
患者,女性,25岁,因反复发热、四肢多关节疼痛伴皮疹40 d,于2022年9月就诊于本院风湿免疫科,患者自觉右眼眼前有明显的漂浮物,患者为求进一步治疗,进而于眼科门诊进一步完善眼底照相、眼部B超、超声活体显微镜、眼前节照相等眼科检查,眼部B超示:右眼可见一环形中高回声,超声活体显微镜示:双眼睫状体6点位各见一囊肿,眼前节照相示:玻璃体腔内有半透明圆团状囊样悬浮物,其表面有棕黄色色素沉着。
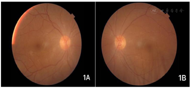
眼科检查:视力右:1.0,左:0.8,眼压右:15 mmHg(1 mmHg=0.133 kPa),左:14 mmHg,双眼睑未见明显异常,睑球结膜无充血,角膜透明,前房深度适中,房水清,虹膜纹理清,瞳孔圆,直径约3 mm,对光反射灵敏,晶状体周边可见散在白色小片状混浊,右眼下方玻璃体腔内可观察到一半透明圆形悬浮物,表面上可见少量色素附着,且囊壁光滑,并随眼球运动,散瞳后右眼眼底可见视盘界清,色红润,血管走形正常,A:V=2:3,视网膜平伏,黄斑区中心凹反光可见,左眼眼底可见视盘界清,色红润,颞上方血管弓静脉走形稍迂曲,视网膜平伏,黄斑区中心凹反光可见。
裂隙灯检查,眼底照相,眼部B超,超声活体显微镜,眼前节照相。
积极治疗原发病,眼科定期随访
嘱患者半个月复查一次,随访3个月均未见囊肿改变,玻璃体腔中未见其他混浊。
眼科;风湿免疫科;全科
版权归中华医学会所有。本文为遵循CC-BY-NC-ND协议的开放获取文章。
玻璃体囊肿是一种较为罕见的玻璃体疾病,早在1899年Tansley曾报道过[1],分为先天性疾病和后天获得性疾病[2],病灶可位于前部玻璃体,也可位于后部玻璃体,多为球形,大小通常在1PD-8PD之间,呈透明状、半透明状或其表面上见色素附着,悬浮或固定在玻璃体腔内,玻璃体囊肿患者可伴有无虹膜或睫状体囊肿[3],在本例中玻璃体腔内的悬浮物表面有棕黄色色素沉着,且视盘前未见残留Bergmeister视盘中的胶质成分或残留的玻璃体动脉,且双眼睫状体6点位各见一囊肿,囊肿呈圆形,囊内为无回声区,外周回声与睫状体回声强度基本相同的回声,因此我们可以考虑该病例为后天性获得性玻璃体囊肿合并睫状体囊肿,本报道旨在提高对系统性红斑狼疮合并玻璃体囊肿及睫状体囊肿患者疾病的认识,减少误诊漏诊。
患者,女性,25岁,因反复发热、四肢多关节疼痛伴皮疹40 d,于2022年9月就诊于我院风湿免疫科,患者面颊部可见蝶形红斑,四肢关节有压痛,患者自觉右眼眼前有明显的漂浮物,进而于眼科门诊进一步治疗。患者既往无手术史及外伤史,家族其他成员体健,未见明显遗传病史及传染病史。
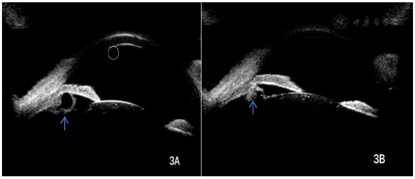
免疫球蛋白A 5.73 g/L,免疫球蛋白M 0.42 g/L,补体C3 0.664 g/L,抗nRNP抗体阳性(+++),抗核小体抗体阳性(++),抗核糖体P蛋白抗体阳性(+++),抗核糖体-核型1核均质型(AC-1),抗组蛋白抗体阳性(++),核型1滴度阳性1:1280,白细胞计数1.74×109/L,红细胞沉降率:30 mm/h,尿蛋白:+。眼科检查:视力右:1.0,左:0.8,眼压右:15 mmHg(1 mmHg=0.133 kPa),左:14 mmHg,双眼睑未见明显异常,睑球结膜无充血,角膜透明,前房深度适中,房水清,虹膜纹理清,瞳孔圆,直径约3 mm,对光反射灵敏,晶状体周边可见散在白色小片状混浊,右眼下方玻璃体腔内可观察到一半透明圆形悬浮物,表面上可见少量色素附着,且囊壁光滑,并随眼球运动,散瞳后右眼眼底可见视盘界清,色红润,血管走形正常,A:V=2:3,视网膜平伏,黄斑区中心凹反光可见(图1A),左眼眼底可见视盘界清,色红润,颞上方血管弓静脉走形稍迂曲,视网膜平伏,黄斑区中心凹反光可见(图1B)。眼部B超示:右眼可见一环形中高回声(图2)。超声活体显微镜(UBM)示:双眼睫状体6点位各见一囊肿,囊肿呈圆形,囊内为无回声区,外周回声与睫状体回声强度基本相同的回声(图3A、图3B)。眼前节照相示:右眼玻璃体腔内有半透明圆团状囊样悬浮物,其表面有棕黄色色素沉着(图4)。初步诊断为:右眼玻璃体囊肿、双眼睫状体囊肿、双眼先天性白内障、系统性红斑狼疮。








初步诊断:1.玻璃体囊肿(右眼);2.睫状体囊肿(双眼);3.先天性白内障(双眼);4.系统性红斑狼疮
诊断依据:患者,女性,25岁,因反复发热、四肢多关节疼痛伴皮疹40 d,患者自觉右眼眼前有明显的漂浮物,眼科检查:视力右:1.0,左:0.8,眼压右:15 mmHg,左:14 mmHg,晶状体周边可见散在白色小片状混浊,右眼下方玻璃体腔内可观察到一半透明圆形悬浮物,表面上可见少量色素附着,且囊壁光滑,并随眼球运动,眼部B超示:右眼可见一环形中高回声。超声活体显微镜(UBM)示:双眼睫状体6点位各见一囊肿,囊肿呈圆形,囊内为无回声区,外周回声与睫状体回声强度基本相同的回声。眼前节照相示:右眼玻璃体腔内有半透明圆团状囊样悬浮物,其表面有棕黄色色素沉着,结合患者眼部B超、超声活体显微镜、眼前节照相表现可诊断为玻璃体囊肿及睫状体囊肿。
鉴别诊断:(1)病理性玻璃体囊肿。病理性玻璃体囊肿可见于视网膜色素变性、视网膜脱离、视网膜劈裂等疾病,也可见于寄生虫感染的患者,病理性玻璃体囊肿多固定不动或连系在纤维条带组织上,并伴有原发的眼底病变,可根据病史及相关辅助检查来鉴别,治疗方法主要是针对病因治疗,本病例玻璃体腔内的悬浮物表面有棕黄色色素沉着,且视盘前未见残留Bergmeister视盘中的胶质成分或残留的玻璃体动脉,因此我们可以考虑该病例为后天性获得性玻璃体囊肿。(2)原发性闭角型青光眼。原发性闭角型青光眼是一种没有其他眼病的存在,单由患者房角结构先天拥挤,导致前房角关闭、房水流出受阻、眼压升高的一种情况。单一的睫状体囊肿还是多发的双侧睫状体囊肿,多为良性改变,但伴随着其不断生长,也容易顶起巩膜根部,从而导致周边前房的深度变浅,使房角粘连范围扩大,从而进一步导致房角的关闭,眼压也随之增高,这种情况和闭角型青光眼有相似之处。
对于原发病系统性红斑狼疮,予甲泼尼龙40 mg静滴每日一次,对于玻璃体囊肿及睫状体囊肿,嘱患者半个月复查一次,在积极治疗原发病的同时,继续跟进眼科疾病的随访。
随访3个月均未见玻璃体及睫状体囊肿改变,玻璃体腔中未见其他混浊。系统性红斑狼疮症状减轻,病情平稳后出院,随访各项实验室检查指标明显好转。
玻璃体囊肿是一种较为罕见的玻璃体疾病,早在1899年Tansley[1]曾报道过,分为先天性疾病和后天获得性疾病[2],病灶可位于前部玻璃体,也可位于后部玻璃体,多为球形,大小通常在1PD-8PD之间,呈透明状、半透明状或其表面上见色素附着,悬浮或固定在玻璃体腔内,先天性玻璃体囊肿可来源于Bergmeister视盘的胶质成分或者是残留的玻璃体动脉[3],这类囊肿多为有蒂的灰白色病灶,位于视盘前或与视盘相连,目前临床上无完整的体系数据来证实是否与性别相关,多为单侧发病[4],一般对视力无明显影响,对于视力无明显变化的患者,可以不予治疗,定期随诊即可,对于有严重视力障碍或者伴快速生长的囊肿患者,需要进行相应的干预治疗。治疗方案包括YAG激光切开术或行玻璃体切除玻璃体囊肿[5],该病主要与病理性玻璃体囊肿相鉴别。病理性玻璃体囊肿可见于视网膜色素变性、视网膜脱离、视网膜劈裂等疾病[6],也可见于寄生虫感染的患者,病理性玻璃体囊肿多固定不动或连系在纤维条带组织上,并伴有原发的眼底病变,可根据病史及相关辅助检查来鉴别,治疗方法主要是针对病因治疗,本病例玻璃体腔内的悬浮物表面有棕黄色色素沉着,且视盘前未见残留Bergmeister视盘中的胶质成分或残留的玻璃体动脉,因此我们可以考虑该病例为后天性获得性玻璃体囊肿。
系统性红斑狼疮是一种自身免疫性疾病,并通常伴有多系统的损害,其发病机制是免疫介导的血管炎[7],常合并有各种眼部病变[8],其眼底改变可以反映组织的微血管病变的程度,眼底常见改变可见棉绒斑、视网膜出血、视网膜血管的改变以及视乳头水肿等,这一类改变多见于良性病变,视力预后良好,疾病活跃的程度与病变的程度具有相关性[9]。目前的文献报道中,未能进一步证实系统性红斑狼疮与玻璃体囊肿是否具有相关性,有待进一步研究。
相关文献表明,玻璃体囊肿患者可伴有无虹膜或睫状体囊肿[10],本例患者的诊断即为玻璃体囊肿并伴有睫状体囊肿。原发性的睫状体囊肿多为单眼发病,生长较为缓慢,多见于睫状沟内,通常情况下未见明显的临床症状[11]。既往研究表明,无论是单一的睫状体囊肿还是多发的双侧睫状体囊肿,多为良性改变,但伴随着其不断生长,也容易顶起巩膜根部,从而导致周边前房的深度变浅,使房角粘连范围扩大,从而进一步导致房角的关闭,眼压也随之增高,这种情况和闭角型青光眼有相似之处[12],应及时进行评估,避免误诊或漏诊而延误病情,同时加强患者定期随访尤为重要[13]。
总而言之,系统性红斑狼疮可引起各种眼部病变,很多系统性红斑狼疮患者伴有眼部并发症,如果不加强眼部疾病的预防治疗,会引起严重的视力损害,甚至失明。相关文献表明,系统性红斑狼疮患者可导致眼表的损害、眼底病变、视神经及视路的异常以及眼眶病变[14]。对于S系统性红斑狼疮伴发眼部病变的患者,要尽最大努力去降低并发症的发病率以及维持视力,因而需要眼科医生和风湿病科医生对该患者病情进行密切的随访监测,并制定合理的诊疗方案。对于原因不明的疑似视网膜病变和自身免疫性疾病并发眼部病变的患者,应及时进行有关系统性红斑狼疮的相关检查,并由眼科医生和风湿病科医生共同对该疾病进行有效的评估,并制订诊疗方案。在临床工作中眼科医生不仅要关注患者眼部情况,同时也要更加关注患者的全身情况,详细的询问病史,尽早发现潜在的可能致病的相关因素,进而有效的预防更加严重的并发症发生。
贾文仪,李悦,谢钰,等.系统性红斑狼疮并玻璃体囊肿及睫状体囊肿1例[DB/OL].中国临床案例成果数据库,2023(2023-02-15).http://journal.yiigle.com/LinkIn.do?linkin_type=cma&DOI=10.3760/cma.j.cmcr.2023.e00603.
所有作者均声明本研究不存在利益冲突





















