
患者,男性,50岁,因"眼睑浮肿1个月,发现颈部包块、头痛4 d"入院,门诊查肝功能提示白蛋白36.7 g/L,球蛋白43.8 g/L。
患者无双下肢水肿,无腹胀,无胸闷气促,查体提示双侧眼睑浮肿,双侧颌下可触及界清质硬肿块,无压痛。
查IgG4显著升高,左侧颌下腺病理确诊IgG4相关性疾病。
生物制剂(泰他西普)治疗无明显效果,改为醋酸泼尼松联合吗替麦考酚酯治疗后有效。
患者眼睑浮肿、头痛消失,颌下腺未扪及。
风湿免疫科;口腔科;眼科;神经内科;消化内科
版权归中华医学会所有。本文为遵循CC-BY-NC-ND协议的开放获取文章。
IgG4相关性疾病(immunoglobulin-G4 related disease,IgG4-RD)是一种由免疫介导的慢性炎症伴纤维化的疾病[1],主要组织病理表现为以IgG4+浆细胞为主的淋巴、浆细胞浸润。该病几乎可累及身体的各个部位,少数患者仅有单个器官受累,而大多数患者则同时或先后出现多个器官病变。不同脏器受累患者临床特点差异较大[2,3],导致患者就诊于不同专科。我们报告一例累及颌下腺、腮腺、泪腺及眶周组织的IgG4相关性疾病,旨在提高对本病的认识,以减少漏诊误诊。
患者,男性,50岁,因"眼睑浮肿1个月,发现颈部包块、头痛4 d"入院,患者1个月前发现眼睑浮肿,无双下肢浮肿,无胸闷胸痛,无呼吸困难,无少尿或多尿,无多饮多食,无怕热多汗,自诉至眼科就诊,查眼压正常,未予特殊处理。患者4 d前出现左侧头颅颞顶部疼痛,触摸可诱发左侧顶部及左侧颞部头痛,无咳嗽咳痰,无鼻塞流涕。4 d前发现颈部包块,无发热,触摸无疼痛,自诉甲状腺超声未见异常,服用消炎药后肿块未见缩小,查肝肾功能提示白蛋白36.7 g/L,球蛋白43.8 g/L。起病后精神、食欲、睡眠尚可,大小便如常,体重无明显改变。既往史:前列腺炎4年,近期发现慢性阻塞性肺疾病,具体不详;入院体格检查:T36.5℃,HR70次/min,R18次/min,BP122/80 mmHg(1 mmHg=0.133 kPa),神清,精神可,全身皮肤巩膜无黄染,头颅颞顶部无皮疹、肿块,双侧眼睑浮肿,眼睑皮肤色泽正常,双侧眼眶外上方未触及肿大泪腺,无压痛,结膜囊未见分泌物,球结膜未见充血水肿,角膜透明,双侧瞳孔等大等圆,直径约3 mm,对光反射灵敏,眼球运动未见异常。浅表淋巴结未触及,双侧颌下可触及界清质硬肿块,无压痛,活动度可,心肺、腹部查体未及异常,双下肢无水肿。
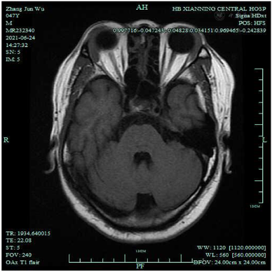
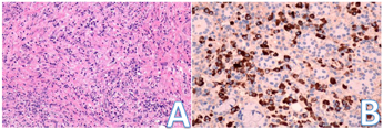
入院后完善相关检查:血液分析(五分类):嗜酸性粒细胞(#) 0.69×109/L↑;嗜酸性粒细胞(%) 13.00%↑;红细胞4.28×1012/L ↓;血红蛋白129.0 g/L ↓;红细胞压积37.6%↓;肝肾功能:尿酸477 umol/L ↑;白蛋白36.0 g/L ↓;球蛋白44.7 g/L ↑;白球比0.8 ↓。凝血功能五项、尿分析+尿沉渣定量、粪便常规+潜血+寄生虫未见异常。甲功五项、男性肿瘤标志物:未见异常,感染性疾病筛查(输血科):乙肝病毒表面抗体30.62 mIU/ml ↑;免疫球蛋白+补体定量测定:免疫球蛋白G 2040.2 mg/dl ↑,自身免疫抗体全套2(ANA核型、ANA定量、ENA谱):阴性。颌下腺MR平扫诊断内容:1.左侧腋窝淋巴结肿大;2.双侧颌下区、颈部小淋巴结显影。头颅MRI平扫诊断内容:颅脑MRI扫描未见明显异常。CT-平扫全腹诊断内容:胆囊切除术后改变。CT-平扫胸部及心脏诊断内容:右肺上叶少许炎症。免疫球蛋白G4 53.6 g/L↑,考虑IgG4相关性疾病,至华中科技大学同济医学院附属同济医院就诊,磁共振-眼眶平扫:双侧泪腺肿胀;冠状位TW1扫描所及双侧腮腺体积增大;双侧筛窦和额窦炎。再次重新阅读我院头颅MRI(图1)及颌下腺MRI (图2A、B)可发现患者泪腺、腮腺及颌下腺均肿大。于华中科技大学同济医学院附属同济医院口腔科行左侧颌下腺切除,病检结果:灰红不整涎腺组织4.6 cm×3 cm×2 cm,临床已部分切开,切面灰红分页状,未见明确实性肿块,病理诊断:(左颌下肿物)镜下见涎腺小叶被增生的纤维结缔组织分隔,小叶内外可见浆细胞为主的慢性炎性细胞浸润,淋巴滤泡增生,免疫组化结果提示IgG阳性细胞数热点区约100个/HPF,且IgG4/IgG大于40%,考虑IgG4相关性疾病可能性大。免疫组化:浆细胞IgG4热点区约150个/HPF,且IgG4/IgG大于40%,CD19(+),κ和λ(部分阳性,无限制性轻链表达),淋巴滤泡CD20(+,阳性对照+),CD21(FDC网+),ki-67(生发中心高,滤泡间区散在+);滤泡间区CD3(散在+)(图3A、B)。






患者双侧颌下腺肿大、眼睑水肿、头痛,入院前已于眼科专家门诊就诊,入院后请口腔科、神经内科会诊。口腔科会诊意见:查体:双侧颌下腺肿大,压痛(一),质地中等偏硬,边界清楚,可活动,周围未扪及肿大淋巴结。考虑诊断:双侧颌下淋巴结炎?双侧颌下腺肿物?神经内科会诊意见:考虑颌下腺炎症,淋巴结炎(淋巴结病变),耳大神经痛。建议查CRP、PCT,口腔科会诊,必要时抗感染治疗。阻滞神经痛:普瑞巴林,并逐渐加量。疼痛好转后逐渐减量。营养神经:维生素B1,弥可保。口腔科及神经内科会诊均考虑颌下腺炎症,患者颌下腺无痛性肿大,颌下腺无压痛,口服抗生素症状未改善,且无法解释眼睑水肿及头痛等症状,遂考虑颌下腺感染性炎症可能性不大。患者双侧颌下腺对称性肿大,颌下腺MRI未提示占位性病变,考虑颌下腺肿瘤可能性不大。后经武汉某医院口腔科教授会诊,考虑IgG4-RD,查免疫球蛋白G4 53.6 g/L↑,至华中科技大学同济医学院附属同济医院就诊,行左侧颌下腺切除,病检结果:灰红不整涎腺组织4.6 cm×3 cm×2 cm,临床已部分切开,切面灰红分页状,未见明确实性肿块,病理诊断:(左颌下肿物)镜下见涎腺小叶被增生的纤维结缔组织分隔,小叶内外可见浆细胞为主的慢性炎性细胞浸润,淋巴滤泡增生,免疫组化结果提示IgG阳性细胞数热点区约100个/HPF,且IgG4/IgG大于40%,考虑IgG4相关性疾病可能性大。考虑IgG4-RD诊断明确。IgG4-RD同时累及到泪腺、唾液腺时,亦可诊断为米库利奇病(Mikulicz,s,disease,MD)。
患者开始使用生物制剂泰他西普治疗,160 mg/次每周一次,皮下注射,治疗半年后症状无明显缓解。遂开始使用醋酸泼尼松片联合吗替麦考酚酯分散片治疗,醋酸泼尼松片40 mg/次1次/d,每周减少5 mg,吗替麦考酚酯分散片2片/次,2次/d。
患者服用醋酸泼尼松片、吗替麦考酚酯分散片半年后,头痛、眼睑浮肿消失,腺体肿大恢复正常,目前IgG4及浆母细胞值未恢复正常。
IgG4-RD是一种慢性自身免疫炎症介导的疾病,可累及全身多个器官和组织,其中胰腺最常见,其次是唾液腺[4,5,6]。因受累脏器不同,患者的临床表现差异较大[2,3],导致患者就诊于不同专科。本病最常见的临床表现为显著升高的血清IgG4水平和肿块样病灶,特征性的病理改变是诊断IgG4RD的重要依据,病理检查对鉴别诊断排除模拟疾病亦至关重要,因此建议有条件者应行组织活检[7]。2011年日本制定的IgG4-RD综合诊断标准[8],是临床医师应用最广泛的标准:(1)单个或多个器官弥漫性或局限性肿胀、团块;(2)血清IgG4>1.35 g/L;(3)受累组织明显的淋巴细胞、浆细胞浸润及纤维化,IgG4+浆细胞>10个/高倍视野,IgG4+/IgG+浆细胞比例>40%。符合上述3项可确定诊断,符合第1和第3项为疑诊,符合第1和第2项为可能诊断。本例男性患者,颌下腺、腮腺及泪腺肿胀,IgG4>1.35 g/L,浆细胞IgG4热点区约150个/HPF,且IgG4/IgG大于40%,IgG4-RD诊断明确。
本例男性患者以双侧眼睑浮肿为首发症状,就诊于眼科,未能明确诊断,4个月后开始出现左侧聂顶部头痛以及双侧颌下腺肿大,门诊查肝肾功能提示白蛋白下降、球蛋白升高,以肝功能异常收入消化科。入院后排除肝源性、肾源性及心源性病因,甲功五项正常排除甲状腺相关性眼病,嗜酸性粒细胞、免疫球蛋白G升高,请口腔科、神经内科会诊,均未考虑到IgG4-RD。因双侧颌下腺肿胀拟转口腔科行手术治疗,经上级医院口腔科教授会诊,最终明确诊断为IgG4-RD,避免了不必要的手术治疗。IgG4-RD可以累及到多个脏器,当累及到眶周及眶内组织时,为IgG4相关性眼病,发生率约3.6%~12.5%[9]。IgG4相关性眼病是一种慢性系统性疾病,泪腺、眼外肌和眶下神经常常受累,常常为全身病变的首发症状。眼科医师对该疾病缺乏足够的认识,患者常常因泪腺肿大或眼外肌肥大,经常误诊为炎性假瘤、甲状腺相关眼病等眼眶疾病而延误治疗。眼眶IgG4相关疾病患者常表现为长期无痛性眼眶肿胀、眼球突出,视力损害不明显,结膜一般不受累,可伴有外周淋巴结肿大。但有个别患者会出现复视、视力下降、眶周疼痛等症状。影像学检查可发现眶内弥漫性或局灶性肿大的病灶,与周围正常组织形成鲜明对比,可累及眼眶、泪腺、眼外肌、球后软组织、眶下神经、视神经,巩膜,其中以双侧泪腺受累最为多见。眼眶IgG4相关疾病的诊断需结合患者临床表现、实验室检查、影像学检查及病理组织学检查。本例患者已确诊为IgG4-RD,双侧眼睑浮肿、左侧头痛,合并泪腺肿胀,经激素联合免疫抑制剂治疗后症状缓解,眼眶IgG4相关疾病亦可明确。因影像科医师对IgG4-RD认识不足,阅片时未能发现泪腺、颌下腺及腮腺肿胀,且患者以眼睑肿胀、头痛为主要表现,眶周疼痛在临床较少见,眼科医师对该病认识亦不足,导致未能及时诊断该病。米库利奇病(MD),其特征是双侧对称性泪腺、腮腺、颌下腺无痛性持续肿大[10],血清IgG4浓度升高,IgG4+浆细胞浸润到腺体组织。MD也称为IgG4相关性泪腺炎和涎腺炎,所以该患者亦可诊断为米库利奇病。
2021年IgG4相关性疾病诊治中国专家共识指出,糖皮质激素是治IgG4RD的一线药物,对于难治性或复发性IgG4RD可选用生物制剂。本例患者在获得充分的知情和理解后,同意参加生物制剂泰他西普的第四期药物临床试验,治疗半年后症状无明显缓解。中国专家共识指出,免疫抑制剂与糖皮质激素联合使用较单用糖皮质激素更有效控制疾病,减少IgG4R患者的复发,为尽快控病情,遂开始使用醋酸泼尼松片联合吗替麦考酚酯分散片治疗,半年后,头痛、眼睑浮肿消失,腺体肿大恢复正常。
IgG4相关性疾病是一种相对罕见的由免疫介导的慢性炎症伴纤维化性疾病,近年来报道的病例增加,但类似本病例中以眼睑水肿、头痛为主要表现的病例比较少见,本文旨在提高临床医师对IgG4相关性疾病的认识,争取早期诊断,减少误诊漏诊,避免不必要的手术治疗。
贾喻,吴中旭,程思.累及全身多腺体及眼眶的IgG4相关性疾病1例[DB/OL].中国临床案例成果数据库,2023(2023-02-18).http://journal.yiigle.com/LinkIn.do?linkin_type=cma&DOI=10.3760/cma.j.cmcr.2023.e00669.
所有作者均声明本研究不存在利益冲突





















