
例1,男性,57岁,主诉为右侧腰腿痛1年余,加重半个月。患者1年前无明显诱因下出现右侧腰腿麻木疼痛不适,行走活动后明显加重,平卧休息时症状能缓解,半月前患者疼痛症状加重,夜间明显,白天减轻,于当地医院查腰椎CT示:L5/S1水平椎管内稍高密度影并向右侧侧隐窝延伸,腰椎增强MRI示:L5~S1后方椎管内右侧良性占位,考虑神经源性肿瘤,神经纤维瘤伴出血可能,遂来院就诊。门诊以"腰管内占位性病变查因"于2021年6月9日收住入院。例2,女性,55岁,主诉为左侧腰腿剧烈疼痛2周。患者2年前无明显诱因下出现左侧腰疼,行走活动后明显加重,平卧休息时症状能缓解,半月前患者疼痛症状加重,夜间明显,白天减轻,当地医院MR示:L5/S1椎间盘面椎管左侧占位。遂来院就诊,查MRI检查示:L5~S1水平椎体内左侧神经根走形处病灶,考虑神经鞘瘤可能性大。CT示:L5~S1水平椎体内左侧神经根走行处见类圆形稍低密度影,大小约1.8 cm×1.1 cm,结合腰椎MR,考虑神经鞘瘤可能。患者于2017年4月3日收住入院。
例1于1年前无明显诱因下出现右侧腰腿右小腿麻木疼痛不适,行走活动后明显加重,平卧休息时症状能缓解,不适感夜间明显,白天减轻。例2患者2年前无明显诱因下出现左侧腰疼,行走活动后明显加重,平卧休息时症状能缓解,半月前患者疼痛症状加重,夜间明显,白天减轻。
结合临床病史、影像学检查,综合病理学检查结果,两例均诊断为恶性黑色素性神经鞘膜肿瘤。
2例患者均于在全麻下行手术切除,予以止血、营养神经、抗感染、化痰、护胃、镇痛、补液等对症支持治疗。
患者术后恢复良好,复查腰椎MRI提示减压效果满意。随访时期内,患者健在,肿物未见复发。
神经外科;骨科;脊柱骨科;肿瘤科;病理科;放射诊断科
版权归中华医学会所有。本文为遵循CC-BY-NC-ND协议的开放获取文章。
恶性黑色素性神经鞘膜肿瘤(malignant melanotic nerve sheath tumor,MMNST),旧称黑色素性神经鞘瘤(melanotic schwannoma,MS),是一种罕见的神经鞘瘤,其发病率不足神经鞘瘤的1%。MMNST常常单发,偶发多见,患者年龄在30~40岁。自1931年Millar报道首例确诊病例以来,全球仅有近200篇报道。本文报道2例MMNST,探讨其临床病理学特征、诊断和鉴别诊断,并进行文献复习,旨在提高对该病的认识水平,为临床诊断提供帮助。
例1,男性,57岁,主诉为右侧腰腿痛1年余,加重半个月。患者1年前无明显诱因下出现右侧腰腿麻木疼痛不适,行走活动后明显加重,平卧休息时症状能缓解,半月前患者疼痛症状加重,夜间明显,白天减轻,于当地医院查腰椎CT示:L5/S1水平椎管内稍高密度影并向右侧侧隐窝延伸。腰椎增强MRI示:L5~S1后方椎管内右侧良性占位,考虑神经源性肿瘤,神经纤维瘤伴出血可能,遂来院就诊。门诊以"腰管内占位性病变"收住入院。病程中患者无头晕头疼,无畏寒发热,无咳嗽咳痰,无恶心呕吐,无胸闷胸痛,无呼吸困难,无腹痛腹泻,无乏力纳差。食纳睡眠可,二便如常,精神尚可,体重未见明显减轻。
例2,女性,55岁,主诉为左侧腰腿剧烈疼痛2周。患者2年前无明显诱因下出现左侧腰疼,行走活动后明显加重,平卧休息时症状能缓解,半月前患者疼痛症状加重,夜间明显,白天减轻,当地医院MR示:L5/S1椎间盘面椎管左侧占位。遂来院就诊,我院MRI检查示:L5~S1水平椎体内左侧神经根走形处病灶,考虑神经鞘瘤可能性大。CT示:L5~S1水平椎体内左侧神经根走行处见类圆形稍低密度影,大小约1.8 cm×1.1 cm,结合腰椎MR,考虑神经鞘瘤可能。患者于2017年4月3日收住入院。
例1于2021年6月13日行多排CT腰椎平扫(6个椎体)。检查所见:腰椎生理弯曲变直。L5椎体水平椎管右侧条片状软组织密度影,大小约3.6 cm×1.8 cm。2021年6月13日腰椎MR3T(平扫+增强)扫描示L5椎体水平椎管右侧占位、右侧椎间孔增大、明显强化,考虑神经鞘瘤可能。患者于2021年6月15日行手术治疗,术中送检快速病理。标本眼观:(L5~S1椎管内外肿瘤)暗红色碎组织,大小合计4 cm×4 cm×1 cm。镜下病理诊断:(L5占位)考虑富含黑色素病变,色素性神经鞘瘤待排除。
例2于2017年4月3日骨科门诊行磁共振腰椎MR1.5T增强扫描(图1)示L5~S1水平椎体内左侧神经根走行处病灶,考虑神经鞘瘤可能大。L5~S1椎间盘突出。腰椎退变。2017年4月10日多排CT腰椎平扫(椎间盘L2~S1)示:L5~S1水平椎体内左侧神经根走行处见类圆形稍低密度影,大小约1.8 cm×1.1 cm。L5~S1水平椎体内左侧神经根走行处病灶,结合2017年4月3日腰椎MR,考虑神经鞘瘤可能。2017年4月15日术后病理:(L5~S1神经根)卵圆形肿物1枚,大小1.5 cm×1.0 cm×1.0 cm,肿物切面灰白质地韧。镜下病理诊断:考虑神经源性肿瘤,大小1.5 cm×1.0 cm×1.0 cm。


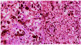
例1、例2确诊均依靠病理诊断,常规病理镜检:低倍镜下,2例均可见大量色素弥散分布,覆盖肿瘤细胞,肿瘤细胞巢周围可见神经分布。高倍镜下,可于色素间见散在分布的肿瘤细胞,肿瘤细胞呈圆形、卵圆形或短梭形。肿瘤细胞呈实性巢片样分布,其间可见散在分布的玻璃样变纤维组织;肿瘤细胞呈多边形,铺路石样或镶嵌样,细胞质丰富,肿瘤细胞核呈空泡样,核膜清楚,部分核膜皱缩不规则,可见小核仁,未见核分裂象(图2)。肿物免疫表型和分子病理:HMB-45阳性,MelanA阳性,SOX-10阳性,S-100阳性,Ki-67灶性阳性,EMA、AE1/3、CAM5.2、GFAP阴性(图3)。分子检查未发现PRKAR1A、RET、BRCA1、MLH1、MLH2及其他同源重组修复基因胚系致病突变。




故结合临床病史、影像学检查,综合病理学检查结果,2例均诊断为MMNST。该疾病通过临床表现、镜下组织学形态、免疫组织化学染色、基因检测需要与普通型神经鞘瘤、转移性恶性黑色素瘤、黑色素细胞肿瘤、色素性神经纤维瘤、色素性隆突性皮肤纤维肉瘤、软组织透明细胞肉瘤、恶性周围神经鞘膜等相鉴别。
例1患者于2021年6月15日在全麻下行:1.硬脊膜下病变切除术;2.椎管扩大成形术,双开门;3.椎管扩大成形术,单开门;4.脊神经根减压术;5.脊髓和神经根粘连的松解术。例2患者于2017年4月11日行在全麻下行:1.硬脊膜下病变切除术;2.椎管扩大成形术,双开门;3.椎管扩大成形术,单开门;4.脊神经根减压术;5.脊髓和神经根粘连的松解术。手术顺利,术后安返,予以止血、营养神经、抗感染、化痰、护胃、镇痛、补液等对症支持治疗,病情密观。患者术后恢复良好,复查腰椎MRI提示减压效果满意,患者术后恢复可,病情平稳。
术后密切随访患者,2例患者术后影像学检查:2021年6月20日例1出院前腰椎MR3T(平扫+增强)扫描示,L5椎体水平椎管占位术后,术区边缘强化;2017年4月13日例2腰椎正、侧位DR示,腰椎术后,腰椎生理弧度存在,各椎间隙未见明显狭窄,椎体边缘骨质增生变尖。
MMNST是一种罕见的、具有双向分化潜能的、以分泌黑色素为特征的神经鞘瘤。其最常见于颈段和胸段脊神经,好发于中枢神经根和交感神经,发生于头面部、眼眶、口腔、腮腺、食管、胃、后腹膜、软组织和骨、外阴等处的MMNST也均有文献报道[1,2]。1931年Millar[3]首次报道1例确诊病例,将病变描述为"神经节细胞的恶性黑色素瘤",自Millar首次报道以来,全球有约200例报道。
MMNST的临床表现取决于肿瘤发生的部位和生长速度,其可分为砂砾体型和经典型,砂砾体型和经典型的临床病理特征相似,砂砾体型MMNST发病率为10%~40%,患者可伴有颜面部皮肤色素沉着,心脏黏液瘤和内分泌功能亢进。有研究表明,约50%的Carney综合征(Carney complex,CNC)与砂砾体型MMNST相关[4]。CNC是一种常染色体显性遗传病,于1985年首次报道,目前的研究认为,CNC与17号染色体的长臂基因PRKAR1A基因有关[5]。因此MMNST的发病与PRKAR1A基因也存在一定相关性。本文2例患者分子病理结果提示,未发现PRKAR1A基因突变,且仔细观察,本文2例患者镜下均未见砂砾体(分层状的钙化小球),故暂不考虑CNC的诊断。MMNST肿瘤内含大量黑色素颗粒,黑色素颗粒中的稳定自由基团在磁场中呈顺磁性,减少核磁中T1、T2的弛豫时间,因此表现出T1W1高信号、T2W1极低信号[6,7]。因此核磁是诊断MMNST的首选影像学检查方法。
MMNST镜下边界清楚但无包膜,由梭形细胞至上皮样细胞组成,呈束状或交织状、巢状排列,胞质内可见色素性颗粒,色素多的时候可将核掩盖;通常无Verocay小体、微囊、厚壁血管等普通型神经鞘瘤常见的组织学特征。部分细胞胞质内可见空泡,类似成熟脂肪细胞;瘤细胞核圆形、卵圆形或伸展,染色质细腻,可见小核仁,核分裂罕见。MMNST的免疫组织化学染色结果在不同病例报道中不尽相同,但多数病理S-100,HMB-45呈阳性。但也有研究提示,MMNST和黑色素瘤都可以表达S-100和其他黑色素细胞标志物,网状蛋白染色在区分MMNST和黑色素瘤方面有重要意义,在MMNST中,有丰富的网织蛋白网包绕着每个单独的肿瘤细胞,而在黑色素瘤,巢状或更大规模的肿瘤细胞被网织蛋白纤维包绕[8]。
鉴别诊断:(1)普通型神经鞘瘤,在消化道外最常见于头颈和四肢皮肤/皮下,其次脊髓硬膜下、桥小脑角等,在消化道内,最常见于胃,中枢和脊髓很少发生。其缺乏砂砾体和黑色素沉积,HMB-45等黑色细胞标志阴性。(2)转移性恶性黑色素瘤,通常与皮肤关系密切,常有明显的核异型增生和核分裂以及坏死等;缺乏砂砾体,遗传上90%以上可出现BRAF V600E突变。(3)黑色素细胞肿瘤,常发生于脑膜,无砂砾体沉积,无细胞周的基底膜样物质围绕,无脂肪样细胞,可出现GNAQ和GNA11突变。(4)色素性神经纤维瘤,瘤细胞梭形为主,胞浆稀少,核伸展,无核仁,免疫组化染色CD34阳性。(5)色素性隆突性皮肤纤维肉瘤,弥漫的细纹状排列,黑色素沉积不明显,免疫组化染色CD34弥漫表达,可出现PDGFB-COL1A1融合。(6)软组织透明细胞肉瘤(clear cell sarcoma,CCS),恶性间叶源性肿瘤,最常发生于青年人的肢体末端,表现为独特的巢团状结构,并且有黑色素细胞分化,但黑色素沉积不明显,部分区域可见多核巨细胞,细胞核位于周围排列,呈花环状,缺乏砂砾体,在分子方面具有EWSR1-ATF1基因融合[9]。(7)恶性周围神经鞘膜瘤(malignant peripheral nerve sheath tumor,MPNST)是一种起源于周围神经或显示有神经鞘膜不同成分分化的恶性肿瘤,多起源于颈部、前臂、下肢和臀部的大神经,患者多有神经纤维瘤病史。镜下可见肿瘤起自于神经,或在神经内扩展,或累及神经节,或在肿瘤内能看到孤立性或丛状神经纤维瘤的成分。镜下可见地图样坏死,坏死区周围细胞呈栅栏样排列,血管周围常见密集的瘤细胞,瘤细胞似施万细胞的形态特点,核深染,核端呈圆形或锥形,核分裂象易见,可呈细长的波浪状,可见具有明显多形性的大细胞,并常见多核巨细胞。免疫组化上,HMB-45、Melan-A阴性[10]。
MMNST旧称MS,以往的研究认为,MS的生物学行为具有恶性潜能,后续生物学行为往往难以估计,患者术后可复发、浸润周围组织和远处转移,但术后出现浸润周围组织和远处转移的病例临床罕见。Torres-Mora等[11]于2014年对40例MMNST(时称:MS)病例进行了临床病理分析,发现肿瘤表达S100蛋白(21/25,84%)、Melan-A(23/25,92%)、HMB45(25/25,100%)、酪氨酸酶(25/25,100%)、GFAP(0/24,0%),EMA(0/9,0%),SMARCB1(25/25,100%)和ASMTL(5/19,26%);(7/20,35%)PRKAR1A表达缺失,(23/25,92%)Ki-67表达指数<5%,(2/25,8%)Ki-67表达指数为5%~10%。基因表达谱显示MS、黑色素瘤和普通型神经鞘瘤之间存在显著差异。临床随访发现,35%的患者出现局部复发,44%的患者发生了转移。因此,Torres-Mora等[11]认为MS是恶性肿瘤,而不是具有不可预测行为的良性肿瘤,并建议将其重新分类为"恶性黑色素性许旺氏肿瘤(malignant melanotic schwannian tumors)"。Solomou等[12]进行文献回顾显示,超过半数(51.4%)的患者出现了转移或局部复发或两者兼有。由于该病有局部复发和广泛转移的倾向,越来越多的学者认为MS应该被当作恶性肿瘤诊治。第5版《WHO软组织和骨肿瘤分类》将其重新分类为"MMNSTs"[13]。Shui等[14]报道了1例MMNST软脑膜播散病例,患者为21岁的女性,左椎间孔L5/S1的MMNST,在术后仅4个月内复发并出现软脑膜播散。Jackson等[15]也报道了MNST转移病例,患者为60岁女性,其骶前肿块被诊断为MMNST,分子检查发现TERT启动子-124C>T和TET2 Q891*基因突变。在其确诊2年内,出现了肿瘤广泛转移并合并胸腔积液,胸水细胞学检查证实为MMNST转移。目前MMNST尚无标准化治疗指南,手术是其主要的治疗措施,放射治疗、免疫治疗、药物治疗等的治疗效果也尚无定论。彻底的手术切除、保护周围解剖结构是避免肿瘤局部复发和保留功能的有效治疗方法[16]。
张凯健.恶性黑色素性神经鞘膜肿瘤2例临床病理分析[DB/OL].中国临床案例成果数据库,2023(2023-02-12).http://journal.yiigle.com/LinkIn.do?linkin_type=cma&DOI=10.3760/cma.j.cmcr.2023.e00530.
所有作者均声明本研究不存在利益冲突





















