
患者,女性,35岁,因体表皮肤多处瘙痒、溃烂1个月来诊。于就诊前1个半月出国至非洲,后发生非洲芒果蝇幼虫导致的皮肤蝇蛆病,进而导致皮肤溃疡。莫匹罗星软膏外涂治疗无明显好转,加用哈希奈德外涂治疗一周仍无明显好转而来诊。
患者四肢、躯干(胸腹背部)多处皮肤溃烂、渗液伴痛痒,皮肤破溃为中央破溃,呈火山口状。中央凹陷处可见有黄色脓性液体渗出,周围皮肤肿胀发亮。
通过病史体征诊断蝇蛆病致皮肤溃疡明确。
继续使用外用药(莫匹罗星软膏、哈希奈德)同时给予高压氧治疗。
高压氧治疗3次内病变皮肤处液体渗出有所增加,尤其在舱内治疗中明显,皮肤肿胀减轻。3次后周围皮肤肿胀消失,痛痒感明显减轻,至治疗第一疗程结束时皮色基本正常,破溃处结痂。1个月后随访病变基本痊愈。
皮肤科;高压氧科;组织再生;创面修复
版权归中华医学会所有。本文为遵循CC-BY-NC-ND协议的开放获取文章。
蝇蛆病是指蝇的幼虫(蛆)寄生在人或动物的组织或器官中的一种寄生虫病,常见侵犯部位为皮肤、鼻腔、口腔、眼睛及胃肠道,少见的部位为泌尿生殖器官、支气管、胸腔及颅脑等。皮肤蝇蛆病是苍蝇幼虫侵入皮肤引起的炎性反应,是蝇蛆病中的最常见类型,国内病例以往多发于草原牧区和山区,牧民及常与牲畜频繁接触的人员为多,经过人口流动,该病从牧区、山区发展到城市甚至一些内地省份[1,2]。近年来由于人员国际交流增加,输入性病例日趋增多,国外的蝇蛆病分布常见于热带和亚热带国家,目前已经成为世界上第四种最常见的旅行相关性皮肤病[3,4]。我们报道一例输入性非洲芒果蝇蛆病导致皮损区域发生溃疡,表现为明显的皮肤渗出、红肿、溃烂,以及轻度的痛痒感,导致病程迁延,通过高压氧治疗效果明显。本文旨在提高对蝇蛆病及其引起皮肤损伤的认识,以及探索高压氧在皮肤溃疡炎症等方面的治疗应用。
患者,女性,35岁,因体表皮肤多处溃烂、痛痒1个月来诊。患者于就诊前1个半月赴非洲国家刚果(金)出差工作,在到达半月后因穿着室外晾晒的衣服,开始在四肢躯干皮肤多处出现点状红斑,2 d后逐渐增大形成红色米粒大小丘疹,周围皮肤发红,伴痒感。其中一处出现破溃后至当地就诊,经当地刚果籍医生诊治,考虑为非洲芒果蝇幼虫导致的疖肿型皮肤蝇蛆病。给予患处皮肤消毒后,探查患者全身若干患处可疑包块,从包块处取出成型幼虫,然后将破溃口清洗、消毒,防止感染。另于其它数处芝麻大小皮肤丘疹,用注射器针头挑开,挤压出虫体组织。患处处理虫体后应用莫匹罗星软膏外涂治疗,使用药物外涂半月后无明显好转,皮肤仍有破溃、糜烂、渗出伴有痛痒,局部红肿,反复发作,回国后曾于外院皮肤科诊治,考虑为皮肤蝇蛆病致皮肤溃疡,加用哈希奈德外涂治疗一周仍无明显好转,皮肤发生溃疡后出现皮肤肿胀、破溃及脓性分泌物流出,后出现脓包或浓痂,遂来我科诊治。发病以来无发热、头晕、头痛、胸闷及腹痛等其他不适,无近期其他传染病区旅居史。
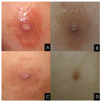
全身系统检查无异常。皮肤专科检查:患者四肢、躯干多处皮肤溃烂,红肿区域大小约3 cm×3 cm,中央破溃区为0.5 cm×0.5~1×1cm大小,呈火山口状(图1)。中央凹陷处可见有黄色脓性液体渗出,周围皮肤肿胀发亮(图2A)。




输入性非洲芒果蝇蛆病致皮肤溃疡。
患者有非洲旅居史,发病后经当地刚果籍医生诊治,考虑为非洲芒果蝇幼虫导致的疖肿型皮肤蝇蛆病。病在皮肤多处包块取出成型幼虫,用针头挑开若干处小丘疹挤压出虫体组织,因此有明确芒果蝇幼虫引起的皮肤蝇蛆感染史,而后在皮肤病变部位继发出现局部红肿及热痛,伴有糜烂、渗出,痛痒较剧烈,反复发作,皮肤发生溃疡后出现皮肤肿胀、破溃及脓性分泌物流出,继续感染然后出现脓包或浓痂。
主要与皮肤溃疡相关疾病进行鉴别。由于患者在非洲流行地区确诊蝇蛆病,且有典型的皮损病变,故容易诊断。同时也应与细菌感染导致疖、痈、蜂窝组织炎,病毒感染如带状疱疹,皮肤结核,皮肤阿米巴病、脓皮病,脓疱疮,疥疮等能引起皮肤溃疡的疾病相鉴别,主要排除点包括流行病学史,观察溃烂部位形态特点、实验室检查等方法。
外用药(莫匹罗星软膏、哈希奈德)继续使用同时给予高压氧治疗。治疗方案:采用多人空气加压舱,治疗压力2.0ATA,加、减压各20 min,1次/d,10次为1个疗程,共治疗2个疗程。
蝇蛆病以往在国内以牧区报道为主,国外输入的病例较少,2009年广州地区曾有1例皮肤蝇蛆病报道,该患者有非洲工作史[5] ,近十年国内的输入性病例报道不断增多。本病例有明确非洲旅居史,当地发病后于病变皮肤处取出活虫确诊。导致该病的非洲芒果蝇,也称为嗜人瘤蝇、皮蛆瘤蝇、皮肤蛆蝇等,是常见于撒哈拉以南中非和东非的一种丽蝇,野生大鼠是主要宿主,但也入侵其他野生哺乳动物和家畜[6]。芒果蝇蛆病全年均可发生,人类普遍易感。在流行地区芒果蝇在树上或者人们晾晒的衣服上产卵,当皮肤沾染了虫卵,虫卵便会孵化生长,钻入皮肤,形成一、两厘米长的幼虫,部分幼虫会钻破皮肤爬出。该幼虫通体白色半透明,纺锤状,头部有尖尖的刺,体长约一厘米(图3A)。此类疾病发病机理为蝇幼虫在皮下移行或在皮内其他部位寄生,由于其机械损伤及代谢产物和排泄物等化学性刺激,造成人体损害,其危害程度与寄生幼虫的数量及人体的敏感度有关(图3B)[7,8,9,10,11]。幼虫侵犯皮肤造成蝇蛆病可分为疖肿型、匍行疹型和创口型,其中以疖肿型最为多见[12,13]。此例患者根据病史描述前期为疖肿型蝇蛆病,给与常规处理后局部炎症未完全控制,从而导致病变皮肤溃疡,药物疗法效果不佳从而病程迁延。
既往有报道高压氧治疗皮肤溃疡,多是由于细菌或病毒等病原体感染为主,本例患者源于蝇蛆病继发,存在明显皮肤破溃、肿胀,通过高压氧治疗改善了症状,加速肿胀处渗液排出,提高病变部位抗菌效果,加速病变恢复。结合该病例,笔者认为高压氧治疗原理如下:(1)能迅速提高血氧分压、增加血氧含量,进而改善溃疡组织缺氧、缺血,恢复细胞功能;(2)改善毛细血管通透性,减轻毛细血管的渗出、水肿,有利于控制感染;(3)增强病变组织周围白细胞的杀伤能力,利于炎症控制;(4)有氧代谢充分,加速成纤维细胞增生、胶原纤维生成,促进肉芽增生,加速上皮生长、创口愈合[14]。在本病例治疗中,高压氧的介入显著缓解了症状,改善了皮肤溃疡和炎症状态,一来起到减轻炎症作用,开始治疗3次时病变处肿胀减轻,分泌物渗出有所增加,说明高压氧能在短期内快速控制炎症,减轻组织水肿,改善组织细胞缺氧状态,恢复正常代谢功能,从而3次后周围皮肤肿胀消失,痛痒感明显减轻;二来也促进了组织修复创口愈合,通过三个疗程的高压氧辅助治疗,实现了皮损消失,病变创口的痊愈。
综上,国外输入性蝇蛆病致皮肤溃疡发病数量少,笔者通过高压氧治疗取得较好的疗效,进一步提示了高压氧在湿疹等皮肤病治疗领域有更多的应用价值。
所有作者均声明本研究不存在利益冲突
姜辉,关旭,陈静雯,等.高压氧治疗输入性非洲芒果蝇蛆病致皮肤溃疡1例[DB/OL].中国临床案例成果数据库,2023(2023-03-03).http://journal.yiigle.com/LinkIn.do?linkin_type=cma&DOI=10.3760/cma.j.cmcr.2023.e00806.






















