
患者,男性,59岁,自述近年来多颗牙陆续自动脱落,2020年5月来诊要求种植义齿修复治疗。
上颌大部分牙齿缺失,余留13、16牙周红肿,牙龈退缩,牙根暴露,Ⅱ~Ⅲ度松动;缺牙区牙槽嵴低平,上颌弓窄小,牙槽嵴顶正中偏腭侧有一小米粒大小瘘管,探诊有黄白色脓液溢出;下颌31、32、41缺失,42Ⅲ度松动,46、47缺失,缺牙区牙槽嵴低平。
颌面部及口内检查、根尖片、曲面体层片、CBCT检查。诊断:1.Ⅳ期广泛型C级牙周炎;2.上下颌牙列缺损;3.上颌正中多生牙;4.38深龋;48中龋。
单侧上颌窦侧壁开窗,上颌窦提升植骨,非同期植入6颗种植体,延期行种植体支持式全牙列固定义齿修复。
上颌种植体支持式全牙列固定义齿修复1年后,种植体周围软硬组织稳定,患者对种植治疗过程中的上颌过渡性总义齿及种植体支持式全牙列固定义齿的美学及咀嚼功能满意;同时,下颌剩余牙齿牙周状况改善。
口腔种植科;口腔修复科;牙周科
版权归中华医学会所有。本文为遵循CC-BY-NC-ND协议的开放获取文章。
根据《第四次全国口腔健康流行病学调查报告》结果,我国55~64岁年龄组的牙周健康率为5.0%,附着丧失≥4 mm的检出率高达70%[1]。该年龄组的患者因时间、经济、个人认知等因素,常常忽略牙周炎早期的治疗及预防控制。当疾病发展到大多数牙齿松动移位,无法保留、甚至自然脱落而不得不就诊时,牙槽骨因牙周病的持续进展已导致严重的吸收萎缩,给后期种植修复治疗方案的制定及实施带来困难。本文通过对1例因Ⅳ期广泛型C级牙周炎[2,3]导致重度上颌骨萎缩,设计植入6颗种植体,延期行种植体支持式全牙列固定义齿修复,并对修复效果进行1年的追踪观察,修复效果稳定,患者满意,报道如下。
患者,男性,59岁,工程师,因近年来多颗牙齿陆续自动脱落,于2020年5月来我院种植科就诊。牙科既往史:修复史。全身健康状况:否认全身系统性疾病及药物过敏史。家族史:否认遗传性疾病史。无不良生活嗜好,不抽烟。
口外检查:颌面部左右大致对称,双侧颞下颌关节检查未见异常。
口内检查:上颌大部分牙齿缺失,余留13、16牙周红肿,牙龈退缩,牙根暴露,13松动Ⅲ度,16松动Ⅱ度;缺牙区牙槽嵴低平,上颌弓窄小,上颌正中腭侧可见一小米粒大小脓包,探诊有黄白色脓液溢出。下颌31、32、41缺失,42Ⅲ度松动,46、47缺失,缺牙区牙槽嵴低平;38、48垂直正位萌出,38颊
面大面积牙体组织龋坏,黑色腐质达牙本质深层;48
面窝沟呈黑色改变,探诊质软,达牙本质层,38、48牙龈退缩,根分叉暴露。口腔卫生差,下颌余留牙舌侧牙颈部连续牙结石堆积,牙间隙内附着大量黑色结石,下前牙牙龈退缩2~4 mm;无稳定咬合关系。
牙周专科检查示74%的位点PD≥3 mm,BOP为73%,牙龈呈暗红色,质脆,轻探出血。(图1)


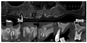
影像学检查:曲面体层片及根尖片示13、16、42、38、48牙槽骨吸收至根尖;剩余牙牙槽骨吸收至根长1/2。CBCT示上颌正中多生牙,多生牙舌侧可见不规则低密度影像。(图2、图3)




1.治疗方案。
方案一:①口腔卫生指导及健康宣教。②下颌牙周序列治疗,定期维护。③拔除13、16、上颌正中多生牙、38、42、48后上颌行总义齿修复,下颌行可摘局部义齿修复。
方案二:①口腔卫生指导及健康宣教。②下颌牙周序列治疗,定期维护。③拔除13、16、上颌正中多生牙,软组织愈合后上颌种植4-6颗种植体,行种植体支持式覆盖义齿修复;拔除38、42、48后,种植固定桥义齿修复31、32、41、42;种植单冠或联冠修复46、47。
方案三:①口腔卫生指导及健康宣教。②下颌牙周序列治疗,定期维护。③拔除13、16、上颌正中多生牙,软组织愈合后上颌种植6颗种植体,延期行种植体支持式全牙列固定义齿修复。④拔除42、38、48,种植固定桥义齿修复31、32、41、42;种植单冠或联冠修复46、47。
治疗方案分析:
方案一采用拔牙后可摘局部义齿修复,因其不具备咀嚼效率高,异物感低,舒适性好的优点,患者不考虑此方案。
方案二种植体支持式覆盖义齿修复,相较于方案三种植体支持式固定义齿修复更加便于摘戴维护,但患者更加倾向于无需自行摘戴的种植体支持式全牙列固定义齿修复。
经知情同意后,选择治疗方案三,上颌种植6颗种植体,延期行种植体支持式全牙列固定义齿修复,修复体设计钛支架加强热凝树脂基托+硬质丙烯酸树脂牙。患者不接受该方案中的拔除38、48及种植47修复。
2.治疗过程。
①阿替卡因肾上腺素注射液局麻下拔除13、16,制作上颌过渡性总义齿。②治疗方案设计:拟在12、14、16、22、24、26植入6颗种植体(图4),术前制作种植导板。③13、16牙槽窝愈合6周后,行种植一期手术:16-26牙槽嵴顶全层翻瓣,导板定位定点,16、14分别植入Nobel PCC 4.3 mm×11.5 mm种植体,12、22分别植入Nobel PCC 3.75 mm×11.5 mm种植体,24植入Nobel PCC 4.3 mm×10 mm种植体,26上颌窦外提升植骨,6个月后行种植一期手术,植入Nobel PCC 4.3 mm×10 mm种植体(图5、图6)。④种植二期手术:12、22放置NP30°3.5 mm复合基台;14、24放置RP30°3.5 mm复合基台;16、26放置RP17°3.5 mm复合基台(图7),复合基台均加力至15Ncm。⑤制取种植印模:去除12、14、16、22、24、26复合基台保护帽,放置开口式印模柱,结扎丝连接,3M冠桥树脂固定,制取开口式硅橡胶印模,灌注模型(图8、图9)。












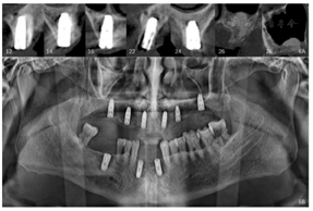
12、14、16、22、24种植一期术后12个月、26种植一期术后6个月,佩戴种植体支持式全牙列固定义齿,义齿戴入后患者唇颊侧丰满度良好,发音清晰,双侧咬合关系恢复良好。曲面体层片示种植体周围骨结合良好(图10)。

面像;E:佩戴义齿前复合基台周围软组织状况;F:下颌
面像;G:戴牙后曲面断层片
面像;E:佩戴义齿前复合基台周围软组织状况;F:下颌
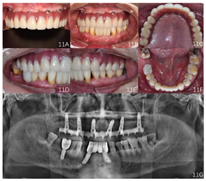
面像;G:戴牙后曲面断层片随访及转归:种植体支持式全牙列固定义齿修复后12个月复查:修复体完整稳固,表面及组织面清洁,复合基台周围软组织健康,发音清晰,正中及侧方咬合关系稳定(图11)。曲面体层片示种植体周围无透射影像。

面像;D:右侧咬合像;E:左侧咬合像;F:下颌
面像G:曲面体层片
面像;D:右侧咬合像;E:左侧咬合像;F:下颌
面像G:曲面体层片下颌自然牙牙周专科检查未探及牙周出血及≥3 mm的牙周袋,牙龈色形质正常。详见牙周大表(图12)。


本病例中上颌牙列缺失及下颌牙列缺损是Ⅳ期广泛型C级牙周炎[2,3]所导致的。研究表明[4]在种植修复后种植体周围炎的病损中发现的微生物与牙周炎的相关致病菌相似。对于口内尚存有自然牙齿的牙周病患者,种植修复后口内余留牙的牙周致病菌会向邻近的种植体传递[5],如果未对牙周炎患者进行完善的牙周治疗及维护,在种植修复后种植体周围骨吸收水平较无牙周炎患者显著增加,种植体周围炎发病率显著增加[6]。因此,控制牙周感染应贯穿在术前、术中及最终修复后。术前拔除重度感染无法保留的牙齿及正中多生牙,消除感染灶,并对下颌余留牙齿进行龈上洁治、龈下刮治及根面平整,使患者的牙周状况在终义齿修复后明显改善,探诊出血位点由初诊的73%降到了0;大于3 mm牙周袋由初诊的74%降到了0;牙齿松动度得到控制。终义齿修复后,按照种植体支持式全牙列固定义齿复诊及维护指南[7]对患者进行每3个月的定期随访维护,口腔卫生指导包括牙间隙刷、冲牙器、牙线及超级牙线的使用指导;生物性维护:复诊时对种植体周围的专业性清洁;机械性维护:对修复体及修复体组件仔细检查,对可预见的影响修复体功能的问题及时处理。上颌种植体支持式全牙列固定义齿修复12个月后复诊,种植体周围骨结合良好,义齿完整稳固,复合基台周围软组织色形质健康稳定,此结果与李莎等学者[8]对Ⅳ期牙周炎全牙列种植修复骨吸收的长期观察效果第一年的结果一致。
术前CBCT检查上颌骨量显示,12 mm>前牙区骨高度≥8 mm,骨宽度<6 mm;12 mm>右侧后牙区骨高度≥8 mm;左侧后牙区骨高度<4 mm,骨宽度<6 mm。依据Carames[9]全牙列综合种植解决方案分类,属于复杂种植方案设计,如全牙列行种植后固定义齿修复,需设计6颗种植体。种植体设计有4种方案,其中3种方案涉及到2颗斜形种植体在上颌窦前侧壁的种植及后牙区的穿颧或穿翼种植;另一种种植方案是双侧后牙区骨增量,左右各种植3颗种植体,本病例6颗种植体的设计方案与上述解决方案一致,所不同的是在导板定位的情况下利用了前牙区、前磨牙区及右侧后牙区的有效骨量轴向种植5颗种植体,因左侧后牙区颊侧骨壁吸收多,该区骨宽度及高度均不足,因此在种植同期对左侧后牙区实施了上颌窦侧壁开窗提升植骨技术,术后6个月在左侧后牙区轴向植入1颗种植体,规避了双侧上颌窦前侧壁区斜形种植及双侧后牙区穿颧及穿翼种植,降低了手术难度及风险,患者接受度高。
术中依据唇-牙-牙槽嵴的关系对上颌骨进行截骨并修整骨平面[10,11],根据种植固定义齿修复空间的需求,修整出大于15 mm的颌间距离[12],保证了全牙列固定义齿修复后的机械强度。终义齿修复时以过渡性义齿作诊断性排牙,检查患者面型与牙齿形态的协调性,咬合、唇侧丰满度、笑线、发音、休息位切牙暴露量、切缘曲线[10,11],使最终修复体在美观上更加体现出患者个性。
本病例治疗过程中因左上后牙区骨量不足,未能同期植入种植体。种植二期手术前,患者始终佩戴拔牙前即刻修复的上颌总义齿。在此过程中利用总义齿的边缘封闭性[13],达到了良好的固位。二期术后,种植体上部放置复合基台,将总义齿基托调磨减小至牙槽嵴顶区,在基托与复合基台对应处打磨并衬垫丙烯酸树脂,利用复合基台的摩擦力保证了总义齿的固位(图8F),使患者在1年的种植修复治疗过程中维持了正确的咬合关系,提供了功能性负重,保证了生活质量。
本病例的局限性是上颌种植体支持式全牙列固定义齿修复,恢复了上颌牙列的完整性,在16的远中延长出约10 mm的悬臂,但患者不再接受种植义齿修复47,因此右侧无法完全达到上下颌牙列的广泛性接触;患者不接受拔除38、48,使龋坏的牙齿在口内长期存留,增加了口内感染的风险。
康娟,何宝杰,邬子璇,等.种植体支持式全牙列固定义齿修复1例[DB/OL].中国临床案例成果数据库,2023(2023-03-10).http://journal.yiigle.com/LinkIn.do?linkin_type=cma&DOI=10.3760/cma.j.cmcr.2023.e00905.
所有作者均声明本研究不存在利益冲突





















