
患者,男性,16岁,出生后1个月行常规检查时,听诊发现心脏杂音,超声心动图示:矫正型大动脉转位,室间隔缺损,当时未行手术治疗,此次为求进一步手术治疗入院。入院后完善相关检查,行一个半心室矫治术、二尖瓣成形术、体肺侧支血管缝扎术、延迟关胸,持续重症监护,于术后第3天行下腔静脉心房内隧道狭窄矫治术、右心室外管道疏通、关胸术。
生命体征极不稳定,伴随多脏器功能障碍,需大剂量血管活性药物持续泵入维持血压,心率快,呼吸机辅助呼吸,听诊双肺呼吸音弱,皮肤巩膜黄染,尿量减少。
结合患者病史、手术方式、实验室检查、影像学检查、上下腔静脉监测等手段。
手术治疗、机械通气、连续性血液净化、血浆置换、镇痛镇静、抗感染、利尿、补液、纠正贫血及凝血功能、补充白蛋白、对症支持、营养支持等治疗。
经过重症监护室及多学科共同治疗,患者于术后第33天转出ICU,于术后第48天出院。
心脏外科;ICU
版权归中华医学会所有。本文为遵循CC-BY-NC-ND协议的开放获取文章。
先天性矫正型大动脉转位(Congenitally Corrected Transposition of the Great Arteries,ccTGA),即解剖右房连接解剖左室连接肺动脉,解剖左房连接解剖右室连接主动脉的一种复杂先天性心脏病,约占先心病的0.6%~1.4%[1]。一个半心室矫治术即半Mustard术、Rastelli术及双向Glenn术[2]。本例患者16岁,术前已出现右室进行性衰竭,而选择一个半心室矫治术,可提高长期生存率,而术后出现下腔静脉心内隧道梗阻并发症,目前国内报道较少,我们报道一例矫正型大动脉转位一个半心室矫治后内隧道狭窄诊疗管理。
患者,男性,16岁,身高167 cm,体重49.4 kg,出生后1个月行常规检查时,听诊发现心脏杂音,超声心动图示:矫正型大动脉转位,室间隔缺损。因家庭经济情况及当地医疗条件不佳未行手术治疗。患儿平素表现为口唇、面颊及四指(趾)不同程度的发绀,轻微活动后加重,有缺氧发作时静息或吸氧可缓解,杵状指,发育差,体质差,易感冒,活动耐力差,喜蹲踞,易出汗,偶有不明显诱因的头痛,发作时对症治疗。患儿入院5年前有过脑炎病史、缺氧发作史、跌倒史。否认高血压、糖尿病、高脂血症;否认新型冠状病毒型肺炎病史及14天内中高风险地区旅居史、结核等其他传染病史及疫区居住、手术外伤、输血史,否认食物药物过敏史。
患者入院查体:体温36.4℃,脉搏98次/分,呼吸21次/分,血压147/91 mmHg;SPO2 60%;发育正常,营养中等,无病容,表情自如,神志清楚,自主体位,查体合作。口唇明显青紫,面部青紫,双肺呼吸音清,未闻及明显干湿啰音,心音可,律齐,P2<A2,胸骨左缘2、3、4肋间闻及2-3/6级粗糙的收缩期杂音。腹部平坦,腹壁软,全腹无压痛,无反跳痛、肌紧张反跳痛、肌紧张,肝肋下未触及,胆囊未触及,脾不大,无移动性浊音,双侧肾区无叩痛,肠鸣音正常。双下肢无水肿。四肢末梢青紫,伴杵状指(图1)。


入院后,完善各项术前检查,包括心脏超声(图2),心脏及大血管CT(图3),调整患者营养状况,进行呼吸功能训练并多次进行多学科团队讨论。最后明确术前诊断:先天性心脏病:矫正型大动脉转位,室间隔缺损,肺动脉及其瓣下狭窄,二尖瓣中量返流,体肺侧支循环,间断加速性室性自主心律,室性早搏,房性早搏。




患者于入院后第17天,于全麻低温体外循环下,胸骨正中切口开胸行一个半心室矫治术、二尖瓣成形术、体肺侧支血管缝扎术。一个半心室矫治术即半Mustard+Rastelli+双向Glenn手术,先行心房调转。将原房间隔完全切除,剪开上方边缘进一步扩大房间隔开口。取牛心包片或Gor-tex材料补片从三尖瓣环最上方点到下腔静脉口建立心房隧道(将冠状静脉窦包括入内隧道),必要时剪开冠状窦前壁将冠状窦去顶以扩大隧道横截面。切开右心室流出道,取涤纶补片经右心室切口建立左心室-主动脉内隧道,然后取同种带瓣管道或牛颈静脉带瓣管道重建右心室-肺动脉通道。开放主动脉阻断钳后,行双向Glenn手术[2]。手术历时834分钟,体外循环时间355分钟,主动脉阻断141分钟。术后早期引流多、心肌水肿、血流动力学不稳定,给予延迟关胸。
术后入ICU血气分析:pH 7.22,PCO2 57mm Hg,氧分压141 mmHg(机械通气,FiO2 60%),碱剩余-5.0 mmol/L,氧饱和度98%,血糖9.7 mmol/L,血乳酸11.4 mmol/L,红细胞压积0.55,查血钾5.4 mmol/L,离子钙1.26 mmol/L,血钠151 mmol/L。
实验室检查:白细胞计数10.4×109/L,血红蛋白155 g/L,血小板计数90×109/L,中性粒细胞百分数84.60%,降钙素原8.01 ng/ml,尿素10.8 mmol/L,肌酐95μmol/L,总胆红素113.6μmol/L,直接胆红素60.4μmol/L,间接胆红素53.2μmol/L,丙氨酸氨基转移酶576 IU/L,天门冬氨酸氨基转移酶551 IU/L,白蛋白39 g/L。凝血酶原时间19.4 s,国际标准化比值1.75,活化部分凝血活酶时间52.7 s,纤维蛋白原1.37 g/L,凝血酶时间34.1 s。
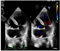
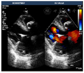
心脏超声:下腔静脉-右房-三尖瓣-肺动脉位人工带瓣管道依序连接,肺动脉人工管道内血流速度约2.3 m/s,压差约21 mmHg,下腔静脉内径约22 mm,略呈椭圆形,随呼吸运动变化幅度减低(图4)。


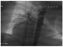
造影测压:肺动脉压47/15/26 mmHg,右室103/12 mmHg,三尖瓣上40/5 mmHg,右心房测34/27 mmHg(图5)。


患者诊断为一个半心室矫治术后、二尖瓣成形术后、体肺侧支血管缝扎术后、下腔静脉心内隧道梗阻、肾功能异常、肝功能异常。
手术治疗、机械通气、胸腔闭式引流、连续性血液净化(CVVH)、血浆置换、镇痛镇静(舒芬太尼、咪达唑仑、右美托咪定)、抗感染、利尿、补液、纠正贫血及凝血功能、补充白蛋白、对症支持、营养支持等治疗。
患者术后早期延迟关胸,应用艾贝宁0.8 μg/kg·h,咪达唑仑1μg/kg·min给予镇静,舒芬太尼0.1μg/kg·h给予镇痛以维持安静状态。当患者有疼痛或躁动表现(CRIES疼痛评分≥3分,或在给予任何疼痛刺激的操作前),给予单剂量芬太尼0.5μg/kg静脉注射。静脉注射镇静、镇痛药物时,采用滴定方法缓慢注射,严密监测血压变化以免发生低血压。术后当天引流偏多,胸腔引流液共1550 ml,术后20分钟起开始输注新鲜冰冻血浆1080 ml及冷沉淀8 U,输注完毕后复查APTT39.1 s,纤维蛋白原2.02 g/L,血小板计数28×109/L,继续输注血小板2 U,检查APTT 57.3 s。根据血液指标,补充血制品,调整凝血功能。
术后前2天无尿,肾功能指标上升,选择连续血液净化治疗(CVVH),脱水量在150~200 ml,早期APTT波动在45~59 s,采用无肝素抗凝血液净化治疗,逐渐调整患者凝血功能后,泵上肝素4 mg/h,APTT维持30 s左右,术后第20天,患者自主尿量可以满足机体正常代谢,肾功能恢复,停止连续血液净化治疗。
术后第3天晨患者潮气量逐渐下降,双肺呼吸音低,超声显示双侧胸腔积液及腹腔积液,给予安置双侧胸腔闭式引流管及腹腔引流管,左右胸腔引流液共1320 ml,腹腔引流液895 ml。保持引流通畅,监测引流量、颜色、性质,术后12 d拔除引流管。
术后第3天下午,患儿突然频发室上性心动过速,心率98次/分,血压71/54 mmHg,PIVC 17~22 mmHg,LAP 15 mmHg,SPO2 94%,行造影检查,提示下腔静脉心房内隧道处存在血栓。肝功能各项指标呈上升趋势,遵医嘱给予注射用丁二磺酸腺苷蛋氨酸500 mg每日2次及甘草酸苷20 ml每日1次静脉注射。
患者术后第4天于全麻体外循环下行下腔静脉心房内隧道狭窄矫治术,术中测压情况:术前右心室测压:105/738 mmHg,管道近段100/538 mmHg,管道远段99/1139 mmHg,右肺动脉20/-312 mmHg,主动脉压95/4861 mmHg。术后右心室测压:73/329 mmHg,管道近段69/1129 mmHg,管道远段58/1023 mmHg,右肺动脉23/1115 mmHg,左肺动脉23/1015 mmHg,术毕再次返ICU。呼吸机辅助控制通气(FiO2:60%,PEEP:6 cmH2O,PC above PEEP:14cmH2O,潮气量:358 ml),患者窦性心律,心率107次/分,血压86/56 mmHg,肛温36.5℃,呼吸16次/分。双侧瞳孔等大等圆,对光反射迟钝,口唇无发绀;双侧呼吸音粗糙,未闻及干湿啰音;静脉应用肾上腺素、去甲肾上腺素、垂体后叶素及米力农,根据循环调整药物剂量。
术后第11天,患儿肝功能指标急剧上升,查体皮肤及巩膜黄染,由于之前患者出现大量胸腹腔积液,低蛋白血症,结合患者术后早期出现的下腔静脉心房内隧道狭窄,静水压升高、肝淤血,导致急性肝衰竭,遵医嘱行血浆置换治疗[3],管路管理同CRRT。经过两次血浆置换治疗,胆红素指标逐渐下降。
患儿于第13天拔除气管插管,间断无创通气辅助呼吸。
术后第14天复查肝功能明显好转,总胆红素从388.6μmol/L下降至166μmol/L,直接胆红素从274μmol/L下降至147μmol/L,间接胆红素从86μmol/L下降至19μmol/L,指标均呈持续下降趋势,皮肤及巩膜黄染症状减轻。
术后第17天,患儿病情平稳,肠鸣音可闻及,遵医嘱给予肠内营养匀浆膳,患儿可缓慢自主进食,消化、吸收可[4],胃肠功能逐渐恢复。
一个半心室矫治术在治疗合并心脏位置异常及左室流出道梗阻的矫正型大动脉转位时可降低右室功能不全的发生率,延长外管道的使用寿命且手术操作相对简单。尽管面临诸多挑战,近期及中期结果仍证实了此术式的优越性,应用一个半心室矫治术可成为治疗此类型ccTGA的适宜选择之一。此例患者术后早期出现大量胸腹腔积液,下腔静脉压升高、肝肾功能异常等情况,通过患者症状体征、化验室指标、造影测压等检查手段确诊下腔静脉内隧道梗阻,首先外科医生进行手术矫治,效果较满意。
而随之出现的肾功能异常,结合2019年心脏外科围手术期连续性肾脏替代治疗专家共识[5],推荐意见1(Ⅱa A):容量超负荷,尿量<0.5 ml/(h·kg)连续6 h伴或不伴利尿剂抵抗时,考虑开始CRRT治疗。在该病例治疗过程中,我们针对该患者尿量小于0.5 ml/kg·h,尿素、肌酐、尿酸均呈持续上升趋势[6],于术后第1天内即启动CRRT治疗,采用CVVH模式,动态监测血流动力学调整CRRT治疗参数。
患者术后肝功能指标持续上升,术后第11天指标急剧恶化,结合人工肝治疗肝衰竭指南中总结血浆置换的适应证[7]:合并严重高胆红素血症(TBIL>200μmol/L)或高胆汁酸血症(>100μmol/L)经药物治疗无效者。该病例经过两次血浆置换治疗后,肝功能明显好转,指标均呈持续下降趋势。
刘娜娜,邓珺文,张海然,等.大动脉转位一个半心室矫治后内隧道梗阻1例[DB/OL].中国临床案例成果数据库,2023(2023-03-01).http://journal.yiigle.com/LinkIn.do?linkin_type=cma&DOI=10.3760/cma.j.cmcr.2023.e00792.
所有作者均声明本研究不存在利益冲突























