
患者,男性,51岁,因"间断上腹部胀痛不适2个月余"于2021年12月15日入院。患者既往有丙肝病史5年。入院前2个月患者无明显诱因出现上腹部胀痛不适,伴明显食欲下降,就诊于当地医院,给予中药治疗,症状无明显缓解。入院前1周就诊于我院,上腹部增强CT检查和磁共振增强扫描,结果提示肝脏改变,考虑弥漫性肝癌并门静脉主干、左右支及其属支癌栓形成;肝硬化,门静脉海绵样变性,门静脉高压合并侧支循环形成,脾大,少量腹水。
体检:生命体征平稳,心肺查体无明显异常。腹平坦,无腹壁静脉曲张,腹部无压痛,移动性浊音阴性。
实验室检查:血常规、凝血无明显异常,总胆红素36.4 mmol/L,肝功能Child评分7分,B级,甲胎蛋白146 µg/L。结合患者病史、影像学及实验室检查,入院诊断:(1)原发性肝癌(中国肝癌分期-Ⅲa期);(2)丙型肝炎肝硬化失代偿期;(3)门静脉高压症。
根据《原发性肝癌诊疗指南(2022版)》推荐意见,给予"T+A"方案(即阿替利珠单抗注射液1 200 mg+贝伐珠单抗注射液1 000 mg静脉注射,1次/3周),同时行肝动脉化疗泵植入术,术后经肝动脉泵给予肝动脉持续灌注化疗(HAIC),化疗方案为FOLFOX4方案。治疗3个周期后复查磁共振增强扫描和上腹部增强CT检查,结果提示肝脏病变及门静脉癌栓范围较前缩小,肝硬化较前加重,门静脉海绵样变性、门静脉高压基本同前,腹水较前增多。实验室检查:甲胎蛋白降至15.1 µg/L。第4次HAIC治疗后患者肝动脉化疗泵泵体周围软组织出现感染,遂拆除肝动脉化疗泵。"T+A"治疗5次后复查磁共振增强扫描和上腹部增强CT检查,结果提示肝脏病变及门静脉癌栓消失,肝硬化,门静脉海绵样变性,门静脉高压基本同前,腹水较前减少。实验室检查:甲胎蛋白降至3.4 µg/L。
2022年8月11日复查上腹部增强磁共振成像,2022年8月12日复查上腹部增强CT,均未见肿瘤复发征象。2022年8月25日再次在内镜下行食管胃底曲张静脉套扎治疗。患者恢复良好,未再出现呕血、黑便。2022年11月25日复查上腹部增强磁共振成像,2022年11月27日复查上腹部增强CT,均未见肿瘤复发征象,复查甲胎蛋白在正常范围内。经评估,患者肝癌治疗后完全缓解时间已超过半年,目前患者一般状态良好。
肝胆外科;肿瘤内科
版权归中华医学会所有。本文为遵循CC-BY-NC-ND协议的开放获取文章。
患者,男性,51岁,因"间断上腹部胀痛不适2个月余"于2021年12月15日入院。患者既往有丙肝病史5年。入院前2个月患者无明显诱因出现上腹部胀痛不适,伴明显食欲下降,就诊于当地医院,给予中药治疗(具体不详),症状无明显缓解。入院前1周就诊于我院,2021年12月7日行上腹部增强CT检查,结果提示肝脏占位性病变,考虑弥漫性肝癌伴门静脉癌栓形成,门静脉海绵样变性,侧支循环形成(食管胃底静脉曲张,脐静脉开放);少量腹水。2021年12月8日行磁共振增强扫描肝胆胰脾(肝脏特异性对比剂),结果提示肝脏改变,考虑弥漫性肝癌并门静脉主干、左右支及其属支癌栓形成;肝硬化,门静脉海绵样变性,门静脉高压合并侧支循环形成,脾大,少量腹水。
体检:生命体征平稳,心肺查体无明显异常。腹平坦,无腹壁静脉曲张,腹部无压痛,移动性浊音阴性。实验室检查:血常规、凝血无明显异常,总胆红素36. 4mmol/L,肝功能Child评分7分,B级,甲胎蛋白146 µg/L。
患者有丙肝肝硬化病史,甲胎蛋白升高,有典型的影像学表现,临床诊断为肝癌。入院诊断:(1)原发性肝癌(中国肝癌分期-Ⅲa期);(2)丙型肝炎肝硬化失代偿期;(3)门静脉高压症。
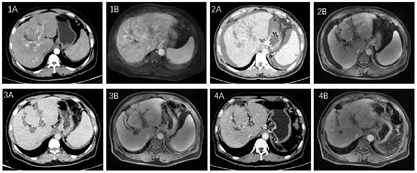
患者有丙肝肝硬化病史,甲胎蛋白升高,有典型的影像学表现,临床诊断为肝癌。由于患者弥漫性肝癌合并门静脉癌栓,经我科评估为不可切除。给予保肝治疗后患者肝功能较前好转,Child评分5分、A级。根据《原发性肝癌诊疗指南(2022版)》推荐意见,给予"T+A"方案(即阿替利珠单抗注射液1 200 mg+贝伐珠单抗注射液1 000 mg静脉注射,1次/3周),同时行肝动脉化疗泵植入术,术后经肝动脉泵给予肝动脉持续灌注化疗(hepatic artery infusion chemotherapy,HAIC),化疗方案为FOLFOX4方案。治疗3个周期后,于2022年3月1日行磁共振增强扫描肝胆胰脾(肝脏特异性对比剂),结果提示肝脏病变范围缩小,腹水较前增多;肝硬化、门静脉高压(图2)。2022年3月4日行上腹部增强CT检查,结果提示肝脏病变及门静脉癌栓范围较前缩小,肝硬化较前加重,门静脉海绵样变性、门静脉高压基本同前,腹水较前增多(图2)。实验室检查:甲胎蛋白降至15.1 µg/L。第4次HAIC治疗后患者肝动脉化疗泵泵体周围软组织出现感染,遂拆除肝动脉化疗泵,未再行HAIC治疗。"T+A"治疗5次后复查,于2022年5月10日行磁共振增强扫描肝胆胰脾(肝脏特异性对比剂),结果提示肝脏病灶及门静脉癌栓消失,门静脉血栓致门静脉闭塞,门静脉海绵样变性;肝硬化、门静脉高压;腹水较前减少(图3)。2022年5月11日行上腹部增强CT检查,结果提示肝脏病变及门静脉癌栓消失,肝硬化,门静脉海绵样变性,门静脉高压基本同前,腹水较前减少(图3)。实验室检查:甲胎蛋白降至3.4 µg/L。在治疗过程中,患者耐受性良好,未出现Ⅲ级及以上不良反应。患者治疗过程中影像学变化见图1。


经多学科协作诊疗讨论,认为患者病情完全缓解,建议继续行"T+A"治疗巩固疗效。患者因自身经济原因未继续行"T+A"治疗。2022年6月患者无明显诱因出现黑便、呕血,考虑食管胃底曲张静脉破裂出血,于当地医院行食管曲张静脉套扎治疗。后患者就诊于我院,完善术前评估,由于患者合并中度脾功能亢进,且呈进行性加重趋势,遂于2022年7月4日行腹腔镜脾切除加贲门周围血管离断术,术后患者恢复良好。2022年8月11日复查上腹部增强磁共振成像,2022年8月12日复查上腹部增强CT,均未见肿瘤复发征象(图4)。2022年8月25日再次在内镜下行食管胃底曲张静脉套扎治疗。
患者恢复良好,未再出现呕血、黑便。2022年11月25日复查上腹部增强磁共振成像,2022年11月27日复查上腹部增强CT,均未见肿瘤复发征象,复查甲胎蛋白在正常范围内。经评估,患者肝癌治疗后完全缓解时间已超过半年,目前患者一般状态良好。
柏强善,王少怡,陈安.T+A联合肝动脉持续灌注化疗治疗弥漫性肝癌达到完全缓解1例[DB/OL].中国临床案例成果数据库,2023(2023-03-08).http://journal.yiigle.com/LinkIn.do?linkin_type=cma&DOI=10.3760/cma.j.cmcr.2023.e00882.
所有作者均声明本研究不存在利益冲突





















