
患者,男性,47岁,2022年7月13日凌晨因喝酒后(约700 ml白酒)出现意识不清、呼之不应伴口唇青紫、小便失禁被送当地医院急诊科就诊,考虑"急性酒精中毒",给予解酒促醒、保胃药物对症治疗。早8:00患者仍处昏迷状态,出现口唇四肢紫绀,对光反射消失,血压、血氧降低,为维持患者生命体征遂行气管插管术,并转院至上一级医院就诊,考虑酒精中毒性脑病、肺部感染,给予对症治疗,8月8日患者为求进一步康复治疗就诊我院高压氧科。患者酗酒史20年,每日饮白酒2斤,吸烟史6年,每日15支。
心电监护:心率98次/分,氧饱和度98%,血压120/80 mmHg ,患者一般情况较差,平车推入,体形消瘦,精神差。无口眼歪斜,双肺呼吸音粗,双下肺可闻及湿性啰音,腹平软,移动性浊音阴性。皮肤湿冷,无紫癜。神志欠清,自言自语,问答不应,双侧瞳孔直径3 mm,对光反射存在。四肢肌张力增高,呈不自主颤动,肌力、感觉及共济查体不配合,双侧巴氏征(+)。
通过格拉斯哥昏迷指数(GCS)评分法、修订的昏迷恢复量表(CRS-R)、头颅核磁检查来评价HBOT联合治疗对急性酒精中毒性脑病合并缺血缺氧性脑病患者的治疗效果。
给予高压氧治疗(hyperbaric oxygen therapy,HBOT),同时给予常规对症治疗。
经过1个疗程的HBOT后,临床主要症状得到明显改善,意识障碍明显好转。
神经科;高压氧科;急诊科
版权归中华医学会所有。本文为遵循CC-BY-NC-ND协议的开放获取文章。
酒精中毒性脑病是慢性酒精中毒的常见并发症,它是由于人们长期大量饮酒造成身体新陈代谢紊乱,并直接损害中枢神经系统的一种高危疾病。慢性酒精中毒性脑病患者因为长期饮酒导致神经组织发生脱髓鞘改变与周围神经受损,如果短时间内大量饮酒后,会进一步加重神经系统损害,引发急性酒精中毒性脑病。在我国,随着人们生活水平的不断提高,急慢性酒精中毒性脑病的发病人群也在不断增加。然而由于其治疗手段有限,整体治疗效果欠佳,大多数患者无法完全恢复至正常。HBOT能够迅速增加体内血氧含量,提高血氧张力及有效血氧弥散半径,增强毛细血管的通透性,降低损伤神经组织水肿,快速将组织缺氧缓解,促进细胞内葡萄糖有氧氧化,将神经组织正常能量代谢恢复,进而推动损伤神经的恢复,提高治疗效果。现对1例酒精中毒性脑病合并缺血缺氧性脑病的患者进行分析,探讨HBOT对酒精中毒性脑病患者神经功能恢复的影响,为高压氧的临床治疗工作提供参考依据。
患者,男性,47岁,2022年7月13日凌晨因喝酒后(约700 ml白酒)出现意识不清、呼之不应伴口唇青紫、小便失禁被送当地医院急诊科就诊,查头颅CT示无明显异常,心电图示窦性心律,多导联ST-T改变,考虑"急性酒精中毒",给与解酒促醒、保胃药物对症治疗,早8:00患者仍处昏迷状态,出现口唇四肢紫绀,查体双侧瞳孔等大等圆,对光反射消失,无压眶反射,血压92/43 mmHg,血氧饱和度49%,考虑酒精中毒致大脑中枢受损,为维持患者生命体征遂行气管插管术,并转院至上一级医院就诊,考虑酒精中毒性脑病、肺部感染,给予醒脑静改善微循环,吡拉西坦、胞磷胆碱钠改善脑代谢,头孢曲松钠、美罗培南抗感染,阿司匹林、氯吡格雷双联抗血小板聚集,阿托伐他汀调脂稳定斑块,有创呼吸机机械辅助通气。7月20日患者可睁眼,不能交流,予以拔出气管插管,给予储氧面罩吸氧,8月8日患者为求进一步康复治疗就诊我院高压氧科,以"酒精中毒性脑病"收住入院,发病以来,睡眠一般,胃管鼻饲肠内营养,留置导尿管,尿量可,大便正常。
患者既往体健,否认冠心病、高血压、糖尿病、脑血管病等慢性病史,否认家族性遗传病史,否认外伤史,无疫区接触史,否认冶游史。酗酒史20年,每日饮白酒2斤,吸烟史6年,每日15支。
查体:心电监护:心率98次/分,氧饱和度98%,血压120/80 mmHg ,患者一般情况较差,平车推入,体形消瘦,双肺呼吸音粗,双下肺可闻及湿性啰音,腹平软,移动性浊音阴性,皮肤湿冷,无紫癜。双侧瞳孔直径3 mm。神志欠清,自言自语,问答不应。对光反射存在,眼动充分,眼震(-),双侧鼻唇沟对称,无口眼歪斜,四肢肌张力增高,呈不自主颤动,双侧巴氏征(+),肌力、感觉及共济查体不配合。
入院检查:血常规:白细胞7.50×109/L,血红蛋白121 g/L,血小板451×109/L;尿常规:白细胞计数62.4/µL,红细胞计数3106.2/µL,细菌计数532.7/µl,尿蛋白30(+)mg/dl;生化:钠133.7 mmol/L;血浆纤维蛋白原513.2 mg/dl,降钙素正常。
胸部CT示(2022年7月26日):双下肺炎性改变。
头颅动脉血管MRA(2022年7月26日):未见明显异常。
冠状动脉造影(2022年8月3日):未见明显异常。
心脏超声检查(2022年8月10日):未见明显异常。
泌尿系超声检查(2022年8月13日):前列腺增大伴钙化。
下肢血管超声检查(2022年8月16日):左侧小腿肌间静脉血栓。
脑血管超声检查(2022年8月18日):脑动脉血流硬化型频谱,右侧大脑半球及右侧椎动脉颅内段流速减低。
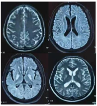
头颅MRI+DWI+SWI(2022年7月26日):双侧基底节区、放射冠小血管闭塞性脑梗塞可能;脑白质变性;双侧苍白球区对称性异常信号改变(图1)。


复查头颅MRI(2022年8月16日):脑实质内多发异常信号,考虑符合缺血缺氧性脑病改变,其中双侧豆状核凝固坏死,苍白球坏死,双侧枕叶缺氧性改变,伴皮层坏死;双侧乳突炎(图2)。


格拉斯哥昏迷指数(GCS)评分:HBOT前12分;HBOT 5次后13分;HBOT 10次后15分。
修订的昏迷恢复量表(CRS-R)评分:HBOT前10分;HBOT 5次后14分;HBOT 10次后18分。
简易精神状态检查(MMSE)和蒙特利尔认知评估量表(MoCA量表)患者无法配合检查。
患者有长期的饮酒史,大量饮酒后出现意识障碍,考虑酒精中毒性脑病,患者在病程中有口唇紫绀、血压降低,行气管插管术,头颅MRI提示:脑实质内多发异常信号,考虑符合缺血缺氧性脑病改变,其中双侧豆状核凝固坏死,苍白球坏死,双侧枕叶缺氧性改变,伴皮层坏死;双侧乳突炎,考虑患者同时存在缺血缺氧性脑病。需与以下疾病相鉴别:①一氧化碳中毒后迟发性脑病:急性一氧化碳中毒在病情好转数天或数周后部分患者会出现精神症状、反应迟钝、智能低下、肌张力增高、大小便失禁、昏迷等症状。该类患者必须有一氧化碳接触史,该患者否认接触CO,相关指标正常,可排除。②肝性脑病:是由严重肝病引起的以代谢紊乱为基础的中枢神经系统功能失调的综合征,主要表现是意识障碍、行为失常和昏迷。该患者查肝功能、血氨无异常,可能性小,必要时可行脑电图进一步排除。③脑外伤:脑外伤可引起不同程度的永久性脑部功损害,局灶性症状包括运动、感觉、语言功能异常等症状,弥散性脑损害可影响记忆、认知、意识等功能,患者否认脑外伤病史,可能性小。④血管性痴呆:指由缺血性卒中、出血性卒中和造成记忆、认知和行为等脑区低灌注的脑血管疾病所致的严重认知功能障碍综合征,患者危险因素少,无明确脑血管病证据,可能性小。⑤精神分裂症:表现为症状各异的综合征,涉及感知觉、思维、情感和行为等多方面的障碍以及精神活动的不协调,必要时心理科会诊以除外。
1.排除禁忌证后给予HBOT。具体治疗措施如下:采用潍坊华信锅炉氧舱制造公司生产的YC4030-37医用高压氧舱,治疗时氧舱压力为0.2 MPa,加压时间为25 min,待进入稳压状态后开始吸氧,吸氧时间为60 min,减压时间为30 min,每天1次,10次为1个疗程,共治疗2个疗程,第1个疗程结束后,休息1周再继续第2个疗程。
2.一般性治疗:给予巴氯芬口服缓解肌张力;患者曾有口唇紫绀,行气管插管术,考虑缺氧性脑病脑损害,给予金刚烷胺改善损伤;患者咳嗽、咳黄痰,胸部CT提示炎症,考虑肺部感染,给予甲氧那明平喘、氨溴索化痰、头孢哌酮舒巴坦3 g bid抗感染治疗;给予能全力100 ml qd鼻饲。
HBOT一个疗程后,患者的精神好转,表情安静,神志清楚,呼之能应,能回答简单问题,无自语表现,查体可配合,四肢肌张力较前降低,能够配合做出简单的抬举、握手等动作,四肢不自主颤动消失,感觉及共济查体不配合。格拉斯哥昏迷指数(GCS)评分由HBOT前12分上升到15分,修订的昏迷恢复量表(CRS-R)评分由HBOT前10分上升到18分。日常生活能力评分(ADL)
对于急诊酒精性脑病的患者报道不多,但是酒精性脑病是慢性酒精中毒的常见并发症,在临床上并不少见,由酒精性脑病引起的患者昏迷也是急诊科常见的病患,其发生率呈现逐年增多的趋势,一般患者大量饮酒后酒精会在30 min至3小时内被身体全部吸收,并分布在身体含水的组织与体液中,酒精能够透过脑神经细胞膜,作用在小脑并引起昏迷,患者引入的大量酒精有大部分在肝脏氧化,也有部分被小肠上段吸收,急性酒精中毒时脑内啡释放明显增加[i]。本例患者在大量饮酒后直接出现意识丧失,故考虑本患者大脑皮层功能因长期饮酒受到损害比较严重,本次饮酒后进一步加重了脑部皮层功能受损的程度,病程中患者出现血压下降、口唇紫绀等症状,进行气管插管,考虑患者酒精中毒性脑病伴发缺血缺氧性脑病,结合患者长期吸烟史,肺功能受损,考虑发病时大脑缺氧程度比较严重,故患者始终处于昏迷状态。酒精中毒导致的脑损害范围较为广泛,其临床表现与病变部位密切相关,急性酒精中毒性脑病主要是因为酒精属亲脂性小分子化学物质,可迅速通过血脑屏障和细胞膜并与大脑组织中的卵磷脂结合并沉积下来,引起中枢神经系统的损害,对大脑皮层神经细胞先兴奋后抑制,产生不同的临床表现,轻度患者处于欣快、话多、行为粗鲁等兴奋状态;重度患者,生命中枢长期受酒精抑制,可出现语无伦次、步履不稳,甚至昏迷等神经系统症状,严重时可致死亡[ii];慢性酒精中毒导致的脑损害其机制与慢性酒精作用促进氧化应激和神经炎性反应、抑制神经营养因子和黏附分子表达、破坏神经胶质细胞及其功能、影响神经递质释放以及干扰细胞内信号传导等密切相关,酒精可从分子、细胞和组织等多个水平对脑组织造成直接或间接损害,包括诱导神经细胞凋亡和脑组织萎缩、破坏突触结构及其功能、影响神经系统发育成熟等,进而造成神经系统功能不可逆损害[iii]。
在我国酒精中毒性脑病的发病人群也在不断增加,一方面由于酒精中毒起病隐蔽,病情呈进行性变化,所以不易引起重视,急诊时常漏诊和误诊,错过治疗的最佳时期,另一方面对于慢性酒精中毒性脑病临床上缺乏有效的治疗方法和干预手段,导致整体治疗效果欠佳,所以大多数酒精中毒性脑病患者无法完全恢复至正常,HBOT可以为酒精中毒性脑病的患者提供一个选择。
首先,HBOT是国内用于意识障碍患者促醒比较普遍的治疗方法[iv]。各种原因导致的脑损伤均可造成脑微血管完整性的破坏和脑灌注的减少,降低脑代谢和神经元活性,进而导致突触丢失和神经元连接紊乱;损害区域脑组织无氧代谢增加、ATP耗竭,最终导致能量短缺和愈合过程停止;其次氧水平降低,导致神经元活性下降,组织新的突触连接和血管生成;一方面,HBO能修复脑血管和改善脑血流的循环,诱导轴突白质再生,刺激轴突生长,促进轴突再生所需的血管生成和/或细胞增殖,另一方面,HBO可以通过增强神经元和胶质细胞的线粒体功能来改善细胞代谢,减少细胞凋亡,减轻氧化应激,提高神经营养素和一氧化氮水平,甚至促进内源性神经干细胞的神经发生,总之HBO可能从多种机制发挥促进昏迷觉醒的作用,降低病死率,为患者逐步的意识恢复和功能康复奠定基础[v]。所以对于酒精中毒性脑病重度患者,出现语无伦次、步履不稳,甚至昏迷等神经系统症状,积极进行HBOT,对改善患者意识状态、功能康复有着积极作用。
其次,慢性酒精中毒性脑病是一个慢性进展性过程,呈不可逆性并伴有多种病理学改变。主要是由于长期饮酒导致神经组织常发生脱髓鞘改变与周围神经受损,严重时导致神经细胞死亡;其次,大量饮酒会加快动脉硬化,发生微血管病变,降低磷酸肌酶,增加乳酸含量,降低氧分压等情况,从而引发神经纤维轴索髓鞘变性;HBOT能够增加血氧含量,提高血氧张力及有效血氧弥散半径,增强毛细血管的通透性,降低损伤神经组织水肿,快速将组织缺氧缓解,促进细胞内葡萄糖有氧氧化,将神经组织正常能量代谢恢复,进而推动损伤神经的恢复[vi]。另外,HBOT还可以修复因缺氧而发生损伤的脑细胞,修复受损的血管内膜,进而预防血栓的形成,有效保护缺血半暗带的神经细胞[vii];与此同时,它还可以缓解机体的免疫反应,降低脑部血流量,继而达到降低颅内压、缓解脑水肿的目的,在提高细胞稳定性的同时纠正机体的酸碱失衡现象[viii]。
本例患者酒精中毒性脑病合并缺血缺氧性脑病,入院时患者神志欠清,查体不能配合,通过HBO治疗联合常规治疗后,患者神志、认知功能均在持续改善,四肢肌张力较前下降,但是通过患者7月26日和8月16日的头颅MRI可以得出,患者脑部组织的缺血缺氧损伤是处于进展加重的过程,与患者临床表现不相符,考虑是因为HBO治疗的介入,一方面及时遏制住了脑部缺血缺氧的继续损伤,避免了病情的进一步恶化,另一方面很大程度改善脑部组织缺氧状态,促进了脑组织的修复,导致患者临床症状得到了改善,而患者影像学改变呈加重表现是因为在病灶动态变化上,MRI病灶信号消退较临床症状和体征恢复为迟[ix],所以临床症状和体征与MRI改变并非并行,由此可以得出酒精中毒性脑病患者神经功能恢复情况与HBOT的治疗时机有着密切关联,具体有待进一步研究。本例研究患者在常规治疗的基础上联合HBOT 2个疗程后,临床主要症状得到明显改善,智能、意识障碍明显好转,疗效显著,说明常规治疗联合HBOT,可以改善脑部缺氧状态,修复受损脑组织和神经组织,提高临床治疗效果,同时为患者的功能康复奠定良好基础,临床应用价值显著。另外,虽然HBOT疗效肯定,耐受性良好,可明显且快速改善患者的临床症状,但依然不能替代戒酒及相应药物治疗,只有在综合治疗的基础上配合HBOT才有可能获得更好的治疗效果。
王磊,杨晶,张奕.高压氧治疗酒精中毒性脑病合并缺血缺氧性脑病1例[DB/OL].中国临床案例成果数据库,2023(2023-03-01).http://journal.yiigle.com/LinkIn.do?linkin_type=cma&DOI=10.3760/cma.j.cmcr.2023.e00785.
所有作者均声明本研究不存在利益冲突





















