
患者,男性,49岁,因"车祸伤致意识障碍6 d"于2021年8月3日入院。平素体健,既往无特殊病史。因开放性颅脑损伤重型致意识及认知障碍。伤后当天行"颅内血肿清除术+凹陷性粉碎颅骨骨折清除术",术后持续脑脊液鼻漏,伤口渗液,持续昏迷伴发热,在我院行"颅骨骨折整复术+脑脊液漏修补术"。术后患者反复出现持续高热,伤口渗液伴皮缘坏死,常规抗生素治疗效果不佳,脑脊液培养及基因组测序均提示鲍曼氏不动杆菌、曲霉菌,提示颅内感染,治疗2个月后,再次出现反复高热并伴随脑积水。
患者住院期间,出现持续高热,且反复发生并伴随意识障碍。
患者入院期间完善相关辅助检查,根据症状体征等,结合影像学和病原学结果患者诊断为颅内感染、脑积水。
脑脊液漏修补术;腰大池持续引流和抗感染治疗;负压封闭引流术(vacuum sealing drainage,VSD);脑积水行脑室-腹腔分流术(ventriculoperitoneal shunt,VP分流术);颅骨修补术。
颅内感染治愈,脑脊液漏、脑积水治愈,认知功能障碍改善为正常。
神经外科;感染科;放射科;康复科
版权归中华医学会所有。本文为遵循CC-BY-NC-ND协议的开放获取文章。
颅脑损伤(Traumatic brain injury,TBI)是一种常见的外伤,按颅腔内容物是否与外界交通分为闭合性颅脑损伤和开放性颅脑损伤。根据伤情程度又可分为轻、中、重型。发病率为每年(108~332)/10万,是导致中青年人群死亡和残疾的首要原因[1]。重型TBI患者是指在心、肺功能稳定的情况下仍然无法服从简单指令的病患(GCS评分3~8分)。患者往往存在相当广泛的脑挫裂伤、脑干伤、急性颅内血肿等。对该类型患者应及时诊断和治疗,阻止脑损伤进一步加重,维持理想生存环境,防治并发症,促进神经功能的恢复。术后颅内感染,尤其是细菌性脑膜炎,是开颅术后严重的并发症和致死原因[2,3],因此预防和处理神经外科术后感染显得尤为重要。脑积水是开颅手术患者常见并发症之一,分流术是目前治疗脑积水最常用的方法[4]。我们报道1例重型颅脑损伤患者术后并发颅内感染和脑积水,经过治疗后恢复正常。本文旨在提高对颅脑损伤术后颅内感染和脑积水的诊断和治疗策略的认识。
患者,男性,49岁,车祸伤致意识障碍6 d。患者于6 d前开车时不慎被飞石击中头部,当即意识丧失,伴额部头皮裂伤,家人急送当地医院行头颅CT检查后提示颅骨骨折、颅内出血,给予"颅内血肿清除术"手术治疗,住院期间患者意识未见明显好转,为进一步治疗转入我院,以"重型开放性颅脑外伤"收入我科。自发病以来,患者神志昏迷,精神差,睡眠可,胃管、尿管固定在位,大小便无明显变化,近期体重无明显变化。既往史:无高血压、心脏病史,无脑血管疾病病史,无肝炎、结核、疟疾病史,预防接种史随当地进行,无输血、献血史,无食物、药物过敏史。个人史:生于原籍,无外地久居史,无疫水疫区接触史,无毒物、粉尘、放射性物质接触史,无饮酒、吸烟、毒麻药品等不良嗜好。无冶游史,无重大精神创伤史。婚育史:22岁结婚,配偶体健,夫妻关系和睦。育有1男体健。家族史:父亲已故(逝于心脑血管相关疾病),其母高血压病史;同胞5人均体健。家族中无类似病史及遗传病史。
体格检查:患者意识深昏迷,气管切开状态,留置胃管、尿管,二便无异常。GCS评分E1VTM3,头颅额面部正中有一Y字型伤口,已缝合,有淡黄色液体渗出,双侧眼睑青紫,双侧瞳孔不等大,左侧直径1.5mm,对光反射迟钝,右侧直径3.0mm,对光反射消失。双肺呼吸音稍粗,未闻及明显湿性啰音;心率齐,心脏各瓣膜区未闻及杂音;腹平坦、软,肝脾未扪及肿大,腹壁反射正常,肠鸣音可闻及,约4次/min。四肢肢体强直,肌张力稍高,双侧肱二、三头肌腱反射正常,双侧膝、跟腱反射正常,双侧Babinski征弱阳性,双侧Kernig征阴性。
头颅CT(图1)提示:双侧额叶脑挫裂伤并出血术后状态;颅骨CT三维成像(图2)提示:额骨骨质缺损,额窦壁、右侧眼眶内壁、上颌窦壁等多处骨折。脑脊液检查结果:葡萄糖<1.0 mmol/L,乳酸5.62 mmol/L,氯106.7 mmol/L,蛋白质1.19 mmol/L,白细胞计数(white blood cell count,WBC)83×106/L。




诊断:开放性颅脑损伤重型;颅内血肿清除术后;额叶脑挫裂伤;蛛网膜下腔出血;脑脊液漏;颅内感染。
鉴别诊断:(1)继发性脑干损伤。常继发于其他严重的脑损伤之后,如脑疝或脑水肿而引起脑干损伤,可通过CT等相关检查可以鉴别。(2)硬膜外血肿或急性硬膜下血肿。多有外伤史,有意识障碍及颅内压增高表现,可以通过CT/MRI等相关检查可以鉴别。
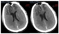
患者于伤后当天(2021年7月29日)在当地医院急诊行"颅内血肿清除术+凹陷性粉碎颅骨骨折清除术",术后持续出现脑脊液鼻漏,伴伤口渗液,持续昏迷,GCS评分E1VTM3。患者于2021年8月3日转入我院,于2021年8月5日在全麻下行"颅骨骨折整复+脑脊液漏修补术",开颅探查前颅底进行重建修补,额窦及筛窦存在裂缝,封填额窦和筛窦,并取大腿部部分阔筋膜、少量脂肪和肌肉填塞,术中见额部硬膜存在缺损,以人工脑膜进行严密缝合,留置皮下引流管,术后第3天引流量少,皮下引流管拔除。术后观察患者未再出现脑脊液漏。术后仍为昏迷状态,住院期间,间断出现发热,热型表现为不规则热。2021年8月8日行腰椎穿刺术并留取脑脊液检查,提示:WBC:83×106/L,葡萄糖<1.0 mmol/L,乳酸5.62 mmol/L,氯106.7 mmol/L,蛋白质1.19 mmol/L;脑脊液培养结果为:鲍曼氏不动杆菌;痰涂片可见革兰阳性球菌、阴性杆菌;考虑颅内感染并呼吸道感染。根据药敏结果给予以替加环素100mg、每12小时1次,联合万古霉素1.0g、每12小时1次抗感染治疗。患者仍存在持续高热,2021年8月10日行"腰大池置管外引流术",有黄色透明脑脊液流出,复查脑脊液结果提示:WBC:37×106/L,蛋白质1.18 mmol/L。2021年8月12日呼吸道标本培养提示:鲍曼氏不动杆菌,调用抗生素为多黏菌素50u、每12小时1次,联合替加环素100mg、每12小时1次,利奈唑胺600mg、每8小时1次,治疗呼吸道感染及预防革兰阳性球菌所致颅内感染。2021年8月16日患者意识呈昏迷状态,刺激能睁眼,体温间断高热,腰大池引流不通畅给予拔除。头部伤口愈合差,有少量脓性渗出,若进一步发展,有加重颅内感染可能,头部伤口给予留置VSD(图3)辅助伤口愈合。抗生素应用方案为多黏菌素50u、每12小时1次,替加环素100mg、每12小时1次,利奈唑胺600mg、每8小时1次。2021年8月17日复查脑脊液结果提示:WBC:350×106/L,蛋白质2.37 mmol/L,2021年8月19日患者呈浅昏迷状态,刺激可睁眼,患者痰培养、血培养、伤口分泌物培养均未见菌种生长,停用替加环素。体温较前稳定,感染基本控制。2021年8月24日复查脑脊液结果提示:WBC:8×106/L,蛋白质0.7 mmol/L,细菌培养未检出。查血清G试验结果为阴性GM试验<0.5 µg,肺泡灌洗液细菌培养未见菌种生长。复查头部CT示双侧额叶出血及水肿较入院时吸收,硬膜下少量积液(图4)。患者意识状态较前改善,回当地医院继续康复及支持治疗。




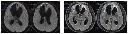
2021年9月24日患者间断高热,意识模糊较前加重,再次入院。脑膜刺激征阳性,行腰椎穿刺术,化验脑脊液提示:WBC:622×106/L,蛋白质1.34 mmol/L。脑脊液基因检测:土霉菌。行"腰大池置管外引流术",并予以伏立康唑200mg、每12小时1次,莫西沙星400mg、每日1次,利奈唑胺600mg、每8小时1次,亚胺培南1.0g、每8小时1次抗感染治疗。2021年9月27日行头颅MRI检查结果(图5)提示:脑积水,额部硬膜下及右侧脑室前角旁脓肿形成可能。2021年10月12日患者体温趋于稳定,化验脑脊液提示:WBC:77×106/L,蛋白质0.95 mmol/L。停用伏立康唑、利奈唑胺、亚胺培南,改为头孢曲松1g、每12小时1次抗感染治疗。


2021年10月18日,行"脑室腹壁外引流术",术后精神状态较前好转。2021年11月2日,患者GCS评分13分,简易智力状态检查量表(Mini-mental State Examination,MMSE)评分7分,转至康复科进行康复治疗,给予运动疗法、关节松动训练、平衡功能训练、电动起立床、等速肌力训练、低频、生物反馈、电针等综合康复治疗。2021年11月17日,患者住院期间间断出现高热,脑脊液培养提示:人葡萄球菌;脑脊液宏基因检测,提示真菌感染。给予脑室腹壁外持续引流,并给予伏立康唑200mg、每12小时1次抗真菌治疗,万古霉素1.0g、每12小时1次抗人葡萄球菌感染。2021年12月1日,患者体温趋于稳定,停用万古霉素、伏立康唑,给予氟康唑片(150mg)口服、每12小时1次抗真菌治疗。2021年12月14日,再次出现间断发热,转至感染科治疗。血培养结果未见明显异常,化验脑脊液提示:WBC:45×106/L,蛋白质0.62 mmol/L,继续给予氟康唑片(150mg)口服、每12小时1次抗真菌治疗,加用万古霉素1.0g、每12小时1次抗感染治疗。复查头颅MRI提示脑积水较前稍减轻,患者GCS评分13分,MMSE评分9分。2022年1月10日,患者体温稳定,未再发热,化验脑脊液提示:WBC:35×106/L,蛋白质0.48 mmol/L,停用万古霉素、氟康唑片,并转入神经外科。2022年1月17日,行"脑室腹壁外分流管拔除+VP分流术"控制脑积水。术后半月出院,此时患者的认知功能较前改善,MMSE评分15分,出院后于外院继续康复治疗。
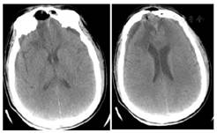
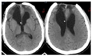
2022年4月11日,患者头颅CT提示脑积水较前较少(图6),患者GCS评分15分,MMSE评分21分,认知功能改善至轻度认知功能障碍。2022年5月17日,行"颅骨修补术"(图7)。术后1个月,患者GCS评分15分,MMSE评分27分,认知功能改善至正常。




患者已出院,2022年6月15日随访,颅内感染已治愈,未再出现发热。头颅CT未见明显异常。GCS由E1VTM3改善至E4V5M6,MMSE由0分改善至27分,认知功能由重度认知功能障碍改善为正常。
重型开放性颅脑损伤术后会出现多种并发症,包括脑脊液漏、颅内感染、创伤性脑积水等。脑脊液漏是颅脑损伤后的严重并发症,可导致颅内感染,多由于开放性颅骨骨折同时撕裂硬脑膜和蛛网膜,脑脊液经骨折缝流出,一般均为颅底骨折所致,前颅底骨折多为脑脊液鼻漏,颅中窝骨折多为多为脑脊液耳漏[5]。颅内感染常表现为脑膜脑炎和脑脓肿。创伤性脑积水多由于颅脑损伤后引起蛛网膜下腔出血、大量的血性脑脊液对脑膜产生刺激引起的无菌性炎症,在蛛网膜与软脑膜之间发生粘连,堵塞蛛网膜颗粒,造成脑脊液循环和吸收障碍,引起交通性或阻塞性脑积水;或因去骨瓣减压后,严重脑膨出、移位,导致脑脊液循环受阻引起[6]。
本例患者首次入院时即存在脑脊液鼻漏,且流出量较多,呈持续性外渗,患者头部伤口也有淡黄色渗出。结合患者额部粉碎性骨折,并且额叶血肿清除术后,考虑为脑脊液经额窦渗出,伤口可疑脑脊液漏。脑脊液漏的主要危害是引起颅内反复感染[7]。对脑脊液漏的诊断通常是取漏出液作糖试纸检测,可判断是否为脑脊液。本例患者在确诊为脑脊液漏之后,首先给予抗生素头孢曲松1g、每12小时1次预防颅内感染,平卧位头部抬高约20°。考虑到患者存在前颅底骨折,并且额窦壁、上颌窦壁、蝶窦壁、筛骨板骨折,并且脑脊液持续外渗有增多趋势,决定予以手术修补漏口。
对于本例开放性颅脑损伤并伴有颅底骨折、脑脊液漏的患者,易引起脑膜脑炎。临床表现为高热、颈抵抗,严重时出现脑室积脓。细菌以头皮定植菌和病房常见院内感染菌为主,常见致病菌为:金黄色葡萄球菌、表皮葡萄球菌、链球菌、大肠埃希菌、铜绿假单胞菌、肺炎克雷伯菌、鲍曼氏不动杆菌等[5]。病原菌可从创口进入,本例患者伤口愈合不良,伴有皮下脓肿,也是导致颅内感染的危险因素。在病原菌未明确之前,根据经验应用易透过血脑屏障的广谱抗生素,针对革兰阳性菌可选择万古霉素、利奈唑胺等,针对革兰阴性菌可选用头孢菌素、美罗培南等。之后可根据细菌培养和药敏结果调整抗生素。另外脑室外引流管和腰大池持续引流管的长时间留置,可为逆行导致颅内感染的危险因素,感染发生率相应增加。通过对本例患者治疗过程的思考,外引流管不宜留置时间过长,适时拔除外引流管也是控制颅内感染的重要措施。
对于慢性创伤性脑积水的患者,脑积水原因多为脑脊液吸收障碍所致,多见于伤后3-6周。表现为脑积水症状,逐渐出现痴呆、步态不稳、反应迟钝及行为异常。合并有严重颅内感染病程的患者尤其多见慢性脑积水。创伤性脑积水的诊断主要依靠明确的脑外伤病史,伤后持续昏迷或苏醒后意识又无端恶化,并可出现精神症状。颅脑CT检查提示脑室系统扩大伴脑室尤其是额角周围有明显的间质水肿带即可明确诊断。一旦脑积水诊断明确,应尽早根据不同压力水平脑积水的病理生理特点选择个性化的手术方案[8]。
颅骨缺损和认知障碍是颅脑损伤术后常见的后遗症。颅骨缺损后,缺损区可出现膨隆或塌陷,影响脑脊液循环,进而导致脑积水的发生[9]。颅骨缺损的治疗是行颅骨修补术,颅骨修补的时机仍存在争议[10,11,12],如不存在颅内感染的情况下,一般认为可在伤后3个月进行,若伤口愈合良好、颅内血肿完全吸收、脑水肿完全消失、病情稳定的情况下应尽早进行颅骨修补,有助于脑功能的康复并减少脑积水的发生率;如为感染性伤口,手术时间应延迟至伤口愈合后半年以上。
本文通过对重型开放性颅脑损伤术后出现多种并发症及对应的处理策略进行了报道,有助于临床医师对重型开放性颅脑损伤术后多种并发症的诊断和治疗。
陈奎,梁文佳,朱青云,等.重型开放性颅脑损伤术后颅内感染、脑积水1例[DB/OL].中国临床案例成果数据库,2023(2023-02-24).http://journal.yiigle.com/LinkIn.do?linkin_type=cma&DOI=10.3760/cma.j.cmcr.2023.e00760.
所有作者均声明本研究不存在利益冲突





















