
患者,男性,21岁,以"全身疼痛2个月余,发现胸前肿物1个月"就诊,完善检查诊断:1.骨结核;2.回盲瓣溃疡。患者明确诊断后转诊于结核病专科医院行胸椎结核病灶清除术+椎体减压+植骨融合内固定术及HREZL/HREL抗结核治疗,最终患者疼痛消失,恢复到患病前体能及生活状态。
全身疼痛,胸骨旁触及约3 cm×4 cm肿物。
影像学、组织及分子病理学。
胸椎结核病灶清除术+椎体减压+植骨融合内固定术及HREZL/HREL抗结核治疗。
患者疼痛消失,恢复到患病前体能及生活状态。
肿瘤科;缓和医疗科;老年科;疼痛科;骨科;血液科
版权归中华医学会所有。本文为遵循CC-BY-NC-ND协议的开放获取文章。
目前,结核病仍然是全球成人因传染病死亡的主要原因,并且每年新发结核患者达1000多万人[1]。我国结核病防治形势依然严峻,新发结核病患者人数位居全球第3位[2]。结核病通常影响肺部(肺结核),但也可影响其他部位(肺外结核病),其中骨结核是我国最常见的肺外结核疾病[3]。结核病是可以治愈和可预防的。大约85%的结核病患者可以通过6个月的药物方案成功治疗[4]。多发骨结核发病率低,临床表现可不典型,影像学上与骨转移癌表现类似,容易误诊。本文报道1例以多发骨质破坏为主要表现的骨结核病,旨在提高对本病的认识,减少误诊和漏诊。
患者,男性,21岁,因"全身疼痛2个月余,发现浅表肿块1个月"为主诉就诊于我科。2个月余前,患者无明显诱因出现背部疼痛不适,以肩胛间区为主,持续性隐痛不适,久站时明显,平躺后可缓解,无畏寒、发热、午后潮热、盗汗、咳嗽、咳痰、咯血、胸闷、心悸、气促、恶心、呕吐、反酸、烧心、乏力、纳差等不适,患者未予以重视,未行进一步诊治,上述症状持续存在。1个月前,患者出现胸骨隐痛不适,并可扪及大小约3 cm×4 cm的肿物,按压时疼痛,局部无红肿、破溃等,同时伴双下肢疼痛,刺痛为主,侧躺时缓解,平躺时疼痛明显,随后逐渐出现右前胸、左侧肩胛区疼痛不适。20余天前,患者就诊于当地人民医院(三甲),完善胸部CT平扫示胸骨体下左侧骨质破坏,周围团块状软组织密度影,考虑占位性病变,建议进一步检查。左肺上叶肺门旁结节,血管影?占位待排。患者遂就诊于某上级医院(三甲)行PET-CT示左上肺门结节影,FDG代谢增高,考虑恶性肿瘤,建议活检明确。回盲部及邻近回肠末端软组织增厚影,FDG代谢增高,建议活检明确性质。左侧肺门、纵隔及右下腹腔内多发淋巴结影,FDG代谢增高,考虑转移性肿瘤。左侧顶骨、右侧肩胛骨、胸骨、双侧多根肋骨、全脊柱多个椎体及附件、骨盆骨多发骨质破坏,FDG代谢增高,考虑转移性肿瘤。2 d前,患者于另外某三甲医院就诊,期间行肿物穿刺活检病理示(胸骨)肉芽肿性炎,其后就诊市公共卫生医疗救治中心行结核抗体及结核基因检测阴性,结核感染T细胞检测结论阳性。患者为求进一步诊治于2021年3月12日就诊于我科。
既往史:患者既往体健。否认"高血压""糖尿病""冠心病"等病史。否认肝炎,结核等传染病史。预防接种史不详。11岁时不慎划伤左侧额部,外科缝针,已愈合。否认输血史。否认药物、食物过敏史。
体格检查:KPS 70分,NRS 2分。神志清楚,查体合作。浅表淋巴结未触及肿大,胸骨旁可扪及大小约3 cm×4 cm肿物,质硬,边界清楚,伴压痛,无红肿、破溃。双肺呼吸音清,未闻及干湿啰音。心律齐,各瓣膜听诊区未闻及异常杂音。腹软,腹部无压痛、反跳痛及肌紧张。肝脾肋下未触及,肝肾区无叩击痛,肠鸣音正常,移动性浊音阴性,双下肢无水肿。
血常规:白细胞8.98×109/L,淋巴细胞百分比17.70%↓,单核细胞百分比13.30%↑,中性粒细胞占比0.678,单核细胞绝对值1.19×109/L↑,红细胞3.99×1012/L↓,血红蛋白112 g/L↓,血小板308×109/L,红细胞、白细胞形态未见异常。
尿本-周氏蛋白:阴性。
男性-肿瘤标志物:神经元特异性烯醇化酶9.16 ng/ml↑(参考值0~6.00 ng/ml),余糖类抗原242、糖类抗原50、糖类抗原724、糖抗原125、糖抗原199、细胞角蛋白十九片段、总前列腺特异性抗原、游离前列腺特异性抗原、癌胚抗原及甲胎蛋白均正常范围。
骨髓抗酸染色:未查见抗酸杆菌。
纤维支气管镜灌洗液抗酸染色:未查见抗酸杆菌。
PET-CT:左上肺门结节影(最长径约2.9 cm),FDG代谢增高(SUVmax:12.37,SUVavg:6.11,图1A、B),考虑恶性肿瘤,建议活检明确。回盲部及邻近回肠末端软组织增厚影(SUVmax:7.52,SUVavg:4.39,图1C),FDG代谢增高,建议活检明确性质。左侧肺门、纵隔及右下腹腔内多发淋巴结影,FDG代谢增高,考虑转移性肿瘤。左侧顶骨、右侧肩胛骨、胸骨、双侧多根肋骨、全脊柱多个椎体及附件、骨盆骨多发骨质破坏,FDG代谢增高(较明显者位于胸12椎体附件,SUVmax:17.96,SUVavg:9.25,图1D),考虑转移性肿瘤。


结肠镜(图2):回盲瓣溃疡性质待定,请结合病检。


肠镜活检病理(图3):(回盲瓣)黏膜慢性活动性炎症,伴炎性肉芽组织及炎性渗出,符合溃疡改变。


骨髓细胞学:(骨髓穿刺针吸物液基制片)未见恶性肿瘤细胞,骨髓涂片背景内见较高比例中性粒细胞。见图4。


骨髓活检病理(图5):(骨髓穿刺标本)少量骨及造血组织,未见明确淋巴瘤侵犯。


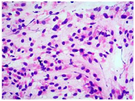
纤维支气管镜刷片细胞学(图6):(左肺上叶尖后段刷片)未见癌细胞。


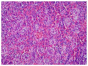
胸骨柄活检病理(图7):(胸骨柄左前方肿物穿刺活检)慢性肉芽肿性炎症伴坏死,结合TB-PCR检测结果,符合结核。免疫组化结果:CK-pan(−),CK5/6(−),CK7(−),p63(−),P40(−),CD68(++),Ki-67(+5%)。TB-PCR基因检测结果:本例患者石蜡包埋样本中结核杆菌核酸检测结果为阳性(检测到样本中含有结核杆菌核酸)。见图8。




1.多发骨结核;2.回盲瓣溃疡。
患者以全身骨痛为主要临床表现,外院PET-CT提示左侧顶骨、右侧肩胛骨、胸骨、双侧多根肋骨、全脊柱多个椎体及附件、骨盆骨多发骨质破坏,考虑转移性肿瘤,同时提示左上肺门结节影,考虑恶性肿瘤,回盲部及邻近回肠末端软组织增厚影,建议活检明确性质,左侧肺门、纵隔及右下腹腔内多发淋巴结影,考虑转移性肿瘤;外院行胸骨肿物活检病理示(胸骨)肉芽肿性炎,且经市公共卫生医疗救治中心完善结核抗体及结核基因检测结果阴性,结核感染T细胞检测结果阳性后初步评判除外结核病后转诊我院。入院后首先予以洛芬待因缓释片426 mg、每12小时1次止痛症状管理,同时结合患者年龄(21岁)、长期熬夜(电竞玩家)、外院活检病理(胸骨肉芽肿性炎)、结核感染T细胞检测阳性等因素,虽已经市公共卫生医疗救治中心初步除外结核病,但仍不除外结核病或恶性肿瘤合并结核病可能,对于该患者的诊断医疗组仍坚持以最终病理确诊,影像学资料及院外相关诊疗意见仅供参考,不能盲目随从。从恶性肿瘤方面,医疗组综合患者院外相关资料(影像学未提示死骨征象),考虑诊断有多发性骨髓瘤、转移性骨肿瘤(肺原发?消化道原发?),因此入院后分别完善尿本-周氏蛋白、男性肿瘤标志物、骨髓活检、纤维支气管镜、结肠镜、胸骨旁肿物活检以及抗酸染色、TB-PCR等相关结核方面检测,最终经上述诊疗(具体结果辅助检查资料中已表述)后排除了恶性肿瘤诊断,最终明确诊断为多发骨结核,避免误诊误治。患者出院后于2021年3月20日转诊于市公共卫生救治中心,予以五联HREZL(异烟肼0.3 g、每日1次,利福平0.45 g、每日1次,乙胺丁醇0.75 g、每日1次,吡嗪酰胺0.5 g、每日3次,左氧氟沙星0.5 g、每日1次)强化抗结核治疗,同时鉴于患者存在活动后腰背痛加重,MRI阅片后提示存在椎体后方椎弓根破坏压迫并向内压迫脊髓和神经,存在手术指征,重建脊柱稳定性,除外手术禁忌后行胸椎结核病灶清除术+椎体减压+植骨融合内固定术,术后病理提示结核感染、未见肿瘤细胞。患者术后复查脊柱CT提示脊柱内固定装置在位,疼痛逐渐消失,出院后继续给予HREZL五联抗结核治疗,期间监测血常规、肝肾功能未见明显异常,同时每3个月定期复查胸部CT及胸腰椎MRI。2022年1月10日,患者经复查评估后调整为HREL四联巩固口服抗结核治疗,2022年9月复查提示病情稳定,拟于2022年11月停服抗结核治疗,定期复查。
经我院明确诊断后,患者再次就诊于市公共卫生医疗救治中心,电话随访追踪患者,其经抗结核治疗后疼痛消失,已恢复到患病前体能及生活状态,按照出院医嘱每3个月定期复查胸部CT及胸腰椎MRI提示椎体术后改变。现该患者仍电话随访中,于2022年1月调整为HREL四联口服抗结核治疗中,已行健康宣教并表示已调整生活作息(避免熬夜),末次随访时间:2022年10月16日。
2020年世卫组织全球结核病报告显示,结核病仍然是全球因单一传染性病原体而死亡的最常见原因,成人占结核病患者的88%,儿童占12%[5]。2021年世卫组织全球结核病报告对全球结核病流行的轨迹呈现了相当严峻的图景,包括结核病发病率每年下降的停滞、结核病通报的下降和估计结核病死亡人数的增加[6]。我国作为全球结核病高负担国家之一,结核病防治形势依然严峻[4]。结核病是一种由结核分枝杆菌引起的传染病,通常影响肺部(肺结核),但也可影响其他部位(肺外结核病)。骨结核是由结核杆菌感染引起的一种肉芽肿性炎症,是我国最常见的肺外结核疾病,其发病分子机制目前仍未完全明确[3,7]。多发性骨结核是指由结核分枝杆菌引起的,非相邻的2处或2处以上同时发生的骨或/和关节病变,涉及脊柱时,应为不同节段,或尽管相同节段,但间隔至少1个椎体[8]。多发骨结核临床上比较少见,发病年龄以青、壮年为主,儿童和老年人相对少见,按部位分为3型:Ⅰ型,多发脊柱结核;Ⅱ型,多发关节结核;Ⅲ型,复合多发骨结核[8]。正是基于多发骨结核的病变部位特点,极易与转移性骨肿瘤相混淆,导致临床误诊误治。18F-FDG是一种非特异性显像剂,肿瘤和结核都可以代谢增高,而结核灶作为一种特异性炎症,其激活态的炎症细胞(淋巴细胞、上皮样细胞、巨细胞和中性粒细胞)与肿瘤细胞相似,因此容易出现假阳性诊断。病原学依据依然是确诊结核病的金标准,骨结核的诊断需要在显微镜下显示抗酸杆菌或在病变活检后获得的材料进行培养。但传统的微生物学方法对抗酸杆菌进行染色和培养结核分枝杆菌方面,其敏感性和特异性较低,无法区分活性结核病和结核分枝杆菌潜伏感染,且培养结核分枝杆菌耗时长,需要6~8周才能出现生长,在一定程度上制约了结核病的早期诊断和治疗[9,10]。核酸技术是一种快速、准确的结核诊断检测方法。2017年,国家卫生和计划生育委员会重新修订发布的《WS 288-2017肺结核诊断》标准中,已将结核分枝杆菌核酸检测阳性作为结核病的诊断依据之一。抗结核治疗仍然是骨结核治疗中最主要的治疗手段,必要时手术干预。李亮等[8]在16年间诊治的47例多发骨结核临床观察中发现关节和脊柱同时受累比例约38.3%。《中国脊柱结核外科治疗指南(2022版)》指出脊柱结核的手术适应证主要包括以下几种情况[11]:(1)脊柱结核导致局部顽固性疼痛,生活质量差,规范抗结核治疗后症状无明显缓解。(2)规范抗结核治疗下,顽固疼痛症状不缓解、结核病灶、脓肿增大、进展。(3)脊柱结核规范抗结核仍迁延不愈或脊柱破坏呈扩大趋势。(4)脊柱结核病灶脓液、结核性肉芽组织、干酪样坏死物质、死骨等压迫脊髓,出现感觉运动障碍等。(5)结核病灶导致脊柱局部稳定性遭到破坏、甚至出现局部后凸畸形、顽固性疼痛。(6)脊柱结核病灶治愈后遗留明显的后凸畸形,伴随局部疼痛或是发生迟发性瘫痪。当需手术干预时,外科医生需要综合考虑患者一般状况、主要临床症状、病灶部位、病灶危害程度及破坏范围等方面因素,进而选择合适的手术部位及手术方式。
综上所述,临床上针对影像学提示单纯多发骨质破坏考虑骨转移性肿瘤的患者,我们需警惕多发骨结核可能,尤其对于青、壮年患者。最终,骨质破坏性质的明确需经活检病理证实,同时对于不能完全除外骨结核者,考虑存在隐匿感染或临床症状不典型等因素,建议技术常规行结核病分子生物学检测技术(核酸扩增试验技术、核酸分子杂交技术、基因测序等)除外结核病。该案例的整个治疗过程比较全面、规范地演绎了多发骨质破坏的诊疗思维及诊疗策略,避免了误诊。最后,该患者通过结核病专科医院后续的正规药物抗结核治疗及恰当的胸椎骨结核灶外科手术时机及适应证的把握,减轻了患者痛苦,提高了生活质量。
杨列军,余慧青,王思雄,等.以多发骨质破坏为主要表现的骨结核病1例[DB/OL].中国临床案例成果数据库,2023(2023-03-05).http://journal.yiigle.com/LinkIn.do?linkin_type=cma&DOI=10.3760/cma.j.cmcr.2023.e00844.
所有作者均声明本研究不存在利益冲突





















