
患者,女性,21岁,因"左人工耳蜗植入术后16年,左耳流脓2个月余"。来诊。2004年患者因诊断"双侧极重度感音神经性聋"于本院行左侧人工耳蜗植入术。术后言语康复好,可正常交流,术后无特殊不适。2个月余前无明显诱因下出现左耳流脓,呈黄白色黏稠脓液,伴有臭味。伴听力下降,尚可听到较大声音。无头痛、发热,无闭睑不全、口角歪斜、鼓腮漏气,无视物旋转、步态不稳等不适。曾至外院就诊,行外耳道冲洗后可见左侧外耳道内脓性分泌物包绕条索样物。外院医生疑诊为"左外耳道异物?",清理脓液并试图取出异物过程中,发现该异物为突入外耳道的电极导线,经清理"异物"处理后人工耳蜗已不能使用。
左侧乳突区无压痛,左耳后可见一长约5 cm陈旧性手术瘢痕,手术切口处无红肿。左侧外耳道内见中等量黄白色较黏稠的脓性分泌物,鼓膜窥不清。右侧鼓膜完整,标志清楚。
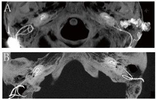
耳内镜下左外耳道内可见脓性分泌物,清理后见人工耳蜗电极导线自外耳道后壁突入外耳道内,鼓膜未见穿孔。右侧鼓膜完整,标志清楚。纯音测听检查:双侧极重度感音神经性聋。颞骨高分辨率CT检查示左外耳道内可见高密度电极导线影,耳蜗内电极已大部分脱出于蜗外,仅电极尖端部分留存于耳蜗底周。左侧中耳乳突炎。右侧外耳道及鼓室腔干净。
考虑到患者需行手术清理病变、更换故障的人工耳蜗植入体、患者家属要求行对侧人工耳蜗同期植入,制定的手术计划为全麻下左乳突改良根治术+左侧人工耳蜗植入术+右侧人工耳蜗植入术。术中彻底清除炎症病变及胆脂瘤上皮,重建左外耳道壁,并更换故障的植入体,同期行右侧人工耳蜗植入。
患者术后3周返院拔除耳内填塞物时外耳道皮瓣生长良好。术后6个月时左外耳道壁重塑已基本完成。随访至术后24个月,患者无不适主诉,言语交流正常。
耳鼻喉科
版权归中华医学会所有。本文为遵循CC-BY-NC-ND协议的开放获取文章。
人工耳蜗植入术在我国开展已近30年,随着手术流程规范化、手术技术成熟、质量控制体系完善,手术早期并发症的发生率逐渐下降。自2003年至今,本院已完成1400余例人工耳蜗植入手术,并建立了术后长期随访队列。我们在长期随访中发现,耳蜗设备故障、反复头皮血肿、术区皮瓣坏死、继发性中耳胆脂瘤等是患者2次手术的主要原因。其中人工耳蜗术后继发中耳胆脂瘤较为罕见,现将1例人工耳蜗术后16年继发中耳胆脂瘤患者的诊断、手术、随访特点进行分析、归纳,总结该病诊断、治疗的要点及难点,为同侪提供参考。
患者,女性,21岁。主诉:左人工耳蜗植入术后16年,左耳流脓2个月余。2004年患者因诊断"双侧极重度感音神经性聋"于本院行左侧人工耳蜗植入术。术后言语康复好,可正常交流,无其他特殊不适,目前正在上大学。2个月余前无明显诱因下出现左耳流脓,呈黄白色黏稠脓液,伴有臭味。伴听力下降,尚可听到较大声音。无头痛、发热,无闭睑不全、口角歪斜、鼓腮漏气,无视物旋转、步态不稳等不适。曾至外院就诊,行外耳道冲洗后可见左侧外耳道内脓性分泌物包绕条索样物。外院医生疑诊为"左外耳道异物?",清理脓液并试图取出异物过程中,发现该异物为突入外耳道的电极导线,经清理"异物"处理后人工耳蜗已不能使用。
专科体格检查:左侧乳突区无压痛,左耳后可见一长约5 cm陈旧性手术瘢痕,手术切口处无红肿。左侧外耳道内见中等量黄白色较黏稠的脓性分泌物,鼓膜窥不清。右侧鼓膜完整,标志清楚。
耳内镜:左外耳道内可见脓性分泌物,内镜下清理后见人工耳蜗电极导线自外耳道后壁突入外耳道内,呈不规则盘曲。左侧鼓膜表面少量分泌物,鼓膜紧张部及松弛部未见穿孔。右侧鼓膜完整,标志清楚(图1)。


纯音测听检查:左侧气导>119 dB,右侧气导>113 dB。鼓室图左侧B型,右侧A型,咽鼓管功能双侧正常型。
颞骨高分辨率CT检查:左外耳道内可见高密度电极导线影,耳蜗内电极已大部分脱出于蜗外,仅电极尖端部分留存于耳蜗底周,乳突腔内见少量软组织影(图2)。左侧中耳乳突炎。右侧外耳道及鼓室腔干净。


初步诊断:1.左中耳胆脂瘤?2.左侧人工耳蜗植入术后;3.双侧极重度感音神经性聋。
鉴别诊断:1.外耳道胆脂瘤。较小的外耳道胆脂瘤可无明显症状;胆脂瘤体积较大者可出现耳内堵塞感、耳鸣,如继发感染可出现伴有臭味的脓性分泌物。查体可见外耳道内为白色或黄白色胆脂瘤样上皮堵塞,难以清理。颞骨高分辨率CT提示胆脂瘤多局限于外耳道内,可破坏外耳道骨质。少见累及、侵犯中耳者。本例患者以左耳流脓伴听力下降为主要就诊诉求,查体见左外耳道内黄白色脓性分泌物,未见难以清理的白色或黄白色胆脂瘤样上皮,清理后除外耳道后上壁外未见其余骨壁的吸收、破坏。颞骨高分辨率CT未提示自外耳道向乳突方向的骨质破坏。结合本例患者查体及辅助检查,暂不考虑为外耳道胆脂瘤。2.复发性中耳炎。复发性中耳炎是人工耳蜗植入术后的少见远期并发症,在耳蜗植入术后可反复出现中耳炎症状及体征,发生率约为0.8%,可出现于耳蜗植入术后1个月至20年不等。此类患者可有鼓膜穿孔、耳流脓史,电极导线不一定突出于外耳道,主要为鼓室、乳突内炎性病灶为主。结合本例患者查体及辅助检查,暂不考虑为复发性中耳炎。
术后诊断:1.左中耳胆脂瘤;2.左侧人工耳蜗植入术后电极脱出;3.双侧极重度感音神经性聋。
本例患者治疗经过:入院后予口服头孢呋辛酯片抗感染,完善血常规及生化检查后未见手术禁忌。考虑到患者需行手术彻底清理病变、更换故障的人工耳蜗植入体、患者家属要求行对侧人工耳蜗同期植入,制定的手术计划为全麻下左乳突改良根治术+左侧人工耳蜗植入术+右侧人工耳蜗植入术。术中见左侧中耳胆脂瘤,乳突气化可,乳突腔内为肉芽及黄色胶冻样物。将乳突气房切除,清理乳突病变。外耳道后壁骨质大部分已被破坏吸收,为胆脂瘤堵塞,予以小心清理。取出故障耳蜗并重新置入。收集部分颞骨皮质骨粉填塞乳突腔,以耳后软骨及颞肌筋膜重建外耳道后壁(图3)。同期行右侧人工耳蜗植入术。术中电极电测显示双侧电阻良好。术后予静脉使用头孢呋辛抗感染。


术后病理回报:1.(左耳内肿物)镜下可见大量角化物,符合胆脂瘤。2.(左耳肿物)镜检鳞状上皮下大量纤维结缔组织增生,伴较多量慢性炎细胞浸润,结合临床,符合胆脂瘤型中耳炎改变。
随访过程:患者术后3周返院拔除耳内填塞物时外耳道皮瓣生长良好。术后1个月双侧耳蜗开机时无不适,觉辨音稍差。术后6个月时左外耳道壁重塑已基本完成,双侧耳蜗正常工作,辨音清晰。随访至术后24个月,患者无不适主诉,吐词清晰,对答流利(图4、图5)。




人工耳蜗植入术是治疗重度-极重度感音神经性聋的有效手段。随着医疗改革深入及社会公益项目推进,我国开展的人工耳蜗植入手术已超过7万例,其中90%以上为聋儿。与术中并发症及术后早期并发症不同,术后远期并发症可发生在人工耳蜗植入术后1个月至术后20年。人工耳蜗术后远期并发症总发生率约为5.7%,包括前庭功能障碍、设备故障、味觉障碍、继发性胆脂瘤、面神经麻痹等[1]。目前国内外仅见约30余例人工耳蜗植入术后继发性胆脂瘤病例报道,发病率从0.5%~5.4%不等[1,2,3]。
人工耳蜗植入术后继发中耳胆脂瘤的发病原因尚不明确,猜测可能与手术中暴露面隐窝时,骨性外耳道后壁磨除过多、骨质缺损、皮肤破损等有关。骨性外耳道缺损是导致外耳道上皮长入的基础。继之乳突腔内耳蜗电极导线不恰当盘曲使外耳道缺损处持续受压,最终出现外耳道皮肤破损,上皮长入乳突腔,形成胆脂瘤。此外,文献报道既往分泌性中耳炎史患者在耳蜗植入术后应密切随访并及时治疗,避免发展为化脓性中耳炎甚至中耳胆脂瘤,提示中耳炎史可能为危险因素之一[3]。
Bhatia等[4]观察到人工耳蜗术后发生内陷袋、胆脂瘤的时机在术后11个月到7年不等。更有Terry等[1]报道术后胆脂瘤可发生在耳蜗植入84个月以后,平均发生时间在45个月。本例患者胆脂瘤继发于初次植入术后16年,提示耳蜗植入术后长期、定期随访是十分重要和必要的。此类患者临床可表现为人工耳蜗植入耳痛、耳漏、耳闷、听力突然下降、听觉分辨率变差、噪声增强等[3]。体格检查时患耳外耳道可见脓性分泌物、外耳道破溃,大多患者鼓膜完整。若发现电极导线突出于外耳道内,应避免牵拉电极导线。牵拉导线可引起耳蜗故障或感染向内耳蔓延。本例患者起病初期虽然出现听力下降,但耳蜗仍能工作。外耳道冲洗、牵拉电极导线后人工耳蜗已损坏,需行耳蜗取出并再植入。
患者耳内镜检查常能发现外耳道破损处,评估电极导线污染情况。颞骨高分辨率CT常能初步评估蜗内电极形态及乳突腔内炎症病变程度,是术前检查的重要环节。
此类患者一经诊断,均需尽快通过手术彻底清除胆脂瘤并重建外耳道壁,避免感染经由电极导线向内耳蔓延。总的原则是在控制感染、清除病变、力求干耳的基础上,保护耳蜗电极,避免不必要的再植入[5]。术前根据患者脓性分泌物的药敏结果选择合适的抗生素;术中应小心操作,避免误伤电极导线或牵拉蜗内电极。若术中发现电极导线受脓性分泌物污染,已出现内耳或颅内感染征象时,应移除蜗外电极并行对侧人工耳蜗植入手术。若电极导线未被污染,则可行保留人工耳蜗的感染性病灶清除术。治疗术式可采用改良乳突根治术,联合径路鼓室成形术等。外耳道后壁重建可采用耳软骨及颞肌筋膜等。经及时、彻底的病变清理,大部分患者可保留原有耳蜗电极,避免重新植入[3]。病变清理结束、外耳道后壁重建完成后,应行神经遥测了解蜗内电极是否仍正常工作,必要时行C臂检查,明确蜗内电极有无位置异常,尽早发现并处理胆脂瘤清除术对原植入电极的不良影响。
对于患侧人工耳蜗已不能正常工作者,需取出故障耳蜗,视情况行同期同侧或对侧再植入。若感染已随电极导线蔓延至内耳,则应取出耳蜗,行对侧耳蜗植入。同时使用可透过血脑屏障的抗生素,预防感染进一步向颅内发展。若无内耳感染征象,则在移除故障耳蜗后,根据患者家属诉求和/或内耳解剖基础行同侧或对侧耳蜗植入[5]。
为预防此类远期并发症发生,在人工耳蜗植入术中,保证圆窗充分暴露的情况下,应避免过度打磨外耳道后壁。一旦出现骨性外耳道后壁损伤,均应考虑应用骨蜡、骨粉或软骨片修复行外耳道壁的同期重建[3,6]。回顾本院的1400余例人工耳蜗植入术患者,少部分患者外耳道壁术中破损,予颞肌筋膜修补,术后随访至少5年均未见电极导线外露及胆脂瘤发生。
完成耳蜗电极植入后,需将多余的电极导线盘曲于乳突腔内。目前耳蜗电极导线在乳突腔内的盘曲方式尚未达成共识,在耳蜗植入术中外耳道后壁骨质破损患者,盘曲电极导线时应尤为注意,避免挤压外耳道破损处,且尽量使导线处于张力低、弹性小的状态。我科数例患者术中外耳道骨质缺损,外耳道皮瓣完好,且术中未修补骨性外耳道。在盘曲电极导线时未直接挤压缺损处结缔组织,随访3~5年未见胆脂瘤发生。
人工耳蜗术后继发胆脂瘤发生率低,术中保留骨性外耳道后壁完整性、避免电极导线对骨性外耳道后壁压迫是预防继发性胆脂瘤的重要手段。通过密切随访可早期发现及干预,大部分患者可行保留耳蜗电极的胆脂瘤清除术。
周文雯,唐安洲,谭颂华.人工耳蜗术后继发中耳胆脂瘤1例[DB/OL].中国临床案例成果数据库,2023(2023-03-05).http://journal.yiigle.com/LinkIn.do?linkin_type=cma&DOI=10.3760/cma.j.cmcr.2023.e00846.
所有作者均声明本研究不存在利益冲突





















