
患者,男性,73岁,因"左下肺癌术后四次化疗,有胸闷、乏力、腹胀、咳嗽等不适"入院。患者为小细胞肺癌,已行胸腔镜下左下肺背段切除+淋巴结清扫+粘连烙断+左上肺大疱切除肺修补术。
术后经4次化疗,入院时患者自诉胸闷、乏力、腹胀等不适,体格检查见有贫血貌。
术后病理、影像学检查明确诊断为:1.肺部感染;2.左下肺小细胞肺癌、pT2aN0M0、ⅠB期;3.慢性阻塞性肺病;4.左上肺大疱。
暂停化疗并于次月起实行功能医学健康管理:通过各项检验数据及NK细胞动态免疫监控、肠道菌群宏基因分析等的解读,实施以食物抗炎、减压健身、重建肠道微生态、食品调控平衡营养为主的自然疗愈。
患者自诉胸闷、乏力、腹胀等不适基本消失,偶有咳嗽。监测各类指标显示其低蛋白血症、贫血、肝酶、炎症等趋势全部好转,NK细胞回归免疫平衡,复查胸部CT未见肿瘤复发。
呼吸科;肿瘤科;医学检验科;健康管理科;功能医学科
版权归中华医学会所有。本文为遵循CC-BY-NC-ND协议的开放获取文章。
小细胞肺癌(small cell lung carcinoma,SCLC)占肺癌的15%,5年生存率仅2%,其特点是复发率高、早期转移、预后差,几乎所有患者都会出现获得性耐药[1]。本例SCLC患者借助功能医学健康管理,消除术后化疗诸多不适,遏制各类指标转坏趋势并使其全部趋向好转,复查胸部CT未见肿瘤复发,淋巴细胞亚群免疫功能回归免疫平衡。本例疗愈过程,为进一步揭示营养、运动等如何干预NK细胞代谢发挥其在免疫治疗中的作用,探索专注于改善NK细胞的功能医学疗法带来借鉴。
患者,男性,73岁,因"左下肺癌术后4次化疗,有胸闷、乏力、腹胀、咳嗽等不适"于2021年4月11日入院。患者4个月余前因"左下肺结节"就诊本院,排除手术禁忌后于2021年12月14日在全麻下行胸腔镜下左下肺背段切除+淋巴结清扫+粘连烙断+左上肺大疱切除肺修补术。术后病理示"(左下叶)肺低分化癌伴坏死,结合免疫组化,符合肺小细胞癌伴坏死"。术后分别于2022年1月21日、2022年2月7日、2022年2月28日、2022年3月21日4次入院术后化疗。患者自诉肺癌术后4次化疗后感到胸闷、乏力、腹胀、咳嗽等不适,并担心化疗可能带来肝损伤、易感染、骨髓抑制等不良反应。本次入院计划行第5次化疗。
既往史:既往无特殊。
个人史、冶游史:无特殊。
手术史:胸腔镜下左下肺背段切除+淋巴结清扫+粘连烙断+左上肺大疱切除肺修补术。
家族史:父母皆健康,非近亲婚配,家族中无遗传病史。
入院体格检查:脉搏79次/min,呼吸19次/min,血压142/82 mmHg(1 mmHg=0.133 kPa),体温36.9℃,全身浅表淋巴结未及肿大,胸廓两侧对称,肋间隙无增宽、变窄以及隆起,双侧触觉语颤正常,双肺叩诊清音,两肺呼吸音粗,闻及干湿罗音,未闻及胸膜摩擦音。双下肢轻度浮肿。腔镜术后1周愈合,留有瘢痕。
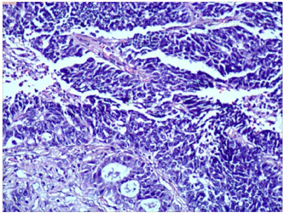
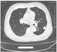
2021年12月7日第1次入院全麻下行胸腔镜下左下肺背段切除+淋巴结清扫+粘连烙断+左上肺大疱切除肺修补术。术后病理结果示:1.(左下叶)肺低分化癌伴坏死,待免疫组化进一步检测,肿块大小1.8 cm×1.5 cm×1.5 cm;局部侵犯脏层胸膜,脉管内见癌栓,支气管及神经未见肿瘤侵犯,肿块旁见气道播散;间质淋巴细胞反应(少量);另见钙化血吸虫卵沉着。2.(手术切缘)阴性。3.(左上)肺大疱。4.(第7组)1枚、(第10组)4枚、(第11组)2枚淋巴结呈慢性炎,均未见癌转移。5.免疫组化(I2021-00862B)示,CK5/6(−)、CK7[弱(+)]、TTF-1(+)、P63(−)、P40(−)、EGFR(−)、ALK(−)、Ki-67(+)60%、GATA3(−)、CD56(+)、CgA(+)、Syn[弱(+)]、CK20(−)、P16[弱(+)]部分、PD-1(+)10%、PD-L1(−)肿瘤细胞。补充报告示(左下叶)肺低分化癌伴坏死,结合免疫组化,符合肺小细胞癌伴坏死,见图1。胸部CT平扫+靶重建结果见图2。




如图2所示,患者左肺下叶背段结节影恶性待排,建议增强CT检查。右肺上叶、左肺下叶实性结节。肺气肿,肺大疱。两肺散在纤维灶,冠脉条状致密影。
术后经4次化疗后于2022年4月11日第5次入院,入院后完善相关检查。血常规+超敏C反应蛋白(CRP):红细胞计数3.1×1012/L;血红蛋白测定111 g/L;CRP 123.3 mg/L;高敏肌钙蛋白T 24.66 pg/ml。男性肿瘤标志物5项,癌胚抗原8.94 ng/ml。胸部平扫:左肺术后复查所见,左肺下叶小结节,较(2022年3月21日)相仿;合并肺气肿、肺大泡。两肺散在纤维增殖灶,部分慢性炎性病变。
腹部常规、肾上腺、泌尿系、颈部血管、下肢血管、心脏彩超检查:双侧颈总动脉硬化伴粥样斑块形成;慢性血吸虫性肝纤维化,餐后胆囊;双肾小囊肿;前列腺内钙化灶;双肾上腺区未见明显包块;上述双下肢动脉粥样斑块形成,上述双下肢静脉血流尚通畅;静息状态下超声心动图未见明显异常。
根据术后病理结果、胸部CT平扫+靶重建结果,以及CRP升高,患者被诊断为:1.肺部感染;2.左下肺SCLC、pT2aN0M0、ⅠB期;3.慢性阻塞性肺病;4.左上肺大疱。
患者4个月余前因"左下肺结节"就诊本院,排除手术禁忌于2021年12月14日在全麻下行胸腔镜下左下肺背段切除+淋巴结清扫+粘连烙断+左上肺大疱切除肺修补术,术后病理示"(左下叶)肺低分化癌伴坏死,结合免疫组化,符合肺小细胞癌伴坏死"。术后分别于2022年1月21日、2022年2月7日、2022年2月28日、2022年3月21日共进行4次化疗,均予依托泊苷0.1 g、第1~3天+卡铂200 mg、第1天静脉化疗。
术后第4次化疗记录。2022年3月22日予依托泊苷0.1g、第1~3天+卡铂200 mg、第1天静脉化疗,同时给予补液、止吐等治疗,注意化疗副反应。2022年3月24日患者出现咳嗽咳痰,查血清CRP偏高,考虑存在肺部感染,今予头孢西丁2 g、2次/d、静脉滴注,抗感染治疗。本次化疗疗程已结束,予停依托泊苷,余治疗同前。
2022年4月12日患者出现咳嗽、胸闷,查CRP明显升高,考虑存在肺部感染,予哌拉西林钠他唑巴坦钠2.25 g、每8小时1次、静脉滴注,抗感染以及解痉化痰等对症治疗,后复查CEA仍持续升高,予完善胃肠镜检查。
2022年4月18日停用抗生素静脉治疗,予办理出院。
2022年4月19日起进行精准检测并拟定功能医学治疗方案。在治疗过程中进行淋巴细胞亚群等免疫监控。具体疗程如下:
精准检测:发现患者有低蛋白血症、贫血、肝酶、炎症等指标异常,淋巴细胞亚群免疫功能监测CD3 85.2%↑(50.0%~84.0%)、CD4 51.6%↑(27.0%~51.0%)NK 6.7%↓(7.0%~40.0%);患者主诉长期腹泻,肠道菌群宏基因分析发现其菌群多样性较低、肠道益生菌丰度低下,拟杆菌丰度81%异常超标;短链脂肪酸水平偏低;氨基酸水平、维生素B12、维生素C和硫胺素水平均较低。基因检测发现有MTHFRA位点1298C检测结果CA、C677T检测结果CT、FUT2位点c.772G>A检测结果GG、FUT6位点c.-1199C>T检测结果CT、SLC23A2位点c.-282+1312G>检测结果GG、CYP4F2位点c.1297G>A检测结果GA、SCARB1位点c.127-4800C>T检测结果CC、ZPR1位点c.*724C>G检测结果CC、VDR位点c.1025-49G>T检测结果TT等异常。谷氨酸304.1 μmol/L↑(65.83~207.17 μmol/L)、缬氨酸335.62 μmol/L↑(119.05~326.81 μmol/L)、亮氨酸206.29 μmol/L↑(68.44~174.66 μmol/L)、异亮氨酸98.28 μmol/L↑(21.5~76.74 μmol/L);维生素B9 2.50 ng/ml↓(>4 ng/ml)、维生素D 12.11 ng/ml(>20 ng/ml)、辅酶Q10 244 μg/L↓(400~1600 μg/L)、游离甲氧基去甲肾上腺素156.9 pg/ml↑(<145 pg/ml)。
制定方案:根据对检测结果的分析解读,为患者制定功能医学健康管理方案并督促其执行。药食同源食物抗炎,连翘金丝桃、没食子、肉桂、穿心莲、玉米须、桑黄、黑升麻、丹参、姜黄、胡椒、党参、黄芪、当归等;寻找适合自身的健身方法,阳光下徒步、做喜欢做的事自我心理调适等;重建肠道微生态,摄入高质量的益生菌,适当多吃蔬菜泡菜酸奶等,支持益生菌生长;增加摄入富含维生素D、维生素C、叶酸及硫胺素等优质补剂、多摄入骆驼奶、无糖酸奶、麦卢卡蜂蜜、亚麻籽油、佛手柑等食品调控平衡营养。
患者于2022年7月返院随访复查,自诉实行功能医学健康管理以来,胸闷、乏力、腹胀等不适基本消失,偶有咳嗽。
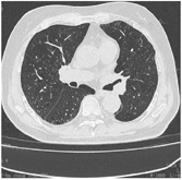
随访过程中连续2个月监测各类指标,数据显示其免疫功能、感染、肝酶、血色素、甲状腺功能等指标趋势全部好转(表1)。复查胸部CT未见肿瘤复发(图3)。淋巴细胞亚群连续免疫监控NK细胞动态趋势变化回归免疫平衡(图4、图5)。

患者实验室检查结果
患者实验室检查结果
| 项目 | 2022年1月21日(第1次化疗) | 2022年2月8日(第2次化疗) | 2022年2月28日(第3次化疗) | 2022年3月20日(第4次化疗) | 2022年4月18日(健康管理前) | 2022年5月18日(1个月后) | 2022年6月17日(2个月后) | 参考范围 |
|---|---|---|---|---|---|---|---|---|
| CD3(%) | 78.90 | 79.80 | 78.50 | 85.20 | 85.20 | 80.00 | 75.50 | 50.00~84.00 |
| CD4(%) | 32.10 | 33.10 | 30.90 | 36.20 | 51.60 | 35.90 | 38.10 | 27.00~51.00 |
| CD8(%) | 46.60 | 47.00 | 48.00 | 49.10 | 33.10 | 39.90 | 37.40 | 15.00~44.00 |
| CD4/CD8 | 1.45 | 1.42 | 1.55 | 1.36 | 1.56 | 1.15 | 1.04 | 0.71~2.87 |
| CD19(%) | 7.70 | 7.80 | 7.90 | 7.00 | 5.30 | 4.41 | 5.20 | 5.00~18.00 |
| NK(%) | 11.50 | 11.10 | 13.50 | 7.40 | 6.70 | 16.60 | 18.40 | 7.00~40.00 |
| 高敏T(pg/ml) | 12.24 | 22.15 | 23.62 | 26.29 | 22.12 | 66.90 | - | <14.00 |
| 总蛋白(g/L) | 61.20 | 58.60 | 68.10 | 71.90 | 56.10 | 43.40 | - | 65.00~85.00 |
| 白蛋白(g/L) | 36.10 | 38.90 | 43.60 | 46.10 | 34.90 | 222.00 | - | 40.00~55.00 |
| 乳酸脱氢酶(U/L) | 176.00 | 205.00 | 375.00 | 324.00 | 283.00 | 240.00 | - | 120.00~250.00 |
| 前白蛋白(mg/L) | 210.00 | 260.00 | 290.00 | 240.00 | 180.00 | 10.00 | 250.00 | 250.00~400.00 |
| 同型半胱氨酸(μmol/L) | 12.00 | 15.00 | 24.00 | 14.00 | 16.00 | 21.50 | 14.00 | 5.00~15.00 |
| FT4(pmol/L) | 17.30 | 16.90 | 23.20 | 23.00 | 23.00 | 154.00 | - | 12.00~22.00 |
| 总IgE(ng/ml) | - | - | - | - | 471.00 | 4.29 | - | 0.24~240.00 |
| 淀粉样蛋白(mg/L) | 20.56 | 5.91 | 30.20 | 211.30 | 183.83 | 3.00 | - | <10.00 |
| C反应蛋白(mg/L) | 4.30 | 1.00 | 4.00 | 33.70 | 26.00 | 3.90 | - | <6.00 |
| RBC(×1012/L) | 4.20 | 3.60 | 3.70 | 3.50 | 2.93 | 135.00 | - | 4.30~5.80 |
| Hb(g/L) | 147.00 | 131.00 | 136.00 | 126.00 | 104.00 | 2.61 | - | 115.00~150.00 |
| 纤维蛋白原(g/L) | 3.62 | 2.83 | 4.45 | 6.19 | 6.55 | 0.92 | - | 1.80~3.50 |
| 补体C3(g/L) | 1.05 | 0.80 | 1.02 | 1.24 | 1.15 | 0.25 | - | 0.90~1.80 |
| 补体C4(g/L) | 0.32 | 0.19 | 0.31 | 0.41 | 0.40 | - | - | 0.10~0.40 |






SCLC手术后铂类化疗仍然是目前治疗的支柱方法,然而几乎所有患者都会出现获得性耐药[1]。
化疗和放疗(CT/RT)治疗直接对自然杀伤细胞(natural Killer cell,NK)功能产生不利影响,NK细胞代表了先天免疫系统,其功能对于建立有效的抗肿瘤免疫反应至关重要[2]。NK细胞是具有重要抗肿瘤功能的淋巴细胞,特点是它们可以通过不同方式杀死肿瘤细胞,因此已成为癌症免疫治疗中的一种有价值的工具[3]。因此,癌症术后化疗应跟进连续的免疫监测。本例通过免疫功能连续监测,探讨SCLC术后功能医学自然疗愈的方法。
一是让NK细胞在癌症患者术后康复中发挥关键作用。肌体免疫系统的主要生物学功能是保持"自身"的完整性,这有赖于免疫系统有效清除感染的细胞,同时又确保健康的细胞和组织不受攻击。NK细胞被认为是发挥固有免疫功能的一类细胞毒性淋巴细胞,能够直接裂解肿瘤细胞而不需要预先致敏或MHC限制性[4]。NK细胞的抑制性受体通过结合正常细胞表面表达的MHC-Ⅰ类分子,能够抑制其对自身正常细胞的攻击[2]。换言之,NK细胞能够识别和杀伤癌细胞,同时又不会攻击自身健康的细胞和组织,因而在癌症免疫治疗中有着非常重要的价值。本例SCLC患者在手术后经4次化疗,患者NK细胞异常低下。NK细胞糖酵解和氧化磷酸化的细胞因子激活对于强大的NK细胞反应至关重要[3]。肿瘤微环境中的NK细胞代谢受损,可能是由于营养和氧气缺乏。NK细胞数量减少表现为免疫抑制性,为肿瘤增殖复发创造了适当的条件[4]。因此化疗后NK细胞数量减少是术后化疗预防肿瘤复发的难点。
二是控制感染,减轻NK细胞消耗。在人类NK细胞中,IL-15引发与短期缺氧协同作用以诱导参与糖酵解途径的基因上调。NK细胞在肿瘤进展或慢性感染期间也会耗尽。NK细胞代谢和抗肿瘤反应受损,有报道肿瘤细胞与T细胞竞争葡萄糖,而肿瘤微环境(TME)中的这种代谢竞争已被描述为癌症进展的驱动因素[5]。因此,研究耗尽的NK细胞的代谢需求,并进一步测试病毒感染和肿瘤诱导的代谢重编程是否会导致NK细胞衰竭,分析控制感染和帮助代谢是关键。针对患者肠道菌群宏基因分析发现其菌群多样性较低、肠道益生菌丰度低下,拟杆菌、螺旋体等丰度异常超标,拟杆菌属是重要的临床病原体,是厌氧的、耐胆汁的、不形成孢子的革兰阴性杆菌。存在于大多数厌氧菌感染中,相关死亡率超过19%[6]。本例拟杆菌丰度异常增高,可能诱发耐药和免疫稳态平衡破坏。激励患者寻找适合自身的运动方式如亲近大自然接触泥土和植物,鼓励户外适度运动如阳光下徒步,做喜欢做的事学会感恩自我心理调适。建议患者摄入高质量的益生菌,适当多吃蔬菜泡菜酸奶等,支持益生菌生长,帮助患者重建肠道微生态。
三是帮助患者充分吸收营养与抗氧化,满足NK细胞代谢需求。氨基酸水平等异常往往是食物蛋白质吸收代谢障碍导致的。患者化疗后受氨基酸的敏锐调节蛋白水平低下,氨基酸控制的蛋白水平对NK细胞代谢和功能起到重要作用。由于氨基酸是许多细胞过程的重要燃料,氨基酸水平异常并与肿瘤相关细胞协同作用以产生营养耗尽的微环境影响肿瘤的发生发展[3]。据报道,已发现mTOR信号在缺乏亮氨酸的培养基中受到抑制[5]。营养物质维生素B2参与体内生物氧化与能量代谢,与碳水化合物、蛋白质、核酸和脂肪的代谢有关,可提高机体对蛋白质的利用率,促进生长发育,维护皮肤和细胞膜的完整性。与机体铁的吸收、储存和动员有关;叶酸(又名维生素B9)是一种水溶性维生素。叶酸的主要功能是制造DNA。未能从饮食中摄取足够的叶酸可能导致叶酸缺乏症。身体缺乏叶酸可引起叶酸缺乏性贫血。维生素B12又叫钴胺素,是唯一含矿物质、需要肠道分泌物(内源因子)帮助才能被吸收的维生素,属于水溶性维生素,储存于肝脏内。有助于维持神经细胞健康,促进大脑和其他部位之间的沟通。维生素C,又称L-抗坏血酸,是高等灵长类动物与其他少数生物的必需营养素[7]。5-甲基四氢叶酸是高半胱氨酸再甲基化为蛋氨酸的共底物,一碳代谢循环,包括叶酸和蛋氨酸循环,是细胞存活的关键途径。MTHFR基因缺乏和上调导致各种疾病发生[8]。一是针对患者白蛋白与氨基酸水平异常和MTHFR等营养基因突变分析,针对以上营养检测异常,提出增加摄入富含维生素D、维生素C、叶酸及硫胺素等优质补剂、多摄入骆驼奶、无糖酸奶、麦卢卡蜂蜜、亚麻籽油、佛手柑等食品调控平衡营养。
功能医学将目光从"人患的病"转移到"患病的人"。本例的管理过程及良好效果为功能医学帮助癌症患者解除术后化疗带来的痛苦与康复带来启发与借鉴。术后化疗过程中建立连续免疫监测方案,明确体内免疫状态、感染状况、营养状态、激素水平;运用病理生理学核心解读能力、细胞免疫知识实施功能医学健康管理施治。提示面对疾病,除了药物和激素,还有以非药物治疗的自然方法来激发和调动人体的自愈能力以祛除疾病的更好选择。探索专注于改善NK细胞的功能医学疗法,揭示免疫、代谢、营养等如何干预NK细胞代谢,为癌症患者术后康复预防复发带来新思路。
王兆丰.肺癌患者化疗终止后健康管理免疫功能监测1例[DB/OL].中国临床案例成果数据库,2023(2023-02-18).http://journal.yiigle.com/LinkIn.do?linkin_type=cma&DOI=10.3760/cma.j.cmcr.2023.e00678.
所有作者均声明本研究不存在利益冲突





















