
患儿,男性,10岁,以"间断发热1个月余,咳嗽、胸闷、气促2 d"为主诉入院。无明显诱因起病,病初以发热为主要症状,热峰38.5℃,热型不规则,当地诊所及医院抗感染治疗,仍反复发热,后至某三甲医院,行心脏超声示主动脉弓缩窄,二尖瓣低回声赘生物(炎性?),血培养阳性,根据药敏试验抗感染治疗,体温正常2 d后再次发热,热峰升至39.2℃,伴有胸闷、气促、咳嗽,转入我院。入院后继续抗感染治疗,仍有发热,于住院第6天胸痛、胸闷症状加重,伴多汗,每次持续1~20 min不等,前倾位稍缓解,影像学检查提示降主动脉假性动脉瘤形成,立即手术治疗。术后第9天患儿出现腹痛,急诊腹部超声及腹部CTA检查示巨大血肿,立即手术治疗,证实肾动脉破裂。
间断发热为主,后期出现胸闷、气促、咳嗽,之后出现胸痛、腹痛,入院查体:上肢血压高于下肢血压,精神反应差,面色稍苍白,呼吸促,三凹征阴性,双肺呼吸音粗,可闻及少许湿啰音。心率120次/min,心音有力,律齐,腋前线第4肋间可闻及2/6级收缩期杂音,足背动脉搏动弱。
心脏超声、四肢血压、血及骨髓培养、胸腹部增强CT、手术及术后病理结果
根据药敏试验积极抗感染治疗,心外科全麻低温体外循环下行降主动脉瘤切除、主动脉缩窄切除、人工血管置换术、肺脓肿引流术。术后9 d出现腹痛,腹部超声及CT提示巨大血肿,心内科行腹主动脉造影明确部位后给予球囊充液扩张阻断腹主动脉近肾动脉开口处血流,普外科及泌尿外科联合立即行腹膜后血肿清除术及单侧肾切除术,术后继续抗感染及降压治疗。
患儿体温逐渐正常,胸闷、腹痛症状消退,2次血培养阴性,复查心脏超声及胸腹部CT正常。出院后规律口服降压药物,血压逐渐正常,约8月后停用所有降压药物。随访至今,患儿一般状态良好。
儿内科;心内科;心外科
版权归中华医学会所有。本文为遵循CC-BY-NC-ND协议的开放获取文章。
感染性心内膜炎(infective endocarditis,IE)是临床较常见的心血管系统疾病,是由于细菌、真菌和病毒感染心内膜,继而在瓣叶形成赘生物,导致心血管内膜、瓣膜发生炎性改变。该病好发于患有先天性心脏病、风湿性心脏病和静脉滥用药人群,其发病率呈逐年上升趋势[1]。先天性心脏病是引起IE的主要原因之一,赘生物脱落造成远端血管栓塞、感染是IE的主要危害,但引起假性动脉瘤(pseudoaneurysm,PSA)形成甚至破裂者,较为罕见,国内外多为个案报道[2,3,4,5],而多个PSA形成并破裂者国内外尚未见报道。本文报告1例主动脉缩窄合并IE致腹主动脉PSA形成及肾动脉破裂病例,以提高临床医师的认识,减少误诊及漏诊。
患儿,男性,10岁,以"间断发热1个月余,咳嗽、胸闷、气促2 d"为主诉于2018年4月10日入院。1个月余前患儿无明显诱因出现发热,热峰38.5℃,热型不规则,无寒战、抽搐、皮疹,无胸闷、气促,无咳嗽、咳痰,无腹痛、腹泻、呕吐,无头痛、头晕等,就诊当地诊所给予药物口服及静滴(具体不详),效果差。11 d前至当地县医院住院,胸片示肺炎,给予"阿莫西林克拉维酸钾、热毒宁"静滴3天,效差。8天前至某三甲医院住院,心脏彩超示"主动脉弓缩窄;二尖瓣低回声赘生物(炎性?)",血培养示"金黄色葡萄球菌",先后给予"青霉素钠"4 d、"阿奇霉素"5 d、"万古霉素"4 d,体温正常2 d。近2 d出现胸闷、气促、咳嗽,再次发热,热峰升至39.2℃,无寒战、抽搐、皮疹等,遂来我院。患病来,神志清,精神差,食欲、睡眠欠佳,大小便无异常。既往体健,否认外伤史。入院查体:T 38.4℃,P120次/min,R55次/min,Wt 32.4 kg,BP:右上肢160/84 mmHg(1 mmHg=0.133 kPa),左上肢151/83 mmHg,右下肢127/93 mmHg,左下肢114/58 mmHg。神志清,精神反应差,面色稍苍白,全身皮肤无黄染、皮疹、出血点及皮下结节,浅表淋巴结未触及肿大,咽部红,扁桃体Ⅱ°肿大。颈软,无抵抗,呼吸促,三凹征阴性,双肺呼吸音粗,可闻及少许湿啰音。心率120次/min,心音有力,律齐,腋前线第4肋间可闻及2/6级收缩期杂音。腹平软,无压痛、反跳痛及肌紧张,肝脾肋下未触及,肠鸣音正常,四肢末梢温,CRT 2 s,病理征阴性,足背动脉搏动弱。
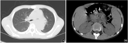
入院前外院检查:64排主动脉全程CTA:降主动脉近端局限缩窄;心脏彩超:主动脉缩窄,二尖瓣低回声赘生物(炎性?);血培养:金黄色葡萄球菌,红霉素耐药,对所有大环内酯类抗生素交叉耐药。入院后检查:血常规:WBC 10.79×109/L,RBC 3.44×1012/L,Hb 86 g/L,Plt 213×109/L,N 84.0%,L 11.0%,CRP 82.51 mg/L;G试验及GM试验阴性;细菌毒素动态定量检测<5 pg/ml;PCT、淋巴细胞亚群测定及免疫球蛋白正常;ESR、ASO、自身抗体谱、风湿六项、ANCA全套均正常;脑脊液常规、生化、培养正常;血培养、骨髓培养均为:金黄色葡萄球菌,对青霉素耐药,对苯唑西林、万古霉素、利奈唑胺等敏感;心脏超声:心脏各房室内径正常,未见明显赘生物,主动脉弓降部自左锁骨下动脉发出约26.0 mm处内径变窄,较窄处内径约2.9 mm,降主动脉远端前向血流4.59 m/s;胸部及腹部CT平扫(图1):左肺门及左后纵隔团片状软组织密度影;双肾大小、形态可,未见明显异常密度影。


入院诊断:1.感染性心内膜炎;2.主动脉缩窄;3.肺炎。诊断依据:患儿,男,10岁,反复发热,伴有咳嗽、胸闷,上肢血压高于下肢血压,双肺可闻及少许湿啰音,腋前线第4肋间可闻及2/6级收缩期杂音,足背动脉搏动弱,血培养及骨髓培养均为:金黄色葡萄球菌,64排主动脉全程CTA:降主动脉近端局限缩窄;心脏彩超:主动脉缩窄,二尖瓣低回声赘生物(炎性?);胸部CT示左肺门及左后纵隔团片状软组织密度影。
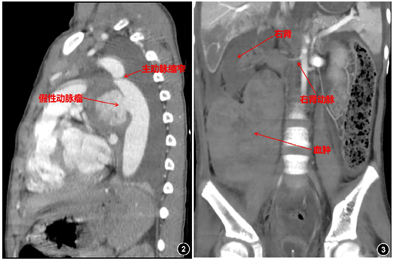
入院后予万古霉素、美罗培南抗感染及支持对症治疗,仍有发热,体温波动于38℃左右,于住院第5天偶诉胸痛、胸闷,可耐受,可自行缓解,复查心脏超声:肺动脉分叉处与降主动脉间见一囊实性回声包块,显示范围约74.8 mm×55.9 mm,内为等回声及无回声。于住院第6天胸痛、胸闷症状加重,伴多汗,每次持续1~20 min不等,前倾位稍缓解,伴呼吸、心率增快,发作时监测血压明显增高,收缩压最高达170 mmHg,含服硝苯地平后可暂时缓解。查体:精神反应欠佳,面色稍苍白,呼吸频率33次/分,三凹征阴性,双肺呼吸音粗,左肺呼吸音减低,可闻及少许痰鸣音,心率101次/分,心音有力,律齐,腋前线第4肋间可闻及2/6级收缩期杂音,足背动脉搏动弱,余未见明显阳性体征。行纵隔增强CT(图2):降主动脉起始段明显缩窄,直径约2.3 mm,狭窄段远端约17 mm处可见降主动脉前缘一膨大造影剂影突出腔外,最大截面约4 5mm×31 mm,上下长度约32 mm,主动脉裂口处宽度约19.4 mm,突出部分周围可见环状软组织密度影包绕,考虑假性动脉瘤形成;复查血常规:WBC 16.17×109/L,Hb 92 g/L,HCT 28.20%,Plt 357×109/L,N 87.0%,L 8.2%,CRP 69.11 mg/L。完善术前检查,于住院第9天全麻低温体外循环下行降主动脉瘤切除、主动脉缩窄切除、人工血管置换术、肺脓肿引流术。术中探查见主动脉峡部缩窄,内径0.3 cm,长约1.2 cm,缩窄段以远2.0 cm处起始主动脉破口,长约3.0 cm,横径1.5 cm,瘤体深入至左肺叶内,5.0 cm×6.0 cm×6.0 cm大小,左肺整体不张实变,张力较高。术中诊断:主动脉缩窄、降主动脉假性动脉瘤、感染性心内膜炎、肺炎并肺脓肿。病理检查示:壁内纤维组织增生及片状出血伴炎症反应,符合假性动脉瘤。术后呼吸机辅助通气,继续予美罗培南+万古霉素抗感染、硝普钠控制血压,体温正常,病情逐渐恢复。于住院第18天,患儿偶诉腹痛,可自行缓解,伴有低热,37.4℃,当天夜间,患儿突然腹痛加重,伴面色苍白、烦躁、意识淡漠。体格检查:T 37.4℃,P 120次/min,R 40次/min,BP右上肢110/65 mmHg。意识模糊,面色及口唇苍白,颈软,无抵抗,呼吸稍促,三凹征阴性,双肺呼吸音粗,未闻及明显湿啰音,心率120次/min,心音有力,律齐。腹韧,右下腹压痛、反跳痛及肌紧张,肝脾肋下未触及,肠鸣音正常,四肢末梢凉,CRT 4 s。急查腹部超声示:右腹部异常回声包块(血肿形成?),急诊腹部增强CT(图3):右肾动脉近段纤细,远端未见显示,右肾实质内可见数条纤细较淡造影剂血管影走行,右肾静脉未见明确显示。右肾受压右移,其内侧及下缘周围可见大片状不均质密度影,大小约90 mm×88 mm×121 mm,内部密度不均,未见明显强化,考虑为巨大血肿。立即全麻下行多学科联合手术(心内科、心外科、普外科、泌尿外科),行腹主动脉造影+肾动脉球囊扩张术+单侧肾切除术+腹膜后血肿清除术。行腹主动脉造影示右肾动脉造影剂外溢。右腹部脐上2 cm长约18 cm横切口,依次打开皮下、腹直肌、腹膜,见腹腔大量凝血块、不凝积血,右下腹膜外巨大血肿,肝脏受压,肠道移向右腹部,右肾呈暗红色,已失活,肾动脉不规则破裂达2/3直径。球囊充液扩张阻断腹主动脉近右肾动脉开口处血流(图4)。清除腹腔及腹膜外凝血块、积血等,暴露肾蒂,游离右肾动静脉、输尿管,7#丝线分别双重结扎、切断右肾动静脉,回抽球囊开放血流,未见出血。同时结扎、切断右侧输尿管,取出失活右肾(图4),充分止血,盐水2000 ml冲洗腹腔。术中诊断:肾动脉破裂;腹膜后血肿。病理诊断:右侧肾脏广泛出血、坏死(图5)。术后体温不稳定,血压仍高,且转氨酶逐渐升高,于住院第33天将万古霉素更换为利奈唑胺(斯沃),后体温逐渐正常,于住院第63天将抗生素降级为舒普深,3 d后停抗生素,观察2 d无症状,临床治愈,于2018年6月29日出院。






患儿出院后口服酒石酸美托洛尔片25 mg q12h,硝苯地平片10 mg q8h,卡托普利片12.5 mg q8h,氢氯噻嗪片25 mg q12h,螺内酯片20 mg,q12h,并限制活动。于1个月后复诊,一般状态可,无发热、咳嗽、胸闷、腹痛等症状,血压较前明显下降。于2月后(2018年8月29日)硝苯地平减停,继续口服美托洛尔、卡托普利、氢氯噻嗪、螺内酯。约3个月后(2018年10月20日)复诊:BP:左上肢104/57 mmHg,左下肢113/64 mmHg,右上肢105/53 mmHg,右下肢123/66 mmHg,停卡托普利、氢氯噻嗪、螺内酯,继续口服美托洛尔至2019年2月10日。随访2年患儿血压正常,无胸痛,心脏超声及左肾脏超声、肾功能正常。
90%以上的IE患儿存在易感因素,其中以先天性心脏病最多(78% ~89%)[6]。主动脉缩窄(coartation of aorta,CoA)是常见的先天性心血管畸形之一,自然寿命平均32~40岁,可并发IE、高血压、心力衰竭、脑血管意外和主动脉瘤破裂等[7]。临床上对IE的诊断主要依据是阳性的血培养和超声心动图检查。本例患儿外院心脏超声提示二尖瓣有赘生物,经治疗后我院复查心脏超声未见明显赘生物,考虑为赘生物脱落,我院血培养及骨髓培养均为金黄色葡萄球菌,根据2010年版《儿童感染性心内膜炎诊断标准建议》[8]本例患儿可诊断为IE。
IE导致的血管并发症可以发生在全身各个部位,但是颅外并发症很少见[9]。PSA是血管并发症中的一种罕见形式,可发生于外周动脉、肠系膜动脉、室间隔、左心室等部位,一般为单个部位,多为个案报道。发生机制主要由两个:1.IE病灶的直接侵蚀或蔓延,以主动脉根部为多;2.心腔内病原体赘生物脱落随血液播散到周围血管形成远处转移性栓塞和PSA[10]。由IE导致的PSA又称为感染性动脉瘤,可由细菌、真菌或病毒感染引起,但大多数为细菌感染所致,以金黄色葡萄球菌和链球菌属为主[11]。本例患儿血培养及骨髓培养均为金黄色葡萄球菌,引起降主动脉PSA形成及肾动脉破裂,实属罕见。入院时双肾CT平扫未见异常,故行增强CT时未扫描肾区,但事实上并不能排除此时即已存在肾血管损害的可能。如果尽早干预,是否有可能避免右肾全切?该患儿降主动脉PSA形成的可能原因为:由于弓缩窄形成的压力差,导致降主动脉产生涡流,引起血管内膜损伤,而细菌性栓子脱落并附着于该处,造成血管局部炎症,加速血管破坏,血液经破口进入周围组织,在血管周围形成血肿,继而由纤维组织包裹形成瘤腔,其瘤壁非完整的主动脉壁,可含主动脉的外膜或仅为结缔组织,临床症状无特异性,不以利于早期诊断;而第一次先心术后9天又出现肾动脉破裂,可能原因为:CoA的血流动力学改变主要是狭窄近心端血压增高,远端血流减少,即下半身及肾脏血供减少,再者由于CoA引起患儿长期高血压,导致肾动脉压力升高,肾动脉内膜受损,血管脆性增加,脓毒性栓子可能早期存在右肾血管,或者第一次手术时脓毒性栓子脱落至右肾血管,由于术前肾血供较少,细菌繁殖能力较差,CoA矫治术后,肾脏血供明显改善,引起细菌大量繁殖,加速对血管的破坏,导致肾动脉破裂。
PSA属于不稳定病变,任其发展可出现压迫症状、栓塞或瘤体破裂出血等严重并发症,对于多数患者手术是唯一有效的方法。典型的PSA临床表现为搏动性肿块,局部组织伴有肿痛,而这些表现容易被体表组织感染所掩盖,被误诊为蜂窝织炎、脓肿。但大多数PSA早期临床表现并不典型,诊断有一定难度,容易被漏诊,当病情发展到动脉瘤破裂形成PSA才被发现,故病情凶险[4,5]。周立君[3]报道1例18岁女孩因IE并发腹腔干PSA破裂导致死亡。彩色多普勒超声对PSA具有较高的诊断价值,可以作为PSA诊断及疗效评估的首选检查方法[12]。对于超声显示不清,诊断困难的病变,还应尽早完善CT血管造影(CTA)或数字减影血管造影(DSA)检查可以明确PSA的范围、破口的位置、数量、瘤体血流情况[13]。本例患者继发于IE的腹主动脉PSA及肾动脉症状不典型,前期仅表现为发热、胸闷、胸痛、腹痛,治疗中胸痛、腹痛突然加重,及时完善胸腹部超声及CTA检查明确诊断后及时给予内外科的镶嵌手术,防止失血性休克出现,保全了性命。
由CoA引起的高血压,经介入治疗或手术解除缩窄后,仍有些患者血压不能降低。可能与血管的反应性、动脉壁的顺应性和压力感受器反射功能的改变有关。术后残留高血压与手术年龄有关系,一般发生于>5岁的儿童病例,故主张矫治手术应在5岁以前[7]。本例患儿10岁,CoA矫治术后血压仍明显增高,再次印证了术后残留高血压与手术年龄有关系。出院后继续口服降压药物,后逐渐减停。
本例告诫:1.IE患者出现胸闷、胸痛、腹痛症状时应尽早查明有否PSA形成或破裂,一旦确诊应以最快速度手术治疗。2.确诊CoA者,5岁前进行矫治手术,防止高血压。
贾丽娟,燕笑尘,吕爱婷,等.感染性心内膜炎并假性动脉瘤形成及肾动脉破裂1例[DB/OL].中国临床案例成果数据库,2023(2023-02-23).http://journal.yiigle.com/LinkIn.do?linkin_type=cma&DOI=10.3760/cma.j.cmcr.2023.e00741.
所有作者均声明本研究不存在利益冲突





















