
患者,男性,59岁,自述1年来上前牙逐渐松动,影响进食,于2017年1月来我院种植科要求种植义齿修复治疗。
15、16、24、25、26、27缺失,已行可摘局部义齿修复;14-22Ⅲ度松动、17Ⅱ度松动、18Ⅰ度松动,牙龈萎缩,部分牙根暴露。36、47缺失,已行可摘局部义齿修复;45、46Ⅰ度松动。
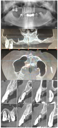
口内及颌面部检查、根尖片、曲面体层片、CBCT检查。曲面体层片示11、21牙槽骨吸收至根尖1/3;12、14、17、22牙槽骨吸收超出根尖,12、22根尖圆形低密度影像;18、13、23、35、45、46牙槽骨吸收至根长2/3。诊断:1.上下颌牙列缺损。2.毛氏Ⅱ类5分类。3.广泛型Ⅳ期牙周炎。4.37深龋。
拔除上颌余留牙,采用All-on-4®术式[1],右侧上颌窦底侧壁开窗提升,利用上颌窦底与鼻底皮质骨固定,不植骨倾斜植入种植体,完成上颌即刻种植即刻修复。
上颌种植修复5年后,种植体周围软硬组织稳定,患者美学效果及咀嚼功能良好。
口腔种植科;口腔修复科
版权归中华医学会所有。本文为遵循CC-BY-NC-ND协议的开放获取文章。
2005年Maló临床研究报道上颌All-on-4®即刻种植即刻修复是一种切实可行的治疗方案[1],此治疗方案在临床上得以推广。然而,对于上颌窦发育异常或上颌窦气化及后牙区上颌骨萎缩的患者,常规术式难以实现即刻种植与修复,Jensen[2]曾报道通过上颌窦底提升术使倾斜植体穿过上颌窦腔,同期植骨,实现了上颌All-on-4®即刻种植与修复的目标。本病例报道上颌后牙区牙槽骨吸收、双侧上颌窦形态不对称并重度牙周炎患者,采用All-on-4®术式右侧穿上颌窦不植骨行上颌即刻种植即刻负重,修复5年后临床效果良好。
患者,男性,59岁,1年来上颌前牙逐渐松动,影响进食,2017年1月于我院种植中心就诊,要求种植修复上颌牙齿。自述曾行上下颌可摘局部义齿修复,5天前行龈上洁治术。牙科既往史:拔牙史、修复史、洁治史。全身健康状况:否认全身系统性疾病及药物过敏史。家族史:否认遗传性疾病史。吸烟史:30年,10支/d。
口外检查:颌面部大致对称,面下1/3前突,双侧颞下颌关节未见异常(图1)。

面照;F:正面照
面照;F:正面照口内检查:15、16、24、25、26、27缺失,缺牙区牙槽嵴低、窄;14、12、11、21、22Ⅲ度松动、17Ⅱ度松动、18Ⅰ度松动,牙龈退缩,部分牙根暴露,前牙呈扇形分开,高笑线。31、32、41、42缺失,已行31、32、33、41、43烤瓷固定桥义齿修复(5单位);36缺失,37近中倾斜,近中邻面及远中邻
面可见黑色龋坏组织,质软,探诊、冷诊不适,叩诊(一);47缺失,缺牙区牙槽嵴低平,46牙龈退缩,根分叉暴露,
面可见白色充填物,完整。未见龈上结石,全口牙牙龈退缩,部分牙根外露。前牙重度深覆
重度深覆盖,双侧后牙无稳定咬合关系(图1)。
影像学检查:曲面体层片及CT检查显示11、21牙槽骨吸收至根尖1/3;12、14、17、22牙槽骨吸收超出根尖,12、22根尖圆形低密度影像,17根尖周低密度影像;18、13、23、35、45、46牙槽骨吸收至根长2/3;37近中及远中邻面可见低密度透射影像,近髓(图2)。


方案1:①口腔卫生指导及健康宣教。②牙周序列治疗。③拔除上颌大部分松动牙齿,保留18,行上颌可摘局部义齿修复。④37充填治疗,下颌可摘局部义齿修复。
方案2:①口腔健康教育、口腔卫生指导。②拔除上颌余留牙,双侧上颌窦外提升植骨。③植骨6个月后,延期行上颌全口种植固定义齿修复,植入6~8颗种植体,修复方式采用一段式或分段式固定桥修复。
方案3:①口腔卫生指导及健康宣教。②牙周序列治疗。③采用All-on-4®术式双侧后牙区穿颧种植,行即刻种植即刻修复。④36种植单冠修复。⑤拔除37。
方案4:①口腔卫生指导及健康宣教。②牙周序列治疗。③术前制取上下颌印模,18留作基牙,制作上颌可摘局部义齿,如术中种植体初期稳定性不满足即刻修复需求,将其作为过渡性修复。④采用All-on-4®术式行即刻种植,同期右侧上颌窦外提升,选择长种植体,种植体穿上颌窦达鼻底倾斜植入,利用双层皮质骨固定种植体同期行即刻临时固定义齿修复,6个月后行终义齿修复。⑤36种植单冠修复。⑥拔除37。
治疗方案分析:①方案1采用拔牙后可摘局部义齿修复,不同于方案2和方案3的种植固定修复。②方案2拔除上颌余留牙后双侧上颌窦底提升植骨,6个月后延期种植固定义齿修复,植入6~8颗种植体,完成种植固定修复[6],此方案相对于方案3,费用高、治疗周期长、患者痛苦较大。③方案3采用All-on-4®术式双侧后牙区穿颧种植,增加了经济成本及手术风险,患者痛苦大。④方案4采用右侧All-on-4®穿上颌窦不植骨术式,术中附加右侧上颌窦侧壁开窗术,选择长种植体,直视下种植体通过上颌窦间隔达鼻底皮质骨,利用牙槽嵴顶及鼻底双皮质骨固定,实现即刻种植即刻修复。
向患者呈现上述治疗方案,患者选择治疗方案4。
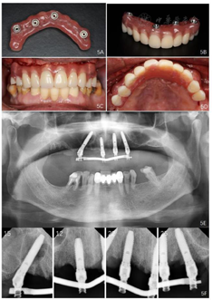
种植方案设计:拟在12、22位点植入2颗轴向植体,15、25位点植入2颗倾斜植体,13区颊侧开窗,剥离上颌窦底黏膜,15倾斜植体通过上颌窦间隔,达鼻底皮质骨层,利用双皮质骨固定种植体。
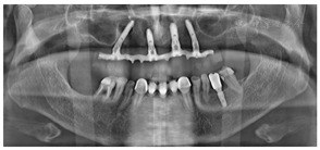
(1)种植一期手术:①阿替卡因肾上腺素注射液局麻下拔除上颌余留牙。②沿16-26区域牙槽嵴顶全层翻瓣,清除拔牙窝内炎性肉芽组织,平整牙槽嵴顶。③分别于12、22、25区定点,逐级备洞,12、22植入Nobel Speedy 4.0 mm×13 mm种植体;25近中倾斜植入Nobel Speedy 4.0 mm×15 mm种植体;④超声骨刀于13、14、15牙槽嵴顶8 mm处行唇、颊侧骨壁近远中向开窗,开窗面积约15 mm×8 mm,剥离上颌窦底黏膜后,15区定点,推开上颌窦底黏膜,近中倾斜备洞直达鼻底,倾斜植入Nobel speedy 4.0×18 mm种植体。⑤4颗种植体初期稳定性均达到35NCm,15颊侧骨开窗区种植体表面覆盖浓缩生长因子(Concentrated growth factor, CGF)(视频4)。⑥拔除18,12旋入RP17°3 mm复合基台,22旋入RP17°4 mm复合基台,15、25分别旋入RP 30°5 mm复合基台,修整牙龈组织,黏膜瓣复位、缝合创口,拍摄曲面体层片(图3)。


(2)即刻修复:制取上下颌硅橡胶印模,利用术前可摘局部义齿转移颌位关系,制作丙烯酸树脂临时固定义齿,咬合关系恢复至第二前磨牙,调整咬合。口内固定修复螺丝加力至15N.CM,牙龈硅橡胶封闭螺丝孔,拍摄曲面体层片(图4,图5)。

面及切端注入咬合硅橡胶记录咬合关系;D~F:上
架,排牙;G~I:完成排牙
面及切端注入咬合硅橡胶记录咬合关系;D~F:上
架,排牙;G~I:完成排牙
面像;E:佩戴后曲面体层片;F:戴牙后根尖片
面像;E:佩戴后曲面体层片;F:戴牙后根尖片(3)制作终义齿:种植一期手术6个月后,制作钛支架丙烯酸树脂固定义齿,完成终义齿固定修复。
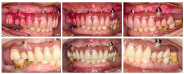
治疗结果:上颌即刻固定义齿试戴,义齿被动就位顺利,咬合关系恢复至第二前磨牙,义齿螺丝加力至15Ncm。检查患者前牙区覆
覆盖关系恢复正常,唇侧丰满度良好,双侧后牙区咬合关系稳定(图5,图6),患者满意。


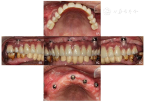
即刻修复6个月后佩戴上颌终义齿,咬合关系恢复至第一磨牙,4颗种植体螺丝被动就位后分别加力至15Ncm。口内检查:中线、义齿边缘交界线、义齿切缘曲线、
平面、覆
覆盖关系、双侧磨牙咬合关系均良好(图7,图8,图9)。

面照
面照
面像;B:右侧咬合像;C:正面咬合像;D:左侧咬合像;E:复合基台及牙龈情况
面像;B:右侧咬合像;C:正面咬合像;D:左侧咬合像;E:复合基台及牙龈情况

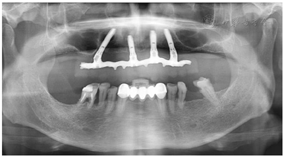
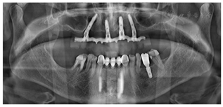
随访及转归:上颌种植固定义齿修复5年,每年定期复查,修复体完整稳固,无机械并发症发生;种植体周围软组织健康稳定(图11A~I,图12A~I,图14)。
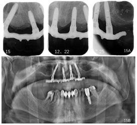
随访X线检查示4颗种植体周围骨结合良好(图10,图11J,图12J,图13,图15)。



面像;B:复合基台情况;C:义齿组织面存留食物软垢;D:右侧咬合像;E:正面咬合像;F:左侧咬合像;G:清洁后义齿
面像;H:重新戴入后正面咬合像;I:清洁后义齿组织面像;J:曲面体层片
面像;B:复合基台情况;C:义齿组织面存留食物软垢;D:右侧咬合像;E:正面咬合像;F:左侧咬合像;G:清洁后义齿
面像;H:重新戴入后正面咬合像;I:清洁后义齿组织面像;J:曲面体层片
面像;H:复合基台情况;I:义齿组织面存留食物软垢;J:根尖片
面像;H:复合基台情况;I:义齿组织面存留食物软垢;J:根尖片





病例中患者因Ⅳ期牙周炎导致上颌多数牙松动,符合Carranza等[7]及Samet等[8]提出的拔牙指征。临床研究显示All-on-4®技术具有94.5%的7年种植体存留率及93.9%的13年种植体存留率。7年及13年修复体成功率分别为97.8%和99.2%[9,10],高成功率为本病例方案的设计提供了参考依据。研究表明牙周炎并非即刻种植的绝对禁忌证,彻底清除感染组织后,与健康拔牙位点即刻种植的种植体存活率无明显差异[11],因此,本例患者在拔牙后进行牙槽嵴顶和软组织的修整,机械性去除了患牙牙槽窝内的感染组织,避免了种植体植入后感染导致周围骨吸收的发生。
该病例双侧上颌窦腔形态不对称,右侧上颌窦外侧壁前缘位于侧切牙区,其与底壁的连接区接近右侧尖牙的根尖区,在种植体通过的区域存在上颌窦间隔,按照Jensen[12]的All-on-4®种植修复设计方案分类,常规种植体长度的斜行种植不能正常实现。Malo等[13]曾报道多例在后牙区因重度牙槽骨萎缩,采用All-on-4®术式斜行植入植体时,通过直接穿上颌窦,实现了牙槽嵴顶及鼻底皮质骨固位,在避免上颌窦底提升术的同时,完成了即刻种植即刻负重并获得了3年稳定的治疗效果。本例患者在斜行植体穿上颌窦时,附加了外侧壁开窗剥离上颌窦底黏膜,手术直视下使种植体通过上颌窦间隔,并保证了上颌窦黏膜的完整性,种植体尖端达鼻底,利用牙槽嵴顶及鼻底双层皮质骨固定,满足种植体初期稳定性的需求。术中未使用骨移植材料,仅使用了浓缩生长因子覆盖于植体周围,研究表明[14]浓缩生长因子可明显减轻术后肿胀程度,缩短肿胀时间,且富含血小板、多种生长因子,能够促进软组织生长[15、16]。这与Jensen[2]在2012年报道的穿上颌窦植骨All-on-4®即刻种植即刻负重的案例不同。文献报道穿上颌窦All-on-4®即刻种植即刻负重的案例中,植骨和不植骨的患者,在1年负重之后的植体失败率、并发症发生率及植体周骨吸收程度并无显著统计学差异[17]。本例采用穿上颌窦不植骨All-on-4®即刻种植即刻负重,5年随访期内右侧上颌窦无临床不适症状,X光影像学检查未见异常,获得了良好的治疗效果。
术中根据术前制作的可摘局部义齿准确地验证了患者拔牙前的笑线位置,并依据该笑线位置修整骨平面,参照Pollini等[18,19]的研究修整出位于笑线根方4~5 mm新的骨平面,使后期修复体边缘位于该笑线以上,纠正了患者治疗前的高笑线。种植修复过程中利用该义齿转移了颌位关系,缩短了义齿制作时间及患者手术当天的等待时间,并参考该义齿的牙齿形态与患者面型的协调性,唇侧丰满度、发音、休息位切牙暴露量、切缘曲线,制作临时固定义齿,使美学效果较术前改善。
All-on-4®即刻种植即刻负重后口腔卫生与维护十分重要。因此无论是临时固定义齿还是终义齿,均将义齿组织面与牙龈间设计为"端对端"的凸面接触(图7B),此种接触关系更有利于患者进行口腔卫生的维护,减少食物残渣滞留,避免种植体周围软组织炎症发生[20]。按照种植体支持式全牙列固定义齿复诊与维护指南[21]对患者进行每3个月随访,口腔卫生指导包括牙间隙刷、冲牙器、牙线及超级牙线的使用指导,菌斑检查与控制(图12D、E、F、H、I),嘱咐患者戒烟或减少吸烟量,文献证明良好的菌斑控制可以有效地预防种植体周黏膜炎的发生[22]。
随访维护期内发现患者右侧下颌第二前磨牙与第一磨牙牙周炎症较5年前进一步发展,影像学检查示牙槽骨吸收至根尖(图15),符合拔牙指征[7,8],患者知情同意后拔除,后期及时修复,保持全牙列的咬合平衡。
何宝杰,康娟,邹桂克,等.单侧穿上颌窦All-on-4®不植骨即刻种植即刻负重1例[DB/OL].中国临床案例成果数据库,2023(2023-02-13).http://journal.yiigle.com/LinkIn.do?linkin_type=cma&DOI=10.3760/cma.j.cmcr.2023.e00567.
所有作者均声明本研究不存在利益冲突





















