
患者,女,69岁,左耳痛伴面瘫2个月余。患者既往体健,无家族遗传病史。
入院神志清,慢性面容,左眼不能闭,溢泪,左侧口角歪斜,左面部感觉麻木。
头部CT及MRI检查,提示"左侧面神经管增宽"。
入院完善肌电图、纯音听阈测听、头部CT及MRI等检查,行"左侧面神经鞘瘤切除术+耳大神经移植术"。术后病理提示左侧面神经垂直段神经鞘瘤。
患者术后面瘫症状逐渐好转,伸舌可自行调整居中,术后随访至今3年余,影像学检查未见肿瘤复发,面神经功能H-B Ⅲ级,定期门诊复查。
耳鼻咽喉头颈外科;神经外科;神经内科;影像科
版权归中华医学会所有。本文为遵循CC-BY-NC-ND协议的开放获取文章。
面神经鞘膜瘤(facial nerve schwannomas,FNS)是生长缓慢、罕见的良性肿瘤,起源于面神经中形成髓鞘的雪旺氏细胞。肿瘤沿神经离心蔓延生长,进而累及面神经多个节段,其中膝状神经节最常受累。就诊时,一过性或持续性面瘫是最常见的症状,其次是听力损失。目前主流的治疗方案是手术切除。现报道本院收治的1例单侧面神经垂直段鞘膜瘤的临床表现、治疗方案及预后转归,结合文献对其诊断和治疗进行探讨。
患者,女,69岁,因"左耳痛伴面瘫4个月余"入院。患者2018年12月突发左耳疼痛,伴左眼无法闭合,溢泪,左侧口角歪斜,张口时口水漏出,不能呼气,左侧面部感觉麻木,无力感强烈。无耳鸣、耳溢、听力下降,无寒战、发热等全身症状。于2019年2月21日就诊外院,诊断为左侧周围性面瘫,予以营养神经、扩血管药物及激素等保守治疗,症状改善不佳。因自觉面瘫症状进一步加重,于2019年4月5日再次至外院急诊就诊,CT提示左侧面神经管乳突段占位可能。为求进一步诊治,2019年4月18日患者来本院门诊就诊,以"左侧神经鞘膜瘤"入院治疗。患者既往体健,否认糖尿病、高血压、冠心病、传染病病史,久居原籍,无家族遗传病史。体格检查:体温36.5℃,血压120/80 mmHg(1 mmHg=0.133 kPa),神志清,慢性面容,左眼不能闭,溢泪,左侧口角歪斜,左面部感觉麻木,面神经功能H-B Ⅴ级(面部轻度可觉察运动;安静时明显不对称;运动时左额纹消失,左眼闭合露白4 mm,左口角仅轻度运动)。
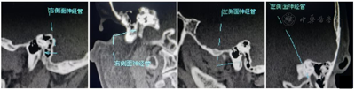
生命体征:体温36.5℃,脉搏70次/min,呼吸18次/min,血压120/80 mmHg。入院MCV测定(用脉冲电流分别刺激左右面神经,于左右眼轮匝肌及口角匝肌记录),左侧记录的神经电位波幅均降低(眼轮匝肌:左3.3 mV,右8.3 mV;口轮匝肌:左1.1 mV,右3.8 mV),提示左侧面神经病变、异常运动传导速度。神经重复刺激结果未见异常。颞骨高分辨CT示左侧面神经管较对侧增宽,局部膨大,最宽径约4.6 mm,双侧乳突气化稍差,左侧乳突黏膜略增厚(图1、图2)。




诊断:神经鞘膜瘤(左),左侧面神经功能(H-B Ⅴ级)。
诊断依据:全身症状,患者无畏寒、高热、吞咽功能障碍表现,血常规及C反应蛋白正常;局部症状,患者左眼无法闭合,溢泪,左侧口角歪斜,张口时口水漏出,不能呼气,左侧面部感觉麻木,无力感强烈;辅助检查,肌电图提示左侧面神经病变、异常运动传导速度,神经重复刺激结果未见异常,头部CT及MRI检查提示左侧面神经管增宽、局部膨大,考虑左侧面神经管乳突段占位。
鉴别诊断:(1)梅洛综合征。梅洛综合征也称唇舌水肿及面瘫综合征,表现为反复出现的面神经瘫痪和面部肿胀,合并皱襞舌。病因至今不明,可能与自主神经障碍有关,同时,因血管运动神经功能障碍引起小血管收缩、扩张异常,而出现唇舌水肿,机体免疫功能下降可诱发本病。血及脑脊液常规检查无异常,起病时血象白细胞总数可稍偏高,血糖、生化及免疫项目检查如异常则有鉴别诊断意义,基因检测可能有诊断价值,颅底摄片、CT及MRI等检查可鉴别。(2)中耳胆脂瘤。胆脂瘤是最严重的中耳疾病。在大多数情况下,胆脂瘤是由中耳裂通气不足引起的。它的特点是耳漏和听力损失,并可能导致严重的颅内和颅外并发症。(3)颈静脉球瘤。颈静脉球瘤是罕见的,通常是良性的副神经节瘤,位于颅底的颈静脉孔内和周围。由于占位效应,它们可能会导致显著的低颅神经缺损,并且作为嗜铬细胞系统(包括嗜铬细胞瘤)的一部分,它们还可能主动分泌儿茶酚胺。(4)特发性半面痉挛。不明原因引起的一侧面神经运动功能紊乱,临床上以一侧面部肌肉阵发性不自主抽搐为特点。面部感觉正常,无其他神经系统受侵表现。肌电图可出现肌纤维震颤及肌束震颤波,脑电图无癫痫波。颞骨高分辨率CT、颅脑MRI、听性脑干反应等检查可鉴别。
入院完善相应检查、检验,给予以营养神经、扩血管药物及激素等对症治疗。于4月19日在全麻下行"左侧面神经鞘瘤切除术+耳大神经移植术"。患者取平卧位,常规经口插管全麻成功后,术区常规消毒铺巾。按筛区径路,用切割钻行乳突轮廓化,暴露面神经垂直段,其面神经垂直段中部膨胀,并向周围组织侵犯,继续向上向前暴露面神经水平段,向下暴露垂直段直至茎突孔。探查病变部位见肿瘤位于垂直段中部,呈"纺锤状"约1.0 cm×0.7 cm大小,钝性剥离肿瘤,距肿瘤上下端0.2 cm安全缘处切除肿瘤,切除之肿瘤包膜完整,并切除面神经上下两断端部分组织做术中冰冻病理检查。术中病理报告为神经鞘膜瘤,安全缘阴性。于左侧取耳大神经约2.5 cm,在显微镜下修剪,并沿骨槽植于面神经两断端间,并行端-端吻合,局部放置明胶海绵,逐层缝合切口,外用敷料加压包扎,外耳道内填塞碘仿纱条(图3)。术后予以抗炎、补液、局部换药等对症治疗,术后第5天患者伸舌可自行调整居中。术后第6天听力初测正常,拆线换药见切口愈合可。外耳道填塞物已取出,外耳道通畅,未见明显血性分泌物。


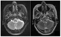
患者术后一般状态良好,诉睡眠可闭眼,伸舌可自行调整居中,听力无明显改变。术后第7天出院。分别于术后第3个月、6个月、1年、2年、3年随访,影像学检查术后乳突CT平扫+增强提示术后移植段神经在位,生长良好,未见肿瘤复发。面神经功能H-B Ⅲ级,无听力下降(图4)。


神经鞘瘤是外胚层良性肿瘤,起源于使神经轴突脱鞘的雪旺氏细胞。面神经神经鞘瘤,是一种原发于面神经的常见肿瘤,属上皮源性良性肿瘤,可发生在从小脑桥脑角到面部末端分支的面神经过程中的任何地方[1]。其发病率很低,约占颞骨疾病的0.8%,多好发于面神经乳突段(59%)和迷路段(20%),而鼓室段和颞骨外很少见(10%)[2]。肿瘤沿神经离心蔓延生长,进而累及面神经多个节段。面神经鞘瘤的术前诊断很困难,因为它们缺乏特异性的临床表现。此外,面神经功能仍然是一个挑战,因为在手术过程中可能会发生面神经的意外损伤[3]。本例创新之处在于充分利用原有面神经骨槽,使得移植段固定良好,断端吻合对接可靠稳定,无须缝合。
本病常见于中年女性,起病隐匿,早期可无症状。临床表现与肿瘤所在部位、肿瘤大小及侵犯范围有关。进行性面瘫是本病的主要症状,个别可突然发生或反复发作,面瘫前可出现面肌痉挛。当肿瘤侵犯中耳时,耳聋可为传导性,侵犯内耳道时则为神经性,常伴耳鸣、眩晕、平衡失调。当面部、耳部疼痛,或肿瘤位于鼓室段、乳突段并侵及中耳、乳突且合并感染时,耳内出现流脓。岩浅大神经被侵犯时可出现溢泪异常,蹬骨肌支受累时可出现听觉过敏,鼓索神经受侵犯时,还可能出现一侧舌部味觉异常。而腮腺内面神经瘤可仅表现为耳下肿块和面瘫[4]。虽然常见的症状包括不对称性听力损失和面部无力,但当肿瘤位于桥小脑角区时,患者也经常出现面肌痉挛、头痛、占位效应、脑积水或非特异性症状[5]。
本病诊断复杂,根据病史、体征、实验室检查及辅助检查可基本明确诊断。电反应试验、定位试验、听力学检查、前庭功能试验以及细针穿刺细胞学检查是FNS的主要诊断手段,对疾病程度都有直观显示。辅助影像学手段如CT、MRI是重要手段。颞骨CT可显示面神经管的骨质破坏及其范围,以及中耳乳突内的软组织影。CT扫描中的面神经神经鞘瘤通常表现为圆形边界,增强软组织肿块。而MRI作为首选的成像方式,可显示轻度低信号或等信号T1和不均匀高信号T2加权图像。然而,这些影像学表现与多形性腺瘤、血管瘤、良性淋巴上皮病变和腺泡细胞癌相似[2]。钆增强MRI可显示肿瘤及其侵犯范围,颅脑MRI有助显示位于颅内的肿瘤。而对于暴露于颞骨外侧的面神经,细针抽吸细胞学(FNAC)是一种安全且简单的肿块评估方法。诊断面神经鞘瘤的准确率仅为22%~33%,现在使用超声引导来准确检测所需的采样部位。诊断准确率高达97%,无须术中冰冻切片[6]。
对于进行性生长或症状恶化的肿瘤,目前主流的治疗方案是尽快行手术切除,最大限度保留面神经功能,但要严格掌握手术适应症,建议在面神经功能H-B分级大于Ⅲ级或者影响内耳功能时才可考虑手术。对已确诊的神经鞘膜瘤,如肿瘤生长慢,面神经功能仅有轻度障碍而患者又不愿立即手术的患者,在严密的观察下可暂缓手术。并充分利用原有面神经骨槽,进而移植段固定良好,断端无须缝合,需注意面神经移植段应比骨槽长1~2 cm。关于面神经移植材料的选择,作者考虑耳大神经因其直径、大小相互匹配,神经长度足够,适用于从内听道到茎乳孔进行移植,它是非常理想的神经移植供体。此外,术中彻底切除鞘膜瘤对吻合端轴突顺利再生有重要意义,所以术中对面神经断端组织做冰冻病理检查十分必要。
与前庭神经鞘瘤相比,FNS的生长速度较慢且治疗后复发率更高[7]。鼓室神经鞘瘤主要引起传导性听力损失,随访时更容易出现面瘫。内耳道或小脑桥脑角神经鞘瘤表现为明显更多的感音神经性听力损失。治疗方案,包括保守治疗(67.5%)、手术治疗(30%)和放射治疗(2.5%)[8]。在完全切除肿瘤的基础上,尽可能保存或恢复面神经功能是本病的治疗原则。手术径路应按肿瘤所在部位及侵犯范围做出选择,如乳突径路、颅中窝径路或乳突径路联合颅中窝径路等。面神经切除后,缺损的部分可进行端端吻合或面神经移植术。术中应尽可能保留听力。
武舜钰,程寅,王天宇,等.面神经鞘瘤切除同期耳大神经移植1例[DB/OL].中国临床案例成果数据库,2023(2023-02-11).http://journal.yiigle.com/LinkIn.do?linkin_type=cma&DOI=10.3760/cma.j.cmcr.2023.e00524.
所有作者均声明本研究不存在利益冲突





















