
患者,男性,70岁,因"右侧胸痛2个月,发现右肺占位1周"就诊。
患者无明显诱因出现右侧胸痛2个月,夜间明显,无咳嗽、咳痰、咯血,无呼吸困难,无发热,无其他阳性体征。
1周前当地医院胸部CT检查提示右肺下叶占位性病变,本院复查提示右下肺癌可能,并肺内、胸膜、右侧多处肋骨及多发淋巴结转移。为明确诊断行CT引导下经皮肺肿块穿刺活检。穿刺活检组织显微镜下观察见上皮样肿瘤细胞呈巢、团状分布,形态较一致,胞质嗜酸,可见少许黏液分泌。经多名高年资病理医师反复阅片,并结合免疫组化染色结果(CKpan、CK5/6、CK7、p40、p63阳性,TTF1阴性)考虑为黏液表皮样癌;但荧光原位杂交(FISH)检测显示无MAML2基因异位,原诊断存疑。为了与肌上皮癌和玻璃样变透明细胞癌鉴别,加做FISH检测发现存在EWSR1基因异位;随后进行NGS检测显示在DNA水平具有EWSR1‑CREM基因融合及IRF2-NTRK3的基因融合,最终诊断为罕见的肺原发玻璃样变透明细胞癌。进一步经RNA‑seq融合基因检测验证显示在RNA水平只有EWSR1‑CREM基因融合,并无IRF2-NTRK3基因融合,提示无NTRK3融合基因编码的蛋白产物产生,因而无TRK抑制剂的用药指征。因影像学检查结果提示患者已经处于右肺癌Ⅳ期,故将患者转入肿瘤科进行后续治疗。
已进行5周期紫杉醇+奈达铂的联合化疗。
确诊4个月,已进行5个周期化疗,复查胸部CT显示肺部肿块及转移病灶无明显改变,继续予以化疗及密切随访。
病理科;肿瘤科;呼吸科;胸外科
版权归中华医学会所有。本文为遵循CC-BY-NC-ND协议的开放获取文章。
肺原发的玻璃样变透明细胞癌(hyalinizing clear cell carcinoma,HCCC)非常罕见,自2015年首次被描述以来,迄今国内外文献仅有23例报道,且多为个案报告,占肺原发肿瘤的比例不到1%[1,2,3,4,5,6,7,8,9,10,11,12,13]。肺原发的HCCC起源于支气管黏膜下小涎腺腺体,与发生于涎腺的HCCC形态及分子改变相似,是一种低度恶性的肿瘤。肿瘤细胞多由单形性透明细胞构成,呈实性巢状或梁状分布,间质常伴有玻璃样变性。分析文献报道的23例肺原发HCCC,3例有术前活检资料,仅1例在术前明确诊断,其余病例均经手术切除后才确诊[4],提示该肿瘤的诊断非常具有挑战性,术前活检明确诊断尤为困难。本文展示了一例经CT引导下经皮肺穿刺活检确诊的肺原发HCCC,重点分析其病理诊断要点和难点,旨在提高病理诊断的准确性,为临床制定合理的治疗方案提供有力的证据。
患者,男性,70岁,因"右侧胸痛2个月,发现右肺占位1周"入院。2个月前患者无明显诱因出现右侧胸痛,为持续性顿痛,夜间明显。1周前患者于当地医院行胸部CT检查发现右肺下叶占位性病变,为求进一步诊治遂来我院。入院时患者精神和食欲尚可,仍有胸痛,自胸痛以来体重有所下降,但具体不详,无咳嗽、咳痰,无咯血,无呼吸困难,无发热等其他不适症状。全身浅表淋巴结未扪及肿大,双侧扁桃体无肿大,双侧颌下及腮腺区无肿大结节及压痛,两侧颈部对称,头颈部CT未见异常。患者平素体健,既往无涎腺肿瘤病史,无慢性病史及传染病史,无手术及外伤史,否认药物、食物过敏史,无吸烟及饮酒史。
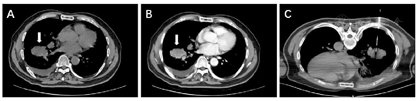
入院后复查胸部CT检查显示右肺下叶一浅分叶状肿块,肿瘤最大径约4.4 cm,增强扫描呈不均匀明显强化(图1A,B);右侧胸膜结节状增厚、强化;右肺中下叶、右侧心缘旁、右侧叶间裂可见多发结节,强化不均匀;右侧第3、4、7、8肋骨骨质破坏;右侧膈下、心膈角区、右侧膈肌可见多发肿大淋巴结,强化不均匀。CT结果提示右下肺癌可能,并肺内、胸膜、右侧多处肋骨及多发淋巴结转移。为明确诊断,遂行CT引导下经皮右肺下叶肿块穿刺活检(图1C)。


穿刺活检组织显微镜下观察见肿瘤呈浸润性生长,上皮样肿瘤细胞呈巢团状、条索状排列(图2A)。肿瘤细胞具有中度异型性,形态较一致,胞质嗜酸性,少数细胞胞质透亮,瘤细胞周围见促纤维结缔组织增生性反应,灶性区域可见条状或带状的玻璃样变胶原(图2B)。肿瘤细胞核呈圆形或卵圆形,染色质细腻,部分可见小核仁,核分裂象不易见,未见坏死,肿瘤细胞间可见单个黏液细胞,组织化学染色阿辛蓝(AB)染色可显示细胞内黏液(图2C、D)。免疫组化染色显示肿瘤细胞CKpan、CK5/6(图2E)、CK7(图2F)、p40(图2G)、p63阳性,TTF1(图2H)阴性,局部肿瘤细胞向肺泡腔内浸润性生长,Ki‑67(图2I)增殖指数约20%。尽管鳞状细胞癌和黏液表皮样癌(mucoepidermoid carcinoma,MEC)均可不同程度表达CK5/6、CK7、p40和p63,但肿瘤细胞的异型性不显著,核分裂象少见,Ki‑67增殖指数也不高,并可见个别细胞内黏液,因此首先考虑诊断为MEC。


为了明确诊断,我们进行了FISH检测,但未检测到MAML2基因异位(图3A)。一部分高级别MEC可无MAML2基因异位,影像学检查显示患者已处于肺癌Ⅳ期,提示肿瘤恶性程度较高,因此高级别的MEC不能完全除外,但仍需要与肌上皮癌和HCCC进行鉴别。因此,我们又加做了肌上皮分化的标志物(S‑100蛋白、SOX10、GFAP、SMA、Calponin等),结果显示肿瘤细胞不表达肌上皮分化的相关标记物,故暂不支持肌上皮癌的诊断。与此同时还进行了EWSR1的FISH检测,令人意外的是检测到了EWSR1基因异位(图3B)。同时,经二代高通量测序技术(NGS)检测显示在DNA水平具有EWSR1‑CREM基因融合(图4A),同时伴有IRF2-NTRK3的基因融合(图4B)。因此,最终诊断为肺原发玻璃样变透明细胞癌。遗憾的是经基于二代高通量测序技术的靶向RNA‑seq融合基因检测显示在RNA水平只有EWSR1‑CREM基因融合(图4C, 图4D),并无IRF2-NTRK3的基因融合,说明无NTRK3融合基因编码的蛋白产物产生,因而无TRK抑制剂的用药指征。




患者已处于右肺癌Ⅳ期,丧失了手术机会,转入肿瘤科进行紫杉醇+奈达铂的联合化疗,目前已进行了5个周期。
确诊4个月,复查胸部CT显示肿块及转移病灶无明显改变,继续予以化疗及密切随访。
肺原发的玻璃样变透明细胞癌是一种非常罕见的低度恶性肿瘤,目前国内外文献仅有23例报道,此病好发于中老年人,年龄32~75岁,所有患者均无涎腺肿瘤病史[1,2,3,4,5,6,7,8,9,10,11,12,13]。多数患者无明显症状,体检时发现肺部占位,少数患者可出现咳嗽、咯血、背痛、胸痛或呼吸困难等不适症状。肿瘤最大径为0.9 cm~3.5cm,本例肿瘤最大径为4.4 cm,是目前报道的病例中肿瘤直径最大的。肿瘤生长缓慢,文献报道3例患者在手术切除包块前,经过了长时间的随访,随访时间分别为4年、4年以及5年,随访期间肿块呈缓慢增大,患者未出现不适症状[1,3,5]。大体上,肿瘤边界清楚,位于支气管周围,可由外向内突入支气管腔,少数肿瘤位于支气管腔内,呈息肉状生长[10]。肿瘤的此种生长方式,致使其可能阻塞支气管腔,导致患者出现呼吸困难。Icard B等[8]就曾报道1例患者因进行性呼吸困难急诊入院,纤维支气管镜下见一息肉样肿块,并阻塞60%的气管管腔,遂急诊行支气管腔内肿物激光切除解除梗阻。由此可见,肺部原发的HCCC虽然生长缓慢,但肿瘤与支气管关系密切,可发生阻塞气道的风险,临床医生需做好评估和管理,以防患者发生窒息。
本例为经穿刺明确诊断的肺原发HCCC病例,既往文献报道的肺原发HCCC病例中96%(22/23)经手术切除后才明确诊断,仅1例经纤维支气管镜取活检明确诊断;1例曾行活检被误诊为中-低分化鳞状细胞癌,另有1例经纤维支气管镜取活检被诊断为非小细胞肺癌[3,4,6]。经手术切除后的病例诊断也很困难,1例被误诊为黏液表皮样癌,1例被误诊为鳞状细胞癌,1例被诊断为肺癌,还有2例最初考虑伴有透明细胞改变的鳞状细胞癌或低级别黏液表皮样癌可能[5,9,12,13]。可见肺原发的HCCC的诊断非常具有挑战性,误诊率高,穿刺或活检标本的诊断更为困难。诊断困难的原因可能有如下几点:(1)肺部原发的HCCC非常罕见,病理医生对其认识不足,缺乏诊断经验,哪怕真正遇到类似的病例,也未能考虑到此罕见肿瘤的可能。(2)除了典型的组织学形态特征外,HCCC的形态具有多变性,肿瘤细胞胞质可透明,亦可嗜酸,还可出现明显的鳞状分化以及黏液细胞分化。这导致其与MEC、鳞状细胞癌和肌上皮癌在形态上具有交叉重叠。除此之外,穿刺及活检组织因样本局限、人为挤压等,组织形态往往更多变且不具典型性。(3)HCCC缺乏特异性的免疫标志物,其免疫表型与MEC、鳞状细胞癌和肌上皮癌亦有交叉。(4)HCCC与肌上皮癌的FISH检测均可出现EWSR1基因异位,因此单靠FISH检测结果是无法完全将二者进行鉴别。
本例穿刺活检标本以及文献报道的肺原发HCCC切除病理标本均显示肿瘤细胞呈圆形、卵圆形或多边形,瘤细胞形态常较一致,无显著的细胞异型性,可见小核仁,且核分裂象不易见,这些形态特征是正确诊断的基础[1,2,3,4,5,6,7,8,9,10,11,12,13]。肿瘤可伴或不伴玻璃样变间质,玻璃样变的间质对诊断HCCC具有提示作用,但并非诊断的必要条件,本例穿刺标本中仅局灶可见玻璃样的间质。HCCC可呈巢、团状浸润性生长,可出现鳞化,因此需要与鳞状细胞癌相鉴别。鳞状细胞癌的肿瘤细胞具有更为显著的细胞异型性,核仁常明显,核分裂象易见。虽然二者均可表达CK5/6、p40、p63,但HCCC的Ki‑67增殖指数多不超过20%,与鳞状细胞癌相比明显偏低。因此,若发现Ki‑67增殖指数较低时,就需要警惕是否存在HCCC的可能。HCCC肿瘤细胞还可出现表皮样分化以及黏液细胞分化,形态可与MEC非常相似,因此不少病例被误诊为MEC,而涎腺部位原发的HCCC被误诊为MEC的病例也不少,有文献报道了10例涎腺HCCC,其中有6例均被误诊为MEC[14]。由此可见,除非肿瘤呈现出HCCC典型的组织形态改变,不然与MEC的鉴别是很困难的。正如本例穿刺标本一样,并未出现HCCC典型的形态学特征。在肺部原发的涎腺源性肿瘤中,MEC发病率最高,而且MEC更加具有侵袭性,预后较HCCC明显更差[15]。本例患者已处于肺癌Ⅳ期,提示肿瘤具有较高的侵袭性,因此我们首先考虑诊断为MEC,尽管未能检测到MAML2的基因异位,但我们仍认为不能完全除外高级别MEC。但幸好考虑到需要与肌上皮癌和HCCC进行鉴别,进行了EWSR1的FISH检测以及进一步的RNA‑seq检测,才最终明确诊断。
肺原发的HCCC具有特征性的分子遗传学改变,文献报道的病例显示绝大多数(13/15,87%)具有EWSR1‑ATF1基因融合,13%(2/15)的病例具有EWSR1‑CREM基因融合[1,2,3,4,5,6,7,8,9,10,11,12,13]。本例经RNA‑seq检测发现其为很少见的EWSR1‑CREM基因融合。目前尚无资料显示EWSR1‑ATF1基因融合与EWSR1‑CREM基因融合的病例存在预后差异。虽然肌上皮癌和HCCC都可出现EWSR1基因异位,但二者EWSR1的融合形式有所不同。肌上皮癌常见EWSR1‑PBX1、EWSR1‑ZNF444及FUS‑KLF17等的融合,而HCCC多数为EWSR1‑ATF1基因融合,极少数为EWSR1‑CREM基因融合[2,9],因此,可采用二代测序、RT-PCR,RNA‑seq等方法辅助鉴别诊断。
目前认为肺原发的HCCC为低度恶性肿瘤,预后良好,文献报道的23例病例,20/23(87%)术后均无瘤生存,仅个别病例出现复发、转移或死亡[1,2,3,4,5,6,7,8,9,10,11,12,13]。本例患者的生物学行为与较既往文献报道的病例有明显的差异,影像学检查提示患者具有多处转移,处于右肺癌Ⅳ期。本例肿瘤的直径也是目前报道的病例最大的,但由于病例资料有限,肿瘤大小是否对预后有直接影响尚不清楚。在治疗方面,23例的肿瘤均被切除,22例经手术完整切除包块,仅1例在支气管镜下行激光切除,术后少数病例予以放疗和/或化疗[1,2,3,4,5,6,7,8,9,10,11,12,13]。本例患者确诊4个月,已进行了5个周期的联合化疗,复查胸部CT发现肿瘤及转移病灶无明显改变,后期将继续进行化疗,治疗效果有待随诊。
吴友莉,朱江,蓝洋,等.经穿刺诊断的肺原发玻璃样变透明细胞癌1例[DB/OL].中国临床案例成果数据库,2023(2023-03-02).http://journal.yiigle.com/LinkIn.do?linkin_type=cma&DOI=10.3760/cma.j.cmcr.2023.e00803.
所有作者均声明本研究不存在利益冲突





















