡黄色微浑胸水,比重1.010,黏蛋白定性实验1+,红细胞计数1000,有核细胞计数145,多核细胞19%,单个核细胞81%;胸水生化回报:总蛋白11 g/L,乳酸脱氢酶74.0 U/L,腺苷脱氨酶4.1 U/L,葡萄糖5.6 mmol/L,氯117 mmol/L,乳酸0.78 mmol/L。完善超声心动图提示:右心增大,二尖瓣反流(轻度),三尖瓣反流(轻-中度),左室舒张功能改变,射血分数正常,肺动脉高压(收缩压约84 mmHg)(三尖瓣反流估测)。下肢静脉超声未见血栓形成。完善气管镜检查:全麻下硬镜置入,气管环清楚,隆突锐利。左主支气管开口通畅,上下叶间嵴增宽,黏膜充血水肿;上叶黏膜充血水肿,可见碳末沉着,各叶段支气管开口闭塞;下叶黏膜充血水肿,可见碳末沉着,各叶段支气管开口狭窄。右主支气管开口通畅,上下叶间嵴增宽,黏膜充血水肿;上叶黏膜充血水肿,可见碳末沉着,各叶段支气管开口狭窄;中间干、中叶及下叶黏膜充血水肿,可见碳末沉着,中叶开口闭塞,下叶各叶段支气管开口狭窄。肺泡灌洗液细菌及真菌培养未见明显异常。肺泡灌洗液及淋巴结穿刺液X-PERT均为阴性。肺泡灌洗液流式:CD4/CD8 0.41%,巨噬细胞、鳞状细胞70.5%,淋巴细胞13.71%,中性粒细胞15.4%,嗜酸粒细胞0.39%。肺泡灌洗液NGS:细菌:表皮葡萄球菌、血链球菌;真菌:篮状菌属、绳状篮状菌、曲霉菌、杂色曲霉。病理:(左上肺门淋巴结穿刺细胞保存液)材料为多量红细胞及个别炎细胞。完善肺动脉增强CT(图1):两肺门增大,其内肺动脉不规则受侵,以左肺上叶、右肺中下叶受侵为著,右肺中叶支气管闭塞,右肺中叶不张,左肺上叶支气管受压变窄,以远左肺上叶肺组织可见大片实变影、树芽影及索条影;肺静脉受压变窄;两肺门及纵隔内多发肿大淋巴结;左侧胸腔引流管,左侧胸腔积液,右侧叶间积液。


患者为老年女性,慢性病程,主因"间断活动后胸闷、憋气3年,加重2个月余"来诊,吸入支气管扩张剂效果欠佳。既往体健,无吸烟史及粉尘接触史,无肿瘤家族史。结合入院后相关辅助检查,主要表现为软组织密度影、肺动脉高压、肺动脉狭窄、肺静脉狭窄、单侧漏出性胸腔积液、气管镜表现为气管黏膜广泛碳末沉着,双侧主气管多发管腔狭窄或闭塞。鉴别诊断主要从胸腔积液、肺部阴影、肺动脉高压等方面入手,结合患者相关辅助检查,排除慢性气道性疾病、肺结核、肺肿瘤、肺栓塞、心衰等常见病可能,考虑患者为少见病。后通过检索文献及多学科会诊,考虑诊断为纤维素性纵隔炎。
1.一般治疗:予心电监护,记出入量及引流量;2.予利尿,保证出入量负平衡;3.予胸腔积液引流。
患者经上述治疗后胸闷、憋气症状较前好转,复查超声心动图,提示估算肺动脉收缩压下降至72 mmHg。后依据多学科会诊建议,转诊至外院行支架介入治疗。电话随访患者,分两次共置入肺静脉支架5枚,肺动脉支架1枚,目前无胸闷、憋气症状,当地复查超声心动图估算肺动脉收缩压为40 mmHg,复查胸水超声提示左侧少量胸腔积液。
本例患者为老年女性,院外胸腔积液提示为单侧漏出性胸腔积液,因患者只提供1次胸水常规生化结果且项目不全,故入院后完善超声提示左侧胸腔积液,再次留取胸水送检,仍提示漏出性胸腔积液。漏出性胸腔积液多与影响胸腔液体形成或重吸收的体循环因素相关,常见原因有充血性心力衰竭、肝硬化、肾病综合征等[4]。因患者胸闷、憋气,活动耐力下降,且夜间不能平卧,完善超声心动及B型钠尿肽明确有无心衰,结果回报没有心衰证据,但发现肺动脉高压。患者白蛋白正常,且双下肢不肿,肝未及肿大,腹部超声无肝硬化表现,显然肝硬化证据不足。患者肌酐正常,白蛋白正常,且尿蛋白阴性,也没有肾病综合征证据。该患者为单侧漏出液,且常见原因不能解释,结合患者肺动脉高压,我们有理由怀疑其胸腔积液的循环产生了问题。后完善肺动脉增强CT,提示纵隔及肺门软组织影致多发肺动脉及肺静脉狭窄。患者两肺门增大,且左肺上叶软组织密度影,但院外两次PET-CT均提示良性病变,且进展缓慢,不符合恶性肿瘤的生长方式,完善气管镜检查发现气管黏膜广泛碳末沉着,双侧主气管多发管腔狭窄或闭塞。结合患者症状、体征及相关辅助检查,基本排除常见病可能。综合患者主要临床特点检索文献并请多学科会诊后考虑诊断为纤维素性纵隔炎,致使肺动静脉狭窄、支气管狭窄、肺动脉高压、胸水循环障碍。
纤维性纵隔炎的病理生理学机制被认为是由慢性炎症和邻近原发性肉芽肿性疾病引起的纵隔结构的纤维化改变而引起的,可以通过肉芽肿破裂的直接浸润,也可以通过区域纵隔淋巴结的局部炎症过程间接引起[5]。最常见的是由组织胞浆菌病感染引起,结核、曲霉、结节病、恶性肿瘤、创伤、纵隔放疗等也可引起[6,7,8,9]。纵隔纤维化可累及中纵隔的广泛纤维组织,可压迫、包被或侵犯大支气管、上腔静脉、肺静脉或食道,常造成严重的临床后果。其虽然属于良性疾病,但进展可以导致上腔静脉阻塞、食管受压、大气道受累、肺动脉或肺静脉狭窄、喉或膈神经受压等后果。
纤维素性纵隔炎患者无典型临床症状,多表现为咳嗽、咳痰、喘憋、呼吸困难等[9,10],多为其并发症(上腔静脉阻塞、支气管狭窄、肺动脉或肺静脉狭窄等)的临床表现。纤维素性纵隔炎的诊断多通过临床表现和影像学共同建立[1],当然需除外其他累及纵隔的活动性炎症改变,尤其是支气管肺癌和淋巴增殖性疾病。纤维素性纵隔炎的CT表现[10]主要为:软组织影代替纵隔内原有的脂肪密度;不定型软组织密度影,多围绕支气管血管束分布(束管征);伴或不伴淋巴结肿大、钙化;继发多叶段的支气管及肺动脉狭窄,并发肺不张及肺动脉高压。对于疑诊纤维素性纵隔炎的患者,需完善肺功能、超声心动、气管镜检查、胸部血管增强CT等用以评估其气道、心包、肺血管等受累情况。肺功能以阻塞性通气功能障碍为主,超声心动可见肺动脉高压、舒张性心功能不全,气管镜下多表现为支气管狭窄、扭曲且可伴多发黏膜色素沉着。本例患者和张淑华等[11]回顾性分析的中日友好医院的28例纤维素性纵隔炎患者及廖纪萍等[9]回顾性分析就诊于北京大学第一医院的12例纵隔纤维化患者均符合上述表现。肺动脉高压属于FM常见且致命的并发症,但合并存在单侧漏出性胸腔积液的病例少见,故本例患者的报道丰富了FM这一罕见病的临床表现。
纤维素性纵隔炎目前的治疗主要是对症治疗,目前暂没有可以延缓甚至逆转纵隔纤维化的药物[1]。可予利尿、抗结核等治疗。但糖皮质激素治疗效果有限,旨在缓解梗阻症状的手术干预(包括气道内支架置入、肺动脉支架置入、肺静脉支架置入等)风险较高且容易发生支架再狭窄[3]。因而纤维素性纵隔炎的治疗仍需进一步探索。
综上,纤维素性纵隔炎是一种罕见病,其临床表现与其纵隔结构的浸润程度成正相关,诊断主要依据影像学表现,且属于排他性诊断。确立诊断的同时需完善相关辅助检查评价气道、食道、心脏、血管是否受累并评估受累程度。本例为顽固性单侧漏出性胸腔积液患者,国内病例少有报道,丰富了对FM的认知。治疗主要以缓解症状为主,糖皮质激素及手术治疗疗效不确切,仍需进一步探索。
杜晓艳,陈宝元,周伟,等.纤维素性纵隔炎致单侧胸腔漏出液1例[DB/OL].中国临床案例成果数据库,2023(2023-02-11).http://journal.yiigle.com/LinkIn.do?linkin_type=cma&DOI=10.3760/cma.j.cmcr.2023.e00516.
所有作者均声明本研究不存在利益冲突





















