
患者,男性,62岁,以"持续腹胀3个月,进行性加重伴黑便5 d"入院。
无发热,体重36.7℃,血压126/74 mmHg(1 mmHg=0.133 kPa);皮肤巩膜无黄染,未见明显肝掌及蜘蛛痣;腹部略膨隆,上腹按压痛,无反跳痛及肌紧张,双下肢不肿。
1.病史:慢性肝炎、肝硬化病史多年。2.辅助检查:增强CT提示肝右叶恶性占位,门静脉右支癌栓形成,食管-胃底静脉曲张;乙型肝炎病毒HBV-DNA阳性;甲胎蛋白27432 ng/ml。3.ECOG PS评分1分。肝功能Child-Pugh B级。依据我国原发性肝癌诊疗规范2021版,主要诊断为:肝细胞癌CNLC IIIA期、肝炎后肝硬化失代偿期、消化道出血。
首次入院后药物止血治疗,并行"门静脉支架植入术+胃冠状静脉栓塞术"减轻门静脉高压、控制消化道出血;出血停止后行"门静脉癌栓放射性粒子植入术+经肝动脉化疗栓塞术"控制肿瘤病灶;术后4 d开始口服索拉非尼0.4 g日一次抗肿瘤治疗。2个月后因肝内肿瘤存活及脾亢行"经肝动脉化疗栓塞术+经脾动脉部分栓塞术";4个月后因肿瘤进展,索拉非尼更换为口服瑞戈非尼120 mg日一次抗肿瘤治疗。
首次出院时,患者体力恢复,腹胀减轻,黑便减轻;行部分脾动脉栓塞后白细胞及血小板含量升高;口服索拉非尼4个月后病情进展,更换为二线瑞戈非尼抗肿瘤治疗,后肿瘤强化区持续减小,肿瘤标志物持续降低,口服瑞戈非尼9个月后,肝内无明显肿瘤区,肿瘤标志物正常范围,mRECIST评效CR。患者未再发生消化道出血。现仍存活,随访时间达40个月。
介入科;肝胆外科;影像科;核医学科
版权归中华医学会所有。本文为遵循CC-BY-NC-ND协议的开放获取文章。
原发性肝癌是世界上最常见恶性肿瘤之一,其发病率居恶性肿瘤第6位,死亡率居第3位[1]。肝细胞癌(hepatocellular carcinoma,HCC)占我国原发性肝癌90%以上,大部分由HBV、HCV导致的长期慢性肝炎引起[2]。研究发现HCC伴PVTT患者平均生存期仅为2.7~4.0个月[3]。同时,当食管胃底静脉曲张破裂出血、脾亢等肝硬化失代偿期表现与肝细胞癌门静脉癌栓同时出现,将严重影响患者的生存期及生存质量。TACE是中晚期原发性肝癌患者首选的治疗方法,但对于HCC合并PVTT的患者,单纯TACE疗效仍存在争议[4]。根据国内外指南推荐,对于门静脉癌栓形成的不可切除肝癌患者,应联合靶向或免疫等系统抗肿瘤治疗。
本文回顾一例介入联合靶向治疗伴有PVTT形成的肝细胞癌患者的病例资料,在抗肿瘤治疗之前对门静脉高压所致消化道出血进行介入治疗,后采用介入联合靶向控制肿瘤,旨在提高对门静脉癌栓形成不可切除的晚期肝癌综合治疗的认识。
患者,男性,62岁,入院3个月前,患者无明显诱因开始出现腹胀,进食后加重,不伴呕吐、腹痛、反酸、烧心、呕血,未予以特殊治疗;5 d前患者腹胀进行性加重,并有黑便。急诊入院,入院时体温36.7℃。体格检查:全身皮肤巩膜无黄染,腹部略膨隆,压痛,无反跳痛及肌紧张,墨非征(-),双下肢不肿,入院时,美国东部肿瘤协作组(Eastern Cooperative Oncology Group,ECOG)评分1分。患者既往慢性肝炎病史31年,发现肝硬化失代偿期12年。
入院后:乙型肝炎病毒HBV-DNA阳性;甲胎蛋白:27432 ng/ml;糖类抗原125:197.2 U/ml;总胆红素:23.6 umol/L;白蛋白:37.2 g/L。粪便黑色,潜血阳性,血红蛋白:117 g/L;血小板计数:96×109/L。腹部增强CT示:肝右叶恶性占位,大小约7.9 cm×8.2 cm,呈"快进快出"样强化;门静脉右支癌栓形成;肝硬化;脾大;大量腹水;食管-胃底静脉曲张。肝功能Child-Pugh分级B级。入院诊断:肝细胞癌CNLC IIIA期、肝炎后肝硬化失代偿期、消化道出血、慢性乙型病毒性肝炎、食管胃底静脉曲张、腹水。
患者消化道出血,考虑食管胃底静脉曲张或门脉高压性胃病引起,予抑酸、保护胃黏膜、利尿治疗,6 d后腹胀减轻。完成术前评估后,为缓解门静脉高压、降低上消化道出血概率、控制门静脉癌栓进展及减小肝内肿瘤负荷,计划行"门静脉支架置入+胃冠状静脉栓塞+门静脉癌栓放射性粒子植入+经肝动脉化疗栓塞术"。考虑一次手术可能导致肝衰竭,2019年4月30日先行"门静脉支架置入术+胃冠状静脉栓塞术",经皮肝穿刺门静脉,术中造影见胃冠状静脉迂曲增粗,以(10 mm×30 cm、8 mm×30 cm)Interlock弹簧圈各一枚、(5 mm×5 cm)COOK微弹簧圈一枚及聚桂醇泡沫剂栓塞胃冠状静脉责任血管。后于门静脉主干放置BARD 14 mm×80 mm门脉支架一枚,支架开放良好,覆盖门静脉左支矢状部和门静脉右支开口。2019年5月5日行"经肝动脉化疗栓塞术+门静脉癌栓放射性粒子植入术",术中以洛铂10mg+(350~560 um、560~710 um)明胶海绵微粒各50 mg栓塞肿瘤供血动脉及肝动脉-门静脉瘘,(3.0 mm×3.3 cm)COOK弹簧圈3枚栓塞肝动脉-门静脉瘘口。复造影见肝内肿瘤染色基本消失,肝动脉-门静脉瘘消失。后采用Dyna CT引导,向门静脉右支癌栓内植入125I粒子20颗。术后复查未见明显肝肾功能损伤,甲胎蛋白:22777 ng/ml,糖类抗原125:413.7 U/ml。出院后开始口服索拉非尼抗肿瘤治疗。
约2个月后,2019年6月9日再入院,腹胀消失,便褐色,ECOG-PS评分1分。甲胎蛋白:41281 ng/ml;糖类抗原125:350.4 U/ml;总胆红素:14.1 umol/L;白蛋白:41.4 g/L。粪便褐色,潜血阳性,血红蛋白:121 g/L;血小板计数:59×109/L;白细胞计数2.1×109/L。MRI增强示肝右叶占位内多发异常血管影,门静脉支架通畅。门静脉癌栓控制可,采用改良实体肿瘤疗效评估方法(mRECIST)评估为病灶稳定(SD),肝功能Child-Pugh分级B级;患者肝内病灶存活,脾功能亢进,行"经肝动脉化疗栓塞术+脾动脉部分栓塞术",术中造影示肝右动脉分支、右侧膈动脉分支参与肿瘤供血,予洛铂10 mg +(350~560 um)明胶海绵微粒70 mg栓塞,复造影见肿瘤供血消失;后以聚乙烯醇颗粒约20 mg+庆大霉素8万U栓塞部分脾动脉。术后保肝、予以抗生素预防感染,患者无寒战发热不适,出院。
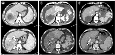
后患者规律服用索拉非尼抗肿瘤治疗,2019年7月18日入院复查发现肝左叶出现新发异常强化病灶,考虑病情进展,因为经济原因及患者拒绝介入手术治疗,靶向药物更换为瑞戈非尼,继续抗肿瘤治疗;2020年5月18日复查甲胎蛋白及糖类抗原125降至正常水平,腹部增强CT检查示肝内病灶未见明显强化,结合影像检查及实验室检查结果,mRECIST评估为完全缓解(CR),后规律复查至今,目前随访40个月。患者介入手术前后肝癌及门静脉癌栓变化见图1;从最初治疗开始,患者甲胎蛋白、糖类抗原125、白细胞计数、血小板含量变化见图2。




研究发现,单一TACE治疗HCC合并PVTT的应答率低,(33%~58%)的患者对TACE治疗无应答[5]。文献报道,TACE联合外放疗可显著提高患者的疗效,延长生存时间,但外放疗对患者一般状态要求高及其相关的毒副反应是影响进一步临床应用的主要原因[6]。相较于传统外放疗,125I粒子植入治疗具有创伤小、并发症少的特点[7],通过与其他治疗联合应用,可使HCC合并PVTT患者获益。Li等[8]研究发现,较之于单纯TACE,TACE联合125I粒子植入术能明显延长PVTT进展时间,延长患者的总体生存期。QUOTE"{Li, 2020 #52}"Wu等[9]研究发现,125I粒子植入联合门静脉主干支架植入可显著降低门静脉支架再狭窄率,延长HCC合并PVTT患者的生存时间。Zhang等[10]研究发现TACE/TAE+125I联合TIPS能有效治疗HCC伴MPVTT并缓解其并发症,改善患者的生活质量,降低死亡率。
本例患者为HCC合并肝硬化失代偿期消化道出血。目前我国HCC多在乙肝后肝硬化基础上进展而来,肝硬化患者中食管胃底静脉曲张率高达27.0%~35.7%,其中消道出血是此类患者最常见的死亡原因之一,肝癌合并CPH性消化道出血预后较差,死亡率较单纯CPH性出血或PHC患者高。大部分HCC患者诊断时往往伴有CPH,行外科手术风险极高,以往此类患者多采用内科保守治疗,而药物止血或者内镜下的套扎、硬化再出血率极高,能否使病人生存显著获益仍存在争议。TIPS在降低门静脉压力的同时栓塞曲张的食管胃底静脉,可以达到"分流"与"断流"的完美结合,大量文献报道[5,6,7]均表明TIPS手术创伤及风险均低于外科分流手术,已得到业界认可并广泛应用于临床。以往认为肝癌合并肝硬化是TIPS手术的相对禁忌证,随着介入放射学的发展,在肝癌合并CPH患者发生急性消化道大出血时,TIPS的抢救成功率也>95%[8]。而本病例中,患者入院时肝功能较差,且合并肝右叶巨大肝细胞癌,经讨论后,未行门体静脉分流术,采用门静脉支架开通癌栓局部侵犯的门静脉主干,并行胃冠状静脉栓塞止血,患者的消化道出血症状基本消失。
本病例中,患者HCC同时合并了门静脉癌栓,一定程度上增加了门静脉压力,增加出血风险,进一步影响预后。既往针对肝癌合并门静脉高压的患者尤其是合并门脉癌栓的患者,TACE作为不能外科手术切除的肝癌的治疗临床效果确切[9,10]。同时研究发现,单一TACE治疗HCC合并PVTT的应答率低,(33%~58%)的患者对TACE治疗无应答[11]。文献报道,TACE联合外放疗可显著提高患者的疗效,延长生存时间,但外放疗对患者一般状态要求高及其相关的毒副反应是影响进一步临床应用的主要原因[12]。相较于传统外放疗,125I粒子植入治疗具有创伤小、并发症少的特点[13],通过与其他治疗联合应用,可使HCC合并PVTT患者获益。Li等[14]研究发现,较之于单纯TACE,TACE联合125I粒子植入术能明显延长PVTT进展时间,延长患者的总体生存期。QUOTE"{Li, 2020 #52}"Wu等[15]研究发现,125I粒子植入联合门静脉主干支架植入可显著降低门静脉支架再狭窄率,延长HCC合并PVTT患者的生存时间。Zhang等[16]研究发现TACE/TAE+125I联合TIPS能有效治疗HCC伴MPVTT并缓解其并发症,改善患者的生活质量,降低死亡率。我们采用癌栓内植入125I放射性粒子控制癌栓进展,同时联合TACE局部治疗肝内丰富血供肿瘤。
本患者联合靶向药物治疗肝细胞癌,并在更换瑞戈非尼治疗8个月后,达到了临床mRECIST CR。已有多项研究显示,相比于单一TACE或靶向药物治疗,TACE联合靶向药物治疗能使HCC患者生存明显受益。Choi GH等[17]发现,索拉菲尼联合TACE的mTTP和mOS均长于单药治疗组(mTTP:分别为2.5个月和2.1个月,P =0.008;mOS:8.9个月和5.9个月,P =0.009)。一项回顾性队列研究显示,TACE联合仑伐替尼组1年、2年的总体生存率(88.4%、79.8%)显著高于单纯TACE组(79.2%、49.2%,P=0.047)[18]。单一TACE治疗不可切除的HCC,虽然能短期达到降低肿瘤负荷的目的,但由于肿瘤血供丰富,供血动脉复杂及动脉血管通畅度差,TACE后常有残留的肿瘤支持血管[19]。同时单一TACE诱导的缺氧状态会促进肿瘤血管生成,绕过被阻断的肿瘤供血动脉以促进疾病的进展或转移,因此不能有效延长不可切除HCC的总生存期[20]。络氨酸酶抑制剂(TKI)不仅可以通过抑制多种血管内皮生长因子受体如VEGFR-1、VEGFR-2、VEGFR-3、酪氨酸蛋白激酶(Tie-2)和其他蛋白激酶的活性来抑制肿瘤血管生成,在抗血管生成中发挥作用,还可以通过抑制参与肿瘤增殖和肿瘤微环境的多种激酶而发挥多种抗肿瘤作用[21]。
本文通过回顾一例合并门静脉癌栓肝细胞癌,同时伴有肝硬化失代偿消化道出血患者的病例资料,并回顾相关文献,探讨伴有门静脉高压消化道出血的门静脉癌栓形成不可切除肝细胞癌的综合治疗。
王浩,周军,李闯,等.介入联合靶向治疗伴有门静脉癌栓的晚期肝细胞癌1例[DB/OL].中国临床案例成果数据库,2023(2023-02-16).http://journal.yiigle.com/LinkIn.do?linkin_type=cma&DOI=10.3760/cma.j.cmcr.2023.e00618.
所有作者均声明本研究不存在利益冲突





















