
患者,男性,34岁,因"上前牙反复鼓包肿痛1年余"就诊。否认外伤史。
临床检查发现11牙冠完整,叩(-),Ⅰ度松动,唇侧牙龈约牙根中部位置膨隆呈半球型,唇侧牙周袋溢脓,唇侧近中及中央位点PD>10 mm,余位点PD2~3 mm。
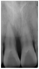
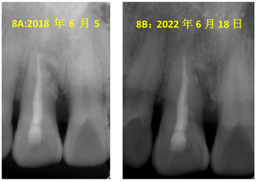
X线根尖片示:11近中环绕牙根牙周病样角型吸收影像达根尖,远中牙槽骨未见明显异常;CBCT示:11唇侧近中牙槽骨环绕牙根缺损自冠方达根尖,根中段疑似根折影像。翻瓣探查后见11近中根中部见隐裂。
根管治疗+翻瓣手术(刮除肉芽,磨除隐裂填充MTA后植骨缝合),后期未再行任何牙周治疗。
11完善治疗后3个月、半年、四年半复查,11均无不适,叩痛(-),不松,牙龈未见明显红肿等,PD2~4 mm。x线片均显示11近中骨质恢复良好。
牙体牙髓病科;牙周科;口腔综合科
版权归中华医学会所有。本文为遵循CC-BY-NC-ND协议的开放获取文章。
根纵裂是纵向的沿着牙根长轴的完全或不完全的裂纹,可能在牙根的任何一个部位始发[1]。根据主裂隙的形态分为完全根裂和不完全根裂[2]。本病例为发生于上中切牙根中部的不完全根裂,该牙未经过治疗。刘学军教授认为当牙根纵裂诊断确立后,应尽早拔牙或截除患根[1]。但因患者保留该牙意愿强烈,我们尝试进行治疗且成功保留了患牙,为以后不完全根裂的治疗提供了案例支持。
患者,男性,34岁,高校老师。主诉:上前牙牙龈反复鼓包1年余,否认外伤史。既往史:否认心脏病、高血压、糖尿病等系统性疾病,否认乙肝、结核等传染病史,否认食物药物过敏史
11牙冠完整,扣(-),Ⅰ度松动,唇侧牙龈约牙根中部位置膨隆呈半球型,唇侧牙周袋溢脓,唇侧近中及中央位点PD> 10 mm,余位点PD 2~3 mm。X线根尖片示:11近中牙槽骨环绕牙根牙周病样角型吸收达根尖,远中牙槽骨未见明显异常,见图1。CBCT示:11唇侧近中牙槽骨环绕牙根缺损自冠方达根尖,根中段疑似根折影像,见图2。




诊断:11不完全根裂(根隐裂)
诊断依据:临床检查11唇侧近中可及深窄牙周袋,x线片11近中牙槽骨角型吸收达根尖,手术翻瓣探查见11根中段隐裂确诊。
初次就诊(2017年10月9日):11上橡皮障后开髓,电测工作长度23 mm,镍钛预备根管,MAF35#,3%次氯酸钠+生理盐水冲洗,氢氧化钙糊剂+玻璃离子水门汀暂封,同时洁治+刮治。
2周后复查(2017年10月24日):检查:11舌侧暂封在,叩痛(-),Ⅰ度松动,唇侧牙周袋仍溢脓。处置:11上橡皮障后去暂封,3%次氯酸钠+生理盐水冲洗,氢氧化钙糊剂+玻璃离子水门汀暂封。
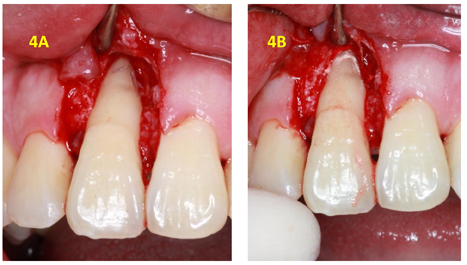
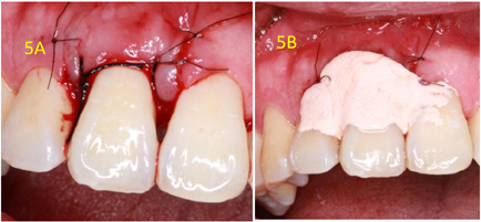
初诊4周后复查(2017年11月8日):检查:11舌侧暂封在,叩痛(-),Ⅰ度松动,唇侧牙周袋仍溢脓。处置:11拟翻瓣探查,翻瓣后11唇侧及近中见大量肉芽,刮治后11近中唇侧根中部见隐裂(图3),快机裂钻磨除隐裂(图4A),填MTA(图4B),填充骨粉后缝合(图5A),上牙周塞治剂(图5B)。






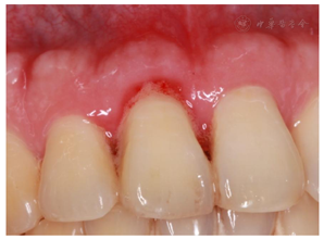
翻瓣探查术后3个月复查(2018年2月28日):检查:11舌侧暂封在,叩痛(-),Ⅰ-松动,唇侧龈退缩3 mm,牙龈充血,近中唇侧位点PD5 mm,余位点2~3 mm,见图6。X线片示:11近中骨质吸收已大部分恢复,见图7A。处置:11上橡皮障,3%次氯酸钠+生理盐水冲洗,干燥,Iroot SP+牙胶尖根充完成根管治疗见图7B,酸蚀粘接,树脂充填,调
,修形,抛光,完成治疗。




11根管充填后3个月、半年、四年半复查,11均无不适,叩痛(-),不松,牙龈未见明显红肿等,PD 2~4 mm。x线片均显示11近中骨质恢复良好。在随访的四年半,牙周维护依靠患者自行的口腔卫生维护,均未再进行任何牙周治疗。






根纵裂根据主裂隙的形态分为完全根裂和不完全根裂。完全根裂表现为主裂隙贯穿整个牙根:从一侧根面到另一侧根面,从根尖到根颈。不完全根裂表现为主裂隙只限于牙根的一侧或牙根全长的一部分[2]。根纵裂最常见的牙位是下颌第一磨牙,其次是上颌第一磨牙,上前牙发生纵裂较为少见[1]。本病例为发生于未经任何治疗的上中切牙根中部的不完全根裂,较为少见。
患者初次就诊临床检查11唇侧近中可及深窄牙周袋,x线片11近中牙槽骨角型吸收达根尖就考虑该牙是否存在根裂,因为大多数根纵折的一侧均会有深及根尖部的狭窄牙周袋[3]。x线片根纵裂的特点是有沿牙长轴的牙槽骨吸收,呈现沿根尖至根侧的"J"型骨吸收表现、日晕状或角形吸收[1]。但x线片及CBCT均未见明确根折根裂影像,且开髓后根管长度测量仪能正常侧量工作长度,故而首诊未行手术探查,仅行根管治疗封氢氧化钙及龈下刮治。患者封药2周、4周复查11深窄牙周袋无改善,仍溢脓,根据以往经验,如牙根无缺陷,行标准的根管治疗封药2-4周基本牙龈症状均会消除,故而此时我们决定翻瓣手术探查。翻瓣刮除大量肉芽后于11根中部见隐裂,明确了诊断。
刘学军教授认为当牙根纵裂诊断确立后,应尽早拔牙或截除患根,以保存骨量进一步行种植、修复治疗。很多试图修复裂隙的措施都难以期待远期疗效,且增加骨缺损风险[1]。但因患者保留该牙意愿强烈,我们仍尝试进行治疗。该牙为上颌中切牙,无法像磨牙一样只截除患根保留剩余牙根。且其隐裂位置在根中部,无法行根尖手术截除根下段,否则剩余牙根太短预后不佳。受冠部隐裂磨除隐裂纹充填树脂的治疗方案启发,我们尝试快机磨除隐裂后充填生物相容性良好的MTA,植骨粉后缝合。该患者经过治疗后效果良好,骨质恢复,根管治疗术后3个月、半年、4年半复查均无异常。该案例通过根管治疗结合牙周翻瓣去除感染及裂隙备洞充填和植骨,成功地解决了根尖牙周联合性感染的治疗难题,为以后不完全根裂的治疗提供了案例支持。
所有作者均声明本研究不存在利益冲突
黄云惠,方珍.上前牙不完全根裂治疗1例[DB/OL].中国临床案例成果数据库,2023(2023-03-03).http://journal.yiigle.com/LinkIn.do?linkin_type=cma&DOI=10.3760/cma.j.cmcr.2023.e00813.





















