
患者,女性,39岁,因"左侧臀部肿物2年"来本院整形外科门诊就诊。2017年11月上海市肺科医院行胸腺癌手术,术后因大出血引起大脑缺血缺氧昏迷一月后认知功能受损。2019年胸腺癌复发,行放射治疗。
左侧臀部可见暗红色圆球形皮肤肿物,约2.0 cm×2.0 cm,皮温较高,周围红肿,触之较硬,表面较平整、微隆起、无破溃,活动度欠佳,常轻微疼痛。
外科医生考虑病人因认知障碍长期久坐、平卧导致左侧臀部肿物,初步诊断皮脂腺囊肿。超声检查提示左侧臀部皮下组织内实性结构。
选择门诊手术切除,术后病理检查明确诊断。
病人术后伤口愈合良好,少量渗出,无红肿,规律换药、拆线、复查,至今术后随访6个月未发现臀部肿瘤复发或转移。
病理科;皮肤科;肿瘤科;整形外科
版权归中华医学会所有。本文为遵循CC-BY-NC-ND协议的开放获取文章。
共表达S100和CD34的梭形细胞肿瘤是一组新近发现的具有独特形态学谱系、组织学分级和分子病理学特点的软组织肿瘤,常同时伴有NTRK、RAF、BRAF、PDGFRβ、ROS1、MET等基因重排,其中伴NTRK重排的梭形细胞肿瘤已经出现在2020年WHO软组织与骨肿瘤分类中[1]。本文报告了1例的S-100和CD34共表达、伴ALK基因重排的皮肤梭形细胞肿瘤,有助于人们对该类罕见软组织梭形细胞肿瘤的认识、积累和深入研究。
ALK(Anaplastic lymphoma kinase)最早是在研究间变性大细胞淋巴瘤(ALCL)时被发现的[2]。既往具有ALK重排或表达ALK的软组织肿瘤主要为炎性肌纤维母细胞瘤/上皮样炎性肌纤维母细胞肉瘤、上皮样纤维组织细胞瘤、腺泡状横纹肌肉瘤、胃肠道平滑肌瘤以及间变性大细胞淋巴瘤、非小细胞肺癌、Spitz痣/肿瘤等。伴有ALK重排的皮肤浅表间叶源性肿瘤较少见。ALK基因突变参与了肿瘤的发生发展过程,而针对ALK的分子靶向药物如克唑替尼、色瑞替尼等ALK抑制剂的应用,使得部分患者的预后有了较大的改善[2]。因此,在日常病理诊断工作中筛选出伴有ALK基因突变的肿瘤具有重要的意义。
患者,女性,39岁,因"左侧臀部肿物2年"来我院整形外科门诊就诊。查体:左侧臀部可见暗红色圆球形皮肤肿物,约2.0 cm×2.0 cm,皮温较高,周围红肿,触之较硬,表面较平整、微隆起、无破溃,活动度欠佳,常轻微疼痛。
既往史:2017年11月上海市肺科医院行胸腺癌手术,术后因大出血引起大脑缺血缺氧昏迷一月余,醒后认知功能受损,无法有效交流,生活不能自理。术后病理示(左纵膈)胸腺癌(鳞癌,非角化型),浸润包膜外脂肪组织,侵及血管壁。术后未行放化疗。2019年胸腺癌复发,行放射治疗。病患既往还有下腹胀痛及便秘病史。
B超:提示左侧臀部皮下组织内实行结构。
带皮组织一块,大小4.5 cm×2.5 cm×2 cm,皮瓣面积4.5 cm×2 cm,表面光滑,微隆起,切面见灰白、灰黄色结节状肿物一枚,大小2.8 cm×2 cm×1.6 cm,实性,质稍嫩,有光泽,界欠清,类似良性神经源性肿瘤大体观。
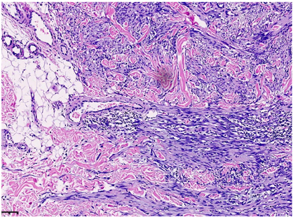
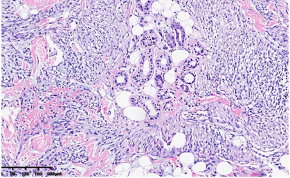
低倍镜下,肿瘤位于真皮层及皮下,肿瘤主要由梭形细胞构成,含有少量卵圆形细胞,部分区细胞丰富,部分区细胞较稀疏,梭形细胞排列成编织状、束状及旋涡状(图1A)。肿瘤细胞与周围组织呈交错浸润性生长,局部呈膨胀性/推挤性生长。肿瘤内薄壁血管较丰富,呈分支状,管腔开放,局部可见少量淋巴细胞浸润(图1B)。肿瘤细胞累及脂肪及皮肤附属器,部分区间质可见黏液水肿/变性及纤维胶原增生(图1C)。






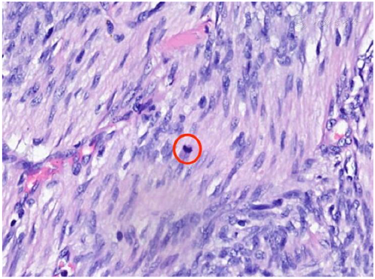
高倍镜下,细胞核呈长/短梭形或卵圆形,染色质细腻/开放,核膜光滑,可见细小核仁。胞浆嗜伊红,较丰富,核浆比尚可。偶见多形性细胞和多核细胞,偶可见核分裂象(热点区约1个/10HPF)(图1D),未见肿瘤性坏死及病理性核分裂。根据FNCLCC分级,肿瘤细胞的形态符合低级别。


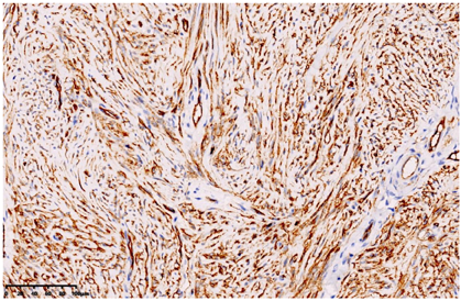
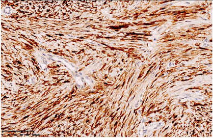
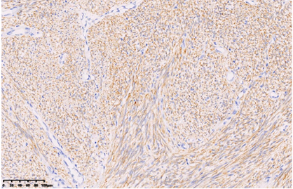
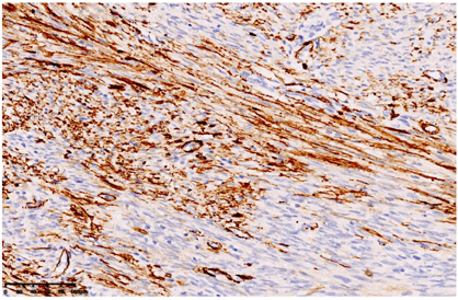
肿瘤细胞S-100(核浆+),CD34(+),ALK 1A4(+),ALK(Ventana-D5F3)(+),SMA部分(+)(图2A、图2B、图2C、图2D),Ki-67热点区(5%+);pan-TRK(roche)(-),SOX-10、EMA、STAT-6、Desmin、HMB45、AE1/AE3均为阴性;H3K27me3、INI-1未缺失;P53野生型。








本例经复旦大学附属肿瘤医院软组织肿瘤首席专家王坚教授会诊指导:(左臀部)皮肤ALK重排梭形细胞肿瘤(cutaneous ALK rearranged spindle cell neoplasm)。
会诊免疫组化:分子病理:
①软组织NGS (MP2022-10780)在受检者石蜡组织提取RNA中检测到:
(1)CLIP1{NM_002956.2:exon12}-ALK{NM_004304.4:exon20}
②加做FISH(MP2022-12331)
荧光原位杂交(FISH法)检测t(2p23)(ALK基因融合):阳性,即有ALK基因相关易位。(注:>70%肿瘤细胞内可见红绿分离信号,提示ALK基因发生断裂重排)(图3)


①神经源性肿瘤:SOX-10(-)可除外神经鞘瘤及神经纤维瘤等良性神经源性肿;H3K27me3未缺失且HE形态温和可除外恶性周围神经鞘瘤。
②NTRK重排梭形细胞肿瘤:Pan-Trk免疫组化染色阴性且NTRK重排阴性可除外NTRK重排梭形细胞肿瘤。
③皮肤隆突纤维肉瘤:S-100、ALK(+)及HE形态可除外DFSP。
④皮肤纤维组织细胞瘤:CD34、S-100、ALK(+)可除外DF/FH。
⑤炎性肌纤维母细胞瘤:病人年龄较大且慢性炎细胞浸润不明显,肿瘤细胞表达S-100和CD34可除外IMT。
外科医生考虑病人因认知障碍长期久坐、平卧导致左侧臀部肿物,初步诊断皮脂腺囊肿。超声检查提示左侧臀部皮下组织内实性结构。遂选择门诊手术切除,术后病理检查明确诊断,术后未行特殊治疗,定期复查。
目前此类肿瘤多属于低级别或低度恶性潜能的间叶性肿瘤(包括本例),治疗上以手术切除后定期复查和随诊为主。少数患者如为高级别肉瘤临床有侵袭性生长(包括转移等),因有ALK基因重排,除常规手术治疗外,可尝试靶向治疗。
病人术后伤口愈合良好,少量渗出,无红肿,规律换药、拆线,至今术后随访6个月未发现臀部肿瘤复发或转移。
伴有ALK基因突变的肿瘤突变模式可以为常见的基因融合,也可以为相对少见的扩增或者点突变等模式;其中最具有代表性的包括间变性大细胞淋巴瘤(ALCL)中普遍存在的NPM-ALK融合,非小细胞肺癌(NSCLC)中常出现的ALK-EML4融合,炎性肌纤维母细胞性肿瘤(IMT)的TPM3-ALK、TPM4-ALK融合,神经母细胞瘤(NB)中的ALK F1174L突变等[2]。本病例在石蜡组织中检出CLIP1-ALK基因融合,该融合较为少见,CLIP1基因编码的蛋白质将内吞小泡与微管连接起来,CLIP1-ALK基因融合曾报道于肾细胞癌、非小细胞肺癌(PMID:31171381)、急性髓细胞性白血病、原发不明肿瘤、胶质母细胞瘤等多种肿瘤类型中。
ALK基因重排的软组织肿瘤越来越多地被人们所关注。S-100和CD34共表达的皮肤梭形细胞肿瘤中,伴有ALK重排的病例十分少见,这可能与该肿瘤发病率低且皮肤浅表梭形细胞肿瘤一般不会进行NGS或ALK分子检测有关。在英文文献中找见8例相似病例,其中3名女性、5名男性,病人年龄18-84岁(平均51岁)[1,3,4];肿瘤最大径0.5~5.6 cm,平均肿瘤大小2.1 cm;其中4例位于下肢,3例位于背部,1例位于左颈部。临床初步诊断表现得非常宽泛,从良性病变(如皮肤囊肿、黑色素痣等),或者良性神经源性肿瘤如神经纤维瘤到皮肤恶性肿瘤(如隆突皮肤纤维肉瘤、基底细胞癌等)的临床诊断具有多变性。8例患者中有4例肿瘤边缘呈阳性,其中3例建议重新扩大切除。
组织形态学上,5例局限于真皮,3例肿瘤主体位于皮下(真皮深层受累有限)。肿瘤细胞由梭形细胞及卵圆形细胞组成,交叉、束状生长或无规律排列;大部分肿瘤细胞异型性小,染色质细腻,细胞质轻-中度嗜酸性,细胞边界不清;这部分肿瘤细胞形态温和,核分裂少见(<1个/10 HPF),符合低级别肿瘤形态。部分区间质胶原化及黏液变性,肿瘤含有线性-分支状薄壁血管,肿瘤周边呈浸润性/交错性边界。部分肿瘤细胞可呈上皮样形态,个别病例表现出肿瘤细胞核局灶的多形性,肿瘤性坏死范围不等,一般较少见;然而,也有少量区域可表现为核分裂象活跃及灶性坏死,形态学符合中级别肉瘤[1]。大部分肿瘤伴有少-中等量淋巴细胞浸润,也可见弥漫散在的淋巴细胞浸润/积聚,类似炎症性肌纤维母细胞瘤(IMT)。肿瘤细胞均显示出免疫组化弥漫性ALK(D5F3克隆)的阳性表达。其中7例弥漫性共表达CD34和S100蛋白,另外1例只表达CD34,但不表达S100蛋白。所有病例的肿瘤细胞EMA、AE1/AE3、和SOX10均为阴性。分子检测中,通过一代测序(NGS)及RT-PCR(ARMS方法)检测到PLEKHH2:ALK融合或EML4:ALK融合[1]。文献中的病例与本例形态学及分子改变具有高度重叠性。
因大部分肿瘤伴有黏液样间质,所以有学者暂时称该新型肿瘤为"浅表ALK重排黏液样梭形细胞肿瘤"(SAMS)。这些肿瘤表现出广泛多变的形态学改变和临床生物学行为。其中4例表现为良性经过,切除后未出现局部复发或转移,其余4例患者失去了随访或未给出随访结果。由于该型肿瘤已知的病例数较少,因此,SAMS的确切的长期临床生物学行为尚不确定。基于组织形态学缺乏显著的细胞异型性及特征性病理学改变,目前还没有权威性的论著明确阐述该型肿瘤的名称及定义。在本文中,我们报告了一例少见的ALK重排皮肤软组织肿瘤的病例,其特征是梭形细胞为主,具有ALK、CD34和S100蛋白的免疫组化表达以及ALK重排,但本例黏液样的间质并不显著。此类肿瘤表现出独特的免疫表型和遗传学特征,而这些特征不是其他ALK突变肿瘤所共有的,需要未来的研究来更好地描述其组织病理学形态及长期随访其的临床生物学行为来让我们进一步了解其本质。
总之,我们报道了1例S100和CD34共表达的ALK基因重排皮肤浅表间叶源性肿瘤,具有一些免疫组化及分子特征。这些ALK阳性的间叶源性肿瘤与NTRK重排的梭形细胞肿瘤具有相似的临床病理特征,文献中报道的肿瘤预后似乎与组织学分级有关。边缘为阳性的低级别肿瘤有局部复发的倾向,而高级别肿瘤则表现出侵袭性的临床生物学行为[1]。我们相信,更多的病例报告将揭示S-100和CD34共表达的皮肤ALK重排梭形细胞肿瘤临床病理特征的谱系,并通过靶向治疗改善患者的治疗策略和预后,希望为临床医学及病理医生提供新的思路。
张巍,王洋,茅培青,等.S-100和CD34共表达的皮肤ALK重排梭形细胞肿瘤1例[DB/OL].中国临床案例成果数据库,2023(2023-02-15).http://journal.yiigle.com/LinkIn.do?linkin_type=cma&DOI=10.3760/cma.j.cmcr.2023.e00605.
所有作者均声明本研究不存在利益冲突





















