
患儿自宫内22周产前超声检查开始发现多系统畸形,包括脑室周围结节型灰质异位、肠管扩张、肾盂积水、手指畸形。
所报道患儿宫内发现脑室旁结节型灰质异位、肠管扩张、手指畸形、肾盂增宽;生后发现特殊面容、多发疝气,并以进行性加重的皮肤松弛、关节过度活动、呼吸困难及喂养困难为主要表现;合并动脉导管未闭、二尖瓣脱垂、主动脉扩张、听通路传导延迟、甲状腺功能减低。患儿母亲及曾外祖母均有脑室旁结节型灰质异位病史,但无各系统受累表现。
全外显子基因测序发现患儿FLNA基因存在半合子变异:c.7928_7940dup,(p.Ter2648ArgextTer106),其母亲为p.Ter2648ArgextTer106携带者,父亲为野生型。同时,患儿存在DUOX2基因复合杂合变异:c.1621C>T(p.Arg541Trp)和c.3632G>A(p.Arg1211His),其母亲为p.Arg541Trp携带者,父亲为p.Arg1211His携带者。
经过呼吸支持、地高辛、利尿剂及对症补充电解质、左旋甲状腺素等治疗,患儿病情逐渐控制,至18个月可独走。
生后20个月家属自行停药,最终患儿于生后27个月死于不可逆转的肺动脉高压、呼吸及心力衰竭。
新生儿科,神经科,内分泌遗传代谢科
版权归中华医学会所有。本文为遵循CC-BY-NC-ND协议的开放获取文章。
同一个体同时存在多种基因变异并分别导致不同的疾病,这种现象非常罕见。X连锁FLNA基因(Filamin A,OMIM 300017)变异可以导致多个系统中的多种疾病。通常情况下,男性患者的表型比女性更严重,多在围产期或产后早期死亡[1,2]。DUOX2基因(dual oxidase 2,OMIM 607200)变异是导致先天性甲状腺功能减退的相对常见原因[3,4]。在我们的病例中,所报道患儿为男性,宫内即发现多系统畸形,生后出现甲状腺功能减退,经过全外显子二代测序发现同时存在两个致病基因变异。
患儿自宫内22周产前超声检查开始发现多系统畸形,包括脑室周围结节型灰质异位、肠管扩张、肾盂积水、手指畸形。产前完善羊水穿刺,染色体核型和微缺失微重复检查没有发现异常。患儿胎龄38周顺产娩出,出生体重3 600 g,生后Apgar评分均10分。患儿生后查体发现特殊面容,表现为眼距宽、鼻梁低、耳位低并伴有外耳道卷曲、左手并指及短指畸形(图1),没有唇裂和腭裂。患儿生后早期呼吸平稳,喂养顺利,但从生后3 d开始逐渐出现进行性加重的呼吸困难、喂养困难和心功能不全表现。呼吸困难表现为呼吸衰竭,需要应用呼吸机辅助通气。喂养困难表现为吸吮力差、纳奶慢、间断呕吐、胃潴留增多。心功能不全表现为心率增快、循环灌注不足、水肿。同时查体发现患儿皮肤逐渐松弛并出现多发疝气,手指关节过度活动等(图2)。




追问患儿家族史,患儿曾外祖母既往体检过程中曾发现脑室周围结节型灰质异位。进一步检查提示患儿母亲亦存在脑室周围结节型灰质异位,但两人均无神经系统疾病病史或不良孕产史。未能明确家族其他成员是否有颅内结构异常,但这些家族成员都没有神经系统疾病和其他系统疾病病史,家族中女性成员也没有不良孕产史(图3)。


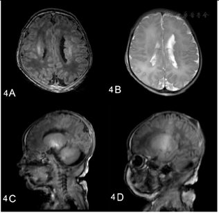
患儿辅助检查提示多系统异常。头颅磁共振成像显示双侧脑室周围结节性异位和大枕大池(图4)。胸部X光显示心影逐渐扩大,同时伴有双肺渗出增多,腹部X光显示肠管扩张,伴发多个气液平面(图5)。超声心动图显示心功能不全、房间隔缺损、动脉导管未闭、二尖瓣发育不良和主动脉扩张。泌尿超声检查发现肾积水。脑干听觉诱发电位显示双耳听通路明显延迟。血液生化检查提示肝酶、心肌酶、B型脑钠肽升高,严重的低钠低氯性碱中毒同时合并低钾血症。新生儿期甲状腺功能检测显示总T4(total T4, TT4)93.40 nmoL/L↓(正常:105.5~208.5 nmoL/L),促甲状腺素(thyroid stimulating hormone,TSH)18.58 uIU/ml↑(正常:0.66~6.29 uIU/ml)。随访过程中发现患儿出现严重的甲状腺功能减退,TT4显著降低(TT4 29.00 nmoL/L),TSH显著升高(>150 uIU/ml)。甲状腺超声显示甲状腺大小正常。




在获得患儿父母的知情同意后,我们对患儿进行了染色体核型、拷贝数变异序列及全外显子基因测序检查。患儿具有正常的男性核型(46,XY),拷贝数变异序列显示无染色体微缺失和微重复。全外显子基因测序,发现X染色体上FLNA基因存在致病性变异,c.7928_7940dup(p. Ter2648ArgfsTer106)。靶向测试表明,该变异来自他的母亲(图6)。另外,患儿同时存在常染色体DUOX2基因复合杂合变异。靶向测试表明变异分别来自患儿父母,即遗传自母亲第14号外显子的c.1621 c>T(p.Arg541Trp)变异和遗传自父亲第28号外显子的c.3632G>a(p.Arg1211His)变异(图6)。与FLNA基因变异相关的疾病涉及多个系统,包括中枢神经系统、骨骼、心血管、胃肠、肺、生殖泌尿系统和血液系统,男性患者表现出比女性更严重的表型[1,2],与DUOX2基因变异相关的疾病是先天性甲状腺功能减退,可导致新生儿甲状腺功能减退和TSH延迟升高[3,4],这些均与患儿的表型一致。


患儿家系成员主要临床表现为脑室周围结节型灰质异位,遗传方式为显性遗传特点,结合脑室周围结节型灰质异位相关基因,考虑X连锁显性遗传的FLNA基因变异。结合患儿为男性,FLNA基因变异可以出现多种表型,受累各个系统,包括呼吸系统、循环系统、神经系统、消化系统、泌尿系统和骨骼及结缔组织,可以解释患儿大部分临床表现,诊断明确。
患儿新生儿期监测甲状腺功能提示TSH轻度升高,但婴儿期监测甲状腺功能TSH显著升高,FLNA基因变异不能解释患儿甲状腺功能结果,全外显子基因测序发现同时存在DUOX2基因变异,此基因变异为先天性甲状腺功能减退症相对常见的致病基因,可以解释患儿的临床表现。
住院治疗期间,我们针对患儿症状给予对症支持治疗。呼吸方面,间断给予清理气道、吸氧、呼吸机辅助通气、糖皮质激素雾化等治疗;喂养方面,给予鼻胃管重力喂养、肠外营养支持;循环方面,适当限制入量,地高辛增强心肌收缩力、联合应用利尿药,并建议家属手术关闭动脉导管;电解质紊乱方面,给予对症补充钠钾、碳酸氢盐等治疗;甲状腺减退方面,给予左旋甲状腺素替代治疗。
间断住院治疗2个月,患儿于家中持续对症治疗。生后3个月,患儿呼吸及喂养困难、水肿情况均逐渐缓解,停止吸氧并拔除鼻胃管,经口摄入量逐渐增加,同时继续服用地高辛、利尿剂、电解质口服液和左旋甲状腺素。生后6个月电解质口服液和利尿药逐渐停用。患儿生后6个月至20个月期间,监测心功能、电解质和甲状腺功能均正常。然而,超声心动图仍提示二尖瓣脱垂、心脏扩大、瓣膜返流等。患儿仍有明显的生长发育落后,生后8个月可独坐,生后14个月可独站,生后18个月可独走几步。生后12个月,他可以有意识地喊"爸爸妈妈"。出生后14个月完成的贝利量表显示发育迟缓(智力发育指数59,精神运动发育指数<50)。
患儿生后20个月时,父母出于某种原因私自给患儿停用地高辛和其他药物。男孩逐渐出现活动耐力下降、水肿、呼吸困难,生后23个月再次住院提示心力衰竭、严重的肺动脉高压、肝功能异常、凝血功能障碍等,然而甲状腺功能仍然正常。我们给予患儿应用西地那非、波生坦、吸入一氧化氮和其他对症治疗,患儿肺动脉高压无明显改善,并在感染后迅速恶化,最终在生后27个月时死亡。
人类基因组由位于23对染色体上的25000个基因构成[5]。理论上讲,同一个体可能同时存在多种基因变异并导致不同的疾病。然而,这种现象非常罕见,既往很少有报道。我们所报道的患儿同时存在两个基因变异,并分别导致典型的临床表现。
FLNA基因变异是X连锁显性遗传。FLNA基因编码的细丝蛋白A具有广泛的功能,对于多个系统的结构都有非常重要的作用。临床表现取决于基因变异的性质,功能获得性变异导致耳腭指综合征(otopalatodigital disorders, OPD),而功能缺失性变异导致脑室周围结节型灰质异位(periventricular nodular heterotopia, PVNH),伴有或不伴有埃勒斯-当洛斯综合征(Ehlers-Danlos syndrome, EDS)、X连锁心脏瓣膜营养不良(X-linked cardiac valvular dystrophy XCVD)、慢性肠假性梗阻(chronic intestinal pseudo-obstruction, CIPO)或先天性短肠综合征(congenital short bowel syndrome, CSBS)[1,2,6,7,8]。此外,近年来还发现了一些其他表型,如弥漫性肺病、游荡性脾脏、血小板减少症等[9,10,11]。杂合子女性患者表型差异显著,从无表现到严重症状均可能出现。脑室周围结节型灰质异位是最常见的表型,部分患者可能合并癫痫。半合子男性患者表型通常很重,多在宫内或生后早期死亡,在幸存的患者中,大多数患者患有严重的系统性疾病[2,9]。
在我们的案例中,所报道患儿基因变异位于FLNA基因第48号外显子上,c.7928_7940dup,(p.Ter2648ArgfsTer106)。该变异导致移码突变,增加了106个氨基酸,破坏了原始终止密码子,产生了新的终止密码子。这一结果导致缺乏保护性多聚体尾的mRNA降解增加,从而降低蛋白质的表达[9]。该变异位点为新发变异,既往无相关文献报道。根据ACMG2015年序列变异注释指南,基于对照人群,在1000G、ESP6500、gnomAD数据库中未发现此变异,MAF<0.0005,属于低频变异;在HGMD、ClinVar、Pubmed数据库中无该变异相关报道;该变异导致终止密码子丧失、蛋白质长度发生变化,为有害性;患儿为该变异的半合子,变异遗传自杂合子的母亲,母亲也有类似表型,变异与疾病在家系中共分离;患儿的表型与FLNA关联疾病高度符合,因此综合分析,该变为可能致病变异。我们所报道的病例,在宫内即发现多器官受累,包括脑室周围结节型灰质异位。通过进一步检查发现患儿有明确的灰质异位家族史,结合遗传方式应考虑FLNA基因变异。
患儿病程中发现严重的甲状腺功能减低,全外显子基因测序同时发现DUOX2基因变异。DUOX2编码的双氧化酶2位于甲状腺滤泡细胞的顶膜,可以催化过氧化氢的产生,过氧化氢是甲状腺过氧化物酶底物[12,13]。DUOX2基因变异可导致过氧化氢生成受损,从而引起甲状腺功能减退。DUOX2基因的遗传方式尚未完全明确,既往多认为是一种常染色体隐性遗传病。但是研究发现,DUOX2的单等位基因变异也可以减少过氧化氢的产生,影响甲状腺素的合成,从而导致暂时或永久性甲状腺功能减退[3,12,13,14]。DUOX2变异患者可能具有广泛的临床表型,从暂时性到永久性甲状腺功能减退。DUOX2的双等位基因变异通常是严重和永久性甲状腺功能减退的主要原因,而单等位基因的变异与轻度、暂时性甲状腺功能低下有关。然而,近年来研究发现即使在同一个家族中,同一基因型仍具有不同的表型。推测可能有多种因素导致表型变异,如种族、表观遗传变化和环境差异[12,13,14,15]。部分DUOX2基因变异患儿在新生儿筛查中仅表现为TSH轻中度升高或临界水平,而在进入婴儿期后表现为严重的甲状腺功能减退。因此,新生儿筛查可能会遗漏部分DUOX2基因变异患者。
我们所报道的病例临床表现为迟发性甲状腺功能减退,DUOX2基因变异为分别遗传自父母的复合杂合变异。c.3632G>A(p.Arg1211His)变异位于第28号外显子,天冬氨酸被组氨酸取代,此前已报道该变异与先天性甲状腺功能减退有关[16]。另一个变异c.1621 C>T (p.Arg541Trp)位于14号外显子,这一变异在所有预测程序中显示为良性。然而,在gnomAD东亚人群数据库中未见该变异频率报道,该位点未被ClinVar数据库收录。体外过氧化氢生成测定表明,程序预测的一些良性变体可能导致组织化过程中的部分缺陷,从而损害过氧化氢生成[12,17]。此外,既往有研究报道,在先天性甲状腺功能减退症的患者中发现了该变异[12]。因此,考虑p.Arg541Trp是致病性变异可能性大。所报道患儿新生儿期甲状腺功能接近正常范围,而幼儿期家属自行予患儿停药后监测甲状腺功能仍然正常,可能与DUOX2基因变异本身临床表型复杂相关,并且该患儿的致病性变异仍然可以催化部分过氧化氢的产生。
所报道患儿临床表现复杂,各个系统均有受累,临床表型复杂。在诊断的过程中,我们也曾经因为患儿突出的皮肤松弛表现,考虑过遗传性皮肤松弛症的可能性。遗传性皮肤松弛症有多种遗传方式,除了皮肤松弛的典型外观以外,还可以累及呼吸系统、消化系统、循环系统、泌尿系统,但通常不会有神经系统受累的表现,而患儿的家系突出地表现为神经系统的受累,因而无法解释患儿的全部表型。在复杂的临床表型中,我们发现患儿及其家族部分成员均有脑室旁结节型灰质异位表现,这提示患儿为遗传性疾病。以该临床表现为突破点,进一步分析可能的致病基因,并查阅相关文献,我们在基因检测结果出来前成功预测了该患儿为FLNA基因变异。但是在患儿疾病治疗过程中,发现同时存在FLNA基因变异难以解释的甲状腺功能减退,同时存在两种遗传性疾病是非常罕见的,因此,我们在进一步分析基因测序结果的同时,也积极考虑其他可能性。我们查阅了相关文献及FLNA基因相关疾病的发病机制,无法解释患儿甲状腺功能减退的表型;同时完善甲状腺超声未发现异常。而进一步的基因测序结果分析,发现患儿同时存在DUOX2基因变异,这提示我们如果患儿出现原发病难以解释的新表型,需要警惕是否有合并其他变异可能性。
在以前的报告中,一名患者同时具有两个或多个致病性变异是非常罕见的,这可能是因为存活率低。在我们的病例中,出生后FLNA变异引起的症状进展比宫内快。具体原因尚不清楚,我们推测,母亲正常X染色体中的FLNA基因可以合成细丝蛋白,这提供了胎儿的部分生理需要。虽然患者的病情在新生儿期发展迅速,但进入婴儿期后逐渐改善,这可能与新生儿的快速生长发育和婴儿的相对缓慢有关。由DUOX2变异引起的症状出现相对较晚,具有异质性,在临床表现上有不同的差异,主要影响智力发展,而不是死亡。所以,具有两种致病性变异的婴儿能够出生并存活到婴儿期。在我们的临床工作中,我们还遇到了一名同时患有血友病的Pemet病患者。因此,我们认为携带两种致病性变异的患者可以被诊断,一方面是因为二代测序检测方法的改进,而另一方面,尽管大多数FLNA变异在男性中是致命的,但我们的变异导致蛋白质延长并具有一定功能,导致非致命变异,DUOX2是非致死性变异。虽然患儿同时存在两种罕见变异,但两种变异导致的疾病均为非致死性疾病,所以患儿可以存活至幼儿期。患者的病情在出生后6个月至20个月趋于稳定,而患者家属自行予患儿停药,并导致心肺功能快速恶化,最终死于不可逆的心功能不全和肺动脉高压。这是由于FLNA基因变异本身疾病进展导致的,但是如果患儿未停药,这一过程可能会被延缓。
我们报道了一例男性患儿同时存在FLNA基因变异和DUOX2基因变异,并具有典型临床表现。该婴儿在宫内被发现有多器官受累,包括脑室周围结节型灰质异位,而这一表现提示我们需要对家族成员进一步检查,阳性家族史有助于帮我们定位FLNA基因变异,这对于产前诊断及生后尽早开始干预治疗有非常重要的作用。另外,如果在诊疗过程中发现已知变异无法解释的新表型,应考虑是否同时存在其他致病基因变异的可能性。
白薇,李礼,刘黎黎,等.携带两种基因致病性变异并各有其典型表型的新生儿1例[DB/OL].中国临床案例成果数据库,2023(2023-03-08).http://journal.yiigle.com/LinkIn.do?linkin_type=cma&DOI=10.3760/cma.j.cmcr.2023.e00885.
所有作者均声明本研究不存在利益冲突





















